Magnetic resonance imaging in diagnosis of serous adenocarcinoma of fallopian tubes: a case report
- Authors: Mynko O.I.1,2, Gonchar A.P.1,3, Nechaev V.A.3, Kulikova E.A.3, Yudin A.L.2,3, Yumatova E.A.2,3
-
Affiliations:
- Research and Practical Clinical Center for Diagnostics and Telemedicine Technologies
- Pirogov Russian National Research Medical University
- City Clinical Oncological Hospital 1
- Issue: Vol 5, No 4 (2024)
- Pages: 882-892
- Section: Case reports
- Submitted: 06.03.2024
- Accepted: 25.09.2024
- Published: 20.11.2024
- URL: https://jdigitaldiagnostics.com/DD/article/view/628840
- DOI: https://doi.org/10.17816/DD628840
- ID: 628840
Cite item
Abstract
Serous adenocarcinoma of fallopian tubes is an extremely rare and difficult to diagnose type of cancer of the female reproductive system. This condition is often asymptomatic or has a non specific clinical presentation including serosanguineous vaginal discharge and colic like pain in the lower abdomen and pelvis. These symptoms are reported in the literature as the Latzko’s triad and are considered pathognomonic for tubal cancer, but their combination is observed in less than 15% of patients. The low incidence and lack of the pathognomonic clinical presentation lead to many diagnostic errors or detection of advanced disease, which significantly worsens the patient’s prognosis. An accurate surgical diagnosis is made in only 4% of cases. This case report describes serous adenocarcinoma of fallopian tubes with all signs of the Latzko’s triad and MRI suggestive of serous adenocarcinoma of fallopian tubes at a preoperative stage.
Full Text
Introduction
Serous adenocarcinoma of the fallopian tube (SAFT) is a histological subtype of primary fallopian tube cancer. At present, primary malignancies of the fallopian tube, ovary, and peritoneum are classified together as epithelial ovarian cancer [1], due to their similar clinical presentations and treatment approaches. These cancers are thought to originate from the same precursor cells, as suggested by the shared histological tumor types across all three sites. However, research in this area is still ongoing [1].
Some researchers propose that many cases of ovarian cancer and peritoneal carcinomatosis may originate from undiagnosed fallopian tube cancer. The absence of specific clinical symptoms and imaging characteristics often leads to delayed diagnosis, particularly when the disease has already spread to nearby organs and tissues, making it difficult to pinpoint the primary origin. Detecting fallopian tube cancer in its subclinical phase remains a significant challenge, with most cases diagnosed at an advanced stage, negatively affecting the prognosis [2].
We believe this issue warrants closer attention. This article presents a clinical case of pathologically confirmed SAFT, initially suspected at an early stage based on magnetic resonance imaging (MRI) findings.
Case description
Patient information
A 38-year-old female patient was referred to the radiology department at City Clinical Oncology Hospital No. 1 for a contrast-enhanced pelvic MRI to further evaluate bilateral adnexal lesions previously identified through ultrasound (US) and contrast-enhanced computed tomography (CT).
Anamnesis morbi
The patient reported feeling unwell for 2 weeks, presenting with abnormal abdominal pain and heavy menstrual bleeding. These symptoms persisted for 14 days from the onset of her menstrual cycle, leading to her admission to the emergency hospital’s gynecology department via ambulance. At the time of admission, her symptoms continued; however, the gynecological examination revealed no abnormalities.
Approximately 10 years earlier, the patient had undergone hysteroscopy for uterine fibroids and had one operative delivery at 38 weeks via lower segment cesarean section.
Upon admission, pelvic US showed a solid mass with irregular margins located in the right ovary. The lesion, measuring about 100 × 60 × 80 mm, demonstrated active vascularity on color flow Doppler (Ovarian-Adnexal Reporting and Data System [О-RADS] 4) and occupied the rectouterine pouch and the entire right adnexal region. The left ovary was not clearly visualized. Additionally, up to 1,000 mL of free fluid (ascites) was detected in the pelvic cavity.
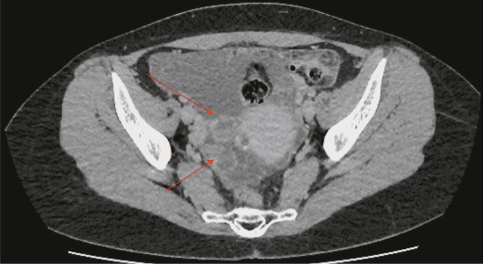
The following morning, a contrast-enhanced CT scan of the abdomen and pelvis revealed ascites and partially calcified cystic and solid formations in the right adnexal area (Fig. 1).
Fig. 1. Pelvic computed tomography (axial view). Rounded cystic and solid lesions (indicated by red arrows) and free fluid (ascites) are visible in the right ovarian area.
Laboratory tests showed no evidence of inflammation. However, tumor marker levels were elevated: СА-125 was 682.9 IU/mL (reference range, 0.0–35.0 IU/mL) and НЕ-4 was 106.1 pmol/L (reference range, 0.0–60.5 pmol/L).
The patient was treated with symptomatic medications, including tranexamic acid 500 mg twice daily intravenously and ketorolac 60 mg twice daily intramuscularly.
After symptom resolution and clinical improvement, she was discharged from the gynecology department for outpatient follow-up by a local oncologist to continue diagnostic evaluation and determine an appropriate treatment plan.
Findings of physical, laboratory, and imaging examinations
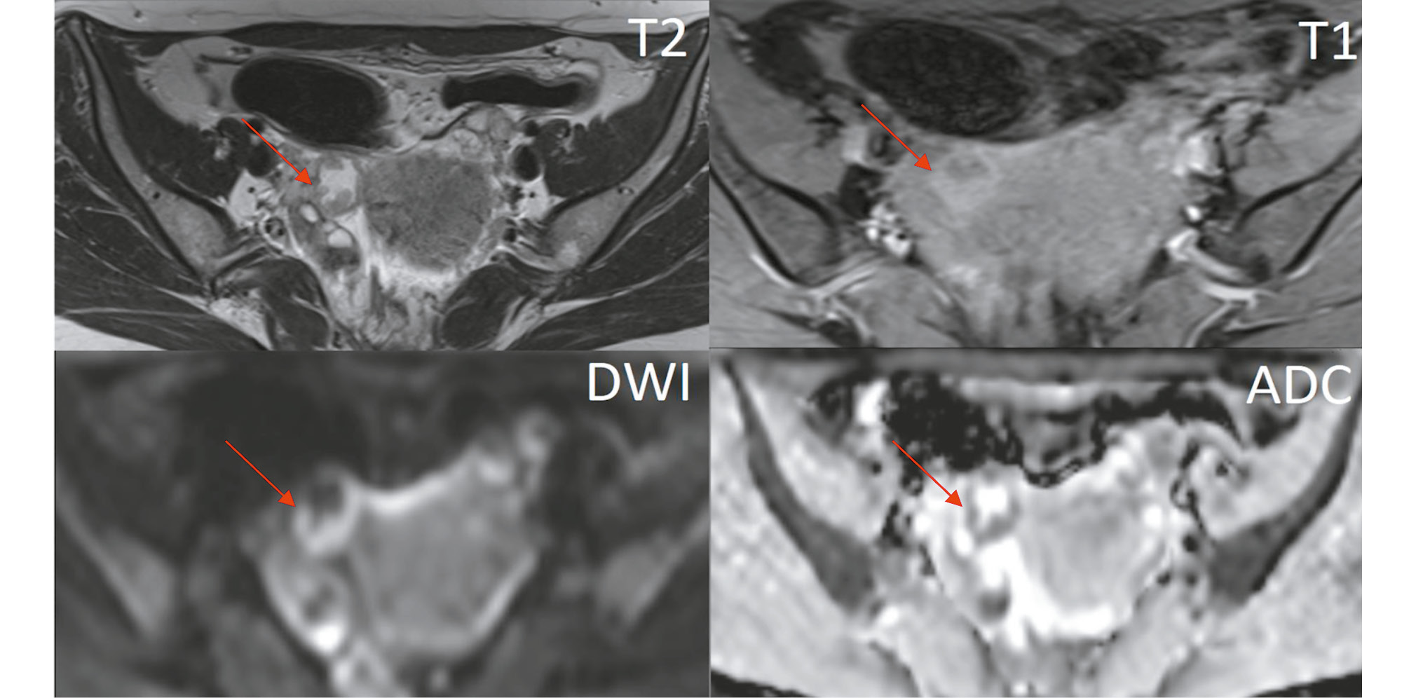
Five days later, the patient presented to the radiology department of City Clinical Oncology Hospital No. 1 for a contrast-enhanced pelvic MRI. The exam was conducted following a standard protocol, utilizing T1, T2, STIR, and DWI/ADC sequences, both with and without contrast (Gadovist).
MRI results showed that the ovaries were not enlarged and contained follicles; a hemorrhagic cyst was identified in the right ovary (Figs. 2 and 3).
Fig. 2. Pelvic magnetic resonance imaging (axial view). A single hemorrhagic cyst is observed in the stroma of the right ovary (O-RADS 1, red arrow).
Fig. 3. Pelvic magnetic resonance imaging (axial view). The left ovary shows follicles and a simple cyst (O-RADS 1, red arrow).
A tubular structure with high fluid signal intensity and an irregular lumen, measuring up to 17 mm, was located adjacent to the anterior and outer contours of the right ovary. This structure had multiple hypervascular solid nodules on the walls and showed signs of restricted diffusion in the DWI sequence (Fig. 4). A smaller structure with similar MRI characteristics was observed on the left (Fig. 5).
Fig. 4. Pelvic magnetic resonance imaging (axial view). The right fallopian tube contains fluid and solid nodules, with signs of restricted diffusion on DWI mode (red arrow).
Fig. 5. Pelvic magnetic resonance imaging (axial view). Similar solid nodules are present in the left fallopian tube (red arrow). The right fallopian tube appears convoluted in this slice (blue arrow).
The remaining pelvic organs appeared normal, with a small amount of free fluid present in the pelvic cavity. No signs of peritoneal carcinomatosis were detected on MRI.
The final conclusions from the MRI findings were as follows: a fallopian tube lesion (O-RADS 5), right ovarian endometrioma, simple cyst of the left ovary, and a small amount of fluid in the pelvic cavity.
Differential diagnosis
Diagnosing primary fallopian tube tumors before surgery is difficult due to the nonspecific nature of both clinical symptoms and imaging findings. The differential diagnosis typically includes the following conditions:
- Primary ovarian cancer with involvement of the fallopian tube
- Tubal ectopic pregnancy
- Adnexitis, including tubo-ovarian abscess
Treatment
After the examination, the patient was admitted to the gynecologic oncology department. An elective surgery was performed, which included radical hysterectomy, omentectomy, and adhesiolysis. Intraoperative and urgent histological examinations showed no evidence of peritoneal carcinomatosis.
The histology and immunohistochemistry results indicated the tumor was a high-grade SAFT.
Based on the disease stage, the surgical treatment performed, and the findings from histology and physical examinations, the oncology team decided to proceed with six cycles of adjuvant chemotherapy and genetic testing for BRCA1 and BRCA2 mutations.
Follow-up and outcomes
At the time of writing, the patient had completed a chemotherapy course with paclitaxel and carboplatin, which was well tolerated. No mutations in BRCA1 or BRCA2 were found.
Discussion
Published data shows that the incidence of primary fallopian tube cancer ranges from 0.36 to 0.41 cases per 100,000 women annually, or approximately 300–400 cases per year [3, 4]. Ulrich et al. reported 69 morphologically confirmed cases of SAFT between 1980 and 2005 at the pathology laboratory of the N.N. Petrov National Medical Research Center of Oncology and the Leningrad Region Cancer Center. As a result, Russian experts estimate that SAFT represents 0.14%–1.8% of all female genital cancers [5].
However, the actual incidence may be higher, as SAFT is often misdiagnosed as ovarian cancer. It is generally believed that primary fallopian tube cancer accounts for about 1% (0.2%–1.1%) of all gynecologic cancers, making it one of the rarest conditions in gynecologic oncology [6].
Statistically, this condition is more common in postmenopausal women aged 50–60 years. Primary fallopian tube cancer is 14% more prevalent in Caucasian women compared to other racial groups [7].
The main risk factors for fallopian tube cancer are similar to those for ovarian cancer and include the following [8]:
- Family history
- BRCA1 or BRCA2 mutations
- Other hereditary conditions, such as hereditary nonpolyposis colorectal cancer (Lynch syndrome)
- Endometriosis
- Hormone replacement therapy (including postmenopausal use)
- Obesity
In this clinical case, the patient was in premenopause at the time of disease onset and had no history of the risk factors mentioned earlier.
The disease is usually asymptomatic or presents with nonspecific symptoms. Latzko’s triad, which includes serosanguineous vaginal discharge, colic-like lower abdominal pain, and a palpable or visualized pelvic mass, is seen in fewer than 15% of cases [9]. In this case, the patient exhibited all three components of Latzko’s triad, highlighting its clinical importance.
Due to the nonspecific nature of symptoms, radiological findings are essential for detecting fallopian tube neoplasms. US remains the primary diagnostic tool for identifying adnexal lesions, though differentiating between ovarian and fallopian tube neoplasms is often difficult due to its limitations. CT imaging is particularly useful for cancer staging and detecting distant metastases, especially when combined with positron emission tomography [10]. However, among all imaging techniques, MRI provides the highest sensitivity and specificity in diagnosing fallopian tube neoplasms, as it most effectively distinguishes between the soft tissue structures of the pelvic organs [11, 12]. MRI findings are key in making the diagnosis, staging the tumor, planning treatment, and preparing for any necessary surgeries.
In current clinical practice, MRI examinations of the uterine adnexa are typically performed using the O-RADS. The approach provided by the O-RADS authors takes into account various factors, including MRI signal, tumor size and structure, as well as signs of restricted diffusion and/or abnormal contrast uptake. These criteria can be applied to ovarian lesions, fallopian tube lesions (as in our case), and adjacent ligament lesions (round, broad, or utero-ovarian ligament) [13, 14]. The most common MRI findings that raise suspicions for fallopian tube cancer include the following [15]:
- Oblong or tubular lesions in the adnexal area, often with relatively uniform fluid signal intensity (low on T1WI and high on T2WI). In our case, the lesion contained several solid foci on the walls, clearly visible against the backdrop of the distended fallopian tube. These solid foci showed restricted diffusion on DWI/ADC and early contrast uptake in the dynamic contrast-enhanced sequence.
- Fluid in the fallopian tubes (hydrosalpinx): This condition results from tumor secretions that block the fallopian tube, causing colic-like pelvic pain due to stretching. The contents of the hydrosalpinx can vary, leading to different MRI signals. In our case, the fallopian tubes were distended with serous fluid, although a hemorrhagic component due to recurrent bleeding is also possible.
- If the fallopian tube is unobstructed, there may be fluid or serosanguineous contents in the uterine cavity or free fluid in the pelvic cavity.
Primary fallopian tube cancer is generally not considered a separate disease due to its rarity and nonspecific symptoms. For instance, the World Health Organization classifies primary cancers of the peritoneum, ovaries, and fallopian tubes as a single group because of their similar pathogenesis and treatment options [1]. The International Federation of Gynecology and Obstetrics follows a similar classification, including stromal and germ cell tumors in this group as well [16, 17]. According to the current guidelines from the Ministry of Health of Russia, ovarian cancer, fallopian tube cancer, and primary peritoneal cancer are also grouped together as malignant tumors because they originate from the epithelium of these organs and share similar clinical course and treatment strategies [18].
However, despite these classifications, several international and Russian studies suggest that many cases of ovarian cancer may actually be caused by fallopian tube lesions [18–21]. Although the two cancers share similar histological features, the 5-year survival rate for fallopian tube cancer is lower than that for ovarian cancer (50% vs. 77%) [22].
As mentioned earlier, the treatment approaches for ovarian and fallopian tube cancers are similar, regardless of histological type. These typically include surgical treatment, which is based on the tumor stage (usually radical hysterectomy), and adjuvant chemotherapy with carboplatin and paclitaxel [18, 23, 25].
The 5-year survival rate for fallopian tube cancer depends on the stage at diagnosis. According to the American Cancer Society and the Surveillance, Epidemiology, and End Results program, if fallopian tube cancer is diagnosed early, before it spreads beyond the ovaries and fallopian tubes, the 5-year survival rate can reach 93%. However, if surrounding tissues or organs are affected, the survival rate drops to 74%, and with distant metastases, it further decreases to 31% [24, 26].
Given these statistics, we urge the medical community to focus on providing additional educational materials and programs for medical imaging professionals to improve awareness of the diagnostic tools and clinical signs of SAFT [27, 28].
Conclusion
This paper presents a rare clinical case. While the clinical presentation was typical, it was the MRI findings that raised the suspicion of primary fallopian tube cancer before surgery. We believe primary fallopian tube cancer should be more routinely considered in the differential diagnosis of patients with suspected adnexal malignancies. Some studies suggest that this cancer could lead to other malignant tumors that are currently regarded as separate disease entities.
Additional information
Funding source. This article was prepared by a group of authors as a part of the research and development effort titled ”Opportunistic screening of high-profile and other common diseases”, No. 123031400009-1”, (USIS No. 123031400009-1) in accordance with the Order No. 1196 dated December 21, 2022 ”On approval of state assignments funded by means of allocations from the budget of the city of Moscow to the state budgetary (autonomous) institutions subordinate to the Moscow Health Care Department, for 2023 and the planned period of 2024 and 2025” issued by the Moscow Health Care Department.
Competing interests. The authors declare that they have no competing interests.
Authors’ contribution. All authors made a substantial contribution to the conception of the work, acquisition, analysis, interpretation of data for the work, drafting and revising the work, final approval of the version to be published and agree to be accountable for all aspects of the work. O.I. Mynko, A.P. Gonchar — work conception, collection, analysis and interpretation of data, writing and editing the manuscript; V.A. Nechaev — work conception, analysis and interpretation of data, writing and editing the manuscript; E.A. Kulikova, A.L. Yudin, E.A. Yumatova — writing and editing the manuscript.
Consent for publication. Written consent was obtained from the patient for publication of relevant medical information and all of accompanying images within the manuscript in Digital Diagnostics journal.
About the authors
Oleg I. Mynko
Research and Practical Clinical Center for Diagnostics and Telemedicine Technologies; Pirogov Russian National Research Medical University
Author for correspondence.
Email: o.mynko@icloud.com
ORCID iD: 0009-0005-3984-4045
SPIN-code: 3556-3510
MD
Russian Federation, Moscow; MoscowAnna P. Gonchar
Research and Practical Clinical Center for Diagnostics and Telemedicine Technologies; City Clinical Oncological Hospital 1
Email: a.gonchar@npcmr.ru
ORCID iD: 0000-0001-5161-6540
SPIN-code: 3513-9531
MD
Russian Federation, Moscow; MoscowValentin A. Nechaev
City Clinical Oncological Hospital 1
Email: dfkz2005@gmail.com
ORCID iD: 0000-0002-6716-5593
SPIN-code: 2527-0130
MD, Cand. Sci. (Medicine), Head of complex diagnostic center
Russian Federation, MoscowEvgeniya A. Kulikova
City Clinical Oncological Hospital 1
Email: kulikovaEA14@zdrav.mos.ru
ORCID iD: 0000-0002-0319-4934
SPIN-code: 2884-4803
MD
Russian Federation, MoscowAndrey L. Yudin
Pirogov Russian National Research Medical University; City Clinical Oncological Hospital 1
Email: prof_yudin@mail.ru
ORCID iD: 0000-0002-0310-0889
SPIN-code: 6184-8284
MD, Dr. Sci. (Medicine), Professor
Russian Federation, Moscow; MoscowElena A. Yumatova
Pirogov Russian National Research Medical University; City Clinical Oncological Hospital 1
Email: yumatova_ea@mail.ru
ORCID iD: 0000-0002-6020-9434
SPIN-code: 8447-8748
MD, Cand. Sci. (Medicine)
Russian Federation, Moscow; MoscowReferences
- Meinhold Heerlein I, Fotopoulou C, Harter P, et al. The new WHO classification of ovarian, fallopian tube, and primary peritoneal cancer and its clinical implications. Arch Gynecol Obstet. 2016;293(4):695–700. doi: 10.1007/s00404-016-4035-8
- Burghardt E, Girardi F, Lahousen M, et al. Patterns of pelvic and paraaortic lymph node involvement in ovarian cancer. Gynecol Oncol. 1991;40(2):103–106. doi: 10.1016/0090-8258(91)90099-q
- Stasenko M, Fillipova O, Tew W. Fallopian Tube Carcinoma. J Oncol Pract. 2019;15(7):375–382. doi: 10.1200/JOP.18.00662
- Reid B, Permuth J, Sellers T. Epidemiology of ovarian cancer: a review. Cancer Biol Med. 2017;14(1):9–32. doi: 10.20892/j.issn.2095-3941.2016.0084
- Ulrikh EA, Papunidi МD, Urmancheeva AF, Matsko DE. Fallopian tube carcinoma: clinical and morphological features, analysis of 69 cases. Voprosy onkologii. 2014;60(3):375–378. EDN: SJTCOH
- Kim MY, Rha SE, Oh SN, et al. MR Imaging findings of hydrosalpinx: a comprehensive review. Radiographics. 2009;29(2):495–507. doi: 10.1148/rg.292085070
- Riska A, Leminen A. Updating on primary fallopian tube carcinoma. Acta Obstet Gynecol Scand. 2007;86:1419–1426. doi: 10.1080/00016340701771034
- PDQ Adult Treatment Editorial Board. Ovarian Epithelial, Fallopian Tube, and Primary Peritoneal Cancer Treatment (PDQ®): Health Professional Version. 2023. In: PDQ Cancer Information Summaries [Internet]. Bethesda (MD): National Cancer Institute (US), 2002. Available from: https://www.ncbi.nlm.nih.gov/books/NBK66007/
- Kalampokas E, Kalampokas T, Tourountous I. Primary fallopian tube carcinoma. Eur J Obstet Gynecol Reprod Biol. 2013;169(2):155–161. doi: 10.1016/j.ejogrb.2013.03.023
- Carvalho J, Moretti Marques R, Filho A. Adnexal mass: diagnosis and management. Rev Bras Ginecol Obstet. 2020;42(7):438–443. doi: 10.1055/s-0040-1715547
- Anthoulakis C, Nikoloudis N. Pelvic MRI as the ”gold standard” in the subsequent evaluation of ultrasound indeterminate adnexal lesions: a systematic review. Gynecol Oncol. 2014;132(3):661–668. doi: 10.1016/j.ygyno.2013.10.022
- Nishino M, Hayakawa K, Minami M, et al. Primary retroperitoneal neoplasms: CT and MR imaging findings with anatomic and pathologic diagnostic clues. Radiographics. 2003;23(1):45–57. doi: 10.1148/rg.231025037
- Sadowski E, Thomassin Naggara I, Rockall A, et al. O-RADS MRI Risk Stratification System: Guide for Assessing Adnexal Lesions from the ACR O-RADS Committee. Radiology. 2022;303(1):35–47. doi: 10.1148/radiol.204371
- Bulanov MN, Chekalova MA, Mazurkevich MN, Vetsheva NN. Primenenie sistemy O-RADS pri ultrazvukovom issledovanii pridatkov matki. Moscow: Research and Practical Clinical Center for Diagnostics and Telemedicine Technologies of the Moscow Health Care Department, 2022. 27 p. (In Russ.) EDN: BUBNGP
- Veloso G, Dias F, Lucas R, Cunha T. Primary fallopian tube carcinoma: review of MR imaging findings. Insights Imaging. 2015;6(4):431–439. doi: 10.1007/s13244-015-0416-y
- Duska LR, Kohn EC. The new classifications of ovarian, fallopian tube, and primary peritoneal cancer and their clinical implications. Ann Oncol. 2017;28(suppl_8):viii8-viii12. doi: 10.1093/annonc/mdx445
- Nudnov NV, Ivashina SV, Aksenova SP. Radiation methods in the diagnosis of primary and recurrent malignant ovarian struma: A case report. Digital Diagnostics. 2023;4(2):214−225. EDN: YNASOM doi: 10.17816/DD322846
- Klinicheskie rekomendatsii MZ RF "Rak yaichnikov / rak matochnoi truby / pervichnyi rak bryushiny". 2022. Ministerstvo zdravookhraneniya RF. Available from: https://oncology.ru/specialist/treatment/references/actual/547.pdf
- Singh N, Gilks C, Wilkinson N, et al. Assignment of primary site in high grade serous tubal, ovarian and peritoneal carcinoma: a proposal. Histopathology. 2014;65(2):149–154. doi: 10.1111/his.12419
- Zhordania KI, Payanidi YuG, Kalinicheva EV. Two ways of the development of serous epithelial ”Ovarian” cancer. Oncogynecology. 2014;(3):42–48. EDN: TAOOQL
- Zhordania KI, Payanidi YuG, Kalinicheva EV. Novaya paradigma v etiologii seroznogo raka yaichnikov. Rossiiskii bioterapevticheskii zhurnal. (In Russ.) 2014;13(2):95–102. EDN: SNANEL
- Zhordania KI. Serous ovarian carcinoma or serous carcinoma of uterine (fallopian) tube? Oncogynecology. 2012;(3):4–9. EDN: SZRFTZ
- SEER*Explorer: An interactive website for SEER cancer statistics [Internet]. Surveillance Research Program, National Cancer Institute; 2023. Available from: https://seer.cancer.gov/statistics network/explorer/
- Tokunaga H, Mikami M, Nagase S, et al. The 2020 Japan Society of Gynecologic Oncology guidelines for the treatment of ovarian cancer, fallopian tube cancer, and primary peritoneal cancer. J Gynecol Oncol. 2021;32(2):e49. doi: 10.3802/jgo.2021.32.e49
- Kuroki L, Guntupalli SR. Treatment of epithelial ovarian cancer. BMJ. 2020;371:m3773. doi: 10.1136/bmj.m3773
- Trabert B, Coburn SB, Mariani A, et al. Reported Incidence and Survival of Fallopian Tube Carcinomas: A Population Based Analysis From the North American Association of Central Cancer Registries. J Natl Cancer Inst. 2018;110(7):750–757. doi: 10.1093/jnci/djx263
- Morozov SP, Lindenbraten LD, Gabai PG, et al. Osnovy menedzhmenta meditsinskoi vizualizatsii. Moscow: GEOTAR-Media, 2020. 432 p. EDN: ZRGBGE doi: 10.33029/9704-5247-9-MEN-2020-1-424
- Svidetelstvo o gosudarstvennoi registratsii programmy dlya EVM № 2024618494. Rossiiskaya Federatsiya. Platforma testirovaniya i obucheniya vrachei: № 2024617367. Vasilev YuA, Shulkin IM, Arzamasov KM, et al. Nauchno prakticheskii klinicheskii tsentr diagnostiki i telemeditsinskikh tekhnologii. (In Russ.) EDN: POELJA
Supplementary files












