Первый опыт экзоскелетной реабилитации пациента с обширным огнестрельным повреждением плеча на этапе использования временного цементного спейсера плечевой кости
- Авторы: Воробьев А.А.1,2,3, Баринов А.С.1, Баринова Е.А.1, Андрющенко Ф.А.3, Ткаченко С.И.1
-
Учреждения:
- Волгоградский государственный медицинский университет
- Федеральный центр поддержки разработки и производства экзопротезов
- Волгоградский медицинский научный центр
- Выпуск: Том 21, № 4 (2024)
- Страницы: 5-11
- Раздел: Статьи
- Статья опубликована: 15.12.2024
- URL: https://jdigitaldiagnostics.com/2658-4514/article/view/646369
- DOI: https://doi.org/10.19163/2658-4514-2024-21-4-5-11
- ID: 646369
Цитировать
Полный текст
Аннотация
Цель данного исследования – оценка первого опыта использования пассивного экзоскелета верхних конечностей «Экзар34» в процессе реабилитации пациента с огнестрельными повреждениями верхней конечности на фоне применения временного цементного спейсера плечевой кости. Методы исследования включали клинический осмотр пациента, анализ медицинской документации, рентгенограмм, гониометрию суставов верхней конечности до и после курса реабилитации в экзоскелете «Экзар34». Результаты показали значительное увеличение амплитуды активных и пассивных движений, мышечной силы в поврежденной конечности, а также снижение боли при движении на фоне реабилитации с использованием экзоскелета. Выводы. Считаем, что первый опыт использования экзоскелета верхних конечностей «Экзар34» при обширных огнестрельных повреждениях плеча на этапе восстановления с применением временного спейсера плечевой кости является перспективным направлением в реабилитации после огнестрельных ранений. После удаления временного спейсера и проведения реконструкции плечевой кости считаем необходимым дальнейшее использование экзоскелета для лучшей функциональной реабилитации пациента. Данная работа показывает значимость комплексного подхода к реабилитации пациентов с обширными огнестрельными повреждениями верхних конечностей и подтверждает эффективность использования экзоскелета «Экзар34» на всех этапах лечения.
Полный текст
Проблема огнестрельных переломов плечевой кости, полученных во время боевых действий, является актуальной и требует постоянного совершенствования методов диагностики, лечения и реабилитации [1, 2]. Своевременное лечение и реабилитация после боевых повреждений конечностей могут снизить риск осложнений и последующих проблем с кровообращением, двигательной и чувствительной функциями конечности [3]. При сохранении жизнеспособности конечности открытая репозиция фрагментов кости и фиксация внешними аппаратами компрессионно-дистракционными является современным стандартом лечения огнестрельных поражений длинных трубчатых костей. Л. К. Брижань и соавт. считают, что быстрее и эффективнее выполнить наружную фиксацию костей конечностей позволяют конструктивные особенности комплекта стержневого военно-полевого (КСВП), а в сочетании с вакуумными аспирационными повязками в условиях двухэтапного остеосинтеза – существенно сократить продолжительность первого этапа оперативного лечения [4].
После стабилизации состояния пациента и купирования инфекционных осложнений проводится реконструкция поврежденных участков костей. Процесс этот сложный, многоэтапный и может быть выполнен множеством способов. Хорошо зарекомендовал себя для восполнения костных дефектов дистракционно-компрессионный остеосинтез по Илизарову [5].
Возможно выполнение пластики дефектов плечевой кости аутотрансплантантантом, например из малоберцовой кости [4].
В настоящее время все большее распространение получают технологии с использованием временного импланта, в качестве которого устанавливается цементный спейсер с антибиотиком. После купирования инфекционного процесса вместо утраченного участка кости устанавливается 3D-имплантат, созданный полностью по размерам и форме кости. Он заполняется фрагментами костных тканей пациента, которые берутся из других костей или выращиваются на основе стволовых клеток (техника Masquelet) [6]. Одним из получающих в последнее время направлений стала так называемая Скафолд-технология – культивирование клеток на трехмерных подложках, для последующего использования их для замещения дефектов [7].
Современное лечение боевых повреждений костей конечностей включает в себя последовательность мероприятий, включающих в себя борьбу с шоком, раннюю и надежную иммобилизацию отломков поврежденных сегментов аппаратами наружной фиксации, профилактику инфекционных осложнений и последовательное ортопедическое лечение, а также реабилитационные мероприятия для восстановления опорно-двигательного аппарата пострадавшего [4].
Очень важную составляющую в лечении таких пациентов играет реабилитация. В настоящее время для восстановления функции верхних конечностей все чаще используется экзоскелет «ЭКЗАР34», который изначально был ориентирован на людей с симптомокомплексом верхнего вялого пара-, монопареза конечностей, представляющий собой подвижную систему поддерживающих соединений, которая устанавливается на верхнюю конечность. Движения конечности осуществляются с небольшим усилием, увеличивающим утраченную силу мышц и объема движений за счет системы рычагов и простейших упругих элементов. Конструкция позволяет осуществлять движения с ограниченной амплитудой в трех измерениях [8, 9].
Нам не встретилось ни одного сообщения о применении экзоскелетов в реабилитации пациентов после огнестрельных ранений на фоне комплексного лечения с использованием временных спейсеров плечевой кости. Тем не менее функциональные возможности экзоскелета позволяют осуществлять такую реабилитацию в том числе и при боевых повреждениях [10, 11]. В связи с этим нам представляется весьма актуальным расширение функционала, используемого нами экзоскелета «Экзар34» для реабилитации пациентов с подобными повреждениями.
ЦЕЛЬ РАБОТЫ
Дать оценку первого опыта использования пассивного экзоскелета верхних конечностей «Экзар34» в процессе реабилитации пациентов с огнестрельными повреждениями верхней конечности на фоне применения временного цементного спейсера плечевой кости.
МЕТОДИКА ИССЛЕДОВАНИЯ
Исследование включало клинический осмотр пациента, анализ медицинской документации, рентгенограмм, гониометрию суставов верхней конечности: измерение углов активного и пассивного сгибания и отведения плеча до и после курса реабилитации в экзоскелете «Экзар34».
РЕЗУЛЬТАТЫ ИССЛЕДОВАНИЯ И ИХ ОБСУЖДЕНИЕ
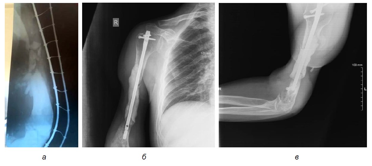
Пациент в результате минно-взрывной травмы получил многооскольчатый открытый перелом средней трети правой плечевой кости с дефектом костной ткани, наличием сквозной раны с размозжением мягких тканей (рис. 1а). Осложнением основного заболевания явилась посттравматическая невропатия правых срединного, лучевого, локтевого нервов с умеренным парезом правой кисти, до глубокого пареза за счет мышц разгибателей кисти с вегетативными нарушениями. Сведения о проведенном лечении представлены на основании выписок, имевшихся у пациента на момент обращения. В день ранения после оказания первичной помощи был доставлен в стационар, где выполнена первичная хирургическая обработка ран, фиксация правого плеча в стержневом аппарате наружной фиксации. Выполнялась вторичная хирургическая обработка ран с иссечением некротизированных тканей.
Рис. 1. Рентгенография правого плеча: а – после ранения, б – после установки спейсера (прямая проекция), в – после установки спейсера (боковая проекция)
После стабилизации состояния в ЦКБ Св. Алексия, митрополита Московского, на двадцатый день после ранения выполнен демонтаж аппарата внешней фиксации, вторичная хирургическая обработка открытого перелома, ревизия лучевого нерва; комбинированный и последовательный остеосинтез правой плечевой кости штифтом с блокированием с рассверливанием; установка цементного антибактериального спейсера (рис. 1б, в). В послеоперационном периоде проводилось лечение с использованием системы вакуумного дренирования. Проводилось несколько этапов вторичной хирургической обработки ран, наложения вторичных швов. Раны зажили с выраженными дефектами мышечной ткани (рис. 2).
Рис. 2. Внешний вид правого плеча после заживления ран
Пациент обратился для проведения реабилитации с помощью экзоскелета «Экзар34». На момент обращения мышечная сила снижена в правой верхней конечности, причем в проксимальных отделах значительнее чем в дистальных. Активное сгибание в плечевом суставе до 55° (рис. 3а). Активное отведение правого плеча в пределах 40 градуса (рис. 3б). Объем движений в правом локтевом суставе – 105–160° (рис. 3б, в). Мышечная сила значительно снижена. Отсутствие активного разгибания кисти и пальцев. Правая кисть «обезьянья». Пассивное отведение и сгибание правой верхней конечности в плечевом суставе, превышающие активные движения, затруднены за счет контрактуры.
Рис. 3. Объем движений в суставах правой верхней конечности до начала реабилитации
Для пациента был изготовлен индивидуальный пассивный экзоскелет «Экзар34».
Использование экзоскелета позволило нивелировать вес верхней конечности пациента, что было использовано для активной разработки движений в суставе и укрепления мышц.
Был проведен курс реабилитации в течение 60 дней. Пациент выполнял комплекс упражнений, рассчитанный на использование экзоскелета, направленных на увеличение объема движений в правом плечевом суставе, а также для укрепления мышц правой верхней конечности. Кроме этого, экзоскелет также использовался пациентом в повседневной жизни.
Уже при первом использовании экзоскелета удалось достигнуть сгибания в правом плечевом суставе до 90° (рис. 4а). Получено отведение правой верхней конечности – около 95° (с учетом движения лопатки) (рис. 4б). Сгибание правого предплечья – до 90° (рис. 4в). Значительно уменьшились боли при движении. Пациент, помимо занятий лечебной физкультурой в экзоскелете, получил возможность абилитационного эффекта, в частности пользоваться поврежденной рукой для выполнения бытовых функций – одевание, гигиеническтие процедуры и приема пищи.
Рис. 4. Объем движений в суставах правой верхней конечности при использовании экзоскелета «Экзар34»
В настоящее время пациент готовится к реконструктивному этапу органосохраняющей операции, после проведения которой экзоскелет будет использован для окончательной реабилитации.
Использование экзоскелета «Экзар34» оказало положительное влияние на функциональное восстановление пациента. Использование экзоскелета позволило в необходимой степени компенсировать вес верхней конечности и тем самым ослабленным вследствие травмы мышцам осуществлять движения с большей амплитудой, постепенно приближаясь к нормальным анатомическим значениям. При этом происходит тренировка сохраненных мышц и их компенсаторная гипертрофия для замещения функции разрушенных мышечных волокон.
Использование экзоскелета на ранних этапах реабилитации позволяет устранить физические препятствия для сохранения и восстановления стереотипа нормальных движений в физиологических пределах.
В свою очередь, длительное ограничение подвижности пораженной конечности приводит как к контрактурам суставов, физически препятствующих увеличению объема движений, так и разрушению стереотипов точных движений ввиду длительной детренированности. Это важно не только для восстановления функции, но и для психологического восстановления пациента, поскольку возможность выполнять нормальные движения влияет на его самооценку и качество жизни.
Данное клиническое наблюдение подчеркивает значимость комплексного подхода к реабилитации пациентов с обширными повреждениями верхних конечностей.
Комбинированный и последовательный остеосинтез, проведение нескольких этапов вторичной хирургической обработки ран, применение системы вакуумного дренирования – все эти меры были применены в лечении пациента.
Использование экзоскелета «Экзар34» стало дополнительным инструментом в реабилитационном процессе, способствующим более эффективному восстановлению функции верхней конечности и подготовке к следующим этапам реконструкции поврежденной конечности.
Использование пассивного экзоскелета верхних конечностей «Экзар34» – это новаторский и многообещающий подход в реабилитации пациентов с огнестрельными повреждениями верхней конечности.
Экзоскелет обладает уникальными возможностями компенсации ограниченной мышечной функции, что способствует ускоренному восстановлению двигательных навыков и повышению функциональности пораженной конечности. Он упрощает выполнение повседневных действий, которые без него были бы труднодостижимыми для пациентов.
Результаты оценки клинического наблюдения показали эффективность применения экзо-скелета «Экзар34» в реабилитации пациента с огнестрельным ранениям плеча, в том числе как важного реабилитационного компонента многоэтапного восстановительного лечения.
ЗАКЛЮЧЕНИЕ
Считаем, что первый опыт использования экзоскелета верхних конечностей «Экзар34» при обширных огнестрельных повреждениях плеча на этапе восстановления с применением временного спейсера плечевой кости является перспективным направлением в реабилитации после огнестрельных ранений. После удаления временного спейсера и проведения реконструкции плечевой кости считаем необходимым дальнейшее использование экзоскелета для лучшей функциональной реабилитации пациента.
С учетом перспективности экзоскелетной реабилитации, предлагаем продолжить исследования и разработки в этой области.
Об авторах
Александр Александрович Воробьев
Волгоградский государственный медицинский университет; Федеральный центр поддержки разработки и производства экзопротезов; Волгоградский медицинский научный центр
Email: cos@volgmed.ru
ORCID iD: 0000-0001-8378-0505
доктор медицинских наук, профессор
Россия, Волгоград; Волгоград; ВолгоградАлександр Сергеевич Баринов
Волгоградский государственный медицинский университет
Email: acosm@mail.ru
ORCID iD: 0000-0001-6391-7236
кандидат медицинских наук
Россия, ВолгоградЕкатерина Аркадьевна Баринова
Волгоградский государственный медицинский университет
Автор, ответственный за переписку.
Email: barinovoy@gmail.com
ORCID iD: 0000-0003-3073-0672
кандидат медицинских наук
Россия, ВолгоградФедор Андреевич Андрющенко
Волгоградский медицинский научный центр
Email: cos@volgmed.ru
ORCID iD: 0000-0002-6497-1848
кандидат медицинских наук
Россия, ВолгоградСтанислав Игоревич Ткаченко
Волгоградский государственный медицинский университет
Email: cos@volgmed.ru
ORCID iD: 0000-0003-3853-561X
Россия, Волгоград
Список литературы
- Военно-полевая хирургия : учебник. 2-е изд., изм., и доп. ; под ред. Е. К. Гуманенко. Москва: ГЭОТАР-Медиа, 2008. 768 с.
- Шаповалов В. М., Хоминец В. В. Возможности последовательного остеосинтеза при лечении раненых с огнестрельными переломами длинных костей конечностей. Гений ортопедии. 2010;3:5–12.
- Нечаев Э. А., Грицанов А. И., Миннуллин И. П., и др. Взрывные поражения : руководство для врачей и студентов; под ред. чл.-корр. РАМН проф. Э. А. Нечаева. Санкт-Петербург: икф «Фолиант». 2002. 656 с.
- Воробьев А. А., Андрющенко Ф. А., Засыпкина О. А., Кривоножкина П. С. К методике определения анатомически зависимых параметров экзоскелета верхней конечности ЭКЗАР. Волгоградский научно-медицинский журнал. 2015;1(45):58–61.
- Артемьев А. А., Керимов А. А., Переходов С. Н. и др. Последовательный внешний остеосинтез огнестрельных переломов костей конечностей на этапах медицинской эвакуации. Медицинский вестник ГВКГ им. Н. Н. Бурденко. 2023;1:22–30.
- Королев С. Б., Митрофанов В. Н., Живцов О. П. и др. Клинико-морфологическая и иммуногистохимическая характеристика индуцированной мембраны при хроническом очаговом остеомиелите метаэпифизарной области в эксперименте. Современные проблемы науки и образования. 2022;2:91.
- Давыдов Д. В., Чирва Ю. В., Брижань Л. К. и др. Перспективный метод восстановления костной ткани у пострадавших с тяжелыми нарушениями остеорегенерации (Опыт клинического применения скаффолд-технологий). Политравма. 2021;1:41–50.
- Воробьев А. А., Андрющенко Ф. А., Засыпкина О. А., Кривоножкина П. С. К методике определения анатомически зависимых параметров экзоскелета верхней конечности ЭКЗАР. Волгоградский научно-медицинский журнал. 2015;1(45):58–61.
- Воробьев А. А., Курушина О. В., Воробьева Ю. С. и др. Экзоскелет как основа новой методики реабилитации пациентов с нервно-мышечными заболеваниями верхних конечностей. Сборник проектов конкурса «Всероссийская научная школа "Медицина молодая"» : Международный фонд развития биомедицинских технологий им. В. П. Филатова. Москва, 2023:152–155.
- Воробьев А. А., Доника А. Д., Горелик И. М., Андрющенко Ф. А. Реабилитация комбатантов: этический и медицинский подходы. Биоэтика. 2023; 16(1):39–43.
- Воробьев А. А., Баринов А. С., Баринова Е. А., Андрющенко Ф. А. К вопросу об экзоскелетной реабилитации плечелопаточного периартрита после минно-взрывного ранения лопаточной области. Вопросы реконструктивной и пластической хирургии. 2023;26(3):47–53.
Дополнительные файлы







