Basic pulse sequences in the diagnosis of abdominal pathology
- Authors: Syrkashev E.M.1,2, Kadyrberdieva F.Z.2, Abuladze L.R.1, Semenov D.S.1, Privalova E.G.1
-
Affiliations:
- Moscow Center for Diagnostics and Telemedicine
- National Medical Research Center for Obstetrics, Gynecology and Perinatology
- Issue: Vol 4, No 1 (2023)
- Pages: 39-50
- Section: Reviews
- Submitted: 18.01.2023
- Accepted: 10.03.2023
- Published: 19.04.2023
- URL: https://jdigitaldiagnostics.com/DD/article/view/123543
- DOI: https://doi.org/10.17816/DD123543
- ID: 123543
Cite item
Abstract
Magnetic resonance imaging is used for diagnosing abdominal and retroperitoneal space pathology, which allows visualizing focal or diffuse lesions in the parenchymal and hollow viscera with high diagnostic accuracy and reproducibility. Magnetic resonance imaging has advantages over computed tomography in the sensitivity and specificity of determining pathological changes in parenchymal organs, bile ducts and ducts of the pancreas, peritoneum, and retroperitoneal space.
The multiparametric protocol provides information about the mutual topography of organs and their structure and the functional state of tissues. This allows to move from structural to functional evaluation. In most cases, the standard abdominal protocol includes T1-weighted images, T2-weighted images, diffusion-weighted images, and magnetic resonance cholangiopancreatography. Depending on the objectives and patient’s condition, this protocol can be significantly reduced or supplemented.
Existing technical developments and achievements make it possible to simplify the scanning process and reduce the time for obtaining images while increasing the reproducibility of techniques in different healthcare institutions.
Full Text
INTRODUCTION
Magnetic resonance imaging (MRI) is one of the most important radiodiagnostic modalities, with an increasing role in the routine diagnosis of abdominal organ diseases. In addition to the absence of ionizing radiation and the high natural soft tissue contrast, MRI allows for image analysis in any plane and three-dimensional (3D) reconstruction of areas of interest. Diffusion and perfusion techniques provide information not only on the structure of tissues but also on their functional state, such as determining the diffusion rate of water molecules and the accumulation and leaching of contrast agents.
Currently, MRI is one of the primary diagnostic methods, with advantages over computed tomography in terms of sensitivity and specificity in determining pathological changes in parenchymal organs, biliary tract and pancreatic ducts, peritoneum, and retroperitoneal organs [1].
BASIC PULSE SEQUENCES
Abdominal MRI can be challenging when obtaining images with a high signal-to-noise ratio (SNR) from tissues in motion due to the patient’s breathing, intestinal motility, heart contractions, and pulsation of large vessels. Initially, MRI was performed using standard spin-echo (SE) sequences to obtain T1- and T2-weighted images (WIs). However, the lengthy data-collection process necessitated additional respiratory gating, which significantly increased the scanning time (in some cases, the study protocol exceeded 60 min) [2, 3]. Moreover, even minor respiratory desynchronization resulted in image interpretation difficulties in some cases.
Currently, the standard abdominal MRI protocol includes techniques based on shorter breath-hold sequences. These include T1-WIs with spoiled gradient echo (SGE) and half-Fourier acquisition single-shot turbo SE imaging (HASTE) or single-shot fast SE (SSFSE) [4, 5] (Table 1).
Table 1. Names of basic pulse sequences used by major magnetic resonance imaging scanner manufacturers
Manufacturer Pulse sequences | TOSHIBA | PHILIPS | GE | SIEMENS |
Spin-echo | SE | SE | SE | SE |
Fast spin-echo | FSE | TSE | FSE | TSE |
Single-shot fast spin-echo | FASE | SSh TSE | SSFSE/RARE | HASTE |
Gradient echo | FE | FFE | GRASSE, GRE | FISP, GRE |
T1-FE | CE-FFE T1 | SPGR | FLASH | |
- | CE-FFE T2 | SSFP | PSIF | |
Steady-state fast-field echo | TrueSSFP | Balanced FFE (BFFE) | FIESTA | True FISP |
Fast scan | FFE | TFE | Rapid SPGR | TurboFlash |
Saturation bands | PreSat | REST | SAT | PreSAT |
Fat, eater, and background suppression | FatSat | SPIR | CHEMSAT | FATSAT |
Note. Spin-echo, fast spin-echo, single-shot fast spin-echo, gradient echo, steady-state fast-field echo, fast scan, saturation bands, and fat, water, and background suppression.
T1- and T2-wI
Obtaining one T2-WI slice using a single-shot SE takes approximately 1 s with a central filling of the k-space. Because image contrast is determined by the central regions of the k-space, single-shot techniques are much less sensitive to patient movements, which is critical for unconscious patients. T1-WIs with SGE are much more sensitive to movements; even brief movements during scanning result in image artifacts that affect all slices. Moreover, less motion sensitive techniques are also available. They are based on the same principles that are used for single-shot T2-WIs: fast filling of the central k-space by analyzing one slice per pulse (e.g., turbo fast low angle shot and fast inversion-recovery motion-insensitive [FIRM]).
Another approach is to use angiography-specific-modified 3D gradient echo sequences. Their names vary depending on the manufacturer (initially, volumetric interpolated breath-hold examination) [6]. These sequences provide images with high resolution (2–3 mm) and nearly isotropic voxel size, which is critical in the diagnosis of liver pathology and vascular anatomy. This technique is also used for multiplanar image reconstruction.
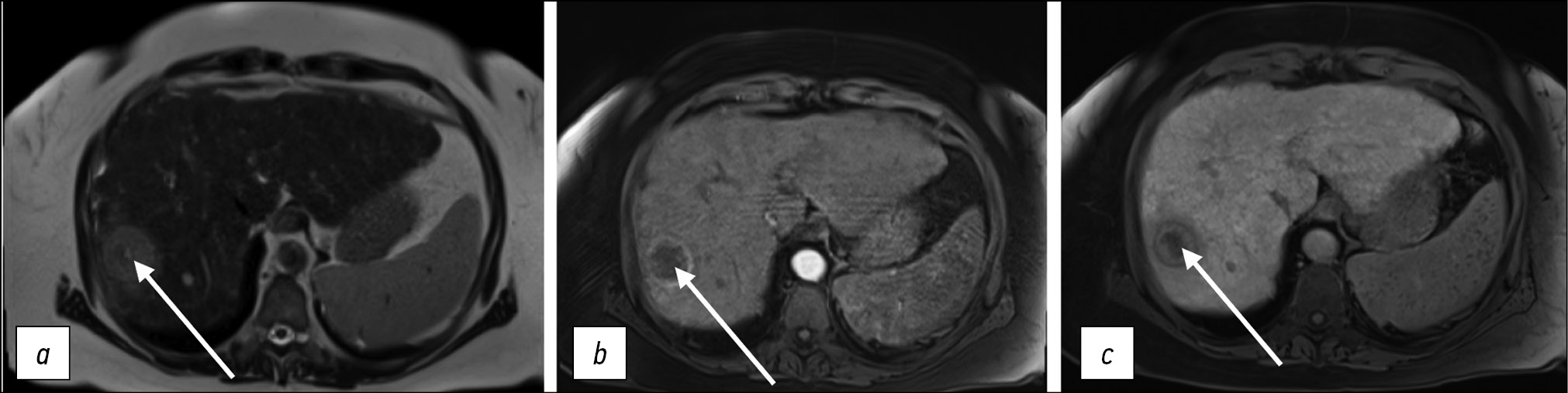
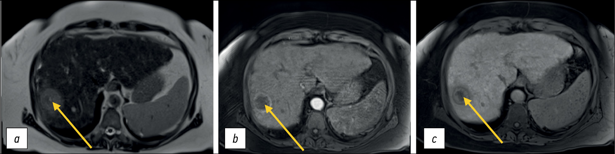
Another important aspect of T1-WIs is the use of intravenous contrast enhancement, including hepatospecific contrast agents. For example, gadoxetic acid has a high affinity for hepatocytes and thus allows for better visualization of liver pathologies (Fig. 1).
Figure 1. Liver magnetic resonance imaging with a hepatospecific contrast agent. A hepatocellular carcinoma nodule (arrows): a T2-weighted image: a hyperintense nodule is visualized; b Т1-weighted image, arterial phase: a ring-like contrast uptake is visualized; c Т1-weighted image, hepatospecific phase, 20 min after contrast agent injection.
Contrast agents shorten the T1 relaxation time, resulting in higher signal intensity on T1-WIs. Depending on the blood supply to focal or diffuse lesions in parenchymal organs, various contrasting patterns are distinguished, which in general differ from those in adjacent unaffected tissues. Arterial phase imaging is accomplished by short sequences immediately after the administration of gadolinium-based contrast agents.
The main method involves dynamic multiphase 2D or 3D SGE sequences, which can be used to analyze signal intensity–time curves in areas of interest. Most focal lesions (e.g., those in the spleen, liver, or pancreas) are best visualized during the arterial phase. Images taken 1.5–10 min after contrast agent injection are in the equilibrium contrast phase, with an optimal window of 2–5 min after injection. As a rule, 5 min after contrast agent injection, a delayed or excretory phase begins. Many inflammatory or neoplastic diseases are better visualized during this phase, and the addition of fat suppression aids in the detection of these changes (e.g., peritoneal implants, cholangiocarcinoma, inflammatory bowel disease, and adrenal masses) [7–9].
Increasing the difference in signal intensity from lesions compared with unaffected tissues helps in disease detection: lesions localized in adipose tissue can be easily detected by varying the fat signal intensity on T1-WIs and T2-WIs. For example, fibrotic changes or peritoneal fluid with low signal intensity on T1-WIs are easier to detect on images without fat suppression. On the contrary, pathologies with high signal intensity, such as a subacute hematoma or a protein-rich fluid, are easier to visualize with fat suppression.
Diffusion-weighted images
DWIs are based on differences in the movement of water molecules (diffusion) in the extracellular and intracellular spaces and are used for visualization without exogenous contrast agents. This technique allows for quantitative and qualitative analyses of not only cell density but also cell membrane integrity, making it a type of functional image assessment [10]. Therefore, it should be included in standard abdominal and retroperitoneal MRI protocols (Figs. 2 and 3).
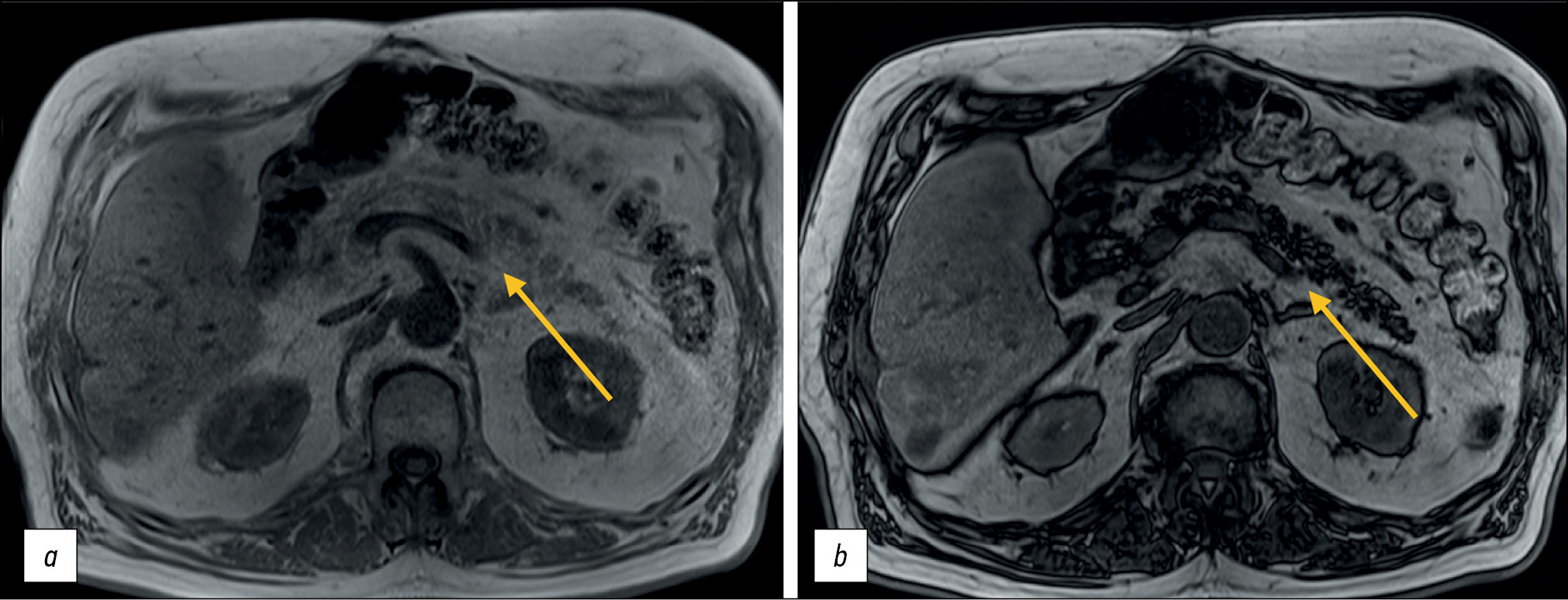
Figure 2. Abdominal magnetic resonance imaging, simple renal cortical cysts (arrows): а a diffusion-weighted image; b map of the apparent diffusion coefficient. False restricted diffusion.
Figure 3. Abdominal magnetic resonance imaging, secondary hepatic lesions (arrows): а a diffusion-weighted image; b map of the apparent diffusion coefficient. True restricted diffusion.
DWIs were initially used to diagnose brain pathology, primarily strokes: signal changes in a given pulse sequence allow for the detection of ischemic changes long before they are visible on T2-WIs. DWIs are now used to diagnose various extracranial pathologies owing to advancements in high-amplitude gradients, multichannel surface coils, and parallel imaging.
Diffusion is proportional to cell density and cell membrane integrity: restricted diffusion is observed in tissues with increased cellularity or decreased extracellular fluid volume (e.g., some tumors and abscesses; Fig. 4) and in the presence of cytotoxic edema. Relatively free diffusion is observed in tissues with low cell density or when their membranes are damaged, such as cysts or necrotic tissues.
Figure 4. Abdominal magnetic resonance imaging, encapsulated liver mass (abscess) (arrows): а Т2-weighted image; b apparent diffusion coefficient; с map of apparent diffusion coefficient.
DWI sensitivity to water molecule movement can be altered by varying the gradient amplitude and duration and the time interval between gradient pairs. For this purpose, A b-factor is used, which is proportional to the criteria described above. Water molecules with high mobility or long diffusion distance (e.g., in the intravascular space) exhibit signal attenuation at low b-factor values (e.g., b = 50–100 mm2/s). Conversely, high b-factor values (e.g., b = 1,000 mm2/s) are typically used to visualize slow-moving water molecules or short diffusion distances because they exhibit slower signal attenuation (as the b-factor increases). For a correct interpretation, DWIs must be taken with at least two b-factors, namely, b = 0 mm2/s and b = 100–1,000 mm2/s, because DWIs obtained with b = 0 mm2/s are T2-weighted sequences. At low b-factor values (e.g., ≤200 mm2/s), the apparent diffusion coefficient depends on tissue perfusion and water diffusion. As the b-factor increases, the effects of perfusion decrease. In general, the higher the b-factor, the more sensitive the sequence is to diffusion effects; in addition, high b-factor values (e.g., 100–1,000 mm2/s) are better for suppressing the background signal [10, 14].
ROUTINE IMAGING PROTOCOL
In most cases, the abdominal MRI protocol includes T2-WIs, pre- and postcontrast T1-WIs, including those with fat suppression, DWIs, and MR cholangiopancreatography (MRCP). These sequences enable accurate visualization of lesions not only in the parenchymal organs, walls of hollow organs, and bile ducts but also in the peritoneum, retroperitoneal organs, and cellular spaces (Table 2). However, this protocol can be supplemented or shortened depending on the clinical situation and the study goals and objectives. The American College of Radiology recommends that slice thickness should not exceed 8 mm, slice spacing should not exceed 2 mm, and thinner slices are preferred [15].
Table 2. Basic pulse sequences and their role in the diagnosis of abdominal organ and retroperitoneal space diseases
Pulse sequences | Main role |
T1 FS | It is used to identify lesions that are mostly fatty or have adipose tissue or a hemorrhagic component (e.g., angiomyolipomas, teratomas, pancreatic steatosis, and renal corticomedullary differentiation). It is used as a general sequence in abdominal organ examinations and for contrast agent injection |
T1 in-phase, out-of-phase | They are used for affected tissue visualization when a combination of fat and water protons is observed in the same voxel (fatty liver, adrenal adenoma, hemochromatosis, and hemosiderosis) and provide information about abnormally elevated fluid or fibrous tissue (subacute hemorrhage, fat, or high protein content) |
T2, Т2 FS | They are used to detect elevated serous fluid, hemangiomas, biliary hamartomas, tissue edema, hemorrhagic or high protein cysts, and fibrous changes, can be used for iron detection in combination without-of-phase Т1, and are used as general sequences in abdominal organ examinations |
DWI | Primary and secondary abdominal and retroperitoneal tumors, including not visualized on T1 and T2 (e.g., peritoneal disseminations) |
MRCP | Pancreatobiliary system examination for strictures, cysts of intrahepatic bile ducts, choledocholithiasis, and pancreatic cysts |
Standard T2-WIs are taken in the frontal and axial planes using SE. These sequences have a relatively long acquisition time but provide a high SNR. The routine use of this approach in abdominal radiology is limited by the patient’s breathing, pulsation of large vessels, and intestinal motility. In such cases, respiratory gating can be performed, which increases scan time (up to 5–7 min); however, motion correction is not absolute: in most cases, there is a blurring effect at the border of organs, which can make diagnosing various pathologies difficult. As a result, T2-WIs are now more commonly obtained using accelerated fast SE, single-shot accelerated fast SE or steady-state free precession sequences (Fig. 5).
Figure 5. Single-shot fast spin-echo mode: hepatocellular carcinoma with inferior vena cava invasion (yellow arrow) and tense ascites (green arrow): а coronal plane; b axial plane.
Images can be taken with or without breath-holding. When taking images without breath-holding, every effort should be made to reduce respiratory motion artifacts by multiple signal averaging and/or respiratory compensation/triggering. The main difference between this and standard SE is the relative decrease in tissue contrast, which can lead to diagnostic errors, particularly small changes compared with unaffected parenchymal organ tissue (e.g., small hepatocellular carcinoma). Conversely, T1-WIs compensate for this disadvantage: these areas, on average, have a longer T1 time relative to the unaffected tissue and are well visualized on nonenhanced SGE sequences or early (arterial) postcontrast images as focal lesions with a reduced signal.
MRCP is based on a modified SE sequence with a time of echo (TE) of 250–500 ms that produces heavily T2-WIs. TE elongation causes soft tissue opacity, and the fluid in the bile and pancreatic ducts serves as its contrast agent.
The fluid-filled structures in the abdomen appear hyperintense against the surrounding soft tissues because they have a longer T2 relaxation time. When using hepatospecific contrast agents, MRCP should be performed before the contrast agent enters the bile ducts because gadolinium shortens T2, resulting in poor visualization of the biliary system. Thus, MRCP is performed before or no later than 5 min after contrast agent injection (DWIs, e.g., can be taken even ≥5 min after contrast agent injection, to save time). Furthermore, multiplanar reconstruction and maximum intensity projection of the obtained images can be performed for optimal visualization.
T1-WIs are taken with SE sequences (turbo SE [TSE] or fast SE [FSE]), although SGE is usually preferred because of its much shorter acquisition time.
For a more accurate assessment of hepatic steatosis or signs of hemochromatosis, in-phase and opposed-phase T1-WIs should also be included in the standard MRI protocol. Furthermore, this sequence is useful in the diagnosis of adrenal adenoma (Fig. 6), clear-cell renal cell carcinoma, and pancreatic fatty infiltration (Fig. 7). These sequences must be obtained before contrast agent injection. Out-of-phase images allow for the assessment of signal loss from adipose tissue and fat-containing lesions such as liver adenomas or hepatocellular carcinoma. Moreover, the determination of the proton density fat fraction is the gold standard for noninvasive quantitative assessment of hepatic steatosis. However, this sequence is not included in the routine protocol.
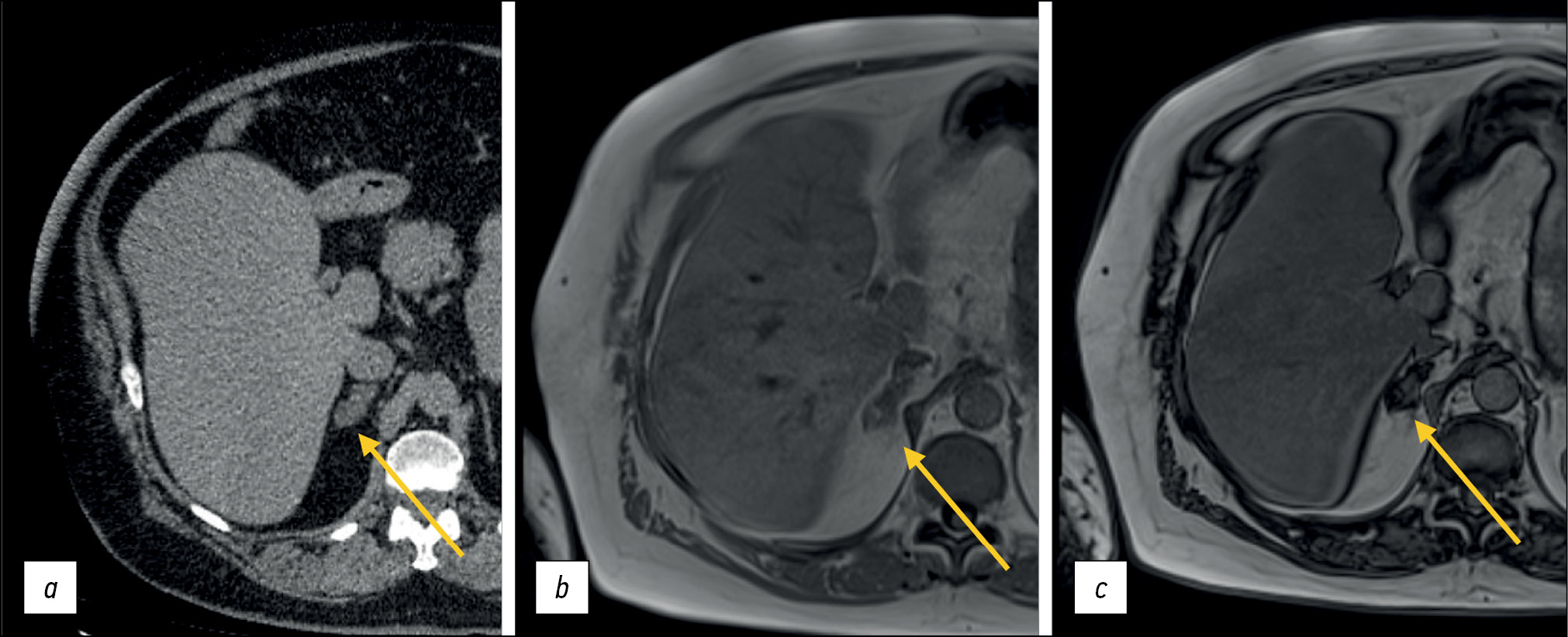
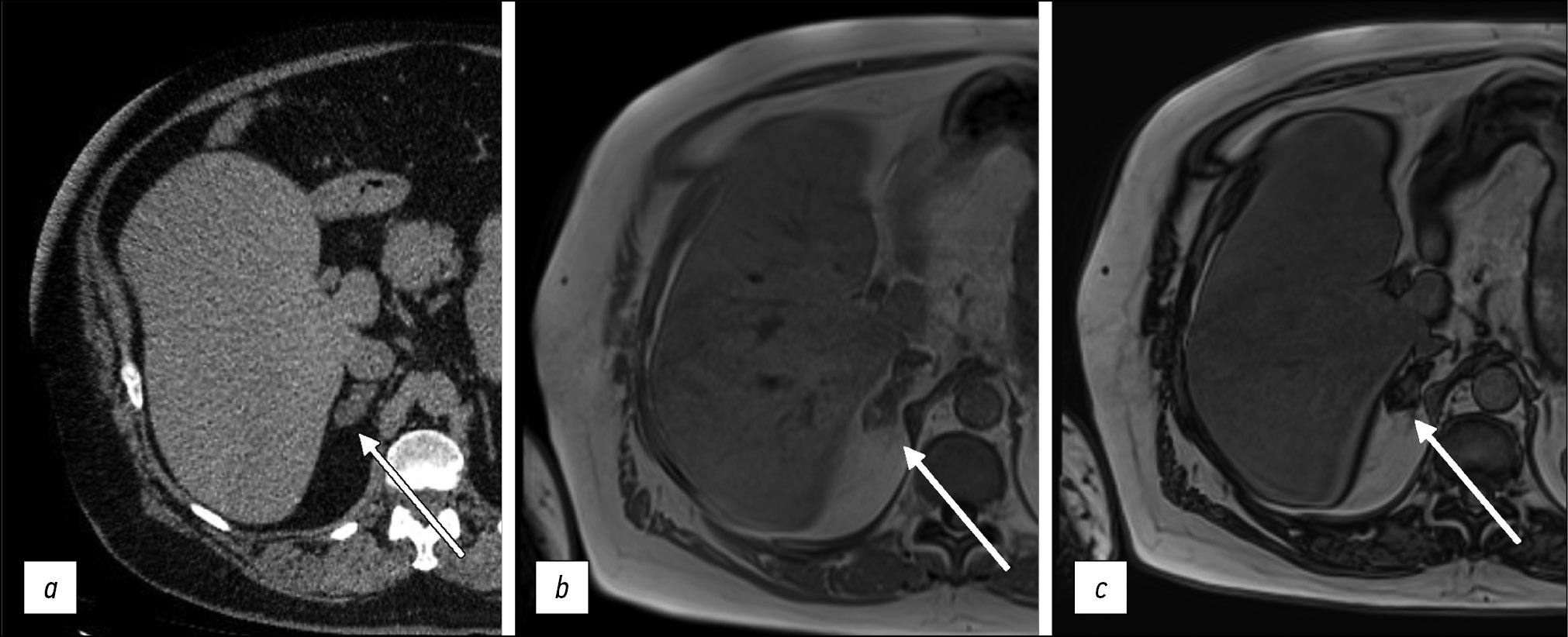
Figure 6. Abdominal computed tomography, axial plane (а): a right adrenal mass of nonuniform density is visualized (arrow); abdominal magnetic resonance imaging (b, с), in-phase (b) and opposed-phase (с): a typical signal loss from the adenoma fat component in the opposed-phase is detected (arrows).
Figure 7. Abdominal magnetic resonance imaging, pancreatic lipomatosis (arrows): а in-phase, b opposed-phase. In the opposite phase, a signal loss from the pancreas with a normal signal from the liver is detected.
Dynamic pre- and postcontrast T1-WIs can be obtained using 2D or 3D pulse sequences [6], with 3D sequences preferred because minimizing slice thickness reduces truncation artifacts. 3D SGE sequences were initially used to visualize vascular anatomy (MR angiography; Fig. 8). This technique is currently widely used to visualize soft tissue structures in the abdominal cavity and small pelvis. Short repetition time and TE values allow for the acquisition of many thin sections in a single breath-hold. The relatively low SNR of this sequence may be a limitation; however, this disadvantage is offset by the use of intravenous contrast.
Figure 8. Contrast-enhanced magnetic resonance imaging of the abdominal aorta and its branches. Extravascular compression of the celiac trunk by crus diaphragm (arrows): а SSFE; b contrast-enhanced 3D mode.
In patients unable to cooperate, SGE can be performed without breath-holding; such sequences include magnetization prepared rapid acquisition gradient and turbo fast low angle shot. The relatively low T1-weighted tissue contrast (compared with standard SGEs) is a limitation of this approach. In addition, this technique cannot be used for dynamic liver contrast, particularly in the early arterial phase: it takes approximately 1.5 s to obtain one slice; thus, the time difference between scanning the upper and lower sections of the liver does not allow capturing all sections within a single (arterial) phase. By contrast, despite being motion sensitive, standard SGE sequences have a high temporal resolution to visualize the desired tissue volume.
DWIs are widely used in abdominal radiology. The most common are single-shot echoplanar sequences with or without breath-holding. Parallel data acquisition is used to reduce scan time and more accurately calculate the apparent diffusion coefficient, and modern techniques allow for taking DWIs with high spatial resolution in <1 min (simultaneous multislice imaging DWI) [16] (Fig. 9).
Figure 9. Comparison of standard (STD DWI) and simultaneous (SMS DWI) multislice diffusion-weighted images with free breathing and respiratory triggering using various b-factors (50, 400, and 800 s/mm2) and corresponding apparent diffusion coefficients. The mean scan time was 10:30 min (5:56–18:13) for STD DWIs and 3:29 min (2:19–4:27) for SMS-DWIs [16].
CONCLUSION
MRI is one of the main methods for diagnosing abdominal organ and retroperitoneal space diseases, and it allows for the visualization of focal or diffuse lesions in parenchymal and hollow organs with high diagnostic accuracy and reproducibility. The multiparametric MRI protocol provides information not only on the mutual topography and structure of organs but also on tissue function, allowing for the transition from structural to functional image evaluation.
In most cases, the standard abdominal MRI protocol includes T1-WIs, T2-WIs, DWIs, and MRCP, although this protocol can be shortened or supplemented depending on the study goals and patient condition.
Many pulse sequences are now available, and current technological advances are simplifying the scanning process and shortening the time to image acquisition while increasing the reproducibility of techniques in various healthcare settings, even among novice users.
ADDITIONAL INFORMATION
Funding source. This article was not supported by any external sources of funding.
Competing interests. The authors declare that they have no competing interests.
Authors’ contribution. All authors made a substantial contribution to the conception of the work, acquisition, analysis, interpretation of data for the work, drafting and revising the work, final approval of the version to be published and agree to be accountable for all aspects of the work.
About the authors
Egor M. Syrkashev
Moscow Center for Diagnostics and Telemedicine; National Medical Research Center for Obstetrics, Gynecology and Perinatology
Author for correspondence.
Email: egorsrkshv@mail.ru
ORCID iD: 0000-0003-4043-907X
SPIN-code: 1901-5364
MD, Cand Sci (Med.)
Russian Federation, Moscow; MoscowFaina Z. Kadyrberdieva
National Medical Research Center for Obstetrics, Gynecology and Perinatology
Email: k.faina1992@mail.ru
ORCID iD: 0009-0004-7787-3413
MD, Cand Sci (Med.)
Russian Federation, MoscowLiya R. Abuladze
Moscow Center for Diagnostics and Telemedicine
Email: AbuladzeLR@zdrav.mos.ru
ORCID iD: 0000-0001-6745-1672
SPIN-code: 8640-9989
MD
Russian Federation, MoscowDmitriy S. Semenov
Moscow Center for Diagnostics and Telemedicine
Email: semenovds4@zdrav.mos.ru
ORCID iD: 0000-0002-4293-2514
SPIN-code: 2278-7290
Russian Federation, Moscow
Ekaterina G. Privalova
Moscow Center for Diagnostics and Telemedicine
Email: e-privalova@mail.ru
ORCID iD: 0000-0002-9851-9390
SPIN-code: 6546-5135
MD, Dr.Sci. (Med.)
Russian Federation, MoscowReferences
- Hussain SM, Sorrell MF. Liver MRI: Correlation with other imaging modalities and histopathology, second edition. Springer; 2015. doi: 10.1007/978-3-319-06004-0
- Runge VM, Clanton JA, Partain CL, James AE. Respiratory gating in magnetic resonance imaging at 0.5 Tesla. Radiology. 1984;151(2):521–523. doi: 10.1148/radiology.151.2.6709928
- Bailes DR, Gilderdale DJ, Bydder GM, et al. Respiratory ordered phase encoding (ROPE): A method for reducing respiratory motion artefacts in MR imaging. J Comput Assist Tomogr. 1985;9(4):835–838.
- American College of Radiology [online]. ACR-SAR-SPR practice parameter for the performance of magnetic resonance (MR) Enterography. Available from: https://www.acr.org/-/media/ACR/Files/Practice-Parameters/MR-Enterog.pdf. Accessed: 17.01.2023.
- Semelka RC, Kelekis NL, Thomasson D, et al. HASTE MR imaging: Description of technique and preliminary results in the abdomen. J Mag Reson Imaging. 1996;6(4):698–699. doi: 10.1002/jmri.1880060420
- Rofsky NM, Lee VS, Laub G, et al. Abdominal MR imaging with a volumetric interpolated breath-hold examination. Radiology. 1999;212(3):876–884. doi: 10.1148/radiology.212.3.r99se34876
- Syrkashev EM, Solopova A, Kulabukhova EA. Magnetic resonance imaging in the diagnosis of peritoneal carcinomatosis indisseminated ovarian cancer. Obstetrics Gynecology. 2020;(9):38–47. doi: 10.18565/aig.2020.9.38-47
- Vanderveen KA, Hussain HK. Magnetic resonance imaging of cholangiocarcinoma. Cancer Imaging. 2004;4(2):104–115. doi: 10.1102/1470-7330.2004.0018
- Kilcoyne A, Kaplan JL, Gee MS. Inflammatory bowel disease imaging: Current practice and future directions. World J Gastroenterol. 2016;22(3):917–932. doi: 10.3748/wjg.v22.i3.917
- Koh DM, Collins DJ. Diffusion-weighted MRI in the body: Applications and challenges in oncology. AJR Am J Roentgenol. 2007;188(6):1622–1635. doi: 10.2214/AJR.06.1403
- Abuladze LR, Semenov DS, Panina OY, Vasilev YA. Optimized biparametric magnetic resonance imaging protocol for prostate cancer detection. Digit Diagnostics. 2022;3(3):166–177. doi: 10.17816/dd108484
- Thoeny HC, De Keyzer F. Extracranial applications of diffusion-weighted magnetic resonance imaging. Eur Radiol. 2007;17(6):1385–1393. doi: 10.1007/s00330-006-0547-0
- Charles-Edwards EM, De Souza NM. Diffusion-weighted magnetic resonance imaging and its application to cancer. Cancer Imaging. 2006;6(1):135–143. doi: 10.1102/1470-7330.2006.0021
- Kele PG, van der Jagt EJ. Diffusion weighted imaging in the liver. World J Gastroenterol. 2010;16(13):1567–1576. doi: 10.3748/wjg.v16.i13.1567
- Monticciolo L, Podberesky DJ, Pollack MS, et al. ACR-SAR-SPR practice parameter for the performance of magnetic resonance imaging (MRI) of the abdomen (Excluding the Liver). Semantic Scholar; 2015. Available from: https://www.semanticscholar.org/paper/ACR-%E2%80%93-SAR-%E2%80%93-SPR-PRACTICE-PARAMETER-FOR-THE-OF-(-MRI-Monticciolo-Podberesky/7dc9771a1b5aaec215c99fd74ab5e659738cf4fd. Accessed: 17.01.2023.
- Taron J, Martirosian P, Erb M, et al. Simultaneous multislice diffusion-weighted MRI of the liver: Analysis of different breathing schemes in comparison to standard sequences. J Magn Reson Imaging. 2016;44(4):865–879. doi: 10.1002/jmri.25204
Supplementary files
















