Low-dose computed tomography in COVID-19: systematic review
- Authors: Blokhin I.A.1, Rumyantsev D.А.1, Suchilova M.M.1, Gonchar A.P.1, Omelyanskaya O.V.1
-
Affiliations:
- Moscow Center for Diagnostics and Telemedicine
- Issue: Vol 4, No 1 (2023)
- Pages: 25-37
- Section: Systematic reviews
- Submitted: 22.12.2022
- Accepted: 06.02.2023
- Published: 19.04.2023
- URL: https://jdigitaldiagnostics.com/DD/article/view/119870
- DOI: https://doi.org/10.17816/DD119870
- ID: 119870
Cite item
Abstract
BACKGROUND: The increased number of computed tomography scans during the COVID-19 pandemic has emphasized the task of decreasing radiation exposure of patients, since it is known to be associated with an elevated risk of cancer development. The ALARA (as low as reasonably achievable) principle, proposed by the International Commission on Radiation Protection, should be adhered to in the operation of radiation diagnostics departments, even during the pandemic.
AIM: To systematize data on the appropriateness and effectiveness of low-dose computed tomography in the diagnosis of lung lesions in COVID-19.
MATERIALS AND METHODS: Relevant national and foreign literature in scientific libraries PubMed and eLIBRARY, using English and Russian queries “low-dose computed tomography” and “COVID-19,” published between 2020 and 2022 were analyzed. Publications were evaluated after assessing the relevance to the review topic by title and abstract analysis. The references were further analyzed to identify articles omitted during the search that may meet the inclusion criteria.
RESULTS: Published studies summarized the current data on the imaging of COVID-19 lung lesions and the use of computed tomography scans and identified possible options for reducing the effective dose.
CONCLUSION: We present techniques to reduce radiation exposure during chest computed tomography and preserve high-quality diagnostic images potentially sufficient for reliable detection of COVID-19 signs. Reducing radiation dose is a valid approach to obtain relevant diagnostic information, preserving opportunities for the introduction of advanced computational analysis technologies in clinical practice.
Full Text
BACKGROUND
At the time of writing this paper (December 22, 2022), the number of coronavirus disease 2019 (COVID-19) cases reaches 650 million.1 Spread of the disease and consequent mortality can be prevented and reduced with a combination of measures, including early diagnosis.2
The main method of laboratory diagnostics is reverse-transcription polymerase chain reaction (RT PCR). At the first peak of the coronavirus pandemic, disadvantages of this technique were revealed, such as a high rate of false-positive results, limited test availability, and long waiting time for results. [1] Moreover, computed tomography (CT) of the chest can also provide false-negative results in patients with signs of COVID-19. [2]
According to Russian [3] and international3 guidelines, diagnostic radiology for COVID-19-associated pneumonia includes radiography and CT. Chest X-ray imaging has low sensitivity to viral pneumonia [4], so CT plays an important role in the diagnosis of COVID-19-associated pneumonia and its complications. [5]
The active use of CT during the pandemic leads to high radiation exposure to the population. [6, 7] To assess changes in patient condition during the hospital stay, 2–6 CTs are usually performed within a short period since a clear trend toward CT regression of abnormal changes is one of the criteria for patient discharge.[3] Patients with suspected COVID-19 may undergo 1–2 outpatient CT scans to detect signs of the disease. [8. 9]
Radiation exposure is significantly associated with the increased risk of developing cancer. [10] In radiology departments, even in a pandemic, the “as low as reasonably achievable” principle proposed by the International Commission of Radiological Protection [11] should be observed. In March 2020, Kang et al. proposed the use of low-dose CT (LDCT) as the first stage of radiation diagnosis in patients with COVID-19-associated pneumonia. [6] The important role of LDCT in COVID-19 was also highlighted by the webinar “COVID-19 and Chest CT: Protocol and Dose Optimization,” which was held in April 2020 and attended by 1633 people from 100 countries. During the video conference, it was found that 55%, 43%, and 2% of healthcare institutions use standard (CTDIvol 5–10 mGy), low-dose (CTDIvol <5 mGy), and high-dose protocols (CTDIvol >10 mGy). [12] However, even a superficial assessment of an X-ray workstation reveals a significant number of scan parameters that affect radiation exposure, [13], and the relationship between different protocol settings and radiation dose may not be obvious, especially considering the pathology examined.
This literature review aimed to systematize data on opportunities for reducing radiation exposure during lung CT in patients with COVID-19.
MATERIALS AND METHODS
Relevant Russian and foreign literature sources were reviewed in PubMed and eLIBRARY scientific libraries for search queries “low dose computed tomography COVID-19” and “низкодозная компьютерная томография COVID-19” for the period from 2020 to 2022.
Publications were included in the review after assessing their relevance according to their titles and abstracts. The review included original studies and meta-analyses, and literature reviews, case reports, and congress abstracts were excluded. References were also reviewed for relevant studies on general principles of CT dose reduction that might have been published before 2020. When such articles were found, the most recent study was included in the review.
RESULTS AND DISCUSSION
In total, 45 foreign papers and five Russian papers were reviewed. The latest search date was December 22, 2022.
Methods for Reducing Radiation Exposure
Methods for reducing radiation exposure can be divided into hardware and software ones. Hardware methods are related to tube potential, tube current, pitch factor, and X-ray beam filter. Software methods are related to the reconstruction filter, slice thickness, and iterative reconstructions.
Hardware Methods. Tube potential (kVp) is nonlinearly related to radiation exposure. [14] Zarb et al. [15] showed that a decrease in tube potential by 14%–17% provides a radiation dose decrease by 32%–38%. In this case, reducing the tube potential increases the noise level while performing non-contrast-enhanced examinations. A phantom study showed that these parameters are interrelated via an exponent of −1.3. [16] Moreover, reducing the tube potential in contrast-enhanced examinations improves the quality of images by significantly reducing radiation exposure. [17]
Tube current (mAs) is linearly related to radiation exposure. [18] For example, a 50% decrease in tube current leads to a 50% decrease in the effective dose [17], while the signal-to-noise ratio is inversely proportional to the square root of the current. [19]
A pitch factor for multislice CT has almost no effect on radiation exposure. [20] As the pitch factor increases, the signal-to-noise ratio decreases, and the tomograph automatically increases the tube current to prevent deterioration of image quality. [21]
An X-ray beam filter is used to absorb low-energy photons that cannot pass through the patient tissues and do not reach the detectors. Therefore, the use of an additional tin filter can significantly reduce radiation exposure during CT [22] but requires additional costs for scanner modification.
Software Methods. The choice of the reconstruction filter (convolution kernel) does not affect radiation exposure but affects the signal-to-noise ratio, amplifying or smoothing out the difference between pixels of different organs or structures. [23]
A low slice thickness is associated with lower image quality but decreases the risk of missing small abnormal changes. Thus, slice thickness can be optimized. For example, for the examination of pulmonary nodes, this parameter may be 2 mm. [24]
The main way to reduce “noise” is iterative reconstructions, which allow CTs with lower radiation doses and a similar signal-to-noise ratio to the standard data reconstruction technique. [25] The use of artificial neural networks for image reconstruction is one of the promising methods. [26, 27]
Based on the literature review, reducing the tube current reduces radiation exposure, and the signal-to-noise ratio can be optimized using a reconstruction filter that smoothens the difference between adjacent pixels (soft tissue) and iterative reconstruction.
Low-dose CT in the diagnosis of COVID-19
In the literature review, a single, well-defined low-dose protocol is warranted for COVID-19 (Table 1 [28–54]). The reduced radiation exposure dose is achieved mainly by changing the tube potential, tube current, use of iterative reconstructions, and a tin filter. Some studies reviewed had shortcomings related to data presentation: dosimetric parameters (CTDI, DLP, SSDE, and effective dose) were not mentioned, and small sample sizes were used.
Table 1. Parameters of low-dose computed tomography for diagnosis of COVID-19 based on the literature review
Автор, год, ссылка | Напряжение трубки, кВ | Сила тока трубки, мАс | Средняя доза облучения, мЗв | Толщина среза, мм | Фильтр реконструкции | Использование итеративной реконструкции |
Author, year, link | Tube potential (kV) | Tube current, mA | Average radiation dose (mSv) | Slice thickness (mm) | Reconstruction filter | Use of Iterative Reconstruction |
Blokhin et al. (2022) [28] | 120 | 10–500, noise level 36 (SD) | 3 | 1 | FC51, FC07 | No |
Filatova et al. (2020) [29] | 100/110 | 40–120 | 1,27 | 1 | - | Yes |
Afshar et al. (2022) [30] | 110 | 20 | 1–1,5 | 2 | D40s | - |
Fukumoto et al. (2022) [31] | 120 | 20–25 | СTDI 1.3 mGy | 5 | Lung and soft tissue | - |
Bieba et al. (2022) [32] | Depending on weight | Depending on weight | - | 1 and 3 | - | - |
Barrio et al. (2022) [33] | 100/150 | Anthropomorphic current modulation system | - | 1 | Br32 Bl60 | - |
Thieß et al. (2022) [34] | 100 | 10–100 | 0,53 | 0,5 b 0,625 | Fc01 Fc85 | Yes |
Greffier et al. (2021) [35] | 100/120 | 10 | 0,2 | 1 | I30f, mediastinal, I50f, lung images | Yes |
Karakaş et al. (2021), [36] | 80 | 40 | 0,18 | 5 | lung | Yes |
Julie et al. (2021) [37] | 120 | 45 | - | 1,2 | - | - |
Desmet et al. (2021) [38] | 80–140 | 20–30 | 0,64 | 0,6 | - | - |
Aslan et al. (2021) [39] | 80 | 35–50 | 0,2856 | 3 | lung | Yes |
Stoleriu et al. (2021) [40] | 120 | 40–113 | 35–100 mGy×cm 0.78–2.91 mGy | 1,25 | Medium Soft | Yes |
Bai et al. (2021) [41] | 120 | 120–380 | 1,21±0,10 | 1,25 | Standard | Yes |
Agostini et al. (2021) [42] | 100 | 95 | 0,39 | 1,5 | Sharp | Yes |
Zali et al. (2021) [43] | 100–120 | 50–100 | - | 1-3 | - | - |
Argentieri et al. (2021) [44] | 80 | 20 | 0,219 | 2 | Sharp | - |
Leger et al. (2020) [45] | 120 | 45 | 0,49 | 1,2 | - | - |
Hamper et al. (2020) [46] | 100 | 20–120 | 0,5 | 0,625–1 | Lung | Yes |
Li et al. (2020) [47] | 120 | 30 | 1,22±0,14 | 1 | - | Yes |
Dangis et al. (2020) [48] | 100 | 20 | 0,56 | 1 | Lung (150f) | Yes |
Radpour et al. (2020) [49] | 100–120 | 50–100 | - | 1–3 | - | - |
Kang et al. (2020) [6] | 80–100 | 10–25 | 0,203 | 0,6 | - | Yes |
Tofighi et al. (2020) [50] | 100 | 40 | 2,03 | - | - | No |
Tabatabaei et al. (2020) [51] | 120 | 30 | 1,8 | 3 | - | - |
Schulze-Hagen et al. (2020) [52] | 80 | 35 | 1,7 | 1 and 3 | 170f 130f | - |
Zhao Yue et al. (2020) [53] | 100 | 50 | 1,5 | 1 | - | - |
Castelli et al. (2020) [54] | 120 | 45 | 0,47 | 1,2 | - | - |
Interestingly, a parameter to be changed when optimizing the scanning protocol can be universal for various clinical tasks. Therefore, in LDCT for lung cancer screening, different groups of authors also changed the tube current [55, 56]. However, the development of a specialized LDCT protocol should be initiated with a study on a model object (phantom) to select the optimal method for reducing the exposure. For example, Gombolevsky et al. [57] developed the LDCT protocol for the diagnosis of COVID-19 using a phantom with thickening plates, while setting the automatic tube current control system (Sure Exposure 3D) to a sufficient level to detect ground-glass lesions with a maximum reduction in radiation exposure (SD = 36). A comparison of the protocol selected according to the results of the phantom study with standard CT and LDCT for lung cancer screening is shown in Fig. 1.
Figure 1. Comparison of a dedicated low-dose computed tomography protocol for COVID-19 (SD = 36) with standard and low-dose computed tomography for lung cancer screening. Data on radiation exposure and axial tomograms of the phantom at the level of the lower and middle zones of the lungs. Low-dose computed tomography for lung cancer screening was developed considering the need for radiation exposure limitation as preventive measures according to SanPin (disease control and prevention standards) and has the lowest signal-to-noise ratio. The proposed protocol for low-dose computed tomography for COVID-19 considers the densitometric characteristics of ground-glass lesions with a significant reduction in radiation exposure.
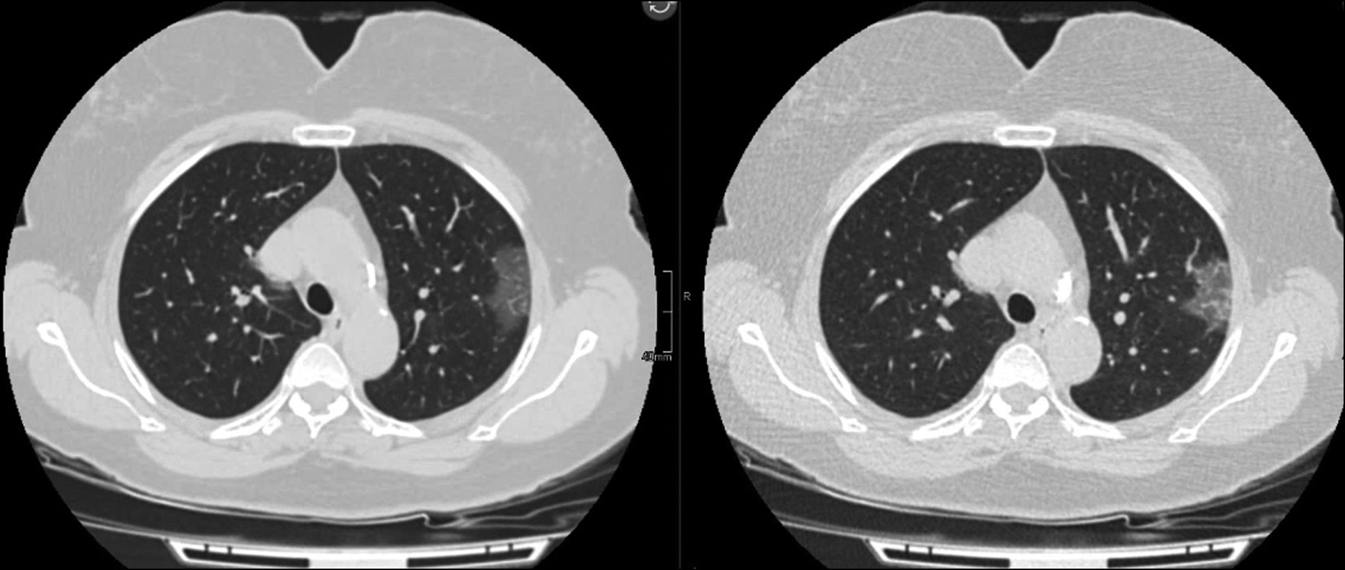
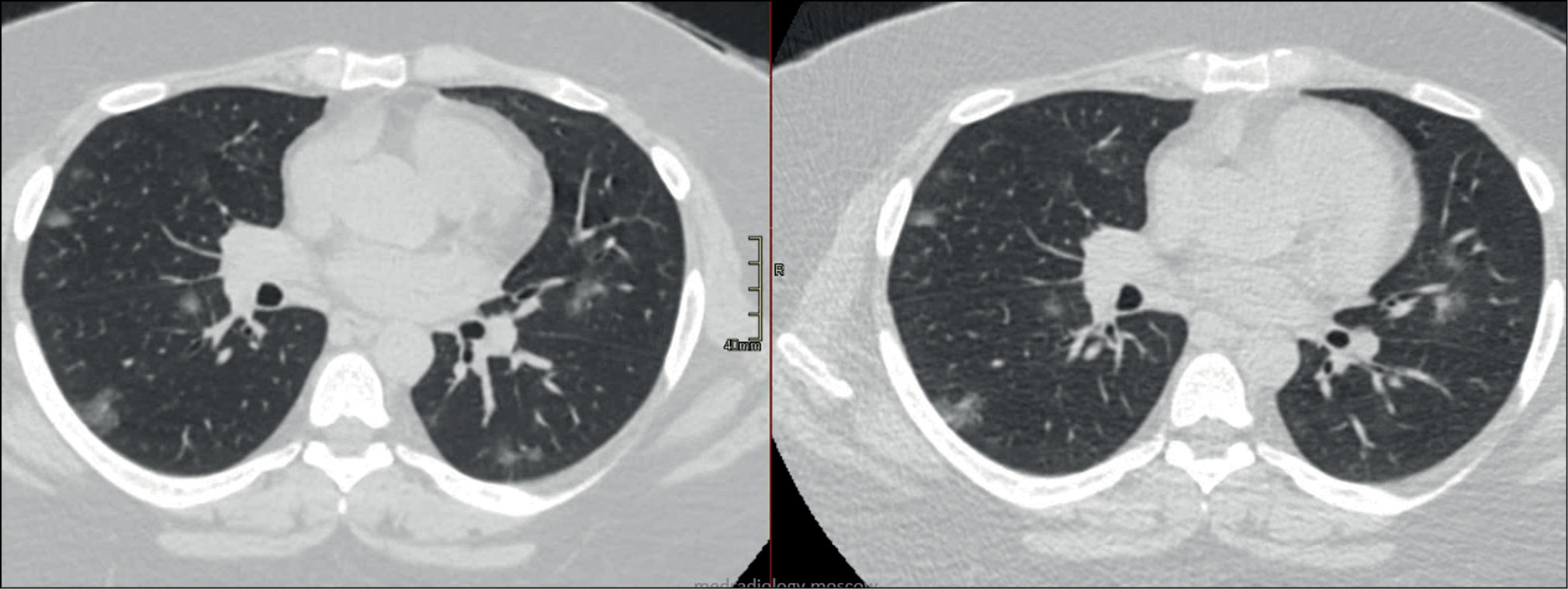
Any special low-dose protocols require clinical validation and comparison with the gold standard. Therefore, clinical trials of the developed LDCT protocol for COVID-19 used standard CT as a reference technique. [28] Some of the clinical images obtained using the developed protocol are shown in Figs. 2 and 3.
Figure 2. Radiation exposure is reduced by 5 times. Patient, 59 y. o., BMI 29 kg/m2. Computed tomography with a soft tissue filter (effective dose: 9.7 mSv), low-dose computed tomography with a soft tissue filter (effective dose: 2.1 mSv). In the upper lobe of the left lung, there was a peripheral ground-glass lesion.
Figure 3. Radiation exposure is reduced by 1.5 times. Patient, 44 y. o., BMI 46 kg/m2. Computed tomography with a soft tissue filter (effective dose: 15.3 mSv), low-dose computed tomography with a soft tissue filter (effective dose: 10.5 mSv). Bilateral peripheral ground-glass lesions.
Limitations of LDCT
Kim et al. [58] showed that obesity (body mass index > 25) appears to limit the use of chest LDCT in routine practice due to X-ray absorption by adipose tissue. However, studies on the inter-expert agreement of COVID-19 examinations indicate the opposite. [59]
In addition, LDCT empirically appears to be related to the negative effect of increased image noise on the operation of AI systems, including the calculation of an emphysema index in densitometric analysis, [60] and the radiomic analysis of subsolid pulmonary nodules. [61] Effect of a scanning protocol on the results of a quantitative analysis can be reduced using relative parameters, for example, the percentage of affected lung tissue in COVID-19, [62] or by normalizing the obtained data with special algorithms. [63]
CONCLUSION
Methods are presented to reduce radiation exposure during chest CT and maintain high-quality diagnostic images that are hypothetically sufficient to reliably detect signs of COVID-19. Although there is no single way to optimize scan protocols, dose reduction provides relevant diagnostic information and retains the ability to incorporate advanced computer-assisted technologies into clinical pathways.
ADDITIONAL INFORMATION
Funding source. This article was prepared by a team of authors as part of the research work (EGISU number: AAAA-A20-120071090058-7) in accordance with the Program of the Moscow Department of Health “Scientific support of metropolitan health” for 2020-2022.
Competing interests. The authors declare that they have no competing interests.
Authors’ contribution. All authors made a substantial contribution to the conception of the work, acquisition, analysis, interpretation of data for the work, drafting and revising the work, final approval of the version to be published and agree to be accountable for all aspects of the work. The largest contributions were distributed as follows: I.A. Blokhin — editing and approval of the final manuscript text, advisory support; D.A. Rumyantsev — data analysis, article text writing; M.M. Suchilova, A.P. Gonchar — editing and approval of the final manuscript text; O.V. Omelyanskaya — study concept and design.
1World Health Organization. Novel Coronavirus (COVID-19) situation. Available at https://who.sprinklr.com.
2 Centers for Disease Control and Prevention. Coronavirus 2019 disease (COVID-19). Available at https://www.cdc.gov/coronavirus/2019-ncov/index.html.
3 World Health Organization. Use of chest imaging in COVID-19: A rapid advice guide [11 June 2020]. Available at https://apps.who.int/iris/handle/10665/332336.
About the authors
Ivan A. Blokhin
Moscow Center for Diagnostics and Telemedicine
Author for correspondence.
Email: BlokhinIA@zdrav.mos.ru
Russian Federation, Moscow
Denis А. Rumyantsev
Moscow Center for Diagnostics and Telemedicine
Email: x.radiology@mail.ru
ORCID iD: 0000-0001-7670-7385
SPIN-code: 8734-2085
Russian Federation, Moscow
Maria M. Suchilova
Moscow Center for Diagnostics and Telemedicine
Email: SuchilovaMM@zdrav.mos.ru
ORCID iD: 0000-0003-1117-0294
SPIN-code: 4922-1894
Russian Federation, Moscow
Anna P. Gonchar
Moscow Center for Diagnostics and Telemedicine
Email: GoncharAP@zdrav.mos.ru
ORCID iD: 0000-0001-5161-6540
SPIN-code: 3513-9531
Russian Federation, Moscow
Olga V. Omelyanskaya
Moscow Center for Diagnostics and Telemedicine
Email: OmelyanskayaOV@zdrav.mos.ru
ORCID iD: 0000-0002-0245-4431
SPIN-code: 8948-6152
Russian Federation, Moscow
References
- Yang Y, Yang M, Shen C, et al. Evaluating the accuracy of different respiratory specimens in the laboratory diagnosis and monitoring the viral shedding of 2019-nCoV infections. medRxiv. 2020. doi: 10.1101/2020.02.11.20021493
- Rubin GD, Ryerson CJ, Haramati LB, et al. The role of chest imaging in patient management during the COVID-19 pandemic: A multinational consensus statement from the fleischner society. Radiology. 2020;296(1):172–180. doi: 10.1148/radiol.2020201365
- Temporary methodological recommendations prevention, diagnosis and treatment of new coronavirus infection (COVID-19). Version 12 (09/21/2021). Moscow; 2021. 232 p.
- Ng M, Lee EY, Yang J, et al. Imaging profile of the COVID-19 infection: Radiologic findings and literature review. Radiology: Cardiothoracic Imaging. 2020;2(1):e200034. doi: 10.1148/ryct.2020200034
- Ai T, Yang Z, Hou H, et al. Correlation of chest CT and RT-PCR testing for coronavirus disease 2019 (COVID-19) in China: A report of 1014 cases. Radiology. 2020;296(2):E32–E40. doi: 10.1148/radiol.2020200642
- Kang Z, Li X, Zhou S. Recommendation of low-dose CT in the detection and management of COVID-2019. Eur Radiolohy. 2020;30(8):4356–4357. doi: 10.1007/s00330-020-06809-6
- Morozov SP, Kuzmina ES, Ledekhova NV, et al. Mobilization of the scientific and practical potential of the radiation diagnostics service of Moscow in the COVID-19 pandemic. Digital Diagnostics. 2020;1(1):5–12. (In Russ). doi: 10.17816/DD51043
- Pan F, Ye T, Sun P, et al. Time course of lung changes on chest CT during recovery from 2019 novel coronavirus (COVID-19) pneumonia. Radiology. 2020;295(3):715–721. doi: 10.1148/radiol.2020200370
- Lei DP, Fan B, Mao J, et al. The progression of computed tomographic (CT) images in patients with coronavirus disease (COVID-19) pneumonia: Running title: the CT progression of COVID-19 pneumonia. J Infect. 2020;80(6):e30–e31. doi: 10.1016/j.jinf.2020.03.020
- Power SP, Moloney F, Twomey M, et al. Computed tomography and patient risk: Facts, perceptions and uncertainties. World J Radiol. 2016;8(12):902–915. doi: 10.4329/wjr.v8.i12.902
- Yeung AW. The “As low as reasonably achievable” (ALARA) principle: A brief historical overview and a bibliometric analysis of the most cited publications. Radioprotection. 2019;54(2):103–109. doi: 10.1051/radiopro/2019016
- Kalra MK, Homayounieh F, Arru C, et al. Chest CT practice and protocols for COVID-19 from radiation dose management perspective. Eur Radiol. 2020;30(12):6554–6560. doi: 10.1007/s00330-020-07034-x
- Krasnov AS, Kabanov DO, Tereshchenko GV. Fundamentals of dosimetry and dose load optimization during multispiral computed tomography. Issues Hematology Oncology Immunopathology Pediatrics. 2018;17(3):127–132. (In Russ).
- Singh S, Kalra MK, Thrall JH, Mahesh M. CT radiation dose reduction by modifying primary factors. J Am Coll Radiol. 2011;8(5):369–372. doi: 10.1016/j.jacr.2011.02.001
- Zarb F, Rainford L, McEntee MF. Developing optimized CT scan protocols: Phantom measurements of image quality. Radiography. 2011;17(2):109–114. doi: 10.1016/j.radi.2010.10.004
- Hilts M, Duzenli C. Image noise in X-ray CT polymer gel dosimetry. J Physics: Conference Series. 2004;3(1):252. doi: 10.1088/1742-6596/3/1/040
- Lira D, Padole A, Kalra MK, Singh S. Tube potential and CT radiation dose optimization. Am J Roentgenol. 2015;204(1):W4–W10. doi: 10.2214/AJR.14.13281
- Reid J, Gamberoni J, Dong F, Davros W. Optimization of kVp and mAs for pediatric low-dose simulated abdominal CT: Is it best to base parameter selection on object circumference? AJR Am J Roentgenol. 2010;195(4):1015–1020. doi: 10.2214/AJR.09.3862
- Khoramian D, Sistani S, Firouzjah RA. Assessment and comparison of radiation dose and image quality in multi-detector CT scanners in non-contrast head and neck examinations. Paul J Radiol. 2019;84:61–67. doi: 10.5114/pjr.2019.82743
- Mahesh M, Scatarige JC, Cooper J, Fishman EK. Dose and pitch relationship for a particular multislice CT scanner. AJR Am J Roentgenol. 20011;77(6):1273–1275. doi: 10.2214/ajr.177.6.1771273
- Tack D, Gevenois PA, Abada H. Radiation dose from adult and pediatric multidetector computed tomography. Springer. 2007. doi: 10.1007/978-3-540-68575-3
- Greffier J, Pereira F, Hamard A, et al. Effect of tin filter-based spectral shaping CT on image quality and radiation dose for routine use on ultralow-dose CT protocols: A phantom study. Diagnostic Interventional Imaging. 2020;101(6):373–381. doi: 10.1016/j.diii.2020.01.002
- Paul J, Krauss B, Banckwitz R, et al. Relationships of clinical protocols and reconstruction kernels with image quality and radiation dose in a 128-slice CT scanner: Study with an anthropomorphic and water phantom // Eur J Radiology. 2012;81(5):e699–e703. doi: 10.1016/j.ejrad.2011.01.078
- Hashemi S, Mehrez H, Cobbold RS, Paul NS. Optimal image reconstruction for detection and characterization of small pulmonary nodules during low-dose CT. Eur Radiol. 2014;24(6):1239–1250. doi: 10.1007/s00330-014-3142-9
- Beister M, Kolditz D, Kalender WA. Iterative reconstruction methods in X-ray CT. Physica Medica. 2012;28(2):94–108. doi: 10.1016/j.ejmp.2012.01.003
- Shiri I, Akhavanallaf A, Sanaat A, et al. Ultra-low-dose chest CT imaging of COVID-19 patients using a deep residual neural network. Eur Radiology. 2021;31(3):1420–1431. doi: 10.1007/s00330-020-07225-6
- Shan H, Padole A, Homayounieh F, et al. Competitive performance of a modularized deep neural network compared to commercial algorithms for low-dose CT image reconstruction. Nat Machine Intelligence. 2019;1(6):269–276. doi: 10.1038/s42256-019-0057-9
- Blokhin I, Gombolevskiy V, Chernina V, et al. Inter-observer agreement between low-dose and standard-dose CT with soft and sharp convolution kernels in COVID-19 pneumonia. J Clin Med. 2022;11:669. doi: 10.3390/jcm11030669
- Filatova DA, Sinitsyn VE, Mershina EA. The possibilities of reducing radiation exposure during computed tomography to assess changes in the lungs characteristic of COVID-19: The use of adaptive statistical iterative reconstruction. Digital Diagnostics. 2021;2(2):94–104. (In Russ). doi: 10.17816/DD62477
- Afshar P, Rafiee MJ, Naderkhani F, et al. Human-level COVID-19 diagnosis from low-dose CT scans using a two-stage time-distributed capsule network. Sci Rep. 2022;12(1):4827. doi: 10.1038/s41598-022-08796-8
- Fukumoto W, Nakamura Y, Yoshimura K, et al. Triaging of COVID-19 patients using low dose chest CT: Incidence and factor analysis of lung involvement on CT images. J Infect Chemother. 2022;28(6):797–801. doi: 10.1016/j.jiac.2022.02.025
- Bieba CM, Desmet JN, Dubbeldam A, et al. Radiological findings in low-dose CT for COVID-19 pneumonia in 182 patients: Correlation of signs and severity with patient outcome. Medicine (Baltimore). 2022;101(9):e28950. doi: 10.1097/MD.0000000000028950
- Piqueras BM, Casajús EA, Iriarte UC, et al. Low-dose chest CT for preoperative screening for SARS-CoV-2 infection. Radiologia (Engl Ed). 2022;64(4):317–323. doi: 10.1016/j.rxeng.2021.11.004
- Thieß HM, Bressem KK, Adams L, et al. Do submillisievert-chest CT protocols impact diagnostic quality in suspected COVID-19 patients? Acta Radiol Open. 2022;11(1):20584601211073864. doi: 10.1177/20584601211073864
- Greffier J, Hoballah A, Sadate A, et al. Ultra-low-dose chest CT performance for the detection of viral pneumonia patterns during the COVID-19 outbreak period: A monocentric experience. Quant Imaging Med Surg. 2021;11(7):3190–3199. doi: 10.21037/qims-20-1176
- Karakaş HM, Yıldırım G, Çiçek ED. The reliability of low-dose chest CT for the initial imaging of COVID-19: Comparison of structured findings, categorical diagnoses and dose levels. Diagn Interv Radiol. 2021;27(5):607–614. doi: 10.5152/dir.2021.20802
- Finance J, Zieleskewicz L, Habert P, et al. Low dose chest CT and lung ultrasound for the diagnosis and management of COVID-19. J Clinic Med. 2021;10(10):2196. doi: 10.3390/jcm10102196
- Desmet J, Biebaû C, De Wever W, et al. Performance of low-dose chest CT as a triage tool for suspected COVID-19 patients. J Belgian Society Radiology. 2021;105(1):9. doi: 10.5334/jbsr.2319
- Aslan S, Bekçi T, Çakır İM, et al. Diagnostic performance of low-dose chest CT to detect COVID-19: A Turkish population study. Diagn Interv Radiol. 2021;27(2):181–187. doi: 10.5152/dir.2020.20350
- Stoleriu MG, Gerckens M, Obereisenbuchner F, et al. Automated quantitative thin slice volumetric low dose CT analysis predicts disease severity in COVID-19 patients. Clin Imaging. 2021;79:96–101. doi: 10.1016/j.clinimag.2021.04.008
- Bai L, Zhou J, Shen C, et al. Assessment of radiation doses and image quality of multiple low-dose CT exams in COVID-19 clinical management. Chin J Acad Radiol. 2021;4(4):257–261. doi: 10.1007/s42058-021-00083-1
- Agostini A, Borgheresi A, Carotti M, et al. Third-generation iterative reconstruction on a dual-source, high-pitch, low-dose chest CT protocol with tin filter for spectral shaping at 100 kV: A study on a small series of COVID-19 patients. Radiol Med. 2021;126(3):388–398. doi: 10.1007/s11547-020-01298-5
- Zali A, Sohrabi MR, Mahdavi A, et al. Correlation between low-dose chest computed tomography and RT-PCR results for the diagnosis of COVID-19: A report of 27,824 cases in Tehran, Iran. Acad Radiol. 2021;28(12):1654–1661. doi: 10.1016/j.acra.2020.09.003
- Argentieri G, Bellesi L, Pagnamenta A, et al. Diagnostic yield, safety, and advantages of ultra-low dose chest CT compared to chest radiography in early stage suspected SARS-CoV-2 pneumonia: A retrospective observational study. Medicine (Baltimore). 2021;100(21):e26034. doi: 10.1097/MD.0000000000026034
- Leger T, Jacquier A, Barral PA, et al. Low-dose chest CT for diagnosing and assessing the extent of lung involvement of SARS-CoV-2 pneumonia using a semi quantitative score. PLoS One. 2020;15(11):e0241407. doi: 10.1371/journal.pone.0241407
- Hamper CM, Fleckenstein FN, Büttner L, et al. Submillisievert chest CT in patients with COVID-19: experiences of a German Level-I center. Eur J Radiol Open. 2020;7:100283. doi: 10.1016/j.ejro.2020.100283
- Li J, Wang X, Huang X, et al. Application of Care Dose 4D combined with Karl 3D technology in the low dose computed tomography for the follow-up of COVID-19. BMC Med Imaging. 2020;20(1):56. doi: 10.1186/s12880-020-00456-5
- Dangis A, Gieraerts C, De Bruecker Y, et al. Accuracy and reproducibility of low-dose submillisievert chest CT for the diagnosis of COVID-19. Radiol Cardiothorac Imaging. 2020;2(2):e200196. doi: 10.1148/ryct.2020200196
- Radpour A, Bahrami-Motlagh H, Taaghi MT, et al. COVID-19 evaluation by low-dose high resolution CT scans protocol. Acad Radiol. 2020;27(6):901. doi: 10.1016/j.acra.2020.04.016
- Tofighi S, Najafi S, Johnston SK, Gholamrezanezhad A. Low-dose CT in COVID-19 outbreak: Radiation safety, image wisely, and image gently pledge. Emerg Radiol. 2020;27(6):601–605. doi: 10.1007/s10140-020-01784-3
- Tabatabaei SM, Talari H, Gholamrezanezhad A, et al. A low-dose chest CT protocol for the diagnosis of COVID-19 pneumonia: A prospective study. Emerg Radiol. 2020;27(6):607–615. doi: 10.1007/s10140-020-01838-6
- Schulze-Hagen M, Hübel C, Meier-Schroers M, et al. Low-dose chest CT for the diagnosis of COVID-19: A systematic, prospective comparison with PCR. Dtsch Arztebl Int. 2020;117(22-23):389–395. doi: 10.3238/arztebl.2020.0389
- Zhao Y, Wang Y, Duan W, et al. Low-dose chest CT presentation and dynamic changes in patients with novel coronavirus disease 2019. Radiol Infect Dis. 2020;7(4):186–194. doi: 10.1016/j.jrid.2020.08.001
- Castelli M, Maurin A, Bartoli A, et al. Prevalence and risk factors for lung involvement on low-dose chest CT (LDCT) in a paucisymptomatic population of 247 patients affected by COVID-19. Insights Imaging. 2020;11(1):117. doi: 10.1186/s13244-020-00939-7
- Morozov SP, Kuzmina ES, Vetsheva NN, et al. Moscow screening: screening of lung cancer using low-dose computed tomography. Problems Social Hygiene Healthcare History Med. 2019;27(S):630–636. (In Russ). doi: 10.32687/0869-866X-2019-27-si1-630-636
- Patent RUS No. 2701922 C1. Gombolevsky VA, Morozov SP, Chernina VYu, et al. A method for screening lung cancer using ultra-low-dose computed tomography in patients with a body weight of up to 69 kg. mode: Available from: https://patents.google.com/patent/RU2701922C1/ru. Accessed: 15.01.2023.
- Gombolevskiy V, Morozov S, Chernina V, et al. A phantom study to optimise the automatic tube current modulation for chest CT in COVID-19. Eur Radiol Exp. 2021;5(1):21. doi: 10.1186/s41747-021-00218-0
- Kim YK, Lee BE, Lee SJ, et al. Ultra-low-dose CT of the thorax using iterative reconstruction: Evaluation of image quality and radiation dose reduction. Am J Roentgenol. 2015;204(6):1197–1202. doi: 10.2214/AJR.14.13629
- Blokhin IA, Gonchar AP, Kotenko MR, et al. The influence of body mass index on the reliability of the 0–4 CT scale: Comparison of computed tomography protocols. Digital Diagnostics. 2022;3(2):108–118. (In Russ). doi: 10.17816/DD104358
- Gierada DS, Bierhals AJ, Choong CK, et al. Effects of CT section thickness and reconstruction kernel on emphysema quantification. Academic Radiology. 2010;17(2):146–156. doi: 10.1016/j.acra.2009.08.007
- Gao Y, Hua M, Lv J, et al. Reproducibility of radiomic features of pulmonary nodules between low-dose CT and conventional-dose CT. Quant Imaging Med Surg. 2022;12(4):2368–2377. doi: 10.21037/qims-21-609
- Blokhin IA, Solovev AV, Vladzymyrskiy AV, et al. Automated analysis of lung lesions in COVID-19: Comparison of standard and low-dose CT. SJCEM. 2023;37(4):114–123. (In Russ). doi: 10.29001/2073-8552-2022-37-4-114-123
- Bak SH, Kim JH, Jin H, et al. Emphysema quantification using low-dose computed tomography with deep learning-based kernel conversion comparison. Eur Radiol. 2020;30(12):6779–6787. doi: 10.1007/s00330-020-07020-3
Supplementary files










