Dynamic MRI in a COVID-19 patient: a case series
- Authors: Vasilev Y.A.1, Grik E.A.2, Panina O.Y.1,3,4, Khoruzhaya A.N.1, Semenov D.S.1, Bazhin A.V.1, Vasileva Y.N.4
-
Affiliations:
- Moscow Center for Diagnostics and Telemedicine
- Lincoln Medical Center
- City Clinical Oncological Hospital 1 of the Department of healthcare of the city of Moscow
- Moscow State University of Medicine and Dentistry named after A.I. Evdokimov
- Issue: Vol 4, No 1 (2023)
- Pages: 71-79
- Section: Case reports
- Submitted: 19.11.2022
- Accepted: 17.03.2023
- Published: 19.04.2023
- URL: https://jdigitaldiagnostics.com/DD/article/view/114723
- DOI: https://doi.org/10.17816/DD114723
- ID: 114723
Cite item
Abstract
Extensive spread of the coronavirus disease (COVID-19) prompted an investigation of its diagnostic features. Acute viral pneumonia associated with COVID-19 has been described in detail using CT, radiography, and MRI. There is no data in the literature on the descriptive picture observed with dynamic MRI. Considering a comprehensive diagnostic approach, radiologists should know how to correctly recognize and interpret COVID-19 on MRI. This case series demonstrated the ability of dynamic MRI to detect the cloudy sky sign and distinguish it from consolidation in COVID-19 patients, thus presumably distinguishing between early or mild changes and a progressive clinical course. These changes in dynamic lung images on MRI can be recorded depending on the phase of the respiratory cycle. Thus, MRI, as a radiation-free tool that can be used to examine a patient with acute viral pneumonia COVID-19, can be useful in cases where access to computed tomography is limited and dynamic morphofunctional imaging is required.
Keywords
Full Text
BACKGROUND
Over the last 2 years, a novel coronavirus infection (COVID-19) caused by SARS-CoV-2 has become an important research focus due to the prevalence of pulmonary symptoms. The computed tomography (CT) is used to detect the primary chest symptoms of COVID-19, which include localized unilateral or diffuse bilateral ground-glass opacity (GGO) progressing to lung parenchyma consolidation.[1, 2]
Due to a paucity of laboratory diagnostics funding at the start of the pandemic, a chest CT scan was considered as a possible factor in deciding whether a patient should be tested for COVID-19 using laboratory methods. This screening approach was later cancelled, and currently, chest CT is only recommended if clinical signs and symptoms of COVID-19 are observed.[3, 4] In severe cases, chest CT scans are performed several times for condition monitoring, resulting in high radiation exposure. Software for magnetic resonance imaging (MRI) of the chest is continually being improved and is regarded as a promising area of imaging development for lung conditions. Lung MRI may be considered the method of choice in some cases due to some advantages, such as the lack of radiation exposure.[5-7]
Our case reports describe the use of dynamic lung MRI in SARS-CoV-2-positive patients. An MRI was performed within the first few days after the onset of viral pneumonia symptoms (subfebrile/febrile fever, dry cough, and weakness). This study focuses on abnormal changes revealed by dynamic MRI using three-dimensional cinematic chest imaging in COVID-19 patients with acute viral pneumonia.
CASE REPORTS
MRI scan
A patient was examined in the supine position using abdominal and vertebral radiofrequency (RF) coils built into the tabletop of a 3T MRI scanner (Signa Pioneer, General Electric, USA). Under free-breathing conditions, the scan was performed without a respiratory trigger. The RF coil was fixed to reduce dynamic artifacts associated with respiratory movements. The study was conducted under free-breathing conditions using automatic synchronization of diaphragm movement to optimize the time of data collection. For cinematic MRI, a single fast spin echo was used with additional parameters as follows: TR 1,460 ms, TE 108.6 ms, rotation angle 90°, FOV 450 × 450 mm, matrix 384 × 256, slice thickness 6 mm, slice spacing 6 mm, average number 0.6, and non-Cartesian k-space filling method. To obtain these scans, we asked the patient to take a slow breath while mentally counting to 10 and then exhale slowly in the same manner. Three dynamic images in three orthogonal planes were obtained for each patient.
MRI analysis
The search focused on polysegmented sites with increased signal intensity (hyperintense compared with muscle tissue but hypointense compared with pulmonary consolidation sites, i.e., with less intense signal compared with consolidation sites), which could represent a “cloudy sky” sign. We also noted changes in the signal intensity of the lesions during inhalation and exhalation.
Case Report 1
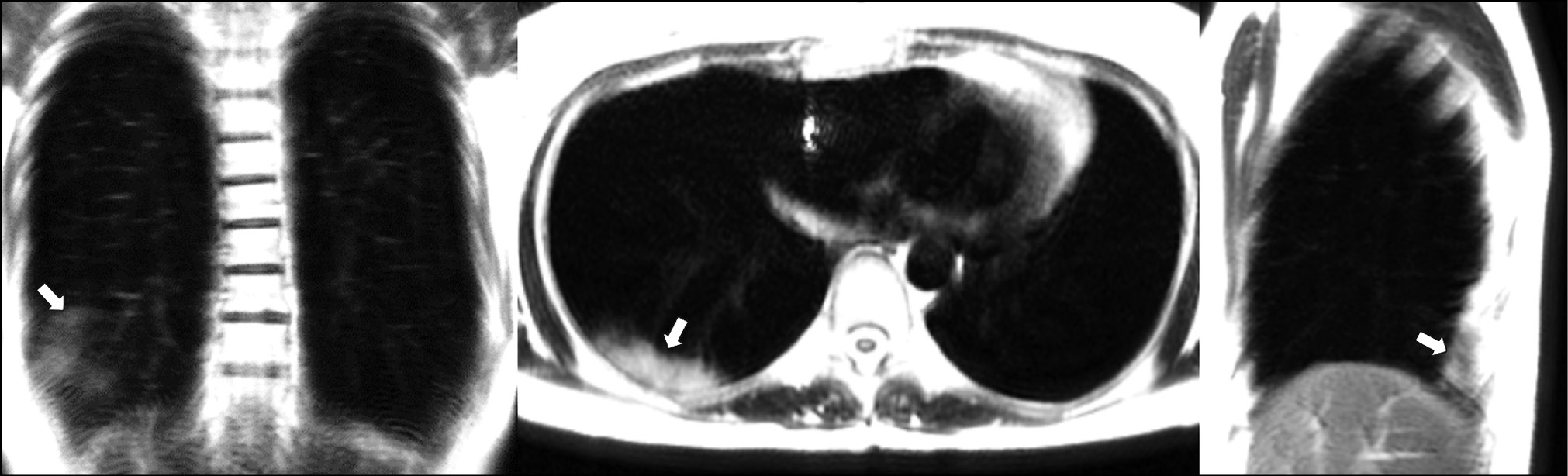
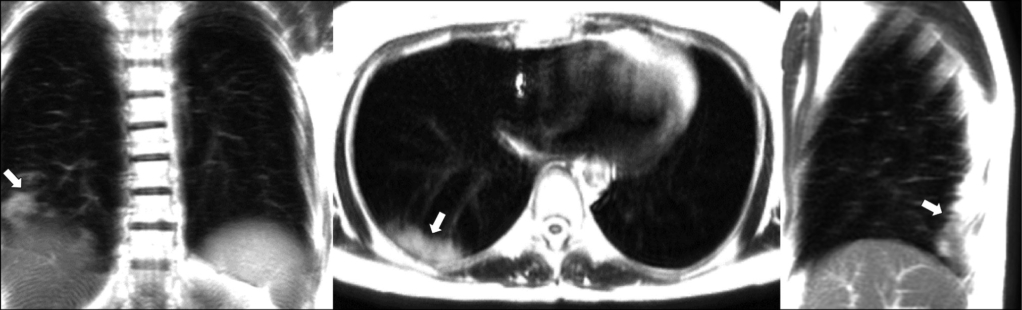
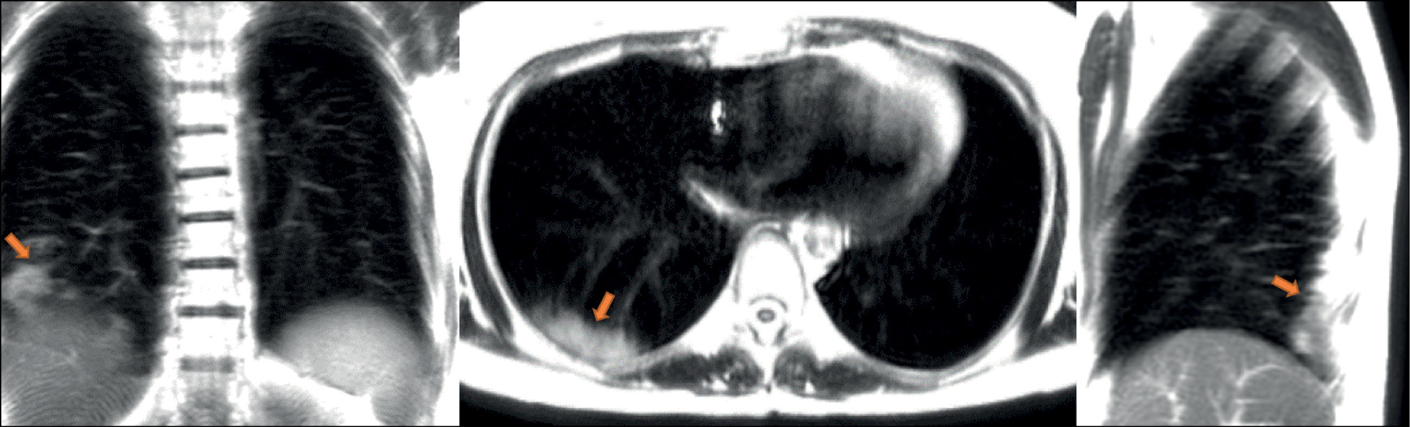
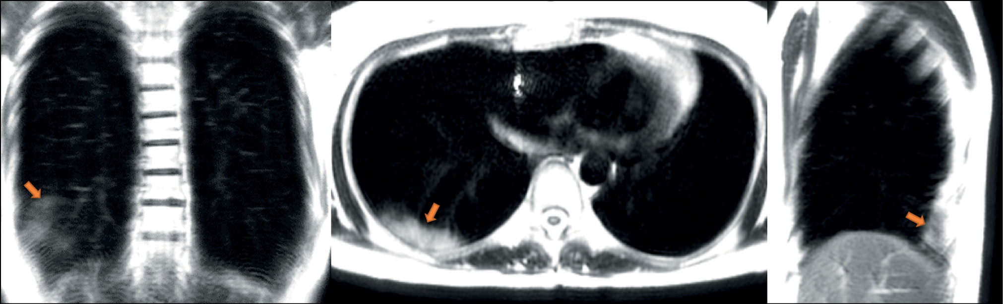
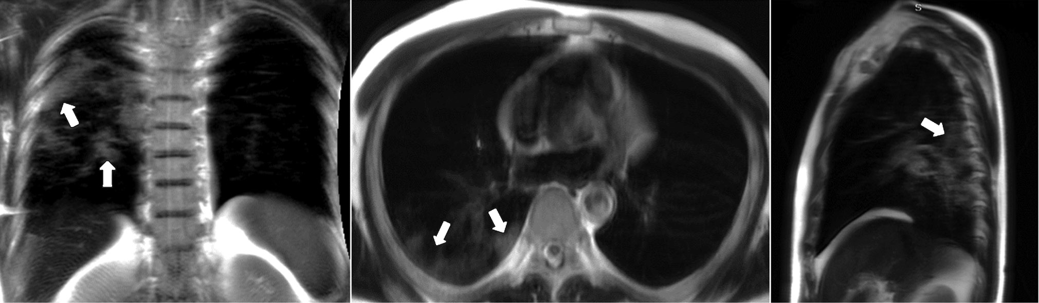
A patient (female, 45 years old) presented to the clinic on the fifth day after the onset of dry cough and mild fever up to 37.5°С. Dynamic lung MRI in the coronal plane (Fig. 1) showed an area of hyperintense signal in the lower lobe of the right lung (S9–S10), interpreted as an area of central induration (more intense signal) with a surrounding “cloudy sky” (less intense signal) during inhalation. A hyperintense signal was found in the corresponding area in the axial and sagittal planes, indicating consolidation with a “cloudy sky” along the edge of the area. At the end of exhalation, increased signal intensity was observed in the described area in the coronal plane (Fig. 2) with decreased visual size of the affected areas due to lung tissue contraction. During exhalation, no changes in signal intensity were observed in the axial and sagittal planes.
Figure 1. Dynamic magnetic resonance imaging of the lungs during inhalation in the coronal, axial, and sagittal planes. In the axial and sagittal planes, arrows point to areas of compaction. In the coronal plane, the arrow points to a “cloudy sky” (S9–S10).
Figure 2. Dynamic magnetic resonance imaging of the lungs during exhalation in the coronal, axial, and sagittal planes. Arrows indicate the areas of consolidation (S9–S10).
If the same hyperintense signal is observed regardless of respiration phases, this could indicate alveolar infiltration (consolidation), but a less intense signal during exhalation could indicate intermediate changes (cloudy sky”).
Case Report 2
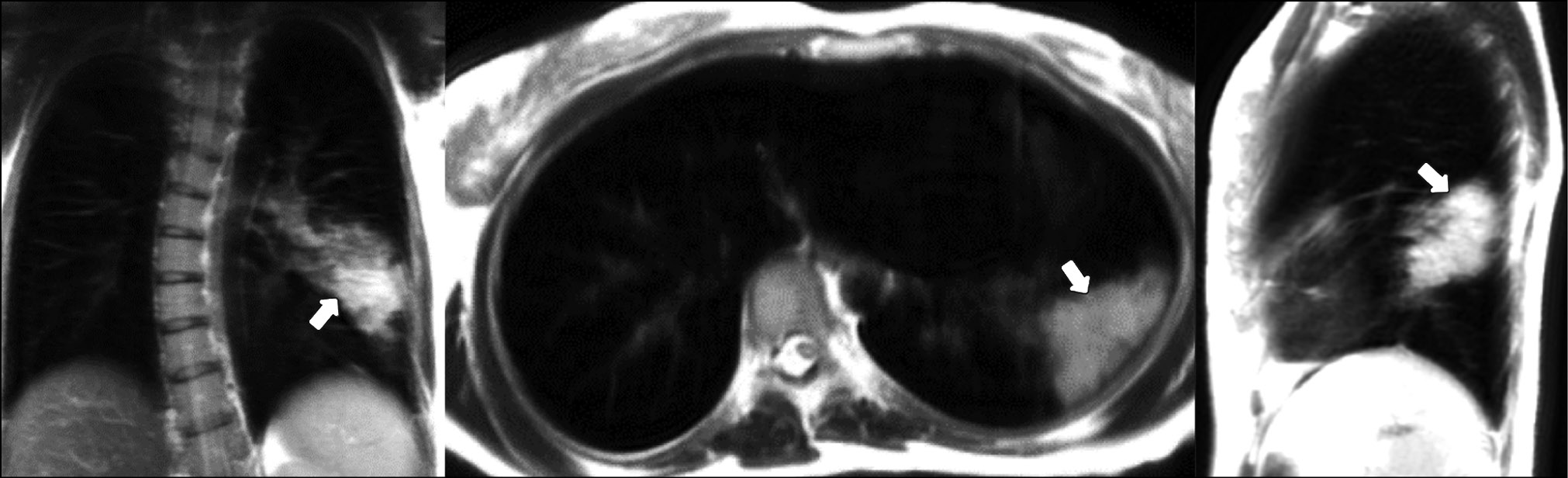
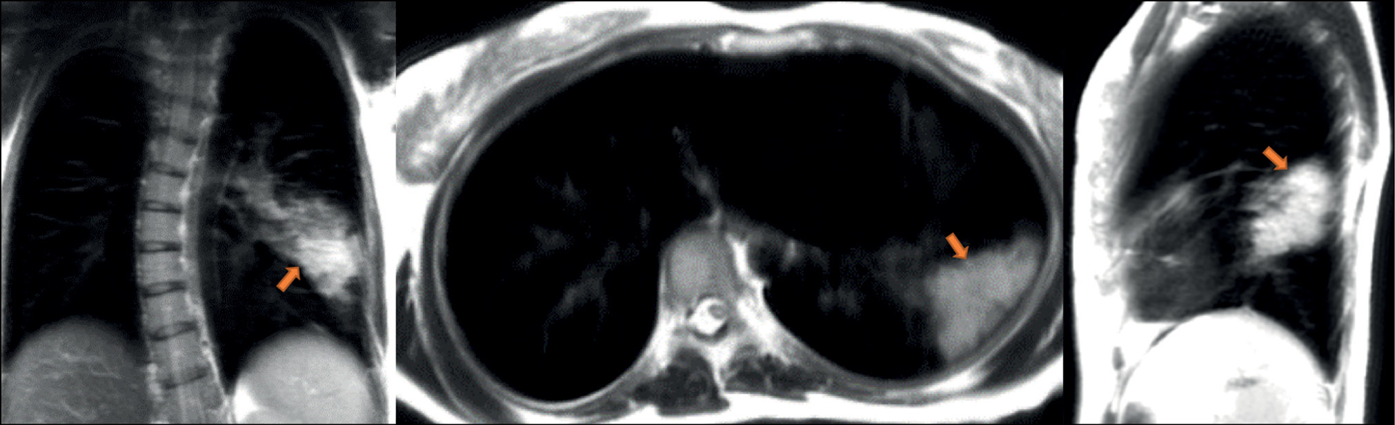
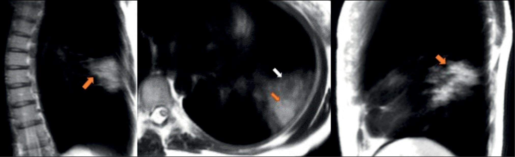
A patient (female, 25 years old) complained of a dry cough, high fever (up to 39°С), chills, and chest heaviness. She went to the hospital on the sixth day after the onset of the first symptoms, when they became extremely pronounced. Dynamic MRI showed a large area of increased signal in segments S6, S8, and S9 of the left lung’s lower lobe. An inhomogeneous increased signal was found during inhalation in the coronal, axial, and sagittal planes (Fig. 3). The signal intensity increased in the coronal and sagittal planes during exhalation (Fig. 4), with the increased visual size of the affected areas and the expanded “cloudy sky” area. These findings may be attributed to expiratory contraction of lung tissue during exhalation.
Figure 3. Dynamic magnetic resonance imaging of the lungs during inhalation in the coronal, axial, and sagittal planes. Orange arrows point to consolidation areas visible during inhalation (S6, S8, and S9). The white arrow points to the area with the “cloudy sky.”
Figure 4. Dynamic magnetic resonance imaging of the lungs during exhalation in the coronal, axial, and sagittal planes. Arrows point to lesions with areas of both marked interstitial changes (the sign of the “cloudy sky”) and alveolar (compaction) changes that can be differentiated during inhalation (see Figure 3).
Chest breathing movements can also influence scanning and thus the observed pattern. The “cloudy sky” observed at the periphery of the signal enhancement area during inhalation becomes more intense during exhalation, most likely due to increasing density of the lung parenchyma.
Case Report 3
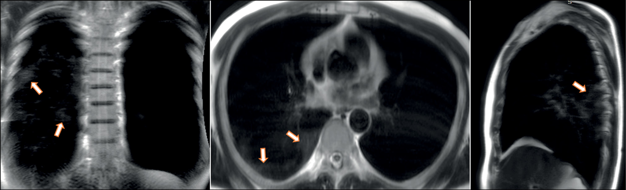
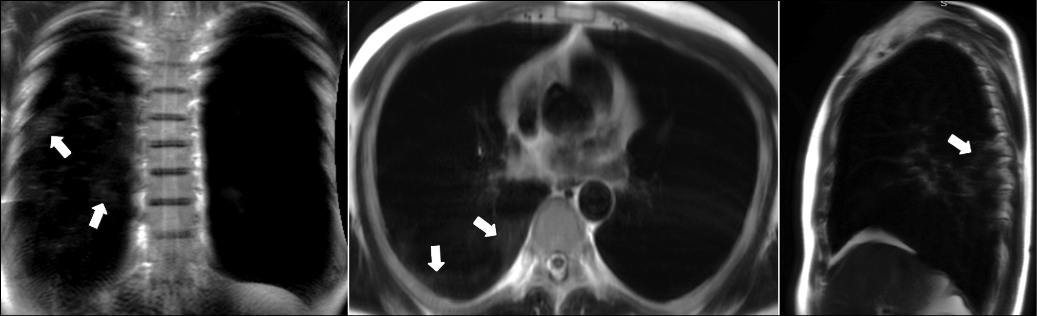
A patient (male, 49 years old) with a mild cough and subfebrile fever up to 37.5°С consulted a doctor on the second day after the onset of symptoms. Dynamic lung MRI showed the predominant “cloudy sky,” which was confirmed by different signal intensities and signal change area sizes depending on the respiratory cycle phase. During inhalation, a weak signal was detected in the lower lobe of the right lung (S6, S9, and S10) in the coronal, axial, and sagittal planes (Fig. 5). Increased signal intensities and area sizes were observed in the coronal and sagittal planes at the end of exhalation (Fig. 6) compared with the areas described. The “cloudy sky” was more prominent in the axial plane during exhalation, whereas the area of visible lung damage was wider.
Figure 5. Dynamic magnetic resonance imaging of the lungs during inhalation in the coronal, axial, and sagittal planes. Arrows point to areas of low-intensity signal with the “cloudy sky” pattern (S6, S9, and S10).
Figure 6. Dynamic magnetic resonance imaging of the lungs during exhalation in the coronal, axial, and sagittal planes. Arrows point to an increase in low-intensity signal areas with the “cloudy sky” pattern (S6, S9, and S10).
DISCUSSION
CT scanning is the gold standard for lung evaluation in COVID-19 pneumonia and other viral pneumonias. In most cases, early signs of acute coronavirus pneumonia caused by SARS-CoV-2 present as GGO on chest CT scans. Consolidation areas indicating an alveolar lesion typically appear in the later stages of the disease.
MRI changes in patients with viral pneumonia are associated with inflamed parenchyma, leading to an increased signal. Viral pneumonia is also characterized by the presence of the “cloudy sky” sign, which is similar to GGO. [5] During dynamic MRI, we observed signal concentration with “cloudy sky” sign during exhalation and pronounced rarefaction during inhalation, which may be indicative of early lung changes in acute viral pneumonia. The consolidation pattern, which is characteristic of alveolar involvement, does not change significantly during respiration. Therefore, dynamic lung MRI allows us to differentiate areas of consolidation and GGO, which is not always possible with static lung MRI.
Previously, our authors examined patients using an MRI-LUNG protocol [5] (static scanning) and found that the visible parenchyma lesions are similar to the pattern of CT lesions. Real-time tests showed that MRI enables for rapid and painless lung imaging under free-breathing conditions. A limitation of our study was the lack of CT data to compare identified patterns.
The use of MRI in COVID-19 patients has already been studied.[6, 8-14] Dong et al. [8] suggested that MRI may be used to diagnose pregnant women and children. This suggestion was confirmed by Fields et al. [9] compared with various diagnostic methods, such as CT, MRI, and positron emission tomography with CT. Langenbach et al. [10] from Germany reported a case of a patient referred to MRI for primary lung cancer with characteristic changes in the lower long lobes. In this case, COVID-19 was subsequently confirmed. Szarf et al. [11] presented a case report describing MRI data on perilobular opacities similar to the sign of “cloudy sky” and consolidation, which could indicate the presence of organized pneumonia. Akhlaghpoor et al. [12] performed a similar MRI imaging of viral pneumonia caused by COVID-19, demonstrating and describing 8 case reports. In addition to these changes, Dheir et al. [13] reported MRI-detected nodules in 11 patients and CT-detected nodules in 12 patients, with sensitivity and specificity of 91.67% and 100%, respectively.
CONCLUSION
Several case reports have clearly demonstrated that dynamic MRI can be used to detect “cloudy sky” sign (as the GGO pattern in CT) and differentiate it from consolidation in COVID-19 patients.
The study showed that dynamic lung examination may be superior to standard static scans. Despite its high potential, lung MRI remains an experimental technique that needs more research to understand its role in the management of COVID-19 patients. However, the observed patterns can be applied to other lung conditions.
ADDITIONAL INFORMATION
Funding source. The article was prepared with the support of the Moscow Department of Health as part of the research work (No. EGISU: АААА-А21-123031500007-6) in accordance with the program “Scientific support of the capital’s healthcare” for 2023-2025.
Competing interests. The authors declare that they have no competing interests.
Authors’ contribution. All authors made a substantial contribution to the conception of the work, acquisition, analysis, interpretation of data for the work, drafting and revising the work, final approval of the version to be published and agree to be accountable for all aspects of the work. Yu.A. Vasiliev, A.V. Bazhin, Yu.N. Vasilyeva, D.S. Semenov — concept and design of the study, editing and approval of the final version of the manuscript text, advisory support for clinical and technical parts; E.A. Grik, O.Yu. Panina — study concept and design, analysis of MRI studies, description of clinical cases; A.N. Khoruzhaya — literature analysis, writing the text of the article, editing.
Consent for publication. Written consent was obtained from the patients for publication of relevant medical information and all of accompanying images within the manuscript Digital Diagnostics journal.
Acknowledgments. The authors are grateful for the help in developing the concept of the study, as well as for the organizational and methodological support of K.A. Sergunova, S.P. Morozov, A.G. Masri, A.V. Midaev and E.A. Suleimanov.
About the authors
Yuriy A. Vasilev
Moscow Center for Diagnostics and Telemedicine
Email: y.vasilev@npcmr.ru
ORCID iD: 0000-0002-0208-5218
SPIN-code: 4458-5608
MD, Cand. Sci. (Med.)
Russian Federation, MoscowEvgeniia A. Grik
Lincoln Medical Center
Email: evgeniyagrik@gmail.com
ORCID iD: 0000-0002-7908-3982
SPIN-code: 5558-7307
United States, The Bronx, NY
Olga Yu. Panina
Moscow Center for Diagnostics and Telemedicine; City Clinical Oncological Hospital 1 of the Department of healthcare of the city of Moscow; Moscow State University of Medicine and Dentistry named after A.I. Evdokimov
Email: o.panina@npcmr.ru
ORCID iD: 0000-0002-8684-775X
SPIN-code: 5504-8136
Russian Federation, Moscow; Moscow; Moscow
Anna N. Khoruzhaya
Moscow Center for Diagnostics and Telemedicine
Author for correspondence.
Email: a.khoruzhaya@npcmr.ru
ORCID iD: 0000-0003-4857-5404
SPIN-code: 7948-6427
Russian Federation, Moscow
Dmitriy S. Semenov
Moscow Center for Diagnostics and Telemedicine
Email: d.semenov@npcmr.ru
ORCID iD: 0000-0002-4293-2514
SPIN-code: 2278-7290
Russian Federation, Moscow
Alexander V. Bazhin
Moscow Center for Diagnostics and Telemedicine
Email: a.bazhin@npcmr.ru
ORCID iD: 0000-0003-3198-1334
SPIN-code: 6122-5786
Russian Federation, Moscow
Yulia N. Vasileva
Moscow State University of Medicine and Dentistry named after A.I. Evdokimov
Email: drugya@yandex.ru
ORCID iD: 0000-0002-1066-3989
SPIN-code: 9777-2067
MD, Cand. Sci. (Med.)
Russian Federation, MoscowReferences
- Shi H, Han X, Jiang N, et al. Radiological findings from 81 patients with COVID-19 pneumonia in Wuhan, China: A descriptive study. Lancet Infectious Dis. 2020;20(4):425–434. doi: 10.1016/S1473-3099(20)30086-4
- Salehi S, Abedi A, Balakrishnan S, Gholamrezanezhad A. Coronavirus Disease 2019 (COVID-19): A systematic review of imaging findings in 919 patients. Am J Roentgenol. 2020;215(1):87–93. doi: 10.2214/AJR.20.23034
- ACR Recommendations for the use of chest radiography and computed tomography (CT) for suspected COVID-19 infection [cited March 11, 2020]. Available from: https://www.acr.org/Advocacy-and-Economics/ACR-Position-Statements/Recommendations-for-Chest-Radiography-and-CT-for-Suspected-COVID19-Infection. Accessed: 15.01.2023.
- Temporary guidelines “Prevention, diagnosis and treatment of new coronavirus infection (COVID-19)”. Version 16 (08/18/2022). Moscow; 2022. 249 p. (In Russ).
- Vasilev YA, Sergunova KA, Bazhin AV, et al. Chest MRI of patients with COVID-19. Magn Reson Imaging. 2021;(79):13–19. doi: 10.1016/j.mri.2021.03.005
- Vasilev YuA, Sergunova KA, BazhinАV, et al. Chest MRI of a pregnant woman with COVID-19 pneumonia. Digital Diagnostics. 2020;1(1):61−68. doi: 10.17816/DD46800
- Vasiliev YuA, Panina OYu, Kudryavtsev ND, et al. Magnetic resonance imaging of the lungs: methodological recommendations. Issue 92. Moscow; 2022. 102 р. (Series «The best practices of radiation and instrumental diagnostics»). (In Russ).
- Dong D, Tang Z, Wang S, et al. The role of imaging in the detection and management of COVID-19: A review. IEEE Rev Biomed Eng. 2021;(14):16–29. doi: 10.1109/RBME.2020.2990959
- Fields BK, Demirjian NL, Dadgar H, Gholamrezanezhad A. Imaging of COVID-19: CT, MRI, and PET. Semin Nucl Med. 2021;51(4):312–320. doi: 10.1053/j.semnuclmed.2020.11.003
- Langenbach MC, Hokamp GN, Persigehl T, Bratke G. MRI appearance of COVID-19 infection. Diagn Interv Radiol. 2020;26(4):377–378. doi: 10.5152/dir.2020.20152
- Fonseca EK, Chate RC, Neto RS, et al. Findings of COVID-19 on magnetic resonance imaging. Radiology Cardiothoracic Imaging. 2020;2(2):e200193. doi: 10.1148/ryct.2020200193
- Torkian P, Rajebi H, Zamani T, et al. Magnetic resonance imaging features of coronavirus disease 2019 (COVID-19) pneumonia: The first preliminary case series. Clin Imaging. 2021;(69):261–265. doi: 10.1016/j.clinimag.2020.09.002
- Ates OF, Taydas O, Dheir H. Thorax magnetic resonance imaging findings in patients with coronavirus disease (COVID-19). Acad Radiol. 2020;27(10):1373–1378. doi: 10.1016/j.acra.2020.08.009
- Ussov WY, Nudnov NV, Ignatenko G, et al. Primary and prospective imaging of the chest using magnetic resonance imaging in patients with viral lung damage in COVID-19. Med Visualizat. 2020;24(4):11–26. (In Russ). doi: 10.24835/1607-0763-2020-4-11-26
Supplementary files













