RADIOLOGICAL MARKERS OF CARDIOVASCULAR RISK BASED ON DIGITAL MAMMOGRAPHY DATA.
- Authors: Tsurskaia D.D., Mershina E.А., Sinitsin V.E., Ivlev O.E., Filichkina E.M., Yarovaya E.B., Dolgushin G.O., Orlova I.A.
- Section: Original Study Articles
- Submitted: 27.12.2024
- Accepted: 21.07.2025
- Published: 12.09.2025
- URL: https://jdigitaldiagnostics.com/DD/article/view/643487
- DOI: https://doi.org/10.17816/DD643487
- ID: 643487
Cite item
Full Text
Abstract
BACKGROUND: Existing data confirm the association between the risk of developing cardiovascular pathology, radiographic density of the mammary gland and the presence of mammary vascular calcification (VC). However, there is no unambiguous data on the combined effect of radiographic density and VC of the mammary glands (MG) on cardiovascular risk (CVR).
AIM: To assess the presence of a relationship between mammographic parameters, such as radiographic density and the presence of benign calcifications, with CVR.
METHODS:. Prospective and retrospective study.
Mammograms of 1030 patients aged 40 to 89 years were analyzed for the period from 2019 to 2023.
The study included women with data allowing to assess CVR.
Only mammograms with benign calcifications were included. Calcifications suspicious for malignancy were not taken into account. To obtain data on breast density (BD) and calcifications for each breast, a radiologist evaluated mammograms on a General Electric Senographe Essential SenoIris mammography workstation. The obtained data were analyzed using state-of-the-art UMAP machine learning method. Odds ratios (OR) and 95% confidence intervals for OR were constructed using univariate logistic regression. The most “favorable” group according to mammography data, i.e. the group with high density (ACR C or ACR D) of MG without calcifications, was taken as the reference. OR for the selected groups is given in relation to the reference. Pearson’s χ2 criterion was used to analyze contingency tables. The significance level for all tested hypotheses was 0.05.
It was demonstrated that BD and calcification are important prognostic factors for the development of cardiovascular diseases.
RESULTS: Eight groups were formed depending on the combinations of the following criteria: high or low density, the presence or absence of vascular and non-vascular calcification (non-VC) and its prevalence. It was demonstrated that in women with low BD and the presence of VC, possibly in combination with non-VC, the probability of detecting high and very high vascular risk is more than 75%. With a combination of vascular and non-VC in more than one segment, the probability is above 90%.
CONCLUSION: This study allowed us to establish an association between the radiographic BD, the presence of benign calcifications and CVR.
Full Text
Обоснование
По данным различных исследований маммография как метод скрининга рака молочной железы рекомендована женщинам с 40 лет ежегодно или 1 раз в 2 года [1, 2].
Этот метод лучевой диагностики доказал не только свою эффективность в скрининге злокачественных поражений молочной железы, но и зарекомендовал себя как быстрый и экономичный метод диагностики, позволяющий охватывать большие группы населения.
В связи с этим, наличие дополнительной информации о состоянии здоровья пациенток и прогностических рисках других социально значимых заболеваний, таких как ишемическая болезнь сердца (ИБС), выявленных с помощью маммографии, способно улучшить качество профилактических мероприятий.
Отмечается, что кальциноз маммарных артерий имеет достаточно высокую информативность в отношении коронарного кальция – известного маркера ИБС [3, 4, 5]. Локализованное отложение кальция в медии артерий молочной железы заметно отличается от интимального атеросклеротического процесса, обычно связанного с ишемической болезнью сердца. Тем не менее, исследования подтверждают корреляцию между кальцификацией артерий молочной железы с сердечно-сосудистыми факторами риска и ИБС. [6]
Однако, по данным последних исследований ясно, что не только сосудистый кальциноз может быть маммографическим маркером риска сердечно-сосудистых заболеваний (ССЗ). В обзорах литературы, учитывающих исследования, проведенные на крупных когортах женщин, сообщается, что рентгенологическая плотность молочной железы также является предиктором развития неблагоприятных сердечно-сосудистых событий. [7] Так, в одном из них указано, что у женщин, имеющих до наступления менопаузы наименее плотную МЖ (ACR А), 10-летняя частота больших неблагоприятных ССС составила 19,6%, что в несколько раз превышало этот показатель у женщин с более плотной МЖ: 7,6, 3,3 и 2% для категорий ACR B, C и D, соответственно. Наличие до наступления менопаузы МП категории ACR А ассоциировалось с 3-кратным увеличением 10-летнего риска. [8]
Цель
В данном исследовании стояла задача оценить наличие связи плотности молочной железы, наличия доброкачественного кальциноза (в том числе, сосудистого генеза) и степени его выраженности с сердечно-сосудистым риском у женщин 40 лет и старше.
Материалы и Методы
Дизайн исследования
В данном проспективно-ретроспективном исследовании был проведен анализ результатов маммографического исследования 1030 пациенток, проходивших диспансеризацию в Университетской клинике МНОИ МГУ имени М.В.Ломоносова в период с 2019 по 2023 год. Для адекватной трактовки результатов инструментальной диагностики РМЖ была использована система BI-RADS (Breast Imaging Reporting and Data System). Оценка плотности молочных желез проводилась на основании шкалы, разработанной Американским колледжем радиологии (англ. – ACR - American College of Radiology) [9]. Согласно этой шкале, выделяют 4 типа молочных желез (Рис.1):
А – МЖ практически полностью жировой плотности (термин "плотность" здесь и далее в данном контексте характеризует степень ослабления рентгеновского излучения при прохождении через ткань молочной железы). Маммография обладает высокой чувствительностью.
В - Отдельные участки фибро-гландулярной (фиброзно-железистой) низкой рентгенологической плотности.
С - МЖ неоднородной (гетерогенной) высокой плотности, либо отдельные участки молочных желез достаточно плотные и могут скрывать небольшие образования.
D - Очень плотные МЖ. Маммография обладает низкой чувствительностью.
Тип кальциноза МЖ (КМЖ) оценивали на основании следующей классификации:
1.Отсутствие кальцинатов.
2.Только внесосудистые кальцинаты.
3.Только сосудистые кальцинаты.
4.Сосудистые и внесосудистые кальцинаты.
Кроме того, учитывалась распространенность вовлеченных квадрантов по шкале:
0 - отсутствие вовлеченных квадрантов;
1 – один;
2 – два;
3 - три и четыре,
и количество кальцинатов в квадранте по шкале:
0 – отсутствие кальцинатов;
1 - единичные;
2 - множественные.
Данные, необходимые для оценки ССР, были взяты из медицинских карт пациенток. Учитывались:
- Возраст
- Индекс массы тела
- Курение
- Уровень глюкозы
- Общий холестерин
- Систолическое артериальное давление
- Отягощенный анамнез: наличие сахарного диабета 2 типа, артериальной гипертензии, сердечно-сосудистых заболеваний.
ССР определялся как низкий (1-я степень риска), умеренный (2-я степень риска), высокий (3-я степень риска) и очень высокий (4-я степень риска) в соответствие с рекомендациями Российского кардиологического общества [10].
Критерии соответствия
- Женский пол
- Возраст более 40 лет
- Наличие доброкачественных кальцинатов
Описание медицинского вмешательства
Маммография была проведена на аппарате General Electric Senographe Essential. Для получения данных о плотности молочных желез (ПМЖ) и кальцинатах для каждой молочной железы (МЖ) врач-рентгенолог анализировал снимки, выполненные в кранио-каудальной и медиолатеральной проекциях рабочей станции SenoIris.
Анализ в группах
С помощью метода машинного обучения UMAP [11], по результатам маммографии, пациентки были разделены на три кластера:
- Высокая плотность молочной железы (ACR = 3 или ACR = 4) без кальцинатов,
- Низкая плотность молочной железы (ACR = 1 или ACR =2) без кальцинатов,
- Наличие любых кальцинатов вне зависимости от плотности молочной железы.
Далее был проведен более детальный анализ в кластере с наличием кальцинатов. Разделение по типу кальцинатов и числу вовлеченных квадрантов основано на бинарной логистической регрессии, где зависимой переменной стал ССР, принимающий два значения: 0 (низкий и умеренный риск) и 1 (высокий и очень высокий риск). Группы сравнивались по уровню ССР, используя отношения шансов (ОШ). За референс принималась самая ‘’благоприятная’’ группа по данным маммографии, то есть группа с высокой плотностью (ACR С или ACR D) молочных желез (МЖ) без кальцинатов. ОШ для выделенных групп приведено по отношению к референсу.
Статистический анализ
Статистический анализ был проведен в среде R 4.4.2 с открытым исходным кодом. Возраст описан средним и стандартным отклонением (M±SD), качественные показатели описаны абсолютными значениями и их долями в процентах. Кластеризация проводилась с помощью метода машинного обучения UMAP. Отношения шансов (ОШ) и 95% доверительный интервал для ОШ построены с помощью однофакторной логистической регрессии. Для анализа таблиц сопряженности использовался критерий χ2 Пирсона. Для формирования групп по тяжести поражения на основе данных маммографии применялась многофакторная логистическая регрессия. Уровень значимости для всех проверяемых гипотез был принят равным 0,05.
Результаты
Объекты исследования
В исследовании представлены результаты всестороннего анализа факторов риска развития ССЗ у пациенток в зависимости от плотности ткани молочных желез, наличия сосудистых кальцинатов и их распространенности в соответствии с данными, полученными в выборке из 1030 человек. Возраст участниц находился в диапазоне от 40 до 89 лет.
Основные результаты исследования
Микрокальцинатами принято называть депозиты кальция в ткани молочной железы размером менее 0,5 мм. В подавляющем большинстве случаев в молочных железах определяются микрокальцинаты именно доброкачественного генеза. Отмечается, что они встречаются примерно у половины обследуемых женщин.
Считается, что микрокальцификация возникает из-за отложения солей, которое является результатом различных физиологических процессов: секреторного, воспалительного, инволютивного, травматизации, некроза [12].
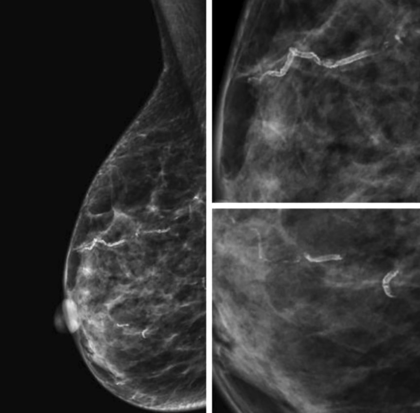
Сосудистые кальцинаты определяются на маммограммах как параллельные гиперденсные линии по ходу стенок сосудов. Их также называют кальцинатами Мёнкеберга, они поражают среднюю оболочку сосуда [13, 14] (Рис.2).
Внутрикожные кальцинаты локализованы преимущественно в дерме и являются результатом обызвествления протоков сальных желез. Чаще всего локализуются группами, имеют кольцевидную или точечную форму (Рис.3).
Для фиброзно-кистозных изменений характерны кальцинаты по типу Weddell. Как правило, они имеют квадратную, треугольную или трапецивидную форму (Рис.4).
Округлые кальцинаты с просветлением в центре, кальцинаты по типу «яичной скорлупы» характерны для обызвествления макро- и микрокист (Рис.5).
Кроме того, для обызвествления мелких кист молочной железы характерны кальцинаты по типу «молочка кальция». Образуются в результате седиментации кальция в структуре кисты и имеют форму чашечки или полумесяца в боковой проекции (Рис.6).
Множественные рассеянные точечные микрокальцинаты характерны для склерозирующего аденоза – доброкачественного состояния, при котором отмечается увеличение долек молочных желез и их дисторция окружающей фиброзной тканью [13] (Рис.7).
Глыбчатые микрокальцинаты с множественными просветами внутри характерны для обызвествленных папиллом (Рис.8).
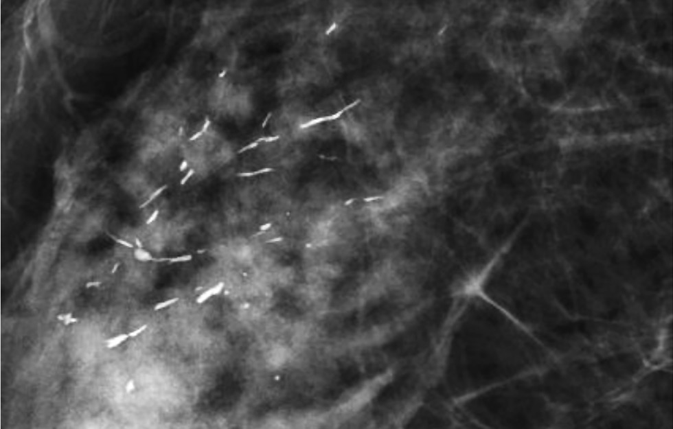
При инфильтрации перидуктальной стромы плазматическими клетками и пролиферации клеток базальной мембраны протоков образуются линейные, стержневидные кальцинаты ориентированные по ходу протоков. Такая картина патогномонична для перенесенного плазмоклеточного мастита (Рис.9).
В зависимости от степени ССР пациентки были распределены на 4 группы (Таблица 1). Меньше всего женщин имели низкий ССР – 3,5%, наиболее многочисленной оказалась группа с умеренным риском – 33,7%.
Затем были сформированы 10 различных групп пациенток в зависимости от наличия кальцинатов, плотности МЖ (низкая: ACR (1,2) или высокая: ACR (3,4)), типа кальцинатов (только несосудистые, только сосудистые, сочетание сосудистых и несосудистых) и числа вовлеченных квадрантов (1 или 2 и более) (Таблица 2,3).
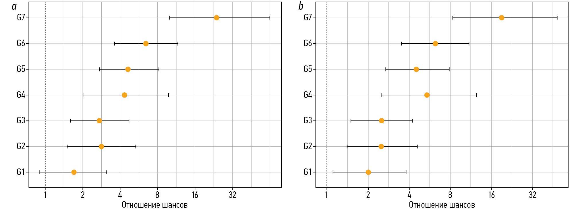
В группе G9 оказались наиболее старшие пациентки (средний возраст – 70 лет), от 90,5 до 92% из них имели 3-ю и 4-ю степень ССР (Рис.1).
В группе с низкой плотностью молочных желез, только сосудистыми кальцинатами и наличием 2-х и более вовлеченных квадрантов высокий и очень высокий ССР определялся в 75,4% случаев. Средний возраст этих пациенток составил 63 года (Рис.2).
В группе G7 несмотря на такой же средний возраст пациенток (63 года) 3-я и 4-я степень риска встречалась примерно на 6% ниже (Рис. 3).
У пациенток с низкой плотностью и только несосудистыми кальцинатами высокий и крайне высокий риск ССР определялись немногим реже чем в группе с сосудистыми кальцинатами G7 (67,3% против 68,9% для левой железы и 73,1% против 69,3% для правой) (Рис.4).
В группе G5 при наличии низкой плотности кальцинаты отсутствовали вовсе. Эта группа оказалась самой многочисленной и высокий ССР для нее составлял более 50% (Рис.5).
Процент пациенток с высокой плотностью, сосудистыми и несосудистыми кальцинатами и наличием 2 и более вовлеченных квадрантов оказался невелик – 2-2,5%. Средний возраст в этой группе составил 69 лет (Рис.6).
Интересно, что в группе с высокой плотностью при распространенном сосудистом кальцинозе высокий риск все еще определялся у большого количества пациенток – 45,6-50%. Пациентки в этой группе были в среднем приблизительно того же возраста что и в группе G5, однако имели риск реже в 6,3 – 8,7% (Рис.7).
Менее 50% пациенток в группе G2 демонстрировали высокую степень сердечно-сосудистого риска (Рис.8).
В самую малочисленную группу вошли пациентки с высокой плотностью молочных желез и наличием только несосудистых кальцинатов – менее 1% (Рис.9).
Представительницы группы G0, группы референса, с высокой плотностью молочных желез и отсутствием кальцинатов оказались самыми молодыми, их средний возраст составил 53-54 года. Среди них высокий риск встречался реже всего – до 33% (Рис.10).
Разделение по типу кальцинатов и числу вовлеченных квадрантов основано на бинарной логистической регрессии, где зависимой переменной стал ССР, принимающий два значения 0 (низкий и умеренный риск) и 1 (высокий и очень высокий риск). Отметим, что мы не исключаем также и влияния выраженности поражений, однако добавление этой информации приводит к разбиению на группы слишком малого размера. Установлена статистически значимая связь между числом вовлеченных квадрантов и выраженностью поражений как по левой МЖ, так и по правой МЖ (Таблицы 4, 5), p < 0.001.
Основная сложность в разделении на группы пациенток с наличием кальцинатов состояла в том, что доля пациенток с изолированными несосудистыми кальцинатами достаточна мала по сравнению с долей пациенток с наличием любых сосудистых кальцинатов.
Распределение пациенток по типу кальцинатов представлено в Таблице 6.
Отметим, что при разделении на 10 групп у женщин с высокой плотностью МЖ отсутствует разделение по типу кальцинатов, однако остается разделение по числу вовлеченных квадрантов.
Отметим малочисленность групп G1 и G4, с чем связаны высокие ОШ и большие ДИ для них. В связи с малочисленностью групп мы решили объединить группу G4 с группой G3 в одну, а G1 в зависимости от числа вовлеченных квадрантов добавить к группам G2 и G3: лиц с одним вовлеченным квадрантом в группу G2, а лиц с двумя и более вовлеченными квадрантами в группу G3. Таким образом, получим восемь новых непересекающихся групп (Таблицы 7, 8).
Отметим также, что при такой классификации у лиц с высокой плотностью МЖ отсутствует разделение по типу кальцинатов, однако остается разделение по числу вовлеченных квадрантов.
Обсуждение
У женщин с низкой рентгенологической плотностью молочных желез (ACR A или ACR B) и наличием сосудистых кальцинатов, возможно в сочетании с несосудистыми, вероятность выявления высокого и очень высокого сосудистого риска составляет более 75%. Если при этом наблюдается сочетание сосудистых и несосудистых кальцинатов более, чем в одном сегменте, то вероятность становится выше 90% (см. таблицу выше).
Для оценки сердечно-сосудистых рисков следует учитывать наличие не только сосудистых, но и сочетание сосудистых с доброкачественными несосудистыми кальцинатами. Важным параметром, ассоциированным с ССР, является количество сегментов, в которых выявляются кальцинаты. При анализе одной МЖ точность связи с ССР статистически значимо не снижается, а трудоемкость уменьшается в 2 раза.
Одним из важных аспектов использования полученных данных в качестве маркера риска ССЗ является возможность внедрения методов автоматического определения этого показателя в скрининговые программы с использованием технологий искусственного интеллекта. Это связано с субъективностью оценки плотности и кальциноза МЖ, которая зависит от опыта рентгенологов. Программы, позволяющие автоматизированно оценивать плотность железы, наличие и выраженность кальциноза, могут обеспечить стандартизированную оценку этих показателей.
Необходимо продолжить проведение проспективных исследований, чтобы более детально изучить связь между сосудистыми кальцинатами в молочной железе, ее плотностью и сердечно-сосудистыми заболеваниями.
Резюме основного результата исследования
В целом, исследование подчёркивает, что, помимо общепринятых факторов риска развития сердечно-сосудистых заболеваний, большое значение имеют рентгенологические показатели плотности ткани молочных желез и степени выраженности сосудистого кальциноза для женской популяции.
Ограничения исследования
К ограничениям нашего исследования относится небольшая величина выборки. Мы убеждены, что проспективное исследование мультифакторной взаимосвязи маммологических признаков с ССР должно быть продолжено.
Заключение
Важным выводом этой работы является подтверждение связи рентгенологической плотности молочной железы, наличия и выраженности доброкачественного кальциноза с сердечно-сосудистым риском. Кроме того, сочетание методов машинного обучения и статистического анализа позволило разделить пациенток на ранжированные группы. Пока количество групп достаточно велико, что затрудняет применение этой информации в клинической практике. Однако это может послужить началом к дальнейшей систематизации и разработке удобного алгоритма принятия решений по маршрутизации пациенток.
Нам представляется перспективным использование сочетанных данных о плотности и кальцинозе молочных желез для оценки сердечно-сосудистого риска, что имеет потенциал для улучшения диагностики и профилактики сердечно-сосудистых заболеваний. С учетом того, что маммография уже является стандартным методом скрининга рака молочной железы, добавление анализа доброкачественных кальцинатов и плотности может обеспечить более широкий спектр информации о состоянии здоровья женщин, не требуя при этом дополнительных затрат.
About the authors
Daria D. Tsurskaia
Author for correspondence.
Email: dashnom03@gmail.com
Russian Federation
Elena А. Mershina
Email: elena_mershina@mail.ru
Valentin E. Sinitsin
Email: vsini@mail.ru
Oleg E. Ivlev
Email: oleg.ivlev@math.msu.ru
Elena M. Filichkina
Email: elena.filichkina1999@yandex.ru
Elena B. Yarovaya
Email: yarovaya@mech.math.msu.su
Grigory O. Dolgushin
Email: grdolgushin@yandex.ru
Iana A. Orlova
Email: 5163002@bk.ru
References
- US Preventive Services Task Force; Nicholson WK, Silverstein M, Wong JB, Barry MJ, Chelmow D, Coker TR, Davis EM, Jaén CR, Krousel-Wood M, Lee S, Li L, Mangione CM, Rao G, Ruiz JM, Stevermer JJ, Tsevat J, Underwood SM, Wiehe S. Screening for Breast Cancer: US Preventive Services Task Force Recommendation Statement. JAMA. 2024 Jun 11;331(22):1918-1930. doi: 10.1001/jama.2024.5534. Erratum in: JAMA. 2024 Sep 30. doi: 10.1001/jama.2024.19851. PMID: 38687503.
- Monticciolo DL, Hendrick RE, Helvie MA. Outcomes of Breast Cancer Screening Strategies Based on Cancer Intervention and Surveillance Modeling Network Estimates. Radiology. 2024 Feb;310(2):e232658. doi: 10.1148/radiol.232658. PMID: 38376405.
- Minssen L, Dao TH, Quang AV, Martin L, Andureau E, Luciani A, Meyblum E, Derumeaux G, Deux JF. Breast arterial calcifications on mammography: a new marker of cardiovascular risk in asymptomatic middle age women? Eur Radiol. 2022 Jul;32(7):4889-4897. doi: 10.1007/s00330-022-08571-3. Epub 2022 Feb 11. PMID: 35147775.
- Bochkareva, E. Kim, Irina, Butina, E., Stulin, et al. Mammographic Screening as a Tool for Cardiovascular Risk Assessing. Part 2. Association of Breast Arterial Calcification and Cardiovascular Diseases. Rational Pharmacotherapy in Cardiology. DO - 10.20996/1819-6446-2019-15-3-424-430, 2019/07/06
- Bazhenova D.A., Puchkova O.S., Mershina E.A., Sinitsyn V.E. Evaluation of Breast Vascular Calcifications as a Predictor for Coronary Artery Calcification. Journal of radiology and nuclear medicine. 2021;102(3):196-202. (In Russ.)https://doi.org/10.20862/0042-4676-2021-102-3-196-202
- Bui QM, Daniels LB. A Review of the Role of Breast Arterial Calcification for Cardiovascular Risk Stratification in Women. Circulation. 2019 Feb 19;139(8):1094-1101. doi: 10.1161/CIRCULATIONAHA.118.038092. PMID: 30779650.
- Bochkareva E.V., Rozhkova N.I., Butina E. K E.K., Kim I.V., Molchanova O.V., Mikushin S.Yu., Ipatov P.V., Drapkina O.M. Mammographic breast density and cardiovascular disease in women. A literature review. Cardiovascular Therapy and Prevention. 2024;23(8):4064. (In Russ.)https://doi.org/10.15829/1728-8800-2024-4064
- Sardu C, Gatta G, Pieretti G, Viola L, Sacra C, Di Grezia G, Musto L, Minelli S, La Forgia D, Capodieci M, Galiano A, Vestito A, De Lisio A, Pafundi PC, Sasso FC, Cappabianca S, Nicoletti G, Paolisso G, Marfella R. Pre-Menopausal Breast Fat Density Might Predict MACE During 10 Years of Follow-Up: The BRECARD Study. JACC Cardiovasc Imaging. 2021 Feb;14(2):426-438. doi: 10.1016/j.jcmg.2020.08.028. Epub 2020 Oct 28. PMID: 33129736.
- D’Orsi CJ, Sickles EA, Mendelson EB, Morris EA et al. ACR BI-RADS Atlas, Breast Imaging Reporting and Data System. Reston VA, American College of Radiology, 2013.
- Boytsov S.A., Pogosova N.V., Ansheles A.A., Badtieva V.A. et al. Cardiovascular prevention 2022. Russian national guidelines. Russian Journal of Cardiology. 2023;28(5):5452. (In Russ.) https://doi.org/10.15829/1560-4071-2023-5452
- McInnes, L., Healy, J., and Melville, J. (2020). UMAP: Uniform Manifold Approximation and Projection for Dimension Reduction. https://arxiv.org/abs/1802.03426.
- Udoh AI, He J. Microcalcifications. PathologyOutlines.com website. https://www.pathologyoutlines.com/topic/breastcalcification.html. Accessed December 22nd, 2024.
- Ali, E.A., Fouad, H., Razek, N.A. et al. Evaluation of mammography detected breast arterial calcifications as a predictor of coronary cardiac risk. Egypt J Radiol Nucl Med 50, 81 (2019). https://doi.org/10.1186/s43055-019-0095-7
- Bell BM, Gossweiler M. Benign Breast Calcifications. 2023 Aug 7. In: StatPearls [Internet]. Treasure Island (FL): StatPearls Publishing; 2024 Jan–. PMID: 32491499.
Supplementary files






