Hypoplasia of the inferior vena cava with hypertrophic azygos/hemiazygos and collateral venous circles of the abdomen: a case report
- Authors: Montatore M.1, Muscatella G.1, Masino F.1, Ricatti G.2, Balbino M.1, Gifuni R.1, Guglielmi G.1,2,3
-
Affiliations:
- Foggia University School of Medicine
- «Monsignor Raffaele Dimiccoli» Hospital
- IRCCS Casa Sollievo della Sofferenza Hospital
- Issue: Vol 5, No 4 (2024)
- Pages: 902-910
- Section: Case reports
- Submitted: 10.04.2024
- Accepted: 12.09.2024
- Published: 13.12.2024
- URL: https://jdigitaldiagnostics.com/DD/article/view/630215
- DOI: https://doi.org/10.17816/DD630215
- ID: 630215
Cite item
Abstract
Hypoplasia of the inferior vena cava is a rare congenital vascular defect with various forms; thus, identifying a specific anatomical variant in the literature is challenging. In some cases, the inferior vena cava may also be interrupted. Herein, we present a unique case of of an unknown subrenal hypoplasia of the inferior vena cava with azygos and hemiazygos hypertrophy and the creation of several collateral circles, particularly in the anterior wall of the abdomen, in an asymptomatic 75 year old man. This report not only describes this unusual instance but also quickly demonstrates the variations of the venous system in the abdomen, particularly on the right side, and the inferior vena cava and the azygos system, and explains the significance of imaging in recognizing vascular anomalies. The case was explored using a multiphase computed tomography technique, which correctly identified this complex vascular anomaly. The patient had never experienced symptoms associated with the same vascular defect previously. Moreover, his symptoms did not appear to be related; therefore, a periodic follow up was recommended.
Full Text
Introduction
Hypoplasia or the absence of the inferior vena cava (IVC) is a rare congenital condition that causes venous return from the lower body through the azygos or hemiazygos venous system [1, 2]. The IVC may be hypoplastic or absent and is termed “interrupted” in this case: this term refers to total agenesis.
In most cases, this vascular anomaly is due to some embryologic mechanisms, and a failed anastomosis exists between the right subcardinal vein and the vitelline vein, resulting in hypoplasia or, in some cases, agenesis of the infrarenal/subrenal IVC and an interruption at the suprarenal venous segment [3].
In some cases, the newborn suprahepatic IVC could be missing or hypoplastic, resulting in direct outflow into the right atrium [4]. In this case, the small suprarenal IVC in the hepatic hilum drains through the azygos vein, while the hepatic IVC exclusively receives the hepatic veins. These anatomical variants are asymptomatic if the azygos/hemiazygos continuation is well-developed and the venous collateral loop is intact [5]. However, recurrent deep vein thrombosis of the lower limbs, leg swelling, leg pain, varices of the lower extremities, abdominal pain, and hematochezia in rare cases may present in the future [6, 7]. Asymptomatic conditions are frequently discovered in the early to middle years of life, as in this case.
Description of the case
Anamnesis
A 75-year-old Caucasian man presented to the emergency department after a referred fall and underwent his first contrast-enhanced computed tomography (CT). A multiphase examination was performed using a 64-detector scanner, beginning with an unenhanced scan and progressing to postcontrast scans of the arterial and portal venous phases.
Diagnostic assessment and differential diagnosis
CT did not detect fractures, and no consequences visible under a radiological examination were observed. However, during imaging, the radiologist detected an unknown venous anomaly in the chest and abdomen.
The patient was not aware of this variant in the vascular anatomy and had never had symptoms related to it (Fig. 1).
Fig. 1. Computed tomography images of the axial section of the abdomen (portal phase): a) The small suprarenal IVC is indicated by a yellow asterisk. b) Lower in the abdomen, the yellow asterisk indicates the hypoplastic IVC, and the hypertrophic collateral venous circles in the anterior abdomen wall on the right are indicated by a white asterisk. c) Another lower axial section showing the small IVC (yellow asterisk). d) The drainage on the right side is accomplished by a constant iliac vessel (yellow asterisk).
Interventions
To adequately study this vascular anomaly, postprocessing reconstruction was conducted on all planes (axial, coronal, and sagittal) using the MIP program, and 3D images were generated.
At first glance, the most evident imaging finding of the vascular anomaly was the presence of multiple collateral venous circles on the anterior wall of the abdomen, particularly on the right side, and the IVC under the kidneys was hypoplastic (Fig. 2).
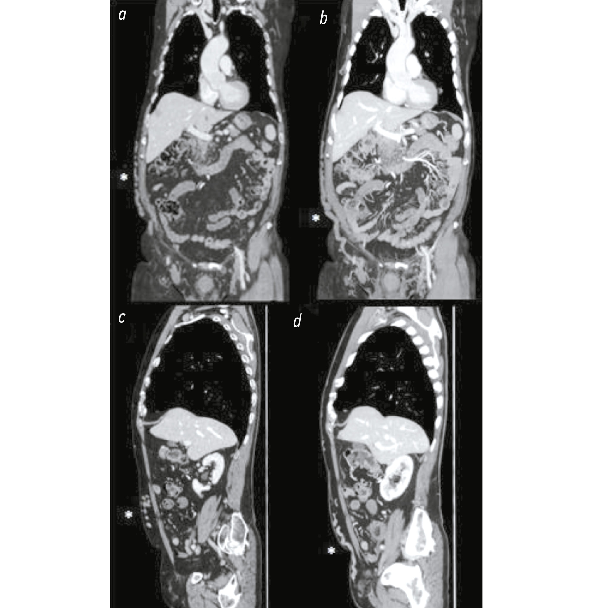
Fig. 2. Computed tomography images of the coronal (up) and sagittal (down) sections in the portal phase of the chest and abdomen: a) Right abdominal wall: consistent venous collateral circles are visible (white asterisk). b) The same image with a rising MIP value indicates venous collateral rings, particularly on the patient’s right side. c) and d) Hypertrophic venous collateral circles in the sagittal section at different levels.
Certain distended azygos and hemiazygos veins received blood from the abdomen. The azygos vein connected with the superior vena cava (SVC) through its arch; however, its dimensions were abnormal. It began from D7 and extended to D10–11, from the confluence of the right renal vein, transhepatic vein, and an aberrant vein (Fig. 3 and Fig. 4).
Fig. 3. Computed tomography images of the coronal section and portal phase of the chest and abdomen: a) The white asterisk indicates the confluence of the giant azygos, hemiazygos, and an aberrant vein. b) Same image at different sections. The yellow asterisk on the right side at the level of the anterior abdominal wall indicates marked collateral vein circles.
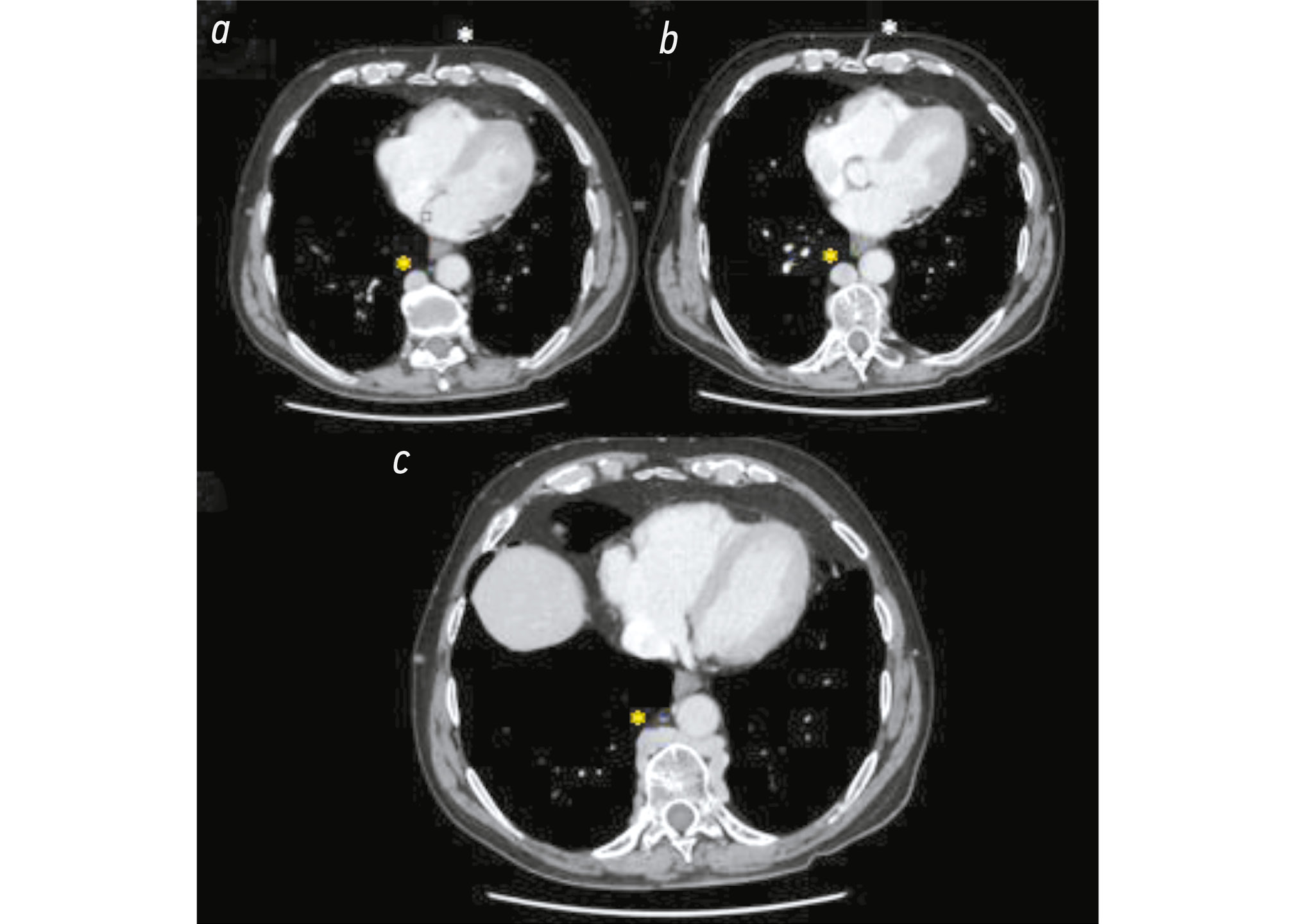
Fig. 4. Computed tomography images of the axial section of the chest: the confluence with the hypertrophic azygos and hemiazygos veins is seen in all images at different levels (from upper to lower). In a) and b), the white asterisk marks the confluence of the collateral circles of the abdomen and chest.
Follow-up and outcomes
The patient had previously never experienced symptoms that could be correlated with the same vascular abnormality, and the symptoms he experienced did not appear to be related. Therefore, periodic follow-up was recommended.
Discussion
The IVC is a large retroperitoneal vein that transports deoxygenated blood from the lower extremities, pelvis, and abdomen to the right atrium. The azygos venous system is a paravertebral connection in the posterior thorax that connects the SVC to the IVC. The azygos, hemiazygos, accessory hemiazygos, and left superior intercostal veins form a H-shaped pattern, indicating the azygos venous system [2, 3]. IVC hypoplasia, characterized by an azygos/hemiazygos system and collateral circle compensation, is an uncommon vascular defect with numerous variations [4-8]. The anomaly is primarily caused by the abnormal regression or persistence of embryological veins (anterocardinal, postcardinal, subcardinal, supracardinal, and vitelline) that form the five embryological segments of the final structure of the IVC, namely, iliac, subrenal, renal, suprarenal, and hepatic, including suprahepatic and retrohepatic [9]. In this case, the patient had a very small IVC in the right iliac fossa, with larger azygos/hemiazygos veins, indicating an expanded hemiazygos system as the primary drainage system.
Imaging plays a critical role in the detection of this type of vascular abnormality. Herein, CT helped differentiate all vessels, discover variants, and increase the azygos system. The imaging options for studying the vascular abnormality include echocardiographic techniques and color Doppler.
Imaging, CT angiography, and IVC angiography can detect hypoplastic/interrupted IVC, identify abnormal vessels, and assess azygos system dilatation due to increased flow. Angiography is useful for determining the precise anatomy of vessel drainage for surgical purposes. Detecting venous abnormalities is crucial because they can interfere with right heart catheterization, cardiopulmonary bypass surgery, and pacemaker insertion. IVC hypoplasia, or interrupted IVC in extreme cases, also known as azygos–hemiazygos continuation, is a benign disorder that does not require treatment owing to adequate vascularization [10-11].
However, patient knowledge is critical in the event of surgical intervention [9-14]. A misdiagnosis mayoccurr because of possible mediastinal shadow enlargement on chest X-ray images or dilated azygos or hemiazygos vein adjacent to the descending aorta on transesophageal echocardiography mimicking aortic pathology [5, 10, 12].
Interrupted IVC is often linked to other congenital defects, particularly in the cardiac region, prompting a search for related conditions. The presence of other pathologies must be evaluated. Excluding portosystemic shunting is crucial for management because chronic congenital portosystemic shunts can lead to serious complications. The presented case did not correlate with other congenital defects or the patient’s malignancy. Both situations can be regarded as independent.
Conclusion
This report presents an uncommon venous abnormality in the chest and abdomen of an asymptomatic adult with hypoplastic IVC accompanied by azygos/hemiazygos hypertropia and the presence of numerous collateral venous circles. This case highlights the importance of imaging in the detection of complex vascular abnormalities. Physicians should carefully examine this unique vascular abnormality to prevent misdiagnosis and improve surgical outcomes.
Additional information
Funding source. This article was not supported by any external sources of funding.
Competing interests. The authors declare that they have no competing interests.
Authors’s contribution. All authors made a substantial contribution to the conception of the work, acquisition, analysis, interpretation of data for the work, drafting and revising the work, final approval of the version to be published and agree to be accountable for all aspects of the work. M. Montatore — work conception, data collection, manuscript preparation and editing; G. Gugliemi — work conception, analysis and iterpretation of data, manuscript preparation and editing; G. Muscatella, F. Masino — work conception; R. Gifuni — data collection; M. Balbino — analysis and iterpretation of data, manuscript preparation and editing; G. Ricatti — manuscript preparation and editing.
Consent for publication. Written consent was obtained from the patient for publication of relevant medical information and all of accompanying images within the manuscript in Digital Diagnostics journal.
About the authors
Manuela Montatore
Foggia University School of Medicine
Author for correspondence.
Email: manuela.montatore@unifg.it
ORCID iD: 0009-0002-1526-5047
MD
Italy, FoggiaGianmichele Muscatella
Foggia University School of Medicine
Email: muscatella94@gmail.com
ORCID iD: 0009-0004-3535-5802
MD, Department of Clinical and Experimental Medicine
Italy, FoggiaFederica Masino
Foggia University School of Medicine
Email: federicamasino@gmail.com
ORCID iD: 0009-0004-4289-3289
Department of Clinical and Experimental Medicine, MD
Italy, FoggiaGiovanni Ricatti
«Monsignor Raffaele Dimiccoli» Hospital
Email: g.ricatti@live.com
ORCID iD: 0009-0006-7620-1011
MD
Italy, BarlettaMarina Balbino
Foggia University School of Medicine
Email: marinabalbino93@gmail.com
ORCID iD: 0009-0009-2808-5708
MD, Department of Clinical and Experimental Medicine
Italy, FoggiaRossella Gifuni
Foggia University School of Medicine
Email: rossella.gifuni@unifg.it
ORCID iD: 0009-0009-9679-3861
MD, Department of Clinical and Experimental Medicine
Italy, FoggiaGiuseppe Guglielmi
Foggia University School of Medicine; «Monsignor Raffaele Dimiccoli» Hospital; IRCCS Casa Sollievo della Sofferenza Hospital
Email: giuseppe.guglielmi@unifg.it
ORCID iD: 0000-0002-4325-8330
MD, Professor, Department of Clinical and Experimental Medicine
Italy, Foggia; Barletta; Giovanni RotondoReferences
- Koudounas G, Giannopoulos S, Volteas P, Virvilis D. A unique case of hypoplastic inferior vena cava leading to bilateral iliofemoral venous outflow obstruction and review of literature. J Vasc Surg Cases Innov Tech. 2022;8(4):842–849. doi: 10.1016/j.jvscit.2022.10.010
- Ghandour A, Partovi S, Karuppasamy K, Rajiah P. Congenital anomalies of the IVC–embryological perspective and clinical relevance. Cardiovasc Diagn Ther. 2016;6(6):482–492. doi: 10.21037/cdt.2016.11.18
- Li SJ, Lee J, Hall J, Sutherland TR. The inferior vena cava: anatomical variants and acquired pathologies. Insights Imaging. 2021;12(1):123. doi: 10.1186/s13244-021-01066-7
- Masino F, Muscatella G, Montatore M, et al. A remarkable case report of an interrupted inferior vena cava with hemiazygos and transhepatic continuation. Acta Biomed. 2023;94(5):e2023238. doi: 10.23750/abm.v94i5.15085
- Vignesh S, Bhat TA. Unique Medley of Cardinal Veins: Duplicated Superior and Inferior Venae Cavae With Left Renal Agenesis and Hemiazygos Continuation of Left Inferior Vena Cava With Draiage Into Left Atrium. Vasc Endovascular Surg. 2022;56(3):330–334. doi: 10.1177/15385744211051493
- Liu Y, Guo D, Li J, et al. Radiological features of azygos and hemiazygos continuation of inferior vena cava: A case report. Medicine (Baltimore). 2018;97(17):e0546. doi: 10.1097/MD.0000000000010546
- Chen S. J, Wu M. H, Wang J. K. Clinical implications of congenital interruption of inferior vena cava. J Formos Med Assoc. 2022;121(10):1938–1944. doi: 10.1016/j.jfma.2022.01.021
- Morosetti D, Picchi E, Calcagni A, et al. Anomalous development of the inferior vena cava: Case reports of agenesis and hypoplasia. Radiol Case Rep. 2018;13(4):895–903. doi: 10.1016/j.radcr.2018.04.018
- Sneed D, Hamdallah I, Sardi A. Absence of the Retrohepatic Inferior Vena Cava: What the Surgeon Should Know. Am Surg. 2005;71(6):502–504. doi: 10.1177/00031348050710061
- Sahin H, Pekcevik Y, Aslaner R. Double Inferior Vena Cava (IVC) With Intrahepatic Interruption, Hemiazygos Vein Continuation, and Ivenous Shunt. Vasc Endovascular Surg. 2017;51(1):38–42. doi: 10.1177/1538574416687734
- Demos TC, Posniak HV, Pierce KL, et al. Venous anomalies of the thorax. AJR Am J Roentgenol. 2004;182(5):1139–1150. doi: 10.2214/ajr.182.5.1821139
- Koc Z, Oguzkurt L. Interruption or congenital stenosis of the inferior vena cava: prevalence, imaging, and clinical findings. Eur J Radiol. 2007;62(2):257–266. doi: 10.1016/j.ejrad.2006.11.028
- Mandato Y, Pecoraro C, Gagliardi G, Tecame M. Azygos and hemiazygos continuation: An occasional finding in emergency department. Radiol Case Rep. 2019;14(9):1063–1068. doi: 10.1016/j.radcr.2019.06.003
- Holemans JA. Azygos, not azygous. AJR Am J Roentgenol. 2001;176(6):1602–1602. doi: 10.2214/ajr.176.6.1761602b
Supplementary files











