Neuroendocrine tumors of stomach and pancreas: diagnostic potential of radiomics, issues, and solutions
- Authors: Nudnov N.V.1,2,3, Shakhvalieva E.S.4, Karelidze D.G.4, Borisov A.A.4, Ivannikov M.E.4
-
Affiliations:
- Russian Research Center of Roentgenology and Radiology, Moscow, Russia
- Russian Medical Academy of Continuing Professional Education
- RUDN University
- Russian Research Center of Roentgenology and Radiology
- Issue: Vol 5, No 4 (2024)
- Pages: 712-724
- Section: Original Study Articles
- Submitted: 22.03.2024
- Accepted: 22.05.2024
- Published: 12.11.2024
- URL: https://jdigitaldiagnostics.com/DD/article/view/629345
- DOI: https://doi.org/10.17816/DD629345
- ID: 629345
Cite item
Abstract
BACKGROUND: Radiomics is currently a promising and prospective tool for diagnosing and treating neuroendocrine neoplasms at various sites. This method is often used for differential diagnosis of gastrointestinal neuroendocrine tumors with other neoplasms at this site.
AIM: The aim of the study was to evaluate the potential of radiomics for differential diagnosis of neuroendocrine tumors of stomach and pancreas.
MATERIALS AND METHODS: The study included data of 12 patients with morphologically proven neoplasms of the stomach (6 with neuroendocrine tumors and 6 with adenocarcinomas) and data of 22 patients with morphologically proven neoplasms of the pancreas (11 with neuroendocrine tumors and 11 with adenocarcinomas). All patients underwent abdominal computed tomography (CT) with intravenous contrast enhancement prior to treatment at the Russian Scientific Center of Roentgenology and Radiology. Radiomics parameters were calculated for the area of gastric and pancreatic tumor manually segmented in the native phase of the CT scan. The results were processed and statistically analyzed using Microsoft Office Excel and R-Studio, a free, open-source software development environment for the R programming language.
RESULTS: CT scan examples demonstrate typical and atypical visual signs of neuroendocrine tumors of stomach and pancreas, contrast enhancement characteristics, location and structure of neoplasms. Fifteen radiomics parameters were identified that were statistically significantly different between gastric neuroendocrine tumor and gastric adenocarcinoma. In pancreas, neuroendocrine tumors differed significantly from adenocarcinomas in 14 radiomics parameters.
CONCLUSIONS: Neuroendocrine tumors of stomach and pancreas are rare neoplasms that are mostly asymptomatic and difficult to visualize due to their small size and contrast enhancement characteristics. Texture analysis may be a promising approach to differentiate gastrointestinal neuroendocrine tumors from other neoplasms at these sites, especially in the view of the difficulty in obtaining a biopsy.
Full Text
Background
Neuroendocrine neoplasms (NENs) represent a heterogeneous group of tumors derived from neuroendocrine cells. These tumors encompass a broad spectrum, with the most common types arising in the gastrointestinal tract, lungs, bronchi, thymus, and pancreas [1]. The term neuroendocrine refers to cells that exhibit both neural and endocrine characteristics [2]. Under the standardized classification system, all neuroendocrine neoplasms are categorized as neuroendocrine tumors (NETs), which include both low-grade NETs and high-grade neuroendocrine carcinomas. Some tumors contain a combination of low- and high-grade histological features and are classified as mixed neuroendocrine–non-neuroendocrine neoplasms, in which the neuroendocrine component constitutes at least 30% of the tumor [1].
Accurate staging of NETs is essential for determining prognosis and guiding treatment decisions [3]. Gastrointestinal and pancreatic NETs are currently graded into three categories: G1 (low grade), G2 (intermediate grade), and G3 (high grade). According to the 2019 World Health Organization classification and the 2016 guidelines from the European Neuroendocrine Tumor Society (ENETS), grading is based on the mitotic count and the Ki-67 proliferation index (Table 1). These grading criteria are similar for both gastrointestinal and pancreatic NETs [4].
Table 1. Classification of gastrointestinal and pancreatic neuroendocrine tumors | ||
Grade | Mitotic index (10HPF) | Proliferation index Ki67, % |
G1 neuroendocrine tumors | <2 | <3 |
G2 neuroendocrine tumors | 2–20 | 3–20 |
G3 neuroendocrine tumors | >20 | >20 |
Neuroendocrine carcinomas | >20 | >20 |
Note. G, neuroendocrine tumor grade; HPF, high-power field. | ||
Tumor grade significantly influences survival outcomes. Data from 64,971 patients with NETs in the Surveillance, Epidemiology, and End Results (SEER) database showed median survival times of 16.2 years for G1, 8.3 years for G2, and 10 months for G3 NETs. Survival also varies markedly with disease stage: patients with localized disease had a median survival of over 30 years, those with regional spread had a median of 10 years, and those with distant metastases had a median of 1 year [5].
Gastric NETs represent approximately 11%–12% of newly diagnosed NETs [3]. Pancreatic NETs account for about one-third of gastrointestinal NETs. Among pancreatic NETs, 45%–60% are non-functioning, while 40%–55% are hormone-secreting [6].
In Russia, data on the incidence of NENs are currently unavailable [4]. In contrast, the incidence in the USA was reported at 6.98 cases per 100,000 population in 2012. An independent analysis of the SEER database also indicated an increase in the incidence of gastrointestinal NENs between 1975 and 2008. Although the exact cause of this rise is unclear, improvements in diagnostic techniques and classification may have contributed [1].
To determine the tumor grade, tissue sections were stained using antibodies against pancytokeratin; cytokeratins 7, 14, 18, and 20; as well as synaptophysin (Syn) and chromogranin A (CgA). If one of the neuroendocrine differentiation markers is not expressed, staining with anti-CD56 antibodies is performed, and the expression of somatostatin receptors 2 and 5 (SSTR2 and SSTR5) is assessed as additional markers [4].
The clinical presentation of NETs varies based on the location of the primary tumor, and all NET types are characterized by a high potential for metastasis. A study by Halfdanarson et al. analyzing NET cases in the USA from 1973 to 2000 found that over 60% of patients had distant metastases and more than 20% had regional metastases at the time of diagnosis [7]. Similar results were reported by Loosen et al. in a European cohort, where 84.6% of patients were found to have distant metastases at diagnosis [8].
Diagnosis of gastric and pancreatic neuroendocrine tumors
The clinical symptoms and NENs can vary widely depending on the tumor location. In functioning tumors, symptoms may result from the secretion of biologically active substances.
Most pancreatic NETs are non-functioning, meaning they do not produce clinical signs of hormone overproduction, which makes diagnosis more difficult. In some instances, these tumors are discovered incidentally during evaluations for unrelated conditions [9]. Non-functioning tumors may remain asymptomatic for extended periods or present with nonspecific symptoms. Typical manifestations include diarrhea, hot flashes, and skin flushing, while bronchospasm is observed less frequently. Other symptoms such as intestinal cramping, telangiectasia, edema, cyanosis, joint involvement, muscle pain, and myopathy are rare [4].
Upper endoscopy with biopsy is commonly used for diagnosis, as NETs require confirmation by immunohistochemistry [10]. Abdominal CT is recommended for G1 and G2 NETs larger than 2 cm, as well as for all G3 NETs. In certain cases, abdominal magnetic resonance imaging (MRI), octreotide scintigraphy, and positron emission tomography combined with CT (PET/CT) may also be useful [11].
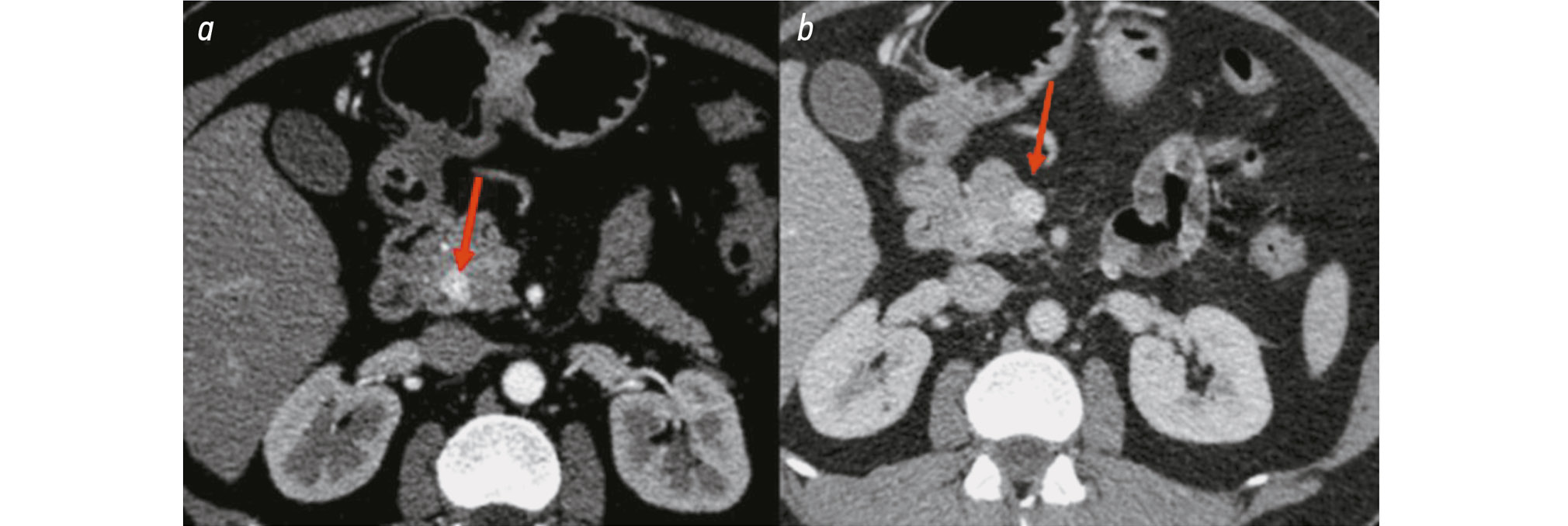
Pancreatic NETs exhibit the greatest contrast enhancement during the early arterial phase (25–35 s), rather than the late arterial phase (35–45 s), which is typically used for pancreatic imaging. This distinction is important because small tumors may be missed during the late arterial phase when the lesion becomes isodense with the surrounding pancreatic tissue [12]. Fig. 1 illustrates characteristic imaging features of pancreatic NETs. Abdominal CT with intravenous contrast revealed a hypervascular lesion in the head of the pancreas, measuring 13 × 9 mm, located near the pancreatic duct and common bile duct, without clear signs of duct compression on CT. The tumor demonstrated marked contrast enhancement during the early arterial phase (10 s) but was poorly visualized in the subsequent contrast phases.
Fig. 1. Abdominal computed tomography with intravenous contrast: a, a hypervascular lesion near the common bile duct during the arterial phase (10th second); b, venous phase image.
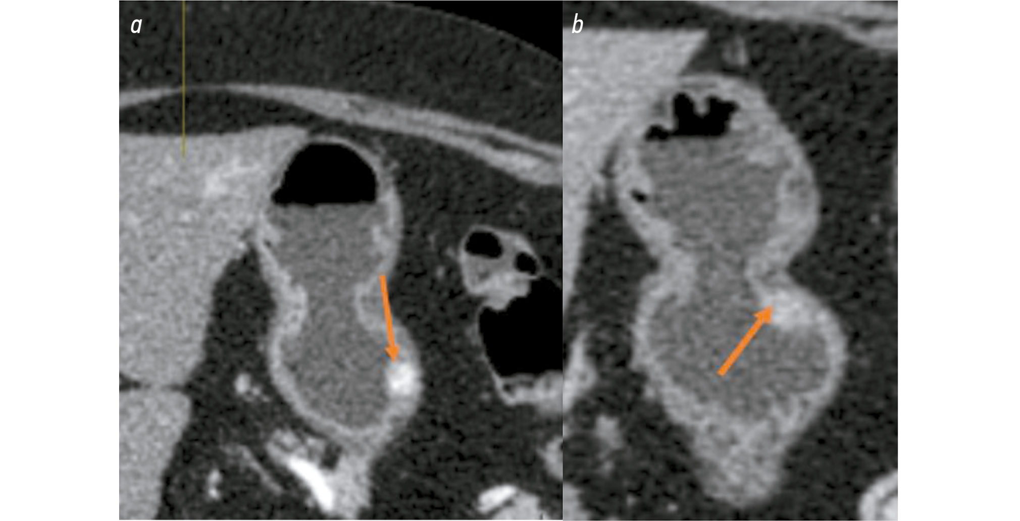
Some pancreatic NETs may appear hypovascular, requiring differentiation from other lesions such as serous cystadenomas, intrapancreatic accessory spleens, renal cell carcinoma metastases, and both cystic and solid masses, including hypovascular adenocarcinomas [13]. Fig. 2 presents a CT image of a pancreatic NET with these features. The lesion, located in the pancreatic body, is round with irregular margins, measuring approximately 2.3 × 2.1 cm, and contains a centrally hypodense area suggestive of necrosis [14]. It appears isodense relative to the pancreatic parenchyma in the venous phase and shows only mild enhancement during the arterial phase. There is no evidence of tumor infiltration into the surrounding fat or vascular structures. In this case, the tumor was identified based on indirect signs, including dilatation of the pancreatic duct, compression of the splenic vein, and moderate enlargement of the pancreatic body. This presentation is atypical for pancreatic NETs. Rare cases have been described in which venous phase enhancement is more pronounced [15].
Fig. 2. Computed tomography of a hypovascular pancreatic neuroendocrine tumor: a, a moderately hypervascular lesion in the pancreatic body with a hypodense central area and dilatation of the pancreatic duct, arterial phase (10th second); b, moderate compression of the splenic vein, venous phase.
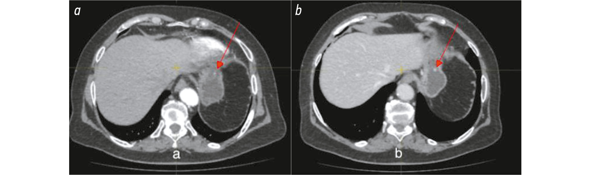
Gastric NETs are generally hypervascular and typically show increased contrast enhancement during the early arterial phase [16]. G1 and G2 gastric NETs are usually small (<1 cm) and are most often located in the gastric fundus or body [10, 17]. Fig. 3 illustrates typical imaging features of gastric NETs. An exophytic, hypervascular lesion measuring 10 × 9 mm is visible along the greater curvature of the gastric body, with strong arterial phase enhancement.
Fig. 3. Gastric neuroendocrine tumor: a, tumor tissue showing high contrast uptake, arterial phase; b, tumor tissue showing moderate contrast uptake, venous phase.
As with pancreatic NETs, gastric NETs can also show variable contrast enhancement. Fig. 4 illustrates a NET located in the upper wall of the gastric cardia, which displayed increased enhancement during the venous phase and minimal enhancement during the arterial phase.
Fig. 4. Gastric neuroendocrine tumor: a, low contrast uptake by tumor tissue, arterial phase; b, a hyperintense lesion in the upper wall of the gastric cardia (up to 6 mm), venous phase.
These cases highlight the diagnostic complexity and variability in imaging features of gastric and pancreatic NETs. According to recommendations from the European Society for Medical Oncology and the National Comprehensive Cancer Network, pancreatic biopsy is advised only when the tumor is not clearly visualized on three-phase MRI or CT. The sensitivity of cytological and histological evaluation for diagnosing pancreatic cancer does not exceed 90%. In cases where imaging does not provide morphological confirmation of pancreatic cancer, most patients still undergo radical surgical treatment. However, biopsy carries risks, including potential complications and the possibility of tumor cell spread [18].
Therefore, research into the potential for achieving morphological confirmation of malignancy through imaging studies is of particular relevance.
Radiomics is currently regarded as a promising approach for the diagnosis and management of NENs at various anatomical sites [19]. It involves the extraction and analysis of numerous quantitative features from medical imaging data, including parameters related to shape, size, texture, intensity, and voxel relationships [20].
Radiomics is applied in research to solve specific clinical tasks. In gastrointestinal NENs, its most common application is in predicting tumor grade [21–23]. Texture analysis has also been used to differentiate gastrointestinal NETs from other gastrointestinal neoplasms. Most studies indicate that models combining radiomics features with clinical and additional diagnostic data yield the highest accuracy. Texture analysis is used less frequently to evaluate treatment response in gastrointestinal NETs. Additionally, some studies have explored the role of radiomics in predicting disease progression and recurrence.
Aim
To assess the potential of radiomics for the differential diagnosis of gastric and pancreatic NETs.
Materials and methods
Study design
This study is an observational, single-center, cross-sectional investigation.
Eligibility criteria
Inclusion criteria: morphologically confirmed gastric or pancreatic neoplasm; abdominal CT with intravenous contrast performed before the initiation of treatment; and documented voluntary informed consent allowing the use of the participant’s medical data for research purposes
Non-inclusion criteria: CT scans conducted outside the Russian Scientific Center of Roentgenology and Radiology
Exclusion criteria: absence of CT images of the tumor
Study setting
Data that met the inclusion criteria were collected at the Russian Scientific Center of Roentgenology and Radiology.
Study duration
The study was conducted from December 1, 2023, to March 22, 2024.
Intervention
All participants underwent contrast-enhanced abdominal CT using various scanners, with a slice thickness of 1 mm. CT scans were acquired during the early arterial phase, which is not typically included in standard imaging protocols.
Main study outcome
The primary outcomes were radiomics parameters in patients diagnosed with NETs and adenocarcinoma.
Outcomes registration
CT data from all patients were uploaded into the open-source software 3D Slicer (https://www.slicer.org/), which allows extraction of radiomics parameters from defined regions of interest.
Radiomics features were calculated within the gastric or pancreatic tumor regions. For each patient, the tumor was manually segmented in either the arterial or venous phase, and the resulting contour was aligned with the precontrast phase. Image processing in the precontrast phase is challenging due to the tumor appearing isodense with the surrounding parenchyma. Segmentation in contrast-enhanced phases also presents difficulties, as anatomical mismatches can occur between slices across different CT phases. These factors necessitate an evaluation of segmentation reproducibility, which is a limitation of the study.
A total of 93 radiomics features were extracted for both gastric NETs and adenocarcinomas and for pancreatic NETs and adenocarcinomas. These included first-order statistics and features derived from adjacency and uniformity matrices. Parameters related to the geometry of the region of interest were not analyzed due to challenges in reliably differentiating between healthy and tumor tissues.
The comparison results, including the median, first and third quartiles, and statistical significance of the differences, are presented in the tables.
Subgroup analysis
The study participants’ data were categorized into four groups based on tumor site and histologic type:
- Gastric neuroendocrine tumor
- Gastric adenocarcinoma
- Pancreatic neuroendocrine tumor
- Pancreatic adenocarcinoma
Ethics approval
The study was approved by the Independent Ethics Committee of the Russian Scientific Center of Roentgenology and Radiology (Meeting Minutes No. 2, March 1, 2023).
Statistical analysis
The data were processed and analyzed using Microsoft Office Excel and R-Studio, an open-source software development environment for the R programming language. To assess significant differences between medical imaging biomarkers, pairwise intergroup comparisons for each radiomics parameter were conducted using the Mann–Whitney U test. Differences were considered significant if p <0.05.
Results
Participants
The study analyzed data from 12 patients with morphologically confirmed gastric neoplasms (6 with NETs and 6 with adenocarcinomas) and 22 patients with morphologically confirmed pancreatic neoplasms (11 with NETs and 11 with adenocarcinomas). Abdominal CT with intravenous contrast was performed on all patients prior to treatment at the Russian Scientific Center of Roentgenology and Radiology. The neoplasms examined in the study were small (2–3 cm) and varied in grade (G1–G3) and contrast enhancement. Most of the neoplasms included in the study were not initially classified as NETs in prospective CT analysis due to challenges with visual differentiation, requiring further assessment of the CT scans.
Primary results
The study identified 15 radiomics parameters that showed significant differences between patients with gastric NETs and adenocarcinomas. The comparison results, including the median, first and third quartiles, and the significance of the differences (Mann–Whitney U test), are shown in Table 2.
Table 2. Comparison of radiomics parameters between the two groups of patients with gastric neoplasms | |||
Parameters | Gastric neuroendocrine tumor, Me [Q1; Q3] | Gastric adenocarcinoma, Me [Q1; Q3] | p-value |
First order Entropy | 2.01 [1.88; 2.23] | 1.83 [1.62; 1.86] | 0.041 |
First order Interquartile Range | 31.50 [27.56; 38.94] | 23.50 [19.25; 26.94] | 0.026 |
First order Mean Absolute Deviation | 19.19 [17.25; 21.53] | 15.54 [12.92; 16.41] | 0.041 |
First order Robust Mean Absolute Deviation | 13.36 [12.07; 15.23] | 10.04 [8.38; 11.57] | 0.026 |
First order Skewness | -0.25 [-0.43; -0.10] | 0.05 [-0.13; 0.24] | 0.026 |
First order Uniformity | 0.29 [0.26; 0.31] | 0.34 [0.32; 0.40] | 0.041 |
First order Variance | 562.42 [479.32; 803.18] | 414.40 [311.13; 429.14] | 0.041 |
GLCM Cluster Tendency | 2.41 [1.90; 4.08] | 1.92 [1.36; 2.02] | 0.041 |
GLCM Joint Entropy | 3.83 [3.47; 4.02] | 3.48 [2.99; 3.60] | 0.041 |
GLCM Sum Entropy | 2.63 [2.44; 2.98] | 2.48 [2.22; 2.52] | 0.041 |
GLCM Sum Squares | 0.92 [0.78; 1.32] | 0.72 [0.57; 0.78] | 0.041 |
GLDM Dependence Non Uniformity Normalized | 0.07 [0.06; 0.09] | 0.06 [0.06; 0.06] | 0.015 |
GLDM Gray Level Variance | 0.97 [0.84; 1.38] | 0.76 [0.59; 0.79] | 0.041 |
GLRLM Gray Level Non Uniformity Normalized | 0.27 [0.24; 0.29] | 0.30 [0.30; 0.35] | 0.041 |
GLRLM Gray Level Variance | 1.09 [0.91; 1.56] | 0.87 [0.73; 0.98] | 0.041 |
Note. Me, median; Q1, first quartile; Q3, third quartile; GLCM, Gray Level Co-occurrence Matrix; GLDM, Gray Level Dependence Matrix; GLRLM, Gray Level Run Length Matrix. | |||
According to Table 2, patients with gastric NETs exhibited significantly higher entropy (indicating greater heterogeneity of gray levels in an image) and variance (representing the distribution of gray level intensity relative to the mean). The GLDM Dependence Non-Uniformity Normalized, where lower values suggest higher tissue uniformity, was also higher in patients with NETs. These results may suggest that NET tissues are more heterogeneous compared to adenocarcinomas.
In patients with pancreatic NETs and adenocarcinomas, 14 radiomics parameters showed significant differences. The results of these comparisons, including the median, first and third quartiles, and the significance of the differences (Mann–Whitney U test), are presented in Table 3.
Table 3. Comparison of radiomics parameters between the two groups of patients with pancreatic neoplasms | |||
Parameters | Pancreatic neuroendocrine tumor, Me [Q1; Q3] | Pancreatic adenocarcinoma, Me [Q1; Q3] | p-value |
First order Energy | 0.007 | ||
First order Total Energy | 1,425,223.71 [284,018.65; 3,100,864.22] | 5,091,794.59 [1,502,766.76; 8,727,525.25] | 0.047 |
GLDM Dependence Non Uniformity | 28.01 [18.41; 44.78] | 116.43 [88.79; 194.84] | 0.007 |
GLDM Gray Level Non Uniformity | 219.75 [132.80; 431.55] | 868.90 [494.56; 1919.16] | 0.001 |
GLRLM Gray Level Non Uniformity | 119.69 [79.75; 161.57] | 512.56 [308.03; 731.74] | 0.002 |
GLRLM Run Length Non Uniformity | 122.55 [71.16; 271.96] | 702.16 [426.47; 1297.70] | 0.001 |
GLSZM Gray Level Non Uniformity | 10.52 [4.69; 32.08] | 29.51 [19.39; 45.98] | 0.034 |
GLSZM Large Area Emphasis | 2826.63 [2243.10; 6732.92] | 18,275.14 [7206.26; 42,549.14] | 0.007 |
GLSZM Large Area High Gray Level Emphasis | 38 429.22 [20,178.45; 62 109.69] | 156,116.40 [102,536.10; 367,510.22] | 0.001 |
GLSZM Low Gray Level Zone Emphasis | 0.21 [0.17; 0.27] | 0.17 [0.10; 0.23] | 0.028 |
GLSZM Zone Variance | 2632.37 [1928.10; 5957.51] | 17 305.27 [7058.35; 41,998.41] | 0.005 |
NGTDM Busyness | 3.26 [2.01; 5.02] | 10.23 [9.13; 26.37] | 0.0001 |
NGTDM Coarseness | 0.02 [0.01; 0.03] | 0 [0; 0.01] | 0.002 |
NGTDM Strength | 0.13 [0.08; 0.26] | 0.04 [0.01; 0.06] | 0.001 |
Note. Me, median; Q1, first quartile; Q3, third quartile; GLDM, Gray Level Dependence Matrix; GLRLM, Gray Level Run Length Matrix; GLSZM, Gray Level Size Zone Matrix; NGTDM, Neighboring Gray Tone Difference Matrix. | |||
The findings in Table 3 show that nearly all parameters were significantly higher in patients with pancreatic adenocarcinoma. The Energy and Total Energy parameters were 76% and 72% higher, respectively, in these patients. The GLSZM Gray Level Non-Uniformity, where lower values indicate higher uniformity in gray level intensity, was also higher in the adenocarcinoma group. Additionally, NGTDM Busyness (reflecting pixel value changes relative to neighboring pixels) was 68% higher in this group, indicating a more heterogeneous texture with sharper intensity variations in pancreatic adenocarcinoma tissues. Therefore, pancreatic adenocarcinoma tissue appears more heterogeneous and denser than NET tissue.
Discussion
The results of this study and the potential application of radiomics in diagnosing gastrointestinal and pancreatic neoplasms are supported by international research. Chiti et al. used texture parameters in the arterial CT phase to differentiate between high-grade (G3) and low-grade (G1/G2) pancreatic NETs, achieving an area under the curve (AUC) of 0.82 [24]. Liang et al. developed a model for distinguishing between carcinoids (G1) and intermediate- to high-grade (G2/G3) pancreatic NETs. This model, which incorporates both radiomics parameters and clinical data, demonstrated a high prognostic value with an AUC of 0.89 [25].
Wang et al. created a prognostic model for differentiating gastric NETs from adenocarcinomas. The best results were obtained by combining radiomics parameters with data on metastasis and tumor margins, yielding an AUC of 0.821 [0.725; 0.895] [26]. Han et al. developed a model using radiomics parameters to distinguish between cystadenomas and pancreatic NETs. Combining machine learning models at various stages of the study produced excellent classification parameters: AUC 0.99, sensitivity 0.98, and specificity 1.0 [27]. Additionally, other studies have addressed the differential diagnosis between NETs and other gastrointestinal malignancies [28–30].
An et al. developed a model to predict relapses of gastrointestinal and pancreatic NETs by combining radiomics parameters with clinical and laboratory data. This model had an AUC of 0.824 [0,751; 0.883], demonstrating strong prognostic value [31]. Similarly, Song et al. predicted tumor relapse in patients with pancreatic NETs following radical resection. The model, which combined radiomics parameters and clinical data, showed the best results with an AUC of 0.83 [32].
Caruso et al. predicted the response to everolimus treatment in patients with NETs from various sites. The prognostic model achieved an AUC of 0.87 [33].
These published studies suggest that radiomics is a promising and effective tool for analyzing medical images of gastrointestinal NETs at different stages of diagnosis and treatment.
Conclusion
The clinical cases presented highlight the challenges in diagnosing gastric and pancreatic NETs. Similar density values between NETs and surrounding tissues, small tumor size, and variable contrast uptake can lead to underdiagnosis of these neoplasms. However, texture analysis shows promise as a tool for differentiating gastrointestinal NETs from other gastrointestinal tumors, particularly in the early stages when biopsy is challenging.
We identified biomarkers that significantly differed between NETs and adenocarcinomas of the same location: 15 biomarkers for gastric NETs and 14 biomarkers for pancreatic NETs. These findings suggest that further research is needed, particularly in developing models that combine image texture features with clinical data.
Additional information
Funding source. This study was not supported by any external sources of funding.
Competing interests. The authors declare that they have no competing interests.
Authors’ contribution. All authors made a substantial contribution to the conception of the work, acquisition, analysis, interpretation of data for the work, drafting and revising the work, final approval of the version to be published and agree to be accountable for all aspects of the work. N.V. Nudnov — general concept of research, research design and approval of the final version of the article; E.S-A. Shakhvalieva, D.G. Karelidze, A.A. Borisov — data collection, data analysis, writing the text of the manuscript; M.E. Ivannikov — editing the text of the manuscript.
Consent for publication. Written consent was obtained from patients for publication of relevant medical information and all of accompanying images within the manuscript in Digital Diagnostics journal.
About the authors
Nikolay V. Nudnov
Russian Research Center of Roentgenology and Radiology, Moscow, Russia; Russian Medical Academy of Continuing Professional Education; RUDN University
Author for correspondence.
Email: nudnov@rncrr.ru
ORCID iD: 0000-0001-5994-0468
SPIN-code: 3018-2527
MD, Dr. Sci. (Medicine), Professor
Russian Federation, Moscow; Moscow; MoscowElina S-A. Shakhvalieva
Russian Research Center of Roentgenology and Radiology
Email: shelina9558@gmail.com
ORCID iD: 0009-0000-7535-8523
Russian Federation, Moscow
David G. Karelidze
Russian Research Center of Roentgenology and Radiology
Email: david_ka@mail.ru
ORCID iD: 0009-0002-0375-1291
Russian Federation, Moscow
Aleksandr A. Borisov
Russian Research Center of Roentgenology and Radiology
Email: aleksandrborisov10650@gmail.com
ORCID iD: 0000-0003-4036-5883
SPIN-code: 4294-4736
Russian Federation, Moscow
Mikhail E. Ivannikov
Russian Research Center of Roentgenology and Radiology
Email: ivannikovmichail@gmail.com
ORCID iD: 0009-0007-0407-0953
SPIN-code: 3419-2977
Russian Federation, Moscow
References
- Shah MH, Goldner WS, Benson AB, et al. Neuroendocrine and Adrenal Tumors, Version 2.2021, NCCN Clinical Practice Guidelines in Oncology. J Natl Compr Canc Netw. 2021;19(7):839–868. doi: 10.6004/jnccn.2021.0032
- Menshikov KV, Sultanbaev AV, Musin ShI, et al. Neuroendocrine Tumours: a Literature Review. Creative surgery and oncology. 2021;11(2):174–182. EDN: RTJQRK doi: 10.24060/2076-3093-2021-11-2-174-182
- Alekberzade AV, Krylov NN, Lipnitskiy EM, et al. Gastric neuroendocrine tumors. Pirogov Russian Journal of Surgery. 2019;(12):111–120. EDN: RIRQGH doi: 10.17116/hirurgia2019121111
- Ministry of Health of the Russian Federation. Clinical guidelines «Neuroendocrine tumors» [Internet]. 2020. Available from: https://cr.minzdrav.gov.ru/schema/610_1 (In Russ.) Accessed 2024 Mar 4.
- Dasari A, Shen C, Halperin D, et al. Trends in the Incidence, Prevalence, and Survival Outcomes in Patients With Neuroendocrine Tumors in the United States. JAMA Oncol. 2017;3(10):1335–1342. doi: 10.1001/jamaoncol.2017.0589
- Department of Health of the City of Moscow. Guidelines «Neuroendocrine tumors of the pancreas» [Internet]. 2019. Available from: https://niioz.ru/upload/iblock/4ee/4ee9895614aa276f538069caee698fce.pdf (In Russ.) Accessed 2024 Mar 4.
- Halfdanarson TR, Rabe KG, Rubin J, Petersen GM. Pancreatic neuroendocrine tumors (PNETs): incidence, prognosis and recent trend toward improved survival. Ann Oncol. 2008;19(10):1727–1733. doi: 10.1093/annonc/mdn351
- Loosen SH, Kostev K, Jann H, et al. Distribution of gastrointestinal neuroendocrine tumors in Europe: results from a retrospective cross-sectional study. J Cancer Res Clin Oncol. 2023;149(4):1411–1416. doi: 10.1007/s00432-022-04003-3
- Chernousov AF, Egorov AV, Musaev GKh, et al. Neuroendocrine tumors of a pancreas: 30 year’s experience of clinic of faculty surgery of N.N. Burdenko. Pirogov Russian Journal of Surgery. 2013;(7):13–19. EDN: QYSJLV
- Dias AR, Azevedo BC, Alban LBV., et al. Gastric neuroendocrine tumor: review and update. Arq Bras Cir Dig. 2017;30(2):150–154. doi: 10.1590/0102-6720201700020016
- Sundin A, Vullierme MP, Kaltsas G, Plöckinger U. ENETS Consensus Guidelines for the Standards of Care in Neuroendocrine Tumors: radiological examinations. Neuroendocrinology. 2009;90(2):167–183. doi: 10.1159/000184855
- Radiographia.info [Internet]. Pancreatic endocrine tumors. Available from: https://radiographia.info/article/endokrinnyeopuholipodzheludochnoyzhelezy (In Russ.) Accessed: 04.03.2024
- Gruzdev IS. Application of texture analysis for differential diagnosis and prognosis in the surgical treatment of hypervascular pancreatic masses [dissertation]. Moscow; 2022. Available from: https://www.rncrr.ru/nauka/dissertatsionnyysovet/obyavleniyaozashchitakh/upload%202023/Груздев_диссертация.pdf (In Russ.) EDN: BKPRVN
- Lewis RB, Lattin Jr GE, Paal E. Pancreatic endocrine tumors: radiologic clinicopathologic correlation. Radiographics. 2010;30(6):1445–1464. doi: 10.1148/rg.306105523
- Raman SP, Hruban RH, Cameron JL, et al. Pancreatic imaging mimics: part 2, pancreatic neuroendocrine tumors and their mimics. AJR Am J Roentgenol. 2012;199(2):309–318. doi: 10.2214/AJR.12.8627
- Sahani DV, Bonaffini PA, Fernández Del Castillo C, Blake MA. Gastroenteropancreatic neuroendocrine tumors: role of imaging in diagnosis and management. Radiology. 2013;266(1):38–61. doi: 10.1148/radiol.12112512
- Ganeshan D, Bhosale P, Yang T, Kundra V. Imaging features of carcinoid tumors of the gastrointestinal tract. AJR Am J Roentgenol. 2013;201(4):773–786. doi: 10.2214/AJR.12.9758
- Mikhailov IV, Beliakouski VN, Kudrashou VA, et al. Biopsy of pancreatic tumors prior to resection: for and against. Health and Ecology Issues. 2021;18(1):62–69. EDN: ECTEZT doi: 10.51523/2708-6011.2021-18-1-9
- Staal FCR, Aalbersberg EA, van der Velden D, et al. GEP-NET radiomics: a systematic review and radiomics quality score assessment. Eur Radiol. 2022;32(10):7278–7294. doi: 10.1007/s00330-022-08996-w
- van Griethuysen JJM, Fedorov A, Parmar C, et al. Computational Radiomics System to Decode the Radiographic Phenotype. Cancer Res. 2017;77(21):e104–e107. doi: 10.1158/0008-5472.CAN-17-0339
- Wang X, Qiu JJ, Tan CL, et al. Development and Validation of a Novel Radiomics-Based Nomogram With Machine Learning to Preoperatively Predict Histologic Grade in Pancreatic Neuroendocrine Tumors. Front Oncol. 2022;12:843376. doi: 10.3389/fonc.2022.843376
- Dong Y, Yang DH, Tian XF, et al. Pancreatic neuroendocrine tumor: prediction of tumor grades by radiomics models based on ultrasound images. Br J Radiol. 2023;96(1149):20220783. doi: 10.1259/bjr.20220783
- Ye JY, Fang P, Peng ZP, et al. A radiomics based interpretable model to predict the pathological grade of pancreatic neuroendocrine tumors. Eur Radiol. 2024;34(3):1994–2005. doi: 10.1007/s00330-023-10186-1
- Chiti G, Grazzini G, Cozzi D, et al. Imaging of Pancreatic Neuroendocrine Neoplasms. Int J Environ Res Public Health. 2021;18(17):8895. doi: 10.3390/ijerph18178895
- Liang W, Yang P, Huang R, et al. A Combined Nomogram Model to Preoperatively Predict Histologic Grade in Pancreatic Neuroendocrine Tumors. Clin Cancer Res. 2019;25(2):584–594. doi: 10.1158/1078-0432.CCR-18-1305
- Wang R, Liu H, Liang P, et al. Radiomics analysis of CT imaging for differentiating gastric neuroendocrine carcinomas from gastric adenocarcinomas. Eur J Radiol. 2021;138:109662. doi: 10.1016/j.ejrad.2021.109662
- Han X, Yang J, Luo J, et al. Application of CT-Based Radiomics in Discriminating Pancreatic Cystadenomas From Pancreatic Neuroendocrine Tumors Using Machine Learning Methods. Front Oncol. 2021;11:606677. doi: 10.3389/fonc.2021.606677
- Shi YJ, Zhu HT, Liu YL, et al. Radiomics Analysis Based on Diffusion Kurtosis Imaging and T2 Weighted Imaging for Differentiation of Pancreatic Neuroendocrine Tumors From Solid Pseudopapillary Tumors. Front Oncol. 2020;10:1624. doi: 10.3389/fonc.2020.01624
- Li X, Zhu H, Qian X, et al. MRI Texture Analysis for Differentiating Nonfunctional Pancreatic Neuroendocrine Neoplasms From Solid Pseudopapillary Neoplasms of the Pancreas. Acad Radiol. 2020;27(6):815–823. doi: 10.1016/j.acra.2019.07.012
- He M, Liu Z, Lin Y, et al. Differentiation of atypical non functional pancreatic neuroendocrine tumor and pancreatic ductal adenocarcinoma using CT based radiomics. Eur J Radiol. 2019;117:102–111. doi: 10.1016/j.ejrad.2019.05.024
- An P, Zhang J, Li M, et al. Clinical Data CT Radiomics Based Model for Predicting Prognosis of Patients with Gastrointestinal Pancreatic Neuroendocrine Neoplasms (GP-NENs). Comput Math Methods Med. 2022;2022:4186305. doi: 10.1155/2022/4186305
- Song C, Wang M, Luo Y, et al. Predicting the recurrence risk of pancreatic neuroendocrine neoplasms after radical resection using deep learning radiomics with preoperative computed tomography images. Ann Transl Med. 2021;9(10):833. doi: 10.21037/atm-21-25
- Caruso D, Polici M, Rinzivillo M, et al. CT-based radiomics for prediction of therapeutic response to Everolimus in metastatic neuroendocrine tumors. Radiol Med. 2022;127(7):691–701. doi: 10.1007/s11547-022-01506-4
Supplementary files











