Magnetic resonance imaging in the diagnosis of necrosis of a pulled-through colon segment after abdomino-anal resection of the rectum for cancer
- Authors: Myalina S.A.1, Paziuk K.I.2, Berezovskaya T.P.1, Nevolskikh A.A.1,2, Potapov A.L.1, Ivanov S.A.1,2,3
-
Affiliations:
- National Medical Research Radiological Center, A. Tsyb Medical Radiological Research Centre
- Obninsk Institute for Nuclear Power Engineering ― National Research Nuclear University MEPhI
- Peoples’ Friendship University of Russia
- Issue: Vol 4, No 1 (2023)
- Pages: 61-69
- Section: Case reports
- Submitted: 13.02.2023
- Accepted: 10.03.2023
- Published: 19.04.2023
- URL: https://jdigitaldiagnostics.com/DD/article/view/227288
- DOI: https://doi.org/10.17816/DD227288
- ID: 227288
Cite item
Abstract
This study presents a case of necrosis of the pulled-through colon after abdomino-anal resection of the rectum, which was diagnosed by magnetic resonance imaging.
A 47-year-old man underwent laparoscopically assisted abdomino-anal resection of the rectum with reconstruction of a coloplasty pouch and transverse colostomy in the course of combination treatment for locally advanced rectal cancer. The postoperative period was complicated by the development of an inflammatory response syndrome. On postoperative day 3, contrast-enhanced magnetic resonance imaging revealed swelling of the 15-cm segment of pulled-through colon up to the coloanal anastomosis with sharply attenuated contrast enhancement, whereas rectoscopy showed no changes. On postoperative day 6, a magnetic resonance imaging scan revealed a defect in the anterior wall of the coloplasty pouch with a parietal aerocele, and rectoscopy showed signs of necrosis of the bowel wall. On postoperative day 10, the magnetic resonance imaging scan presented no changes. Because of increasing signs of inflammation, relaparotomy with anastomosis disconnection and resection of the necrotized bowel segment were performed.
Ischemia of the pulled-through colon after rectal surgery is a rare but serious complication. Our clinical case report demonstrates the potential of contrast-enhanced magnetic resonance imaging as a non-invasive method in case follow-up in patients with a complicated postoperative period for early diagnosis of ischemia and bowel wall defects, which helps to make the appropriate patient management plan.
Full Text
BACKGROUND
Significant progress has been made over the last few decades in the development of surgical techniques for rectal cancer with the goal of improving treatment outcomes and lowering the risk of perioperative complications [1]. The number of sphincter-preserving surgeries, such as low anterior resection and abdominoanal resection of the rectum [2, 3] with coloanal anastomosis, has increased dramatically. Nevertheless, according to various authors, the proportion of early postoperative complications is 20% or higher. Necrosis of a pulled-through colon segment is the second most common severe complication after an enteroenteric anastomosis leak [3, 4]. Thus, identifying noninvasive methods to detect complications early and for case follow-up during the postoperative period is particularly important.
Proctography, ultrasound, and computed tomography have been used to diagnose postoperative complications. However, these methods have some disadvantages due to limited visualization of the pelvic area and radiation exposure. Magnetic resonance imaging (MRI) without radiation exposure has become more widely available, making it a promising method for detecting and controlling postoperative complications in patients undergoing rectal resection. This method has several advantages, such as good soft tissue contrast, which allows for assessing the continuity of the colorectal anastomosis and detecting the accumulation of fluid/blood/pus/gas in the pelvic area, including the presacral space, and the ability to assess the blood supply to a pulled-through colon segment on post-contrast images.
We present a clinical case of colon necrosis following laparoscopic-assisted abdominoanal resection of the rectum with a coloplasty pouch and coloanal anastomosis to demonstrate the utility of MRI in the diagnosis of this complication.
CLINICAL CASE
About the patient
The patient was a 47-year-old man admitted to the A. F. Tsyb Medical Radiological Research Center (Obninsk) with the diagnosis of C20 cT4bN1aM0 stage IIIB malignant rectal neoplasm. The patient received combined therapy, including preoperative chemoradiotherapy (total radiation dose 50 Gy + capecitabine), 4 cycles of FOLFOX6 neoadjuvant chemotherapy, laparoscopic-assisted abdominoanal resection of the rectum with a coloplasty pouch and coloanal anastomosis, and transverse colostomy. The entire left half of the colon with the splenic flexure was mobilized by ligating the inferior mesenteric artery at the base and the inferior mesenteric vein at the ligament of Treitz. The rectum was mobilized along all walls up to the anal canal. This procedure has been associated with technical difficulties due to post-radiation changes in the pelvic cavity (soft tissue edema and fibrotic changes) and anthropometric parameters. The large intestine was transected at the middle third of the sigmoid colon. The rectal mucosa was dissected along the dental line border, and the rectum was mobilized by resecting the internal sphincter. The surgical specimen was removed via the abdominal cavity. The descending colon was fully mobilized and pulled-through the anal canal, followed by the formation of a coloplasty pouch and a hand-sewn coloanal anastomosis. The histological examination of the surgical specimen revealed a complete pathomorphological response to neoadjuvant therapy.
Case follow-up
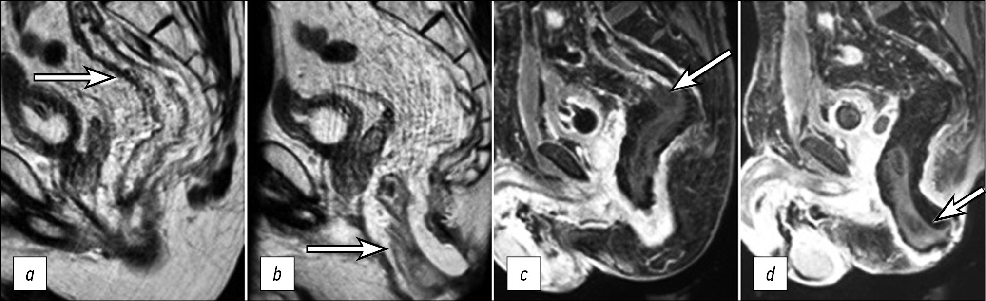
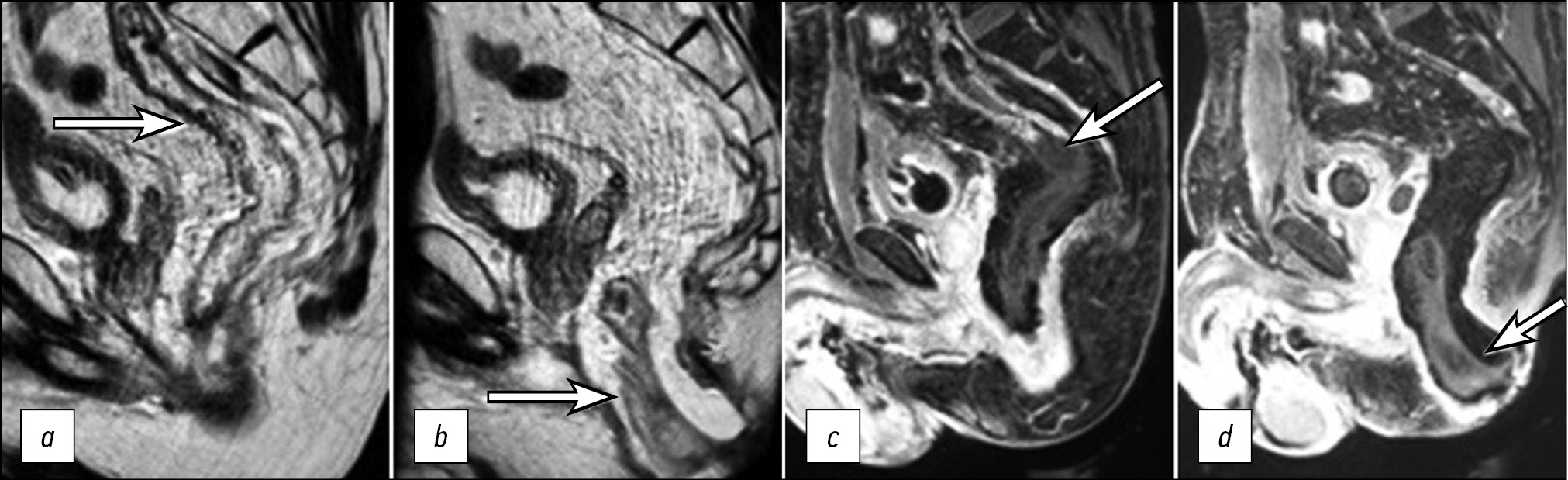
Intermittent low-grade fever and a high serum C-reactive protein (CRP) level were detected starting on postoperative day (POD) 1 (Fig. 1). Due to this clinical pattern, imaging studies, including MRI and rectoscopy, were performed on POD 3. Pelvic MRI included high-resolution T2-weighed images (WIs) in three orthogonal planes and T1WIs with fat suppression and intravenous gadolinium enhancement. Diffuse edema was present on the wall of the colon 15 cm proximal to the coloanal anastomosis, with sharply reduced contrast uptake, which was interpreted as a disturbance in blood supply in the pulled-through distal colon segment (Fig. 2). The pulled-through colon mucosa was pink on rectoscopy, with no signs of ischemia or necrosis; mucus was in the lumen.
Figure 1. Body temperature (а; ℃) and serum C-reactive protein (b; mg/L) on postoperative day (POD) 1 to the relaparotomy (POD 16).
Figure 2. MRI scans of two adjacent sagittal sections of the pelvis in Т2 mode (a, b) and 1-FS mode with contrast enhancement (c, d) on POD 3: the upper (a, c) and lower (b, d) segments of the pulled-through colon with thickened walls and sharply reduced contrast uptake, 15 cm long, with a distinct boundary between the ischemic and normal colon segments (arrows).
During the case follow-up, the patient received conservative therapy, including infusion therapy, antibiotics, and anticoagulants.
Hyperthermia (37.6℃) and a high CRP level (up to 114.6 mg/L) persisted on POD 6, necessitating another imaging study.
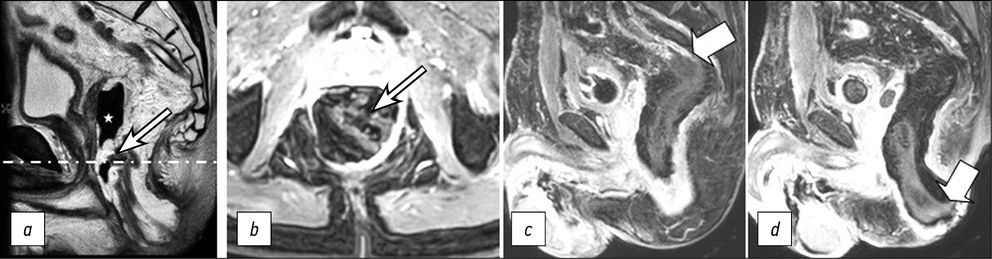
On the follow-up non-contrast-enhanced MRI, the previously detected changes (diffuse edema of the distal colon wall) were accompanied by a defect in the anterior wall of the coloplasty pouch, with a parietal air-filled cavity at the bottom in which a small amount of exudate was detected (Fig. 3). There were signs of necrosis in the pulled-through colon on rectoscopy (Fig. 4): the mucosa was violet-gray and dull; the lumen was deformed, and the folds were absent; the lumen contained blood and necrotic masses, and there was a putrid odor.
Figure 3. Pelvic MRI scans in Т2 mode on POD 6: two adjacent sagittal sections including the upper (a) and lower (b) segments of the pulled-through colon, with persistent diffuse edema of the walls; axial section (с) at the level of the dashed-dotted line. A defect in the anterior wall of the coloplasty pouch (arrow) with a parietal air-filled cavity (asterisk).
Figure 4. Endoscopic photograph on POD 6: areas of necrotic changes (a); intestinal wall deformation; mucosa is violet-gray and dull (b).
The case conference determined that the only surgical option, in this case, was to disconnect the anastomosis and resect the necrotic portion of the pulled-through colon. However, in the absence of a clinical picture of total necrosis of the pulled-through colon and purulent-septic complications, positive changes in body temperature and the CRP level, and the patient’s relatively satisfactory condition, conservative treatment was continued with laboratory test monitoring.
Fever up to 37.8℃ persisted on POD 10, but the CRP level decreased to 78.8 mg/L. A persistent defect in the wall of the coloplasty pouch with a parietal air-filled cavity was observed on a follow-up contrast-enhanced MRI; no contrast uptake was observed in the pulled-through colon segment (Fig. 5).
Figure 5. Pelvic MRI scans in Т2 mode (a) and 1-FS mode with contrast enhancement at the level of the dashed-dotted line in the axial plane (b) on POD 10: a defect in the wall of the coloplasty pouch (arrow) and an air-filled cavity (asterisk); two adjacent sagittal sections in 1-FS mode with contrast enhancement (c, d): the upper and lower edges of the ischemic colon segment (arrows).
Because of persistent signs of a disturbance in blood supply in the pulled-through colon segment, a high CRP level of 307.5 mg/L, and an increase in body temperature to 38.1℃, surgery was performed on POD 17 including resection of the pulled-through colon, disconnection of the coloanal anastomosis, an end colostomy, and pelvic lavage and drainage.
No effusion was detected in the abdominal cavity during the revision surgery. A greater omentum segment plugged the pelvic inlet, and there were no signs of ischemia or necrosis in the colon at the pelvic inlet level. The left half of the colon was mobilized to the stoma, the colon was transected at the level of the transverse colostoma, the distal segment of the colon with signs of ischemia was isolated from the pelvic cavity, the coloanal anastomosis was disconnected, and the surgical specimen was removed. Pelvic lavage and tamponade through the anus were performed. An end transverse colostomy was performed in the left hypochondrium.
The pathological examination of the surgical specimen revealed necrotic mucosal foci in the left half of the colon, some of which extended the entire thickness of the colon wall. Lipoxanthogranulomas and necrotic foci were detected in the adjacent fatty tissue of the mesentery. Fibrin deposits and detritus were found on the serous membrane of the large intestine and adjacent mesentery. The postoperative period was uneventful.
DISCUSSION
The pulled-through colon segment has a high risk of acute ischemia after abdominoanal resection of the rectum with coloanal anastomosis and neoadjuvant chemoradiotherapy in patients with rectal cancer, which can result in serious complications during the postoperative period. Although the colon may appear normal immediately following the anastomosis, the possibility of ischemia during the early postoperative period cannot be excluded.
Preoperative radiation therapy, older age, male gender, and cardiovascular diseases are important risk factors for colonic ischemia. High ligation of the inferior mesenteric artery and excessive colonic tension during anastomosis are perioperative risk factors [5, 6]. Furthermore, laparoscopic access has been associated with colonic ischemia because pneumoperitoneum and increased intraabdominal pressure reduce mesenteric venous blood flow [7]. Of the listed risk factors, our patient was male and had undergone neoadjuvant chemoradiotherapy, laparoscopic access, and high ligation of the inferior mesenteric artery.
In our clinical case, the signs of ischemia in the pulled-through colon segment, which was detected by MRI on POD 3, included nonspecific manifestations of non-enhanced T2-WIs in the form of edema and thickening of the colon wall, as well as the absence of contrast uptake above the anastomosis with a distinct upper boundary on the post-contrast images. The involvement of a significant area (6–15 cm) from the anastomosis level is a characteristic feature of this type of colonic ischemia [5], which we also observed in our patient.
Necrosis was not observed on endoscopy at the time of the primary postoperative MRI, which justified conservative therapy. In most cases, a 2-week conservative treatment of ischemia (antibiotic therapy) allows the patient to be discharged in a satisfactory condition; however, the patient will almost certainly develop an ischemic area stricture after a few months [5].
Necrosis of the pulled-through colon segment, which necessitates emergency surgery, is an unfavorable outcome of acute ischemia. In our case, a follow-up MRI (POD 6) revealed diffuse edema in the pulled-through colon segment wall that persisted and an area of tissue destruction appeared. A defect containing fluid and gas formed in the wall of the coloplasty pouch. Changes in the MRI pattern were detected on POD 10 despite ongoing conservative therapy. A follow-up endoscopic examination confirmed the MRI findings of necrotic changes. Additionally, signs of a general inflammatory response increased, necessitating relaparotomy with disconnection of the anastomosis and resection of the necrotic portion of the colon.
CONCLUSION
The presented clinical case demonstrates that ischemia of the pulled-through colon segment following abdominoanal resection can be diagnosed using contrast-enhanced MRI in the absence of contrast uptake in a large area of the small pulled-through colon with distinct boundaries. Non-enhanced T2-WIs showed thickening and edema of the entire intestinal wall in the affected area.
Follow-up MRI revealed signs of total necrosis of the entire intestinal wall with destruction and the formation of a parietal cavity containing fluid and gas. MRI signs of total intestinal wall necrosis in combination with relevant clinical and laboratory findings should be considered an indication for relaparotomy.
Thus, MRI with intravenous contrast enhancement is recommended as a noninvasive method for detecting and monitoring acute ischemia of the pulled-through colon segment following the formation of colorectal anastomoses.
ADDITIONAL INFORMATION
Funding source. This article was not supported by any external sources of funding.
Competing interests. The authors declare that they have no competing interests.
Authors’ contribution. All authors made a substantial contribution to the conception of the work, acquisition, analysis, interpretation of data for the work, drafting and revising the work, final approval of the version to be published and agree to be accountable for all aspects of the work. S.A. Myalina ― data sources collection and analysis, manuscript preparation, illustrations creating; K.I. Paziuk ― data sources collection and analysis, manuscript preparation; T.P. Berezovskaya ― conception of the work, revising and editing the manuscript; A.A. Nevolskikh, A.L. Potapov ― editing the manuscript; S.A. Ivanov ― approved the final version of the work.
Consent for publication. Written consent was obtained from the patient for publication of relevant medical information and all of accompanying images within the manuscript in Digital Diagnostics journal.
About the authors
Sofiya A. Myalina
National Medical Research Radiological Center, A. Tsyb Medical Radiological Research Centre
Email: samyalina@mail.ru
ORCID iD: 0000-0001-6686-5419
SPIN-code: 9668-3834
Russian Federation, Obninsk
Ksenia I. Paziuk
Obninsk Institute for Nuclear Power Engineering ― National Research Nuclear University MEPhI
Author for correspondence.
Email: komolovaksusha@yandex.ru
ORCID iD: 0009-0000-0036-9877
Russian Federation, Obninsk
Tatiana P. Berezovskaya
National Medical Research Radiological Center, A. Tsyb Medical Radiological Research Centre
Email: berez@mrrc.obninsk.ru
ORCID iD: 0000-0002-3549-4499
SPIN-code: 5837-3465
MD, Dr. Sci. (Med.), Professor
Russian Federation, ObninskAlexey A. Nevolskikh
National Medical Research Radiological Center, A. Tsyb Medical Radiological Research Centre; Obninsk Institute for Nuclear Power Engineering ― National Research Nuclear University MEPhI
Email: nevol@mrrc.obninsk.ru
ORCID iD: 0000-0001-5961-2958
SPIN-code: 3787-6139
MD, Dr. Sci. (Med.)
Russian Federation, Obninsk; ObninskAleksandr L. Potapov
National Medical Research Radiological Center, A. Tsyb Medical Radiological Research Centre
Email: ALP8@yandex.ru
ORCID iD: 0000-0003-3752-3107
SPIN-code: 9189-4126
MD, Dr. Sci. (Med.), Professor
Russian Federation, ObninskSergey A. Ivanov
National Medical Research Radiological Center, A. Tsyb Medical Radiological Research Centre; Obninsk Institute for Nuclear Power Engineering ― National Research Nuclear University MEPhI; Peoples’ Friendship University of Russia
Email: oncourolog@gmail.com
ORCID iD: 0000-0001-7689-6032
SPIN-code: 4264-5167
MD, Dr. Sci. (Med.), Professor
Russian Federation, Obninsk; Obninsk; MoscowReferences
- Berdov BA, Nevolskikh AA, Yerygin DV, Lantsov DS. Сurrent approaches to preventing local relapses in the surgical treatment of rectal cancer. Russ J Oncol. 2007;(5):51–55. (In Russ).
- KrotVS, RyliukАF. Сauses of necrosis in operations with descending sigmoid intestine. Health Ecology Issues. 2011;(2):55–60.(In Russ).
- Basheev VK. Optimization of tactics of treatment of cancer of the lower ampullary rectum [dissertation abstract]. Donetsk; 2003. 32 р. (In Russ).
- Tsepilova IYa, Trunov GV, Vinnik YA, et al. Study of microcirculation in the graft after abdominal-anal resection of the rectum. Vrachebnaya praktika. 2000;(6):44–45. (In Russ).
- Lim DR, Hur H, Min BS, et al. Colon stricture after ischemia following a robot-assisted ultra-low anterior resection with coloanal anastomosis. Ann Coloproctol. 2015;31(4):57. doi: 10.3393/ac.2015.31.4.157
- Toiyama Y, Hiro J, Ichikawa T, et al. Colonic necrosis following laparoscopic high anterior resection for sigmoid colon cancer: Case report and review of the literature. Int Surg. 2017;102(3-4):109–114. doi: 10.9738/intsurg-d-17-1.1
- Jakimowicz J, Stultiens G, Smulders F. Laparoscopic insufflation of the abdomen reduces portal venous flow. Surg Endoscopy. 1998;12(2):129–132. doi: 10.1007/s004649900612
Supplementary files












