Magnetic resonance imaging radiomics in prostate cancer radiology: what is currently known?
- Authors: Gelezhe P.B.1,2, Blokhin I.A.1, Semenov S.S.1,3, Caruso D.4,5
- 
							Affiliations: 
							- Moscow Center for Diagnostics and Telemedicine
- European Medical Center
- Moscow Clinical Scientific Center named after A.S. Loginov
- Sapienza University of Rome
- Sant’Andrea University Hospital
 
- Issue: Vol 2, No 4 (2021)
- Pages: 441-452
- Section: Reviews
- Submitted: 03.05.2021
- Accepted: 27.11.2021
- Published: 30.12.2021
- URL: https://jdigitaldiagnostics.com/DD/article/view/70170
- DOI: https://doi.org/10.17816/DD70170
- ID: 70170
Cite item
Abstract
Diagnostic and treatment approaches in prostate cancer rely on a combination of magnetic resonance imaging and histological data.
This study aimed to introduce the basics of the current diagnostic approach in prostate cancer with a focus on texture analysis.
Texture analysis evaluates the relationships between image pixels using mathematical methods, which provide additional information. First-order texture analysis of features can have greater clinical reproducibility than higher-order texture features. Textural features that are extracted from diffusion coefficient maps have shown the greatest clinical relevance. Future research should focus on integrating machine learning methods to facilitate the use of texture analysis in clinical practice.
The development of automated segmentation methods is required to reduce the likelihood of including normal tissue in the area of interest. Texture analysis allows the noninvasive separation of patients into groups in terms of possible treatment options. Currently, few clinical studies reported on the differential diagnosis of clinically significant prostate cancer, including the Gleason and International Society of Urological Pathology grading. Large prospective studies are required to verify the diagnostic potential of textural features.
Keywords
Full Text
INTRODUCTION
For early diagnosis of prostate cancer, a prostate-specific antigen test is used. With an increase in its level, digital rectal examination and magnetic resonance imaging (MRI) are recommended. The prostate-specific antigen test is not recommended as a population-screening test because it is considered insufficiently specific or sensitive to detect clinically significant prostate cancer [1]. Transrectal ultrasound-guided biopsy is the most common method of morphological verification; however, this method has several limitations, including the high risk of infection and hemorrhage and difficulties in accessing the anterior gland, especially with an increase in its volume. Prostate cancer is considered clinically significant if at least one lesion with a score of 3 + 4 on the Gleason scale is detected; a small Gleason 3 + 3 lesion is considered clinically insignificant [2].
Multiparametric MRI before biopsy increases the probability of detecting clinically significant prostate cancer from 26% to 38% compared with transrectal ultrasound-guided biopsy [2].
The PROMIS study has shown that in one-fourth of men, MRI helped avoid unnecessary biopsies [3]. The use of the Prostate Imaging–Reporting and Data System (PI-RADS), created as part of an international collaboration between the American College of Radiology and the European Society of Urological Radiology (ESUR) [4], has become widespread.
With clinical practice transferring to pre-biopsy MRI of the prostate gland as the standard of medical care, there is growing interest in the possibility of using radiomics to improve the diagnostic accuracy of prostate MRI.
Radiomics enables the extraction of quantitative indicators from a diagnostic image, which can be analyzed to obtain prognostic information [5]. These quantitative indicators can provide important insight into the phenotype of prostate cancer and potentially help make a diagnosis and improve the assessment of response to treatment [6].
DIAGNOSTICS OF PROSTATE CANCER
Pathomorphology
Most validation studies on texture analysis in prostate cancer have used the traditional Gleason system as a reference. This system is based on five main assessments of the histological structure of prostate tissue [7]. In 2014, the International Society of Urological Pathology (ISUP) simplified the Gleason scale to more accurate prognostic groups (from ISUP 1 to ISUP 5). The most important amendment was the division of the Gleason sum of 7 into two prognostic groups (i.e., 3 + 4 and 4 + 3); in future validation studies, comparing the results of texture analysis with pathological changes according to ISUP is recommended.
Multiparametric MRI
MRI of the prostatic gland is the most widely used method for clarifying the diagnosis of prostate cancer. The main techniques include T2-weighted and diffusion-weighted imaging, dynamic contrast enhancement, and MR spectroscopy.
Using T2-weighted images, the zonal structure of the prostate gland can be differentiated. If the peripheral zone (PZ) contains a tumor node, it will look similar to an area with low signal intensity [8]. The main problem is that low signal intensity can also be registered in benign abnormalities, such as prostatitis, fibrosis, and hemorrhage after biopsy [1]. The advantage of T2-weighted images is the ease of data collection and lower susceptibility to artifacts than functional sequences [9].
Tumor vascularization is assessed using T1-weighted images using an intravenous gadolinium-based contrast agent [1]. The walls of the vessels in the tumor are more permeable, due to which extravasation of the contrast agent is noted in tumors [8]. With dynamic contrast enhancement, quantitative indicators, such as volumetric transfer coefficient (Ktrans) and extracellular volume (Ve), can be extracted. Ktrans describes microvascular permeability and blood flow, whereas Ve describes the extravasation volume [1]. As a rule, tumors show early contrast enhancement, followed by a washout effect. As in the case of T2-weighted images, contrast enhancement can also correspond to benign processes, such as prostatitis and benign hyperplasia nodules. Simultaneously, dynamic contrast enhancement is extremely important in the search for residual or recurrent tumors after prostatectomy [1].
Diffusion-weighted images reflect the Brownian motion of water molecules in tissues [10]. The data obtained help estimate the level of water diffusion in tissues. For quantification, a measured diffusion coefficient (MDC) is used [1]. Several studies have presented a significant inverse relationship between the MDC values and the Gleason scale in tumors of the PZ of the prostate gland [11]. Diffusion-weighted images are considered the most important for the differential diagnosis of tumors of the PZ of the prostate gland [1]. Thus, when performing prostate MRI, T2- and diffusion-weighted images are the most informative for the detection and differential diagnosis of tumor foci in the PZ.
The PROMIS study has shown that MRI of the prostate gland is more sensitive than biopsy in detecting clinically significant tumors but less specific [3]. One of the main limitations of prostate MRI is the differences in imaging quality between centers. Although the PI-RADSv2 data assessment system has helped standardize the interpretation of prostate MRI, it has been less successful in ensuring the accuracy and reproducibility of the data obtained [1]. Texture analysis can be used to solve this problem.
Texture analysis
Radiomics is a developing field that involves the conversion of digital medical images into retrievable image quantitative indicators based on signal intensity, shape, volume, and textural characteristics of lesions, for assessing intratumoral heterogeneity [12]. Texture analysis enables the evaluation of the patterns of signal intensity, which can be used to quantify suspicious areas. In oncological imaging, there is a growing interest in texture analysis and radiomics due to the possibility of extracting additional quantitative data from standard medical images, which can improve the accuracy of diagnostics and clinical decisions [13]. Texture analysis uses mathematical methods to estimate the intensity of gray color and the location of pixels in an image [14]. First-order texture analysis, otherwise known as histogram analysis, extracts the intensity values of the pixels in the area of interest, which are then displayed graphically [5]. Simplified texture analysis involves the initial adjustment of an image by applying fine, medium, and coarse filters to the image, allowing the extraction and quantification of image characteristics invisible to the naked eye in terms of unevenness and brightness. Moreover, medium and coarse filters enhance vascular structures and other discriminatory signs in the image1. Based on the histogram, metrics are calculated, including uniformity, dispersion, symmetry, and randomness of pixel intensity values within the region of interest [15]. The most common characteristics of the histogram, which are given in published sources, are the mean, standard deviation, skewness, kurtosis, entropy, and energy [5] (Table 1).
Table 1. The definitions of first-order textural characteristics
| Textural characteristics | Definition | 
| Mean | The average value of the signal intensity of the pixels in the region of interest | 
| Standard deviation | Deviation of the signal intensity of the pixels in the region of interest compared with the average values | 
| Skewness | Skewness of the signal intensity distribution in pixels in the region of interest (on the histogram) | 
| Kurtosis | The height and sharpness of the central peak of the histogram compared with the normal distribution curve | 
| Entropy | The number of different variants of pixel signal intensities in the region of interest | 
| Energy | The degree of image uniformity | 
| Average positive pixels | The average number of positive pixels (which are brighter than the average pixel) | 
A more complicated radiomic analysis of image aspects investigates the relationships between pixels within a region of interest. More information on the intensity variability of the pixel signal in smoother, more uniform areas that have less texture variability or more heterogeneous areas that have greater texture variability can be obtained.
Second-order statistics, also called Haralick features, compare the relationship between two pixels, whereas higher-order texture analysis compares the relationship between more than two pixels. Second-order functions are based on gray-level co-occurrence matrix (GLCM). Colloquially speaking, they describe the frequency of occurrence of a gray tone in an image in a spatial relationship with another gray tone [16]. Higher-order functions are based on neighborhood gray-tone difference matrix (NGTDM) or gray-level run length matrix [17]. GLCM indicates the spatial relationship between three-dimensional pixels (voxels) in a certain direction and the properties of uniformity, randomness, and linear dependence of the image. NGTDM is based on differences between neighboring voxels [18]. The signs most commonly mentioned in published studies include energy, homogeneity, contrast, GLCM entropy, and correlation [15].
Segmentation
Figure 1 illustrates a simplified workflow demonstrating the path to implementing texture analysis in clinical practice. This entails several key steps [5], which are detailed below.
Fig. 1. Radiomics workflow model based on T2-weighted images in prostate cancer
Accurate segmentation of the tumor is a critical initial step in the workflow. The work of E. Scalco and G. Rizzo [15] has shown that all characteristics of the histogram and matrix are affected by the segmentation method. The inclusion of healthy tissues in the segmentation region can affect the results of texture analysis.
Prostate cancer, similar to any other tumors, most often has poorly defined boundaries, which can hinder manual segmentation. Most published studies evaluating textural analysis of the prostatic gland have used manual segmentation based on a single axial image. A more advanced method is the segmentation of the entire tumor volume [19].
An important methodological approach is layer-by-layer comparison of pathomorphological data and radiation diagnostic images, which is difficult to implement in segmentation based on a single axial image. The quality of the MR study, namely, the planning of sections with the same geometry, is also important for correct textural analysis. However, there is little evidence yet on the value of automated segmentation techniques for whole tumor evaluation in prostate cancer, and this should be evaluated in future prospective studies.
Software packages
Various open-source and commercial software packages are available for texture analysis of visualization data. In their recent review, R.T. Larue et al. [18] have provided a detailed overview of various software packages, including information on the types of imaging techniques supported, image preprocessing steps, and feature extraction. The LIFEx open-source software package is widely known, which allows for multimodal radiometric analysis of medical images.
The two main commercial software packages, TexRAD and RADIOMICS, use the Laplacian of Gaussian filter as part of image and function preprocessing, which can significantly reduce the image noise level, making detecting areas of signal intensity variation possible [20].
Preprocessing is important, as it allows correcting magnetic field inhomogeneities and normalizing the signal intensity both in a particular study and in a dataset [18]. Unfortunately, data to support the benefits of one software package over others are currently inadequate.
Texture analysis in the diagnosis of peripheral cancer
The largest patient cohort studied to date (n = 147) has assessed the potential value of texture analysis for the differential diagnosis of clinically significant peripheral prostate cancer and benign lesions in two studies. D. Fehr et al. [21] have used the same cohort of patients as A. Wibmer et al. [16] but increased the proportion of assessed segments of the transition zone and the number of identified textural characteristics. GLCM entropy and correlation extracted from T2-weighted images showed significant differences between benign and malignant tumors in both studies. All textural characteristics extracted from diffusion-weighted images showed a high significance level, leading to the recommendation of using first- and second-order statistics in diagnosing clinically significant peripheral prostate cancer [21].
Texture analysis in the diagnosis of cancer of the transitional zone
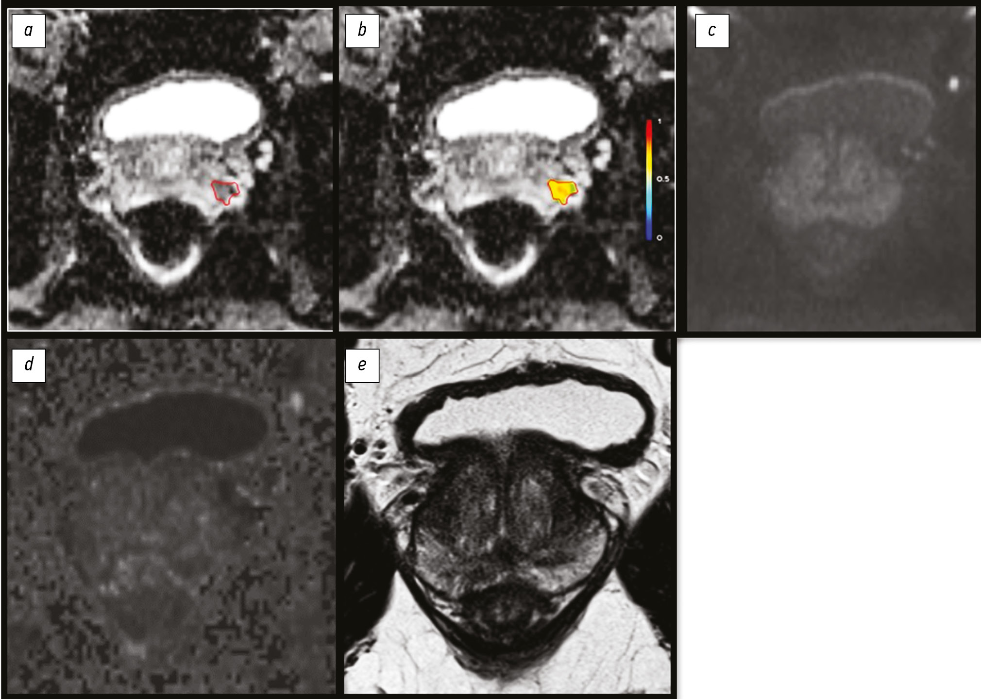
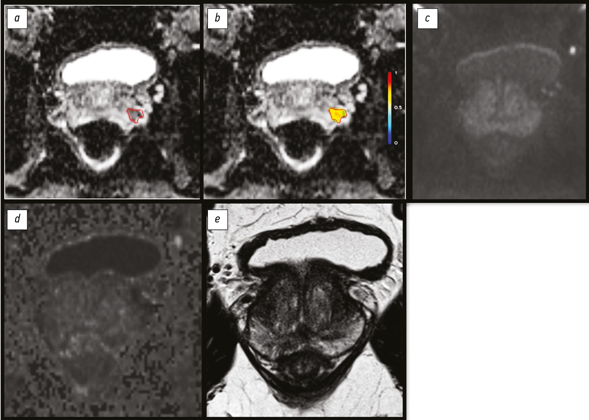
Additionally, numerous studies have reported conflicting results regarding texture analysis of transient zone (TZ) cancer. Thus, A. Wibmer et al. [16] did not reveal significant differences in the textural characteristics of diffusion-weighted images between tumors in the PZ and those in the transition zone. An example of entropy estimation is presented in Figure 2.
Fig. 2. Segmentation and evaluation of the entropy of the tumor focus of the transition zone of the prostate
Note. a, Map of the measured diffusion coefficient (MDC) of magnetic resonance imaging (MRI) of the prostate gland of a 65-year-old patient with a prostate tumor (Gleason 3 + 4) shows an area of reduced MDC (red outline; posterior segment of the transition zone of the middle part of the left lobe of the gland). Prostate biopsy performed 6 days after MRI; b, a heat map of a normalized textural characteristic (entropy); c, diffusion-weighted image (DWI), b-factor 900 mm/s2, pathological focus is not visualized; d, DWI, calculated b-factor 1400 mm/s2, pathological focus is not visualized; e, T2-weighted image, the pathological focus is not visualized.
In T2-weighted images, only correlation and contrast were significant characteristics in both TZ and PZ texture analysis [16]. In their work involving 26 patients, H.S. Sidhu et al. [22] have revealed that kurtosis and entropy extracted from diffusion- and T1-weighted images were significant tumor predictors. The values of kurtosis decreased after resection of the tumor focus from the cut.
Textural analysis in the characterization of clinically significant prostate cancer
Few studies have explored the potential value of textural analysis in predicting the grade of prostate cancer. Few researchers have reported that textural characteristics correlate with the Gleason scale [23]. In their works, A. Wibmer et al. [16] have indicated that characteristics extracted from diffusion-weighted images can reliably distinguish lesions with a Gleason score of 6 from those with a Gleason score of 7, but not 3 + 4 lesions from 4 + 3 lesions. These preliminary results could conclude that textural analysis can detect a tumor and differentiate it from a benign process; however, the assessment of the focus pathomorphology can be difficult.
Recently, the systematic review by P.S. Sierra et al. [24] involving numerous studies has examined the usefulness of selected clinicopathological predictors of histopathological progression in patients under active monitoring. However, none of the models under study has been implemented in routine clinical practice due to their low predictive accuracy. One possible explanation for this is the inherent difficulty in standardizing the predictors used, with an obvious example of the prostate-specific antigen density, which varies greatly depending on the imaging method used to measure the prostate volume [25]. In contrast, the ability of MRI to visualize the entire volume of the tumor, combined with ongoing attempts to standardize imaging parameters [26], is the basis for studying the ability of quantitative characteristics to act as accurate and reproducible predictors of disease progression.
In prostate cancer, a significant amount of research in the field of radiomics is aimed at improving the detection of a clinically significant disease [14, 27] to solve the problem of overdiagnosis of the latent oncological process [28]. Radiomics models have been developed for preoperatively predicting the probability of extracapsular extension [17, 29], which is important for accurate local staging of the disease and clinical decision making.
Methodological limitations of texture analysis
Retrospective studies are more prone to bias and confusion of variables, which can affect statistical processing and introduce errors in interpreting the results, leading to erroneous conclusions. The heterogeneity of studies makes ensuring reproducibility difficult, so large datasets are required to address this issue. E. Sala et al. [6] have recommended using informatics and analytics to form common datasets and ensure large sample sizes. In practice, this can be difficult to achieve due to data protection laws and infrastructure costs. Most studies conducted to date represent single-center pilot trials with small sample sizes and different methods of data collection and image texture analysis, which hinders the comparison of the results and explains the low reproducibility of the results.
A more significant problem is the imbalance of classes, that is, extracting more characteristics than the number of participants. Testing many textural characteristics requires statistical correction to eliminate the first-type error (false discovery). The use of complex regression models to search for significant characteristics increases the risk of data oversampling [30]. Regression models may show effective results in one study but are unlikely to be replicated in other studies. Using only one textural characteristic per 10 patients in multiple regression models reduces the risk of overfitting in future studies.
The future of prostate cancer radiomics
Prostate radiomics is a rapidly developing field where early research was initially focused on tumor localization. A review of studies in the field of radiomics of the prostate gland enables the identification of patterns of development and promising fields of textural analysis. Let us consider three key aspects of the direction of development of prostate gland radiomics, namely, the aspects of data collection, their analysis, and the relationship with biological markers.
The use of radiomics in prostate cancer has evolved from macroscopic to microscopic levels. The highest stage in the development of radiomics is the individual prediction of the risks and results of treatment in a particular patient. An initial milestone is considered the study of MR spectroscopy in assessing the risk of biochemical recurrence after radiotherapy [31]. In their work, K. Gnep et al. [32] have revealed a relationship between the textural characteristics of Haralick according to multiparametric MRI of the prostate gland and the risk of biochemical recurrence after radiation therapy. The results have shown that the three textural analysis parameters calculated from T2-weighted images and MDC maps showed statistically significant correlations with biochemical recurrence rates [32]. In a study by S.B. Ginsburg et al. [33], this idea was developed in the form of the development of a multivariate logistic regression model using the parameters of T2-weighted images, where the described model reached an area under the receiver operating characteristic curve (AUC) of 0.83.
Several studies with a similar design, particularly the retrospective study by S.Y. Park et al. [34], have demonstrated the ability of MDC maps to predict biochemical recurrence after surgical treatment of prostate cancer (AUC = 0.76).
Radiomics research currently focuses mainly on lung cancer and neuroradiology; the number of prostate cancer studies is relatively small. However, it should be understood that most approaches for radiomic analysis under study in lung cancer can be applied to other oncological diseases.
Category 2 studies in the field of radiomics relate to the identification of relationships with histopathological parameters. A negative feedback between MDC and tumor aggressiveness, which is assessed using the Gleason scale, has been convincingly demonstrated [35]. An additional application of texture analysis parameters enables the development of prognostic models for assessing the degree of tumor malignancy, including the use of T2-weighted images [16, 23].
In some studies, a negative feedback was revealed between MDC and tumor cellularity [14]. However, most studies on tumor biology assessment remain at the correlation evaluation stage, and predictive models are only available for predicting tumor aggressiveness. The integration of radiomics and genetics has been named “radiogenomics,” which is aimed at identifying the correlation between the quantitative indicators of a diagnostic image and the expression of specific tumor receptors [36]. Despite its relatively recent advent, several studies on radiogenomics have been conducted. Note that both quantitative indicators of multiparametric MRI and genetic information reflect the pathomorphological status of tumors.
In the study by N. Jamshidi et al. [37], the quantitative parameters of multiparametric MRI and genetic variants of intact tissue and tumor foci of the prostate gland were evaluated, and a relationship was revealed between quantitative markers of a diagnostic image and the genetic characteristics of the tissues.
In their study, R. Stoyanova et al. [38] have shown a significant correlation between some sets of genes and quantitative indicators of images, which enabled the distribution of patients into risk groups.
The research results demonstrated that radiogenomics can assess genetic characteristics that can be used to develop personalized tumor treatment strategies. Thus, current studies on prostate radiomics focus primarily on the histopathological level, with great prospects for tumor detection and aggressiveness stratification, whereas predictive models have yet to be developed for other biological characteristics of tumors.
CONCLUSION
The diagnosis of prostate cancer is currently based on a combination of histological data and medical imaging, primarily multiparametric MRI. Textural analysis can objectively, noninvasively stratify patients in terms of possible treatment options. Despite the limited number of studies, promising data have been obtained on the possibility of differential diagnosis of clinically significant prostate cancer, including the Gleason scale gradation.
Major prospective studies are required to implement radiomics into routine practice in the future.
ADDITIONAL INFORMATION
Competing interests. The authors declare that they have no competing interests.
Funding source. This study was not supported by any external sources of funding.
Authors’ contribution. P.B. Gelezhe ― search for publications, writing the text of the manuscript; I.A. Blokhin ― editing the text of the manuscript; S.S. Semenov ― editing the text of the manuscript, creating images; D. Caruso ― expert opinion, approval of the final version. All authors made a substantial contribution to the conception of the work, acquisition, analysis, interpretation of data for the work, drafting and revising the work, final approval of the version to be published and agree to be accountable for all aspects of the work.
1 TexRAD. Quantitiative textural analysis. Available from: https://fbkmed.com/texrad-landing-2.
About the authors
Pavel B. Gelezhe
Moscow Center for Diagnostics and Telemedicine; European Medical Center
														Email: gelezhe.pavel@gmail.com
				                	ORCID iD: 0000-0003-1072-2202
				                	SPIN-code: 4841-3234
																		                								
MD, Cand. Sci. (Med.)
Russian Federation, 24-1 Petrovka street, 127051, Moscow; MoscowIvan A. Blokhin
Moscow Center for Diagnostics and Telemedicine
														Email: i.blokhin@npcmr.ru
				                	ORCID iD: 0000-0002-2681-9378
				                	SPIN-code: 3306-1387
																		                												                	Russian Federation, 							24-1 Petrovka street, 127051, Moscow						
Serafim S. Semenov
Moscow Center for Diagnostics and Telemedicine; Moscow Clinical Scientific Center named after A.S. Loginov
														Email: s.semenov@npcmr.ru
				                	ORCID iD: 0000-0003-2585-0864
				                	SPIN-code: 4790-0416
																		                								
MD
Russian Federation, 24-1 Petrovka street, 127051, Moscow; MoscowDamiano Caruso
Sapienza University of Rome; Sant’Andrea University Hospital
							Author for correspondence.
							Email: dcaruso85@gmail.com
				                	ORCID iD: 0000-0001-9285-4764
				                																			                								
MD, PhD, Department of Surgical and Medical Sciences and Translational Medicine, Radiology Unit
Italy, Rome; RomeReferences
- Turkbey B, Rosenkrantz AB, Haider MA, et al. Prostate imaging reporting and data system version 2.1: 2019 update of prostate imaging reporting and data system version 2. Eur Urol. 2019;76(3):340–351. doi: 10.1016/j.eururo.2019.02.033
- Kasivisvanathan V, Rannikko AS, Borghi M, et al. MRI-targeted or standard biopsy for prostate-cancer diagnosis. N Engl J Med. 2018;378(19):1767–1777. doi: 10.1056/NEJMoa1801993
- Ahmed HU, El-Shater Bosaily A, Brown LC, et al. Diagnostic accuracy of multi-parametric MRI and TRUS biopsy in prostate cancer (PROMIS): a paired validating confirmatory study. The Lancet. 2017;389(10071):815–822. doi: 10.1016/S0140-6736(16)32401-1
- Purysko AS, Rosenkrantz AB, Barentsz JO, et al. PI-RADS version 2: a pictorial update. Radiographics. 2016;36(5):1354–1372. doi: 10.1148/rg.2016150234
- Patel N, Henry A, Scarsbrook A. The value of MR textural analysis in prostate cancer. Clin Radiol. 2019;74(11):876–885. doi: 10.1016/j.crad.2018.11.007
- Sala E, Mema E, Himoto Y, et al. Unravelling tumour heterogeneity using next-generation imaging: radiomics, radiogenomics, and habitat imaging. Clin Radiol. 2017;72(1):3–10. doi: 10.1016/j.crad.2016.09.013
- Gleason DF. Classification of prostatic carcinomas. Cancer Chemother Rep. 1966;50(3):125–128.
- Young JC, Jeong KK, Kim N, et al. Functional MR imaging of prostate cancer. Radiographics. 2007;27(1): 63–75. doi: 10.1148/rg.271065078
- Nketiah G, Elschot M, Kim E, et al. T2-weighted MRI-derived textural features reflect prostate cancer aggressiveness: preliminary results. Eur Radiol. 2017;27(7):3050–3059. doi: 10.1007/s00330-016-4663-1
- Morone M, Bali MA, Tunariu N, et al. Whole-body MRI: current applications in oncology. AJR Am J Roentgenol. 2017;209(6):W336–W349. doi: 10.2214/AJR.17.17984
- Nowak J, Malzahn U, Baur AD, et al. The value of ADC, T2 signal intensity, and a combination of both parameters to assess Gleason score and primary Gleason grades in patients with known prostate cancer. Acta Radiol. 2016;57(1):107–114. doi: 10.1177/0284185114561915
- Gillies RJ, Kinahan PE, Hricak H. Radiomics: Images are more than pictures, they are data. Radiology. 2016;278(2):563–577. doi: 10.1148/radiol.2015151169
- Summers RM. Texture analysis in radiology: Does the emperor have no clothes? Abdom Radiol. 2017;42(2):342–345. doi: 10.1007/s00261-016-0950-1
- Bleker J, Kwee TC, Dierckx RA, et al. Multiparametric MRI and auto-fixed volume of interest-based radiomics signature for clinically significant peripheral zone prostate cancer. Eur Radiol. 2020;30(3):1313–1324. doi: 10.1007/s00330-019-06488-y
- Scalco E, Rizzo G. Texture analysis of medical images for radiotherapy applications. Br J Radiol. 2017;90(1070):20160642. doi: 10.1259/bjr.20160642
- Wibmer A, Hricak H, Gondo T, et al. Haralick texture analysis of prostate MRI: utility for differentiating non-cancerous prostate from prostate cancer and differentiating prostate cancers with different Gleason scores. Eur Radiol. 2015;25(10):2840–2850. doi: 10.1007/s00330-015-3701-8
- Losnegard A, Reisæter L, Halvorsen OJ, et al. Magnetic resonance radiomics for prediction of extraprostatic extension in non-favorable intermediateand high-risk prostate cancer patients. Acta Radiol. 2020;61(11):1570–1579. doi: 10.1177/0284185120905066
- Larue RT, Defraene G, Ruysscher DD, et al. Quantitative radiomics studies for tissue characterization: A review of technology and methodological procedures. Br J Radiol. 2017;90(1070):20160665. doi: 10.1259/bjr.20160665
- Court LE, Fave X, Mackin D, et al. Computational resources for radiomics. Translational Cancer Research. 2016;5(4):340–348. doi: 10.21037/tcr.2016.06.17
- Laplacian of Gaussian Filter [Electronic resource]. Available from: https://academic.mu.edu/phys/matthysd/web226/Lab02.htm. Accessed: 21.11.2021.
- Fehr D, Veeraraghavan H, Wibmer A, et al. Automatic classification of prostate cancer Gleason scores from multiparametric magnetic resonance. Proc Natl Acad Sci U S A. 2015;112(46):E6265–E6273. doi: 10.1073/pnas.1505935112
- Sidhu HS, Benigno S, Ganeshan B, et al. Textural analysis of multiparametric MRI detects transition zone prostate cancer. Eur Radiol. 2017;27(6):2348–2358. doi: 10.1007/s00330-016-4579-9
- Vignati A, Mazzetti S, Giannini V, et al. Texture features on T2-weighted magnetic resonance imaging: new potential biomarkers for prostate cancer aggressiveness. Phys Med Biol. 2015;60(7):2685–2701. doi: 10.1088/0031-9155/60/7/2685
- Sierra PS, Damodaran S, Jarrard D. Clinical and pathologic factors predicting reclassification in active surveillance cohorts. Int Braz J Urol. 2018;44(3):440. doi: 10.1590/S1677-5538.IBJU.2017.0320
- Murciano-Goroff YR, Wolfsberger LD, Parekh A, et al. Variability in MRI vs. ultrasound measures of prostate volume and its impact on treatment recommendations for favorable-risk prostate cancer patients: a case series. Radiat Oncol. 2014;9:200. doi: 10.1186/1748-717X-9-200
- Engels RR, Israël B, Padhani AR, et al. Multiparametric magnetic resonance imaging for the detection of clinically significant prostate cancer: what urologists need to know. Part 1: acquisition. Eur Urology. 2020;77(4):457–468. doi: 10.1016/j.eururo.2019.09.021
- Min X, Li M, Dong D, et al. Multi-parametric MRI-based radiomics signature for discriminating between clinically significant and insignificant prostate cancer: cross-validation of a machine learning method. Eur J Radiol. 2019;115:16–21. doi: 10.1016/j.ejrad.2019.03.010
- Westphalen AC, McCulloch CE, Anaokar JM, et al. Variability of the positive predictive value of PI-RADS for prostate MRI across 26 centers: experience of the Society of Abdominal Radiology Prostate Cancer Disease-focused Panel. Radiology. 2020;296(1):76–84. doi: 10.1148/radiol.2020190646
- Xu L, Zhang G, Zhao L, et al. Radiomics based on multiparametric magnetic resonance imaging to predict extraprostatic extension of prostate cancer. Front Oncol. 2020;10:940. doi: 10.3389/fonc.2020.00940
- Kuess P, Andrzejewski P, Nilsson D, et al. Association between pathology and texture features of multi parametric MRI of the prostate. Phys Med Biol. 2017;62(19):7833–7854. doi: 10.1088/1361-6560/aa884d
- Riaz N, Afaq A, Akin O, et al. Pretreatment endorectal coil magnetic resonance imaging findings predict biochemical tumor control in prostate cancer patients treated with combination brachytherapy and external-beam radiotherapy. Int J Radiat Oncol Biol Phys. 2012;84(3):707–711. doi: 10.1016/j.ijrobp.2012.01.009
- Gnep K, Fargeas A, Gutiérrez-Carvajal RE, et al. Haralick textural features on T2-weighted MRI are associated with biochemical recurrence following radiotherapy for peripheral zone prostate cancer. J Magn Reson Imaging. 2017;45(1):103–117. doi: 10.1002/jmri.25335
- Ginsburg SB, Rusu M, Kurhanewicz J, et al. Computer extracted texture features on T2w MRI to predict biochemical recurrence following radiation therapy for prostate cancer. SPIE. 2014;9035:903509. doi: 10.1117/12.2043937
- Park SY, Kim CK, Park BK, et al. Prediction of biochemical recurrence following radical prostatectomy in men with prostate cancer by diffusion-weighted magnetic resonance imaging: Initial results. Eur Radiol. 2011;21(5):1111–1118. doi: 10.1007/s00330-010-1999-9
- Woo S, Kim SY, Cho JY, et al. Preoperative evaluation of prostate cancer aggressiveness: Using ADC and ADC ratio in determining gleason score. AJR Am J Roentgenol. 2016;207(1):114–120. doi: 10.2214/AJR.15.15894
- Incoronato M, Aiello M, Infante T, et al. Radiogenomic analysis of oncological data: a technical survey. Int J Mol Sci. 2017;18(4):805. doi: 10.3390/ijms18040805
- Jamshidi N, Margolis DJ, Raman S, et al. Multiregional radiogenomic assessment of prostate microenvironments with multiparametric MR imaging and DNA whole-exome sequencing of prostate glands with adenocarcinoma. Radiology. 2017;284(1):109–119. doi: 10.1148/radiol.2017162827
- Stoyanova R, Pollack A, Takhar M, et al. Association of multiparametric MRI quantitative imaging features with prostate cancer gene expression in MRI-targeted prostate biopsies. Oncotarget. 2016;7(33):53362–53376. doi: 10.18632/oncotarget.10523
Supplementary files
 
				
			 
					 
						 
						 
						 
						 
									 
									

 
  
  
  Email this article
			Email this article 









