Diagnosis of solitary eosinophilic granuloma by CT, MRI, and 18F-FDG PET/CT: two clinical cases
- Authors: Gelezhe P.B.1,2, Bulanov D.V.2,3
-
Affiliations:
- Moscow Center for Diagnostics and Telemedicine
- Joint-Stock Company “European Medical Center”
- The Russian National Research Medical University named after N.I. Pirogov
- Issue: Vol 2, No 1 (2021)
- Pages: 75-82
- Section: Case reports
- Submitted: 29.01.2021
- Accepted: 02.03.2021
- Published: 30.04.2021
- URL: https://jdigitaldiagnostics.com/DD/article/view/59690
- DOI: https://doi.org/10.17816/DD59690
- ID: 59690
Cite item
Abstract
This paper presents two clinical cases of eosinophilic granuloma of bone diagnosed by CT, MRI, and 18F-FDG PET/CT. In both cases the patients were admitted to the clinic with suspected primary malignant bone tumor and the diagnosis of a solitary eosinophilic granuloma was made based on the results of comprehensive radiological diagnostic examination and histological verification. Solitary eosinophilic granuloma of bone is an infrequent condition, occurring in less than 1% of cases of skeletal tumor masses. The most common eosinophilic granuloma is found in the parietal and frontal bones of the skull and is an osteolytic volumetric mass that gradually increases in size. Although most bone tumors can be detected by radiography, computed tomography is preferred, primarily because of its superior ability to detect cortical bone destruction. The diagnostic accuracy of computed tomography and magnetic resonance imaging may be different. The combined use of radiological and radionuclide methods allows us to narrow the spectrum of differential diagnosis. Unfortunately, relatively low specificity of existing radiological diagnostic studies in most cases does not allow to establish a precise diagnosis, and biopsy with subsequent pathological examination remains the method of choice. These clinical observations demonstrate the need to include eosinophilic granuloma in the differential diagnosis when a solitary osteolytic focus is detected.
Full Text
BACKGROUND
The newly diagnosed osteolytic focus in young patients leads inevitably to an extensive differential diagnosis, which involves a variety of pathological processes. Under conditions of oncological alertness of radiologists and general practitioners, the osteolytic focus is often unambiguously interpreted as a manifestation of a malignant tumor. It should be remembered that benign and inflammatory processes can also cause the emergence of an osteolytic focus.
The paper presents two clinical cases of solitary eosinophilic granuloma of the bone, which is a rare pathological process that must be included in the differential range when a solitary osteolytic focus is detected.
DESCRIPTION OF THE CASES
Clinical case 1
A 30-year-old female patient considers herself sick since August 2016, when pain began in the lumbar region on the left, progressing over the course of a year. She visited the clinic in August 2017 after experiencing severe pain.
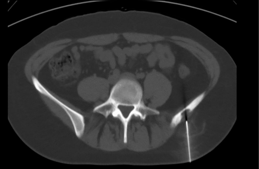
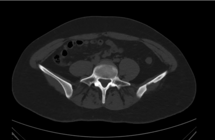
The studies of the pelvis were performed using magnetic resonance imaging (MRI) and computed tomography (CT). MRI revealed a cystic formation measuring 2.2 × 1.4 × 2.0 cm on the gluteal surface of the upper sections of the left iliac crest, along with edema of the musculus gluteus medius with a vertical length of up to 7 cm. A trabecular edema of the iliac crest on the left with a length of 5.0 cm was determined. The CT scan showed an osteolytic focus of the upper sections of the wing of the left iliac bone of up to 1.8 × 1.2 × 1.2 cm with clear uneven contours, destructed cortical layer of the bone, and signs of generalization beyond its limits (Fig. 1).
Fig. 1. Computed tomography reveals an osteolytic focus in the wing of the left iliac bone.
Mono-mode positron emission tomography (PET) with 18F-fluorodeoxyglucose (18F-FDG) was performed, which revealed a single focus of the radiopharmaceutical agent hyperfixation in the area of the wing of the left iliac bone (SUVmax[1] 13.1) (Fig. 2); therefore, the widespread metastatic process was ruled out.
Fig. 2. A hypermetabolic focus in the projection of the wing of the left iliac bone on mono-mode positron emission tomography with 18F-fluorodeoxyglucose.
CT-guided 18G needle biopsy was performed from the wing formation of the left iliac bone (Fig. 3). The histological study (No. 2017-10802-01) concluded on the morphoimmunohistochemical presentation, which is most consistent with Langerhans cell histiocytosis (eosinophilic granuloma, histiocytosis X) (Fig. 4).
Fig. 3. The process of needle biopsy by computed tomography.
Fig. 4. Histological specimen: fibrovascular tissue fragments with polymorphic-cellular infiltration consisting numerous granulocytes, including an abundance of eosinophils, plasma cells, and individual cells with bean-shaped nuclei are noted. Hematoxylin-eosin staining ×200.
Clinical case 2
A 12-year-old boy, during his football practice, he hit the ball with his head. According to his parents and the child himself, after which, they noticed swelling in the forehead area, which gradually increased in the subsequent days. A CT scan was performed, as recommended by the doctor of the primary health care facility, which revealed an osteolytic rounded defect of the frontal bone with a diameter of about 3.5 cm, punch-type destruction of the external and internal cortical laminas, and soft tissue paraosseous formation. MRI was recommended as further examination.
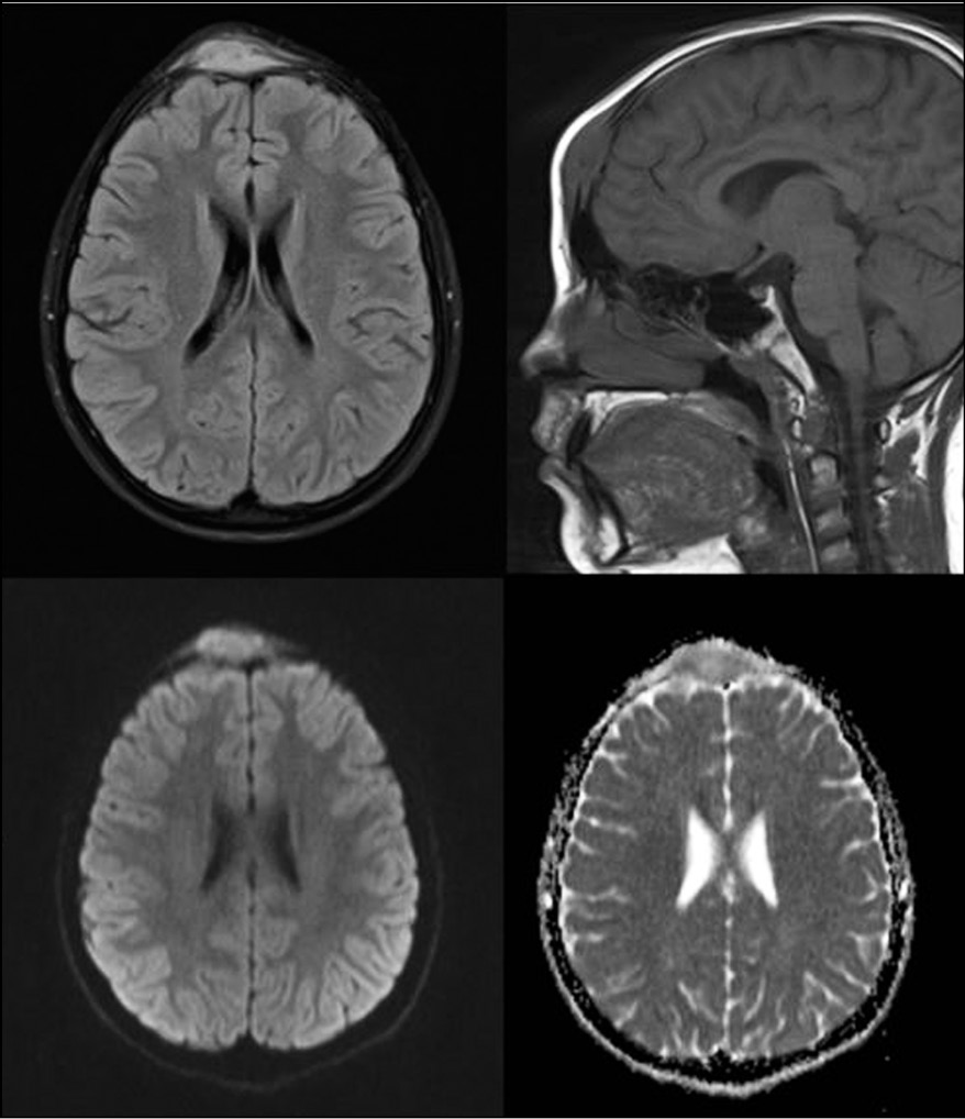
According to the brain MRI data, a subcutaneously located space-occupying lesion was detected in the frontal region parasagittally, with a mild right-sided priority, with a non-uniformly increased MR signal in the T2-WI and T2-dark fluid modes, with signs of diffusion restriction, of an ovoid shape with indistinct uneven boundaries, sized 47 × 17 × 35 mm. It was widely adjacent to the squama of the frontal bone, with destruction of the external and internal cortical plates with a minimal intracranial soft tissue component, limited by the brain dura mater (Fig. 5).
Fig. 5. Magnetic resonance imaging of the head. Top row from left to right: T2-TIRM, T1-WI; bottom row from left to right: diffusion-weighted image (B-factor 800 mm2/s), measured diffusion coefficient. Subcutaneous space-occupying lesion of increased signal in T2-TIRM, isointense in T1-WI, with signs of diffusion restriction.
Lymphocytosis of up to 49.5%, neutropenia of 39.3%, and thrombocytosis 491 were noticeable in the general blood test, as well as an increase in the erythrocyte sedimentation rate of up to 29 mm/h and an increase in C-reactive protein up to 10.65 mg/L.
According to the results of the studies, a neoplastic lesion of the frontal bone was suggested. Differential diagnostics was made between lymphoma, plasmocytoma, and sarcoma. In order to search for a primary tumor focus, 18F-FDG PET/CT was performed. In the frontal region, along the midline, an ovoid lesion of 30 × 15 mm in size was revealed, with a significant accumulation of the radiopharmaceutical agent (SUVmax up to 11.2), destruction of the external and internal cortical lamina of the frontal bone (Fig. 6). For the rest of the 18F-FDG foci, no positive neoplastic process was detected; therefore, a widespread metastatic process was ruled out.
Fig. 6. Positron emission tomography with 18F-fluorodeoxyglucose, combined with computed tomography. Left: computed tomography with intravenous contrast enhancement; right: combined image of positron emission and computed tomography. A hypermetabolic focus with destruction of the external and internal cortical lamina of the frontal bone is visible.
An incisional biopsy of the subcutaneous lesion of the frontal region was performed for histological verification. Percutaneous puncture biopsy of the frontal region lesion was performed in the supine position with a thick needle. When aspirated with a syringe, no tissue was obtained. A 1-cm transverse linear incision was made along the hairline of the frontal region soft tissues. A biopsy sample of the pathological tissue, which was represented by gray soft tissue masses, was taken using a Volkmann curet and Royce forceps. According to the histological conclusion No. 2015-11688-01, the changes are more consistent with Langerhans cell histiocytosis (eosinophilic cell granuloma).
DISCUSSION
Solitary eosinophilic granuloma of bone is a relatively uncommon occurence, accounting for less than 1% of tumor-like bone lesions. A histological sign of histiocytosis X, including eosinophilic granuloma, is the presence of proliferating histiocytes (Langerhans histiocytes) [1]. The histiocyte contains puffed oval nuclei and eosinophilic cytoplasm. Bimbek granules are cytoplasmic organelles found in Langerhans cells, but their function is still unclear. The granuloma also comprises a large number of eosinophils and giant multinucleated cells.
In their work, K. M. Herzog et al. [2] reported that the skull is the most common site of eosinophilic granuloma (43%), whereas the femur is the second most common site. C. Arseni et al. [3] reported the lesion of the skull was solitary in 80% of the patients with eosinophilic granuloma, as in our clinical case 1.
Eosinophilic granuloma of the skull is manifested as an osteolytic space-occupying lesion, gradually increasing in size, often with localization in the parietal and frontal bones. On the basis of 25 patients with a total of 41 eosinophilic granulomas, L. Ardekian et al. [4] found that pain, often accompanied by local edema, was the most common symptom (92% of cases).
Although X-ray can accurately identify and distinguish most bone foci, CT is the preferred method, mainly due to its excellent ability to detect bone cortical layer destruction.
The radiographic characteristics vary significantly depending on the lesion location. The lesion in the skull is usually 1 to 4 cm in diameter, demonstrating punch-type clear boundaries, with frequent destruction of the external and internal cortical lamina. At the same time, there can be sequestrum inside the focus. Flat bone lesions are characterized by a periosteal reaction, thinning of the cortical layer, and local swelling of the bone. A hole within a hole may form when multiple small foci merge. A marked destruction of bone tissue, imitating a malignant process, occurs in rare cases.
The most significant in differential diagnostics with eosinophilic granuloma, in the range of the destructive benign and malignant lesions of the cranial vault, are osteomas (benign tumors), plasmacytoma, epidermoids, dermoid cysts, vascular tumors, osteosarcoma (malignant sarcoma), metastatic disease, meningiomas, as well as infectious and pathological conditions [5].
Bone eosinophilic granuloma may look like osteomyelitis, Ewing’s sarcoma, or lymphoma on X-ray. Other skeletal lesions, such as neuroblastoma metastases, intraosseous hemangiomas, and fibrous dysplasia should also be considered in differential diagnostics. In adults, eosinophilic granuloma can mimic osteolytic metastases, multiple myeloma, and hyperparathyroidism.
The most common finding based on MRI data is a mild diffuse decrease in the signal according to the T1-WI data, combined with an increase in the signal according to the T2-WI. Edema is also visible in the soft tissues surrounding the lesion, as shown by an increased signal on the spin-echo inversion-recovery sequence. The focus of eosinophilic granuloma of the skull bones limits diffusion compared with the white matter of the brain [6]. The described changes are not specific and can occur in a number of conditions, including osteomyelitis, traumatic changes, and avascular necrosis [7].
The sensitivity indicated in the literature for 18F-FDG PET scanning is greater than 90%, whereas the specificity remains low and varies considerably, from 65% to 80% [8, 9]. False negative results are most commonly caused by low-grade tumors, which often show low levels of 18F-FDG fixation. False positive results can be caused by some benign diseases, including fibrous dysplasia and aneurismal bone cyst, as well as acute inflammation [10].
Treatment for eosinophilic granuloma is determined on the degree of the disease progression. Surgery, radiotherapy, and chemotherapy are all possible treatment methods, which can be used in isolation or combination. Surgery is usually indicated for isolated lesions when an appropriate cure can result in complete elimination of the lesion.
Despite the fact that eosinophilic granuloma is considered to be a benign condition, there have been reports of spontaneous regression and relapses after surgical excision in the literature [11, 12]. Because local relapses are often registered in a series with longer follow-up periods, it is recommended that subsequent follow-up studies be performed for at least 10 years [11–13].
CONCLUSION
Differential diagnostics of a solitary osteolytic focus can be difficult. The use of an integrated approach in radiation diagnostics, which includes CT, MRI, and 18F-FDG PET/CT, enables to narrow the range of possible pathological conditions. At the same time, the specificity of existing radiological diagnostic studies does not always enable to establish a precise diagnosis, so histological verification remains the preferred method. When identifying a solitary osteolytic focus in young patients, an eosinophilic granuloma should be considered.
ADDITIONAL INFORMATION
Funding source. This study was not supported by any external sources of funding.
Competing interests. The authors declare that they have no competing interests.
Author contribution. The authors confirm contribution to the paper as follows: material collection and article writing: P.B. Gelezhe; histological examination data: D.V. Bulanov. All authors contributed significantly to the work’s conception, acquisition, analysis, interpretation of data, drafting and revising, final approval of the version to be published, and agree to be accountable for all aspects of the work.
Patient’s permission. The patient and the legal representative of the juvenile signed a voluntary informed consent to the publication of medical information in an anonymized form.
1 SUV (standardized uptake value) ― стандартизированный уровень накопления радиофармпрепарата
About the authors
Pavel B. Gelezhe
Moscow Center for Diagnostics and Telemedicine; Joint-Stock Company “European Medical Center”
Author for correspondence.
Email: gelezhe.pavel@gmail.com
ORCID iD: 0000-0003-1072-2202
SPIN-code: 4841-3234
MD
Russian Federation, 28-1, Srednyaya Kalitnikovskaya street, Moscow, 109029; MoscowDmitriy V. Bulanov
Joint-Stock Company “European Medical Center”; The Russian National Research Medical University named after N.I. Pirogov
Email: dbulanov@emcmos.ru
ORCID iD: 0000-0001-7968-6778
SPIN-code: 4641-1505
MD, Cand. Sci. (Med.)
Russian Federation, Moscow; MoscowReferences
- Lam KY. Langerhans cell histiocytosis (histiocytosis X). Postgrad Med J. 1997;73(861):391–394. doi: 10.1136/pgmj.73.861.391
- Herzog KM, Tubbs RR. Langerhans cell histiocytosis. Adv Anat Pathol. 1998;5(6):347–358. doi: 10.1097/00125480-199811000-00001
- Arseni C, Dănăilă L, Constantinescu A. Cranial eosinophilic granuloma. Neurochirurgia (Stuttg). 1977;20(6):189–199. doi: 10.1055/s-0028-1090377
- Ardekian L, Peled M, Rosen D, et al. Clinical and radiographic features of eosinophilic granuloma in the jaws: Review of 41 lesions treated by surgery and low-dose radiotherapy. Oral Surg Oral Med Oral Pathol Oral Radiol Endod. 1999;87(2):238–242. doi: 10.1016/s1079-2104(99)70279-9
- Willatt JM, Quaghebeur G. Calvarial masses of infants and children. A radiological approach. Clin Radiol. 2004;59(6):474–486. doi: 10.1016/j.crad.2003.12.006
- Ginat DT, Mangla R, Yeaney G, et al. Diffusion-Weighted imaging for differentiating benign from malignant skull lesions and correlation with cell density. Am J Roentgenol. 2012;198(6):W597–W601. doi: 10.2214/AJR.11.7424
- Davies AM, Pikoulas C, Griffith J. MRI of eosinophilic granuloma. Eur J Radiol. 1994;18(3):205–209. doi: 10.1016/0720-048x(94)90335-2
- Dimitrakopoulou-Strauss A, Strauss LG, Heichel T, et al. The role of quantitative 18F-FDG PET studies for the differentiation of malignant and benign bone lesions. J Nucl Med. 2002;43(4):510–518.
- Culverwell AD, Scarsbrook AF, Chowdhury FU. False-positive uptake on 2-[18F]-fluoro-2-deoxy-D-glucose (FDG) positron-emission tomography/computed tomography (PET/ CT) in oncological imaging. Clin Radiol. 2011;66(4):366–382. doi: 10.1016/j.crad.2010.12.004
- Schulte M, Brecht-Krauss D, Heymer B, et al. Grading of tumors and tumorlike lesions of bone: evaluation by FDG PET. J Nucl Med. 2000;41(10):1695–1701.
- Martinez-Lage JF, Poza M, Cartagena J, et al. Solitary eosinophilic granuloma of the pediatric skull and spine ― the role of surgery. Childs Nerv Syst. 1991;7(8):448–451. doi: 10.1007/BF00263187
- Oliveira M, Steinbok P, Wu J, et al. Spontaneous resolution of calvarial eosinophilic granuloma in children. Pediatr Neurosurg. 2003;38(5):247–252. doi: 10.1159/000069828
- Rawlings CE, Wilkins RH. Solitary eosinophilic granuloma of the skull. Neurosurgery. 1984;15(2):155–161. doi: 10.1227/00006123-198408000-00001
Supplementary files













