Use of radiomics and dosiomics to identify predictors of radiation induced lung injury
- Authors: Nudnov N.V.1,2,3, Sotnikov V.M.1, Ivannikov M.E.1, Shakhvalieva E.S.1, Borisov A.A.1, Ledenev V.V.4, Smyslov A.Y.1, Ananina A.V.1
-
Affiliations:
- Russian Scientific Center of Roentgenoradiology
- Russian Medical Academy of Continuous Professional Education
- Peoples’ Friendship University of Russia
- Central Clinical Military Hospital
- Issue: Vol 5, No 4 (2024)
- Pages: 752-764
- Section: Original Study Articles
- Submitted: 23.03.2024
- Accepted: 15.05.2024
- Published: 20.11.2024
- URL: https://jdigitaldiagnostics.com/DD/article/view/629352
- DOI: https://doi.org/10.17816/DD629352
- ID: 629352
Cite item
Abstract
BACKGROUND: Radiomics is a machine learning based technology that extracts, analyzes, and interprets quantitative features from digital medical images. In recent years, dosiomics has become an increasingly common term in the literature to describe a new radiomics method. Dosiomics is a texture analysis method for evaluating radiotherapy dose distribution patterns. Most of the published research in dosiomics evaluates its use in predicting radiation induced lung injury.
AIM: The aim of the study was to identify predictors (biomarkers) of radiation induced lung injury using texture analysis of computed tomography (CT) images of lungs and chest soft tissues using radiomics and dosiomics.
MATERIALS AND METHODS: The study used data from 36 women with breast cancer who received postoperative conformal radiation therapy. Retrospectively, the patients were divided into two groups according to the severity of post radiation lung lesions. 3D Slicer was used to evaluate CT results of all patients obtained during radiation treatment planning and radiation dose distribution patterns. The software was able to unload radiomic and dosiomic features from regions of interest. The regions of interest included chest soft tissue and lung areas on the irradiated side where the dose burden exceeded 3 and 10 Gy.
RESULTS: The first group included 13 patients with minimal radiation induced lung lesions, and the second group included 23 patients with post radiation pneumofibrosis. In the lung area on the side irradiated with more than 3 Gy, statistically significant differences between the patient groups were obtained for three radiomic features and one dosiomic feature. In the lung area on the side irradiated with more than 10 Gy, statistically significant differences were obtained for 12 radiomic features and 1 dosiomic feature. In the area of chest soft tissues on the irradiated side, significant differences were obtained for 18 radiomic features and 4 dosiomic features.
CONCLUSIONS: As a result, a number of radiomic and dosiomic features were identified which were statistically different in patients with minimal lesions and pulmonary pneumofibrosis following radiation therapy for breast cancer. Based on texture analysis, predictors (biomarkers) were identified to predict post radiation lung injury and identify higher risk patients.
Full Text
Background
Radiation therapy is a widely used method in cancer treatment [1]. However, it carries the risk of radiation-induced lung injury, particularly in patients with thoracic tumors. To mitigate this complication, various studies have explored the development of prognostic models using clinical, radiomic, and other relevant parameters [2].
Radiomics is an emerging technique based on texture analysis that evaluates quantitative image features to support the interpretation of medical images. It extracts image biomarkers that reflect abnormal changes from DICOM-format medical images. In this study, radiomic features were extracted using the open-source PyRadiomics library (AIM, USA). Radiomic features are generally categorized into two groups: first-order statistics and texture matrices related to co-occurrence and uniformity. These texture matrices include the following:
- Gray Level Co-occurrence Matrix (GLCM)
- Gray Level Run Length Matrix (GLRLM)
- Gray Level Size Zone Matrix (GLSZM)
- Neighboring Gray Tone Difference Matrix (NGTDM)
- Gray Level Dependence Matrix (GLDM) [3, 4].
A comprehensive explanation of these parameters and the formulas used for their calculation is available at pyradiomics.readthedocs.io [4].
Current evidence supports the utility of radiomics in predicting disease progression and treatment-related complications [5].
The term dosiomics, introduced by Gabryś et al. [6], is now widely used to describe a subfield within radiomics. Dosiomics applies texture analysis techniques to assess patterns in radiotherapy dose distributions. Similar to radiomic features, dosiomic features include co-occurrence and uniformity matrices that represent spatial relationships among pixels and voxels within an image. Most international studies on dosiomics have concentrated on its application in predicting radiation-induced lung injury [7].
The reported incidence of radiation-induced lung injury varies between 5% and 58% [8]. Risk factors for this condition can be categorized into two main groups. The first group comprises treatment-related factors, such as total radiation dose, dose fractionation, the volume of lung tissue exposed, the irradiation technique used, and the administration of chemotherapy or immunotherapy. The second group includes patient-related factors, such as age, smoking status, preexisting interstitial lung disease or chronic obstructive pulmonary disease, the location of the irradiated tumor, and individual, genetically determined radiosensitivity [9].
Radiation-induced lung injury progresses in two stages [10]. The first stage, known as postradiation pneumonitis or pulmonitis, is characterized by acute interstitial inflammation of lung tissue and typically occurs within 3–6 weeks after radiation therapy [11]. The second stage develops over the following 6 months, during which the acute changes may completely resolve or, especially at doses ≥30 Gy, evolve into chronic changes of varying severity. In such cases, edema and infiltration may lead to irreversible postradiation pneumofibrosis [12, 13]. The diagnosis of postradiation pneumonitis is based on three key criteria: a prior history of radiation therapy; the presence of symptoms such as fever, cough with mucoid sputum, and dyspnea; and characteristic findings on computed tomography (CT) scans [14]. Typical CT features include initial ground-glass opacities, followed by areas of consolidation, fibrous bands, and in some cases, aerial bronchograms and traction bronchiectasis [12, 15]. Postradiation pneumonitis negatively impacts both quality of life and survival in cancer patients [9]. Enhancing radiation therapy techniques to achieve effective local tumor control while minimizing radiation exposure to surrounding lung tissue can reduce the risk of radiation-induced lung injury [16].
Aim
To identify predictors of radiation-induced lung injury by performing texture analysis of CT images of the lungs and chest soft tissues obtained prior to radiation therapy, using radiomic and dosiomic methods.
Materials and methods
Study design
This was a single-center, retrospective study involving the analysis of chest CT scans from patients with breast cancer.
Eligibility criteria
The study included patients with breast cancer who underwent postoperative conformal radiotherapy at the Russian Scientific Center of Roentgenology and Radiology between 2022 and 2023. The inclusion criterion was the availability of follow-up chest CT data obtained at least 6 months after radiation therapy, recorded in the Radiology Information System of the same center. These CT scans were used to assess the extent of postradiation lung changes. Participants were grouped based on the severity of these changes, as determined by the conclusions of an independent radiologist.
Intervention
Pre-radiation preparation included a chest CT scan performed on a SOMATOM Definition AS scanner (Siemens, Germany), followed by volumetric dosimetric planning for radiation therapy. Irradiation of the chest wall and tumor bed was carried out using the TrueBeam system (Varian MS, USA) with a total equivalent radiation dose ranging from 50 to 60 Gy. A follow-up chest CT scan was conducted no earlier than 6 months after the completion of radiation therapy.
Main study outcome
The study’s null hypothesis assumed no statistically significant differences between groups in any of the 107 evaluated radiomic and dosiomic features.
Outcomes registration
CT images acquired during radiation therapy planning, along with corresponding dose distribution data, were processed using 3D Slicer software (3D Slicer Community). This software enabled the extraction of radiomic and dosiomic features from defined regions of interest [17]. Features were calculated for chest soft tissues within the irradiation zone along the anterior surface, as well as for lung regions that received radiation doses exceeding 3 Gy and 10 Gy. Regions of interest were identified semi-automatically using Varian software (Varian, USA). For each region, 107 radiomic and dosiomic features were extracted, including first-order statistics, shape descriptors, and texture matrices related to co-occurrence and uniformity.
Subgroup analysis
Participants were retrospectively divided into two groups based on follow-up chest CT findings obtained 6 months after radiation therapy. Group 1 consisted of patients with minimal postradiation changes, while Group 2 included those with pronounced postradiation pneumofibrosis.
Ethics approval
The study protocol was reviewed and approved by the Independent Ethics Committee of the Russian Scientific Center of Roentgenology and Radiology on March 1, 2024 (Meeting Minutes No. 2).
Statistical analysis
The sample size was not predetermined. Data processing and statistical analysis were performed using Microsoft Office Excel and R-Studio, an open-source development environment for the R programming language (Posit, USA). The Mann–Whitney U test and Fisher’s exact test were used to evaluate differences in quantitative and qualitative variables, respectively. Data are reported as the median along with the 25th and 75th percentiles (first and third quartiles). A p-value of <0.05 was considered statistically significant.
Results
Participants
The study analyzed pre-radiation therapy CT scans of the lungs and chest soft tissues from 36 patients with breast cancer.
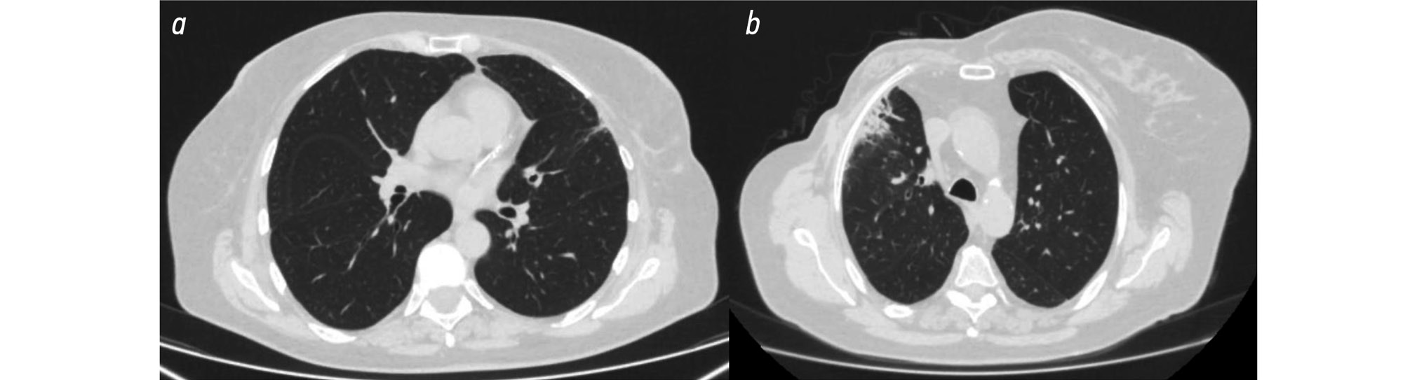
Group 1 consisted of 13 patients who exhibited minimal postradiation changes (Fig. 1a), while Group 2 included 23 patients with severe postradiation pneumofibrosis (Fig. 1b).
Fig. 1. Chest computed tomography at 6 months postradiation therapy: a, minimal postradiation changes in the left lung; b, severe postradiation pneumofibrosis in the right lung.
Quantitative and qualitative parameter comparisons between the two groups are shown in Tables 1 and 2.
Table 1. Comparison of study groups by quantitative parameters | ||||
Parameter | Group 1 (minimal postradiation changes) | Group 2 (postradiation pneumofibrosis) | p-value | |
Age, years | 61 [54; 67] | 65 [55; 72] | 0.179 | |
Irradiated lung volume, cm3, radiation exposure | >3 Gy | 945.94 [781.81; 1175.68] | 828.67 [668.27; 1032.38] | 0.190 |
>10 Gy | 613.88 [420.02; 694.52] | 527.27 [403.10; 611.62] | 0.344 | |
>30 Gy | 330.36 [239.15; 449.71] | 354.03 [248.07;447.64] | 0.771 | |
Note. Data are presented as Me [Q1; Q3], where Me is the median, Q1 is the first quartile, and Q3 is the third quartile. | ||||
Table 2. Comparison of study groups by qualitative parameters | ||||
Parameter | Number of patients (% of the total number of patients in the group) | p-value | ||
Group 1 (minimal postradiation changes) | Group 2 (postradiation pneumofibrosis) | |||
Smoking status | 0 | 0 | – | |
Concomitant lung diseases | 1 (7,7) | 0 | 0.361 | |
Concomitant heart disease | 5 (38,5) | 10 (43.5) | 0.526 | |
History of chemotherapy | 8 (61,5) | 15 (65.2) | 0.821 | |
Affected mammary gland | Left | 6 (46.1) | 12 (52.2) | 0.5 |
Right | 7 (53.8) | 11 (47.8) | ||
Disease stage | T1–4N1–3М0 | 10 (76.9) | 12 (52.2) | 0.175 |
Т1–3N0M0 | 3 (23.1) | 11 (47.8) | ||
Surgery type | Radical mastectomy | 7 (53.8) | 15 (65.2) | 0.480 |
Partial mastectomy | 6 (46.1) | 7 (30.4) | ||
Note. Disease stage is indicated according to the TNM staging system, where T0–4 (tumor) represents the size of the primary tumor, N0–3 (nodes) refers to the degree of spread to regional lymph nodes, and M0–1 (metastasis) indicates the presence of distant metastasis. | ||||
The results support the validity of the intergroup comparisons.
Primary results
For the calculation of radiomic and dosiomic features, regions of interest on CT scans were selected based on a radiomic dose threshold of 3 Gy. This threshold was chosen based on previous studies showing that doses between 0 and 3 Gy do not lead to radiation-induced lung injury [13]. Additionally, some international studies consider a 3 Gy dose as a potential predictor of pneumonitis [18]. In texture analysis involving large tissue volumes, radiomic features are averaged, which can obscure significant differences and occasionally lead to missing relevant texture parameters in small regions of interest. Therefore, an additional threshold dose of 10 Gy was used to improve accuracy.
In the lung regions exposed to radiation doses greater than 3 Gy, significant differences were observed in three radiomic features and one dosiomic feature. The comparisons of these parameters—including median values, first and third quartiles, and statistical significance levels—are presented in Table 3.
Table 3. Comparison of the two patient groups by radiomic and dosiomic features in lung fields with radiation exposure exceeding 3 Gy | |||
Parameter | Group 1 (minimal postradiation changes) | Group 2 (postradiation pneumofibrosis) | p-value |
Radiomic features | |||
GLRLM Gray Level Nonuniformity | 17 464.52 [12199.53; 26481.37] | 11 904.86 [7059.69; 20646.00] | 0.05 |
GLSZM Size Zone Nonuniformity | 19 096.83 [15693.52; 23905.24] | 13 307.97 [11842.68; 19368.63] | 0.043 |
NGTDM Busyness | 74.81 [55.15; 102.73] | 56.56 [34.50; 78.11] | 0.047 |
Dosiomic features | |||
GLCM Maximum Probability | 0.60 [0.55; 0.68] | 0.55 [0.53; 0.61] | 0.05 |
Note. Data are presented as Me [Q1; Q3], where Me is the median, Q1 is the first quartile, and Q3 is the third quartile. GLRLM, Gray Level Run Length Matrix; GLSZM, Gray Level Size Zone Matrix; NGTDM, Neighboring Gray Tone Difference Matrix; GLCM, Gray Level Co-occurrence Matrix. | |||
The GLSZM Size Zone Nonuniformity values suggest that patients in Group 2 (with postradiation pneumofibrosis) exhibited more uniform gray level zone volumes. This is in line with findings for NGTDM Busyness, which measures the heterogeneity of adjacent pixels and was higher in Group 1 (patients with minimal postradiation changes). These results may indicate that lung tissue in Group 1, which demonstrates better recovery from radiation injury, has more distinct gray level variations and is less likely to form large homogeneous areas. Early postradiation pneumonitis on CT is typically characterized by local interstitial inflammation and damage to the microvascular endothelium [19, 20]. The baseline condition of the pulmonary microvasculature may influence the tissue’s ability to recover from radiation injury, and the observed texture features may reflect the degree of vascular development.
In the lung regions receiving more than 10 Gy of radiation, significant differences were identified in 12 radiomic features and 1 dosiomic feature. The comparisons for these parameters are summarized in Table 4.
Table 4. Comparison of the two patient groups by radiomic and dosiomic features in lung fields with radiation exposure exceeding 10 Gy | |||
Parameter | Group 1 (minimal postradiation changes) | Group 2 (postradiation pneumofibrosis) | p-value |
Radiomic features | |||
Flatness | 0.23 [0.22; 0.25] | 0.26 [0.24; 0.29] | 0.040 |
First-order Mean Absolute Deviation | 112.38 [97.82; 152.24] | 129.81 [118.67; 153.71] | 0.048 |
GLCM Cluster Prominence | 186 230.89 [148727.18; 306231.09] | 321 625.90 [230877.79; 417140.54] | 0.028 |
GLCM Cluster Shade | 3366.36 [2860.31; 5779.96] | 5998.08 [4269.97; 6497.98] | 0.037 |
GLCM Cluster Tendency | 105.53 [84.37; 171.43] | 156.66 [122.25; 179.47] | 0.048 |
GLCM Correlation | 0.55 [0.49; 0.60] | 0.59 [0.55; 0.63] | 0.048 |
GLCM Sum Squares | 34.48 [27.65; 54.08] | 46.15 [37.78; 55.89] | 0.044 |
GLDM Dependence Entropy | 7.10 [6.95; 7.21] | 7.19 [7.03; 7.34] | 0.056 |
GLRLM High Gray Level Run Emphasis | 149.91 [129.33; 200.75] | 176.32 [159.08; 199.05] | 0.044 |
GLRLM Run Entropy | 4.85 [4..70; 5.00] | 5.01 [4.85; 5.08] | 0.024 |
GLRLM Short Run High Gray Level Emphasis | 143.26 [121.04; 193.03] | 168.49 [152.61; 191.58] | 0.048 |
GLSZM Zone Entropy | 6.63 [6.55; 6.73] | 6.75 [6.67; 6.81] | 0.031 |
Dosiomic features | |||
NGTDM Flatness | 0.23 [0.22; 0.25] | 0.26 [0.24; 0.30] | 0.040 |
Note. Data are presented as Me [Q1; Q3], where Me is the median, Q1 is the first quartile, and Q3 is the third quartile. GLCM, Gray Level Co-occurrence Matrix; GLDM, Gray Level Dependence Matrix; GLRLM, Gray Level Run Length Matrix; GLSZM, Gray Level Size Zone Matrix; NGTDM, Neighboring Gray Tone Difference Matrix. | |||
For instance, the GLCM Cluster Shade, which reflects the heterogeneity of gray level cluster distribution, was approximately 44% higher in patients with postradiation pneumofibrosis. This is further supported by the GLCM Cluster Prominence values, which indicate that in Group 1 (patients with minimal radiation-induced injury), the gray levels within clusters are closer to the overall average for lung tissue. In contrast, Group 2 (patients with postradiation pneumofibrosis) showed over 40% greater variability in gray level distribution within individual clusters. These results suggest that, at baseline, patients in Group 2 had more areas of increased density and heterogeneity compared to the more uniform lung tissue in Group 1. The GLRLM High Gray Level Run Emphasis shows that Group 2 had 15% more regions with high gray levels, suggesting denser lung tissue at baseline in patients who later developed significant postradiation changes. This observation aligns with previous studies [13]. Morphologically, this could be associated with a greater presence of fibrotic lung areas before treatment.
In the irradiated chest soft tissues, significant differences between groups were found in 18 radiomic features (Table 5) and 4 dosiomic features (Table 6).
Table 5. Comparison of the two patient groups by radiomic features in irradiated chest soft tissues | |||
Parameter | Group 1 (minimal postradiation changes) | Group 2 (postradiation pneumofibrosis) | p-value |
GLCM Autocorrelation | 327.37 [26.23; 716.81] | 778.92 [250.21; 1299.00] | 0.04 |
GLCM Joint Average | 17.92 [5.00; 26.57] | 27.83 [15.66; 36.00] | 0.04 |
GLCM SumAverage | 35.85 [10.00; 53.15] | 55.67 [31.32; 72.01] | 0.04 |
GLDM High Gray Level Emphasis | 330.75 [26.84; 722.33] | 785.17 [252.23; 1301.19] | 0.04 |
GLDM Large Dependence High Gray Level Emphasis | 34,520.55 [4229.63; 90 474.35] | 94,735.42 [34,425.42; 178,891.14] | 0.031 |
GLDM Small Dependence Emphasis | 0.04 [0.04; 0.05] | 0.06 [0.04; 0.06] | 0.031 |
GLDM Small Dependence High Gray Level Emphasis | 15.94 [1.32; 36.06] | 40.80 [14.16; 69.29] | 0.034 |
GLRLM High Gray Level Run Emphasis | 337.14 [29.46; 731.67] | 786.90 [257.09; 1312.39] | 0.044 |
GLRLM Long Run High Gray Level Emphasis | 1047.96 [132.06; 2600.37] | 2816.82 [992.76; 5222.59] | 0.028 |
GLRLM Short Run High Gray Level Emphasis | 259.01 [20.99; 561.86] | 573.11 [186.60; 970.35] | 0.048 |
GLSZM Gray Level NonUniformity Normalized | 0.13 [0.09; 0.20] | 0.10 [0.07; 0.11] | 0.031 |
GLSZM Large Area Emphasis | 1,738,981.12 [415,642.22; 3,268,243.47] | 815,272.55 [212,074.04; 1,207,397.63] | 0.048 |
GLSZM Large Area Low Gray Level Emphasis | 8843.95 [1392.9; 148,364.17] | 1025.44 [474.68; 4267.21] | 0.011 |
GLSZM Small Area High Gray Level Emphasis | 232.12 [27.48; 493.15] | 517.89 [205.88; 828.21] | 0.044 |
GLSZM Zone Percentage | 0.03 [0.03; 0.04] | 0.04 [0.03; 0.05] | 0.044 |
GLSZM Zone Variance | 1,737,696.14 [414,536.61; 3,266,421.34] | 814,359.34 [211,603.3; 1,206,631.61] | 0.048 |
NGTDM Busyness | 25.52 [9.61; 135.47] | 8.10 [4.51; 17.92] | 0.012 |
NGTDM Strength | 0.09 [0.05; 0.25] | 0.28 [0.15; 0.54] | 0.037 |
Note. Data are presented as Me [Q1; Q3], where Me is the median, Q1 is the first quartile, and Q3 is the third quartile. GLCM, Gray Level Co-occurrence Matrix; GLDM, Gray Level Dependence Matrix; GLRLM, Gray Level Run Length Matrix; GLSZM, Gray Level Size Zone Matrix; NGTDM, Neighboring Gray Tone Difference Matrix. | |||
Table 6. Comparison of the two patient groups by dosiomic features in irradiated chest soft tissues | |||
Parameter | Group 1 (minimal postradiation changes) | Group 2 (postradiation pneumofibrosis) | p-value |
GLCM SumEntropy | 1.10 [0.55; 1.23] | 1.26 [0.65; 1.31] | 0.05 |
GLRLM Long Run Low Gray Level Emphasis | 64.07 [39.55; 120.07] | 38.78 [25.75; 55.68] | 0.028 |
GLRLM Short Run High Gray Level Emphasis | 0.40 [0.25; 0.49] | 0.47 [0.42; 0.94] | 0.026 |
NGTDM Complexity | 0.06 [0.04; 0.07] | 0.08 [0.06; 0.25] | 0.05 |
Note. Data are presented as Me [Q1; Q3], where Me is the median, Q1 is the first quartile, and Q3 is the third quartile. GLCM, Gray Level Co-occurrence Matrix; GLRLM, Gray Level Run Length Matrix; NGTDM, Neighboring Gray Tone Difference Matrix. | |||
As shown in Table 5, significant intergroup differences were observed in the texture parameters. For instance, GLSM autocorrelation, which measures texture fineness or coarseness, was 42% higher in Group 2. GLSZM Large Area Emphasis, which indicates coarser texture in large areas, was 46% higher in Group 1. NGTDM Busyness, which reflects intensity changes between neighboring pixels, was 31% higher in Group 1. The latter two parameters suggest that Group 1 has a less uniform texture with sharper intensity changes.
Table 6 shows that Group 2 had higher total GLCM Entropy, indicating more significant intensity variations in the image. The GLRLM Long Run Low Gray Level Emphasis, which reflects the distribution of low gray level values, was higher in Group 1, suggesting a greater number of low gray level values in the image. The larger number of parameters with intergroup differences (Tables 5 and 6) suggests that the condition of chest soft tissues and mammary glands could serve as predictors of lung tissue recovery following radiation therapy. However, the underlying mechanisms and nature of this association require further study.
Discussion
The variety of risk factors for radiation-induced lung injury allows for the use of different quantitative and qualitative parameters to predict this complication. For instance, Zhao et al. [21] found that elevated levels of transforming growth factor beta (TGF-β) in the blood within the first 4 weeks of radiation therapy could predict the risk of lung injury with 66.7% sensitivity and 95.0% specificity. Chen et al. [22] developed a model based on an artificial neutral network to predict the risk of postradiation pneumonitis using factors such as the volume of lung tissue exposed to >16 Gy, cumulative equivalent uniform dose, forced expiratory volume in 1 s, diffusing capacity for carbon monoxide, and chemotherapy history. Additionally, many researchers have applied radiobiological models to predict the risk of radiation-induced damage to healthy tissues [23].
Radiomics may enhance the prognostic value of predictive models. For example, Wang et al. [24] developed a radiomics nomogram with a concordance index of 0.921. Several studies on predicting the risk of radiation-induced lung injury have shown that models incorporating radiomic and dosiomic features are highly effective [7]. A key study by Huang et al. [18] reported a prognostic model that combined dosiomic and radiomic features with a high prognostic value (AUC 0.9). Importantly, including clinical findings in prognostic models further improves their performance [25]. Comparative studies examining the effectiveness of dosimetry parameters (which describe the radiation therapy received) versus dosiomic features suggest that dosiomics can be integrated into prognostic models [26–28]. Adachi et al. [29] found that combining dosimetry parameters with dosiomic features enhanced the prognostic value of models. Based on international research, combined models using dosiomics, radiomics, clinical findings, and dosimetry can be a powerful prognostic tool [25, 30].
The studies mentioned above support our results, showing significant differences in radiomic and dosiomic features between patients with minimal postradiation changes and those with postradiation pneumofibrosis. These differences, identified before radiation therapy, were predictive of the risk of postradiation pneumofibrosis.
Study limitations
This study has several notable limitations. First, the sample size is small, and we plan to address this in future research. Second, the study utilized images from a single CT scanner. This limitation could be overcome by conducting a multicenter study or using external datasets, though this would require additional standardization of image generation and processing. The third limitation is the lack of universally accepted criteria for differentiating between minimal postradiation changes and postradiation pneumofibrosis. This could be addressed by employing computer vision techniques to measure the volume of affected and unaffected lung tissue. While this is an experimental, pilot study, it provides promising results for future development.
Conclusion
The study identified several radiomic and dosiomic features that significantly differed between patients with minimal postradiation changes and those with postradiation pneumofibrosis after radiation therapy for breast cancer. These differences were observed in both lung tissue and irradiated chest soft tissues. The findings suggest that the risk of radiation-induced lung injury may be influenced by individual patient characteristics, including lung tissue structure and the status of chest soft tissues. The texture parameters identified in this study can help predict the risk of radiation-induced lung injury and identify high-risk patients. International research indicates that predicting the risk of radiation-induced lung injury should involve not only the texture parameters of CT images but also dosimetry, laboratory, and other clinical parameters. This approach will enable the most comprehensive, patient-specific assessment and lead to highly accurate prognostic models.
Additional information
Funding source. This study was not supported by any external sources of funding.
Competing interests. The authors declare that they have no competing interests.
Authors’ contribution. All authors made a substantial contribution to the conception of the work, acquisition, analysis, interpretation of data for the work, drafting and revising the work, final approval of the version to be published and agree to be accountable for all aspects of the work. N.V. Nudnov, V.M. Sotnikov — design of the study and final proofreading of the manuscript; M.E. Ivannikov, E.S-A. Shakhvalieva, A.A. Borisov, V.V. Ledenev, A.Yu. Smyslov, A.V. Ananina — data collection and analysis, writing and editing of the manuscript.
Consent for publication. Written consent was obtained from the patient for publication of relevant medical information and all of accompanying images within the manuscript.
About the authors
Nikolay V. Nudnov
Russian Scientific Center of Roentgenoradiology; Russian Medical Academy of Continuous Professional Education; Peoples’ Friendship University of Russia
Author for correspondence.
Email: nudnov@rncrr.ru
ORCID iD: 0000-0001-5994-0468
SPIN-code: 3018-2527
MD, Dr. Sci. (Medicine), Professor
Russian Federation, Moscow; Moscow; MoscowVladimir M. Sotnikov
Russian Scientific Center of Roentgenoradiology
Email: vmsotnikov@mail.ru
ORCID iD: 0000-0003-0498-314X
SPIN-code: 3845-0154
MD, Dr. Sci. (Medicine), Professor
Russian Federation, MoscowMikhail E. Ivannikov
Russian Scientific Center of Roentgenoradiology
Email: ivannikovmichail@gmail.com
ORCID iD: 0009-0007-0407-0953
SPIN-code: 3419-2977
MD
Russian Federation, MoscowElina S.-A. Shakhvalieva
Russian Scientific Center of Roentgenoradiology
Email: shelina9558@gmail.com
ORCID iD: 0009-0000-7535-8523
MD
Russian Federation, MoscowAleksandr A. Borisov
Russian Scientific Center of Roentgenoradiology
Email: aleksandrborisov10650@gmail.com
ORCID iD: 0000-0003-4036-5883
SPIN-code: 4294-4736
MD
Russian Federation, MoscowVasiliy V. Ledenev
Central Clinical Military Hospital
Email: Ledenevvv007@gmail.com
ORCID iD: 0000-0002-2856-2107
SPIN-code: 2791-0329
MD, Cand. Sci. (Medicine)
Russian Federation, MoscowAleksei Yu. Smyslov
Russian Scientific Center of Roentgenoradiology
Email: smyslov.ay@gmail.com
ORCID iD: 0000-0002-6409-6756
SPIN-code: 9341-0037
Cand. Sci. (Engineering)
Russian Federation, MoscowAlina V. Ananina
Russian Scientific Center of Roentgenoradiology
Email: vastruhina.a.v@yandex.ru
ORCID iD: 0009-0002-4562-9729
SPIN-code: 9699-7690
Russian Federation, Moscow
References
- Khmelevsky EV, Kaprin AD. The state of a radiotherapy service in Russia: Comparative analysis and prospects for development. P.A. Herzen Journal of Oncology. 2017;6(4):38-41. EDN: ZFCHGJ doi: 10.17116/onkolog20176438-41
- Kuipers ME, van Doorn Wink KCJ, Hiemstra PS, Slats AM. Predicting radiation induced lung injury in lung cancer patients — challenges and opportunities: Predicting radiation induced lung injury. Int J Radiat Oncol Biol Phys. 2023;118(3):639–649. doi: 10.1016/j.ijrobp.2023.10.044
- Mayerhoefer ME, Materka A, Langs G, et al. Introduction to Radiomics. J Nucl Med. 2020;61(4):488–495. doi: 10.2967/jnumed.118.222893
- Radiomic Features: pyradiomics v3.0.1.post15+g2791e23 documentation [Internet]. [cited 25 Nov 2023]. Available from: https://pyradiomics.readthedocs.io/en/latest/features.html#.
- Avanzo M, Stancanello J, Pirrone G, Sartor G. Radiomics and deep learning in lung cancer. Strahlenther Onkol. 2020;196(10):879–887. doi: 10.1007/s00066-020-01625-9
- Gabryś HS, Buettner F, Sterzing F, et al. Design and selection of machine learning methods using radiomics and dosiomics for normal tissue complication probability modeling of xerostomia. Front Oncol. 2018;8:35. doi: 10.3389/fonc.2018.00035
- Solodkiy VA, Nudnov NV, Ivannikov ME, et al. Dosiomics in the analysis of medical images and prospects for its use in clinical practice. Digital Diagnostics. 2023;4(3):340–355. EDN: EQRWGJ doi: 10.17816/DD420053
- Arroyo Hernández M, Maldonado F, Lozano Ruiz F, et al. Radiation induced lung injury: Current evidence. BMC Pulm Med. 2021;21(1):9. doi: 10.1186/s12890-020-01376-4
- Rahi MS, Parekh J, Pednekar P, et al. Radiation Induced Lung Injury — Current Perspectives and Management. Clin Pract. 2021;11(3):410–429. doi: 10.3390/clinpract11030056
- Yan Y, Fu J, Kowalchuk RO, et al. Exploration of radiation induced lung injury, from mechanism to treatment: a narrative review. Transl Lung Cancer Res. 2022;11(2):307–322. doi: 10.21037/tlcr-22-108
- Gladilina IA, Shabanov MA, Kravets OA, et al. Radiation Induced Lung Injury. Journal of oncology: diagnostic radiology and radiotherapy. 2020;3(2):9–18. EDN: SKOAAY doi: 10.37174/2587-7593-2020-3-2-9-18
- Nudnov NV, Sotnikov VM, Ledenev VV, Baryshnikova DV. Features a Qualitative Assessment of Radiation Induced Lung Damage by CT. Medical Visualization. 2016;(1):39–46. EDN: VWOIIB
- Ledenev VV. Methodology for quantitative assessment of radiation damage to lungs in cancer patients using CT [dissertation]. Moscow, 2023. Available from: https://www.rncrr.ru/nauka/dissertatsionnyysovet/obyavleniyaozashchitakh/upload%202023/Леденев_ Диссертация.pdf (In Russ.) EDN: YBWROM
- Zhou C, Yu J. Chinese expert consensus on diagnosis and treatment of radiation pneumonitis. Prec Radiat Oncol. 2022;6(3):262–271. doi: 10.1002/pro6.1169
- Konkol M, Śniatała P, Milecki P. Radiation induced lung injury — what do we know in the era of modern radiotherapy? Rep Pract Oncol Radiother. 2022;27(3):552–565. doi: 10.5603/RPOR.a2022.0046
- Shaymuratov RI. Radiation induced lung injury. A review. The Bulletin of Contemporary Clinical Medicine. 2020;13(3):63–73. EDN: BIZZHU doi: 10.20969/VSKM.2020.13(3).63-73
- D Slicer image computing platform [Internet]. [cited 25 Nov 2023]. Available from: https://www.slicer.org/
- Wang L, Gao Z, Li C, et al. Computed Tomography Based Delta Radiomics Analysis for Discriminating Radiation Pneumonitis in Patients With Esophageal Cancer After Radiation Therapy. Int J Radiat Oncol Biol Phys. 2021;111(2):443–455. doi: 10.1016/j.ijrobp.2021.04.047
- Begosh Mayne D, Kumar SS, Toffel S, et al. The dose response characteristics of four NTCP models: using a novel CT-based radiomic method to quantify radiation-induced lung density changes. Sci Rep. 2020;10(1):10559. doi: 10.1038/s41598-020-67499-0
- Korpela E, Liu SK. Endothelial perturbations and therapeutic strategies in normal tissue radiation damage. Radiat Oncol. 2014;9:266. doi: 10.1186/s13014-014-0266-7
- Zhao L, Sheldon K, Chen M, et al. The predictive role of plasma TGF-beta1 during radiation therapy for radiation induced lung toxicity deserves further study in patients with non small cell lung cancer. Lung Cancer. 2008;59(2):232–239. doi: 10.1016/j.lungcan.2007.08.010
- Chen S, Zhou S, Zhang J, et al. A neural network model to predict lung radiation induced pneumonitis. Med Phys. 2007;34(9):3420–3427. doi: 10.1118/1.2759601
- Jain V, Berman AT. Radiation Pneumonitis: Old Problem, New Tricks. Cancers (Basel). 2018;10(7):222. doi: 10.3390/cancers10070222
- Huang Y, Feng A, Lin Y, et al. Radiation pneumonitis prediction after stereotactic body radiation therapy based on 3D dose distribution: Dosiomics and/or deep learning-based radiomics features. Radiat Oncol. 2022;17(1):188. doi: 10.1186/s13014-022-02154-8
- Zhang Z, Wang Z, Yan M, et al. Radiomics and dosiomics signature from whole lung predicts radiation pneumonitis: A model development study with prospective external validation and decision curve analysis. Int J Radiat Oncol Biol Phys. 2023;115(3):746–758. doi: 10.1016/j.ijrobp.2022.08.047
- Puttanawarut C, Sirirutbunkajorn N, Khachonkham S, et al. Biological dosiomic features for the prediction of radiation pneumonitis in esophageal cancer patients. Radiat Oncol. 2021;16(1):220. doi: 10.1186/s13014-021-01950-y
- Liang B, Yan H, Tian Y, et al. Dosiomics: Extracting 3D spatial features from dose distribution to predict incidence of radiation pneumonitis. Front Oncol. 2019;(9):269.doi: 10.3389/fonc.2019.00269
- Liang B, Tian Y, Chen X, et al. Prediction of radiation pneumonitis with dose distribution: A convolutional neural network (CNN) based model. Front Oncol. 2020;9:1500. doi: 10.3389/fonc.2019.01500
- Adachi T, Nakamura M, Shintani T, et al. Multi institutional dose segmented dosiomic analysis for predicting radiation pneumonitis after lung stereotactic body radiation therapy. Med Phys. 2021;48(4):1781–1791. doi: 10.1002/mp.14769
- Zheng X, Guo W, Wang Y, et al. Multi omics to predict acute radiation esophagitis in patients with lung cancer treated with intensity modulated radiation therapy. Eur J Med Res. 2023;28(1):126. doi: 10.1186/s40001-023-01041-6
Supplementary files








