“Rice bodies” symptoms on magnetic resonance imaging of the shoulder in a patient with rheumatoid arthritis
- Authors: Ageeva S.F.1, Filatova D.A.1, Mershina E.A.1, Sinitsyn V.E.1
-
Affiliations:
- Lomonosov Moscow State University
- Issue: Vol 4, No 4 (2023)
- Pages: 616-624
- Section: Case reports
- Submitted: 26.06.2023
- Accepted: 05.09.2023
- Published: 15.12.2023
- URL: https://jdigitaldiagnostics.com/DD/article/view/508786
- DOI: https://doi.org/10.17816/DD508786
- ID: 508786
Cite item
Abstract
The “rice bodies” symptom on magnetic resonance imaging of the shoulder joint in patients with rheumatoid arthritis is a rare but specific finding characterized by the presence of multiple small, round, rice-grain-like structures in the synovial fluid of the joint, synovial pouches, or sheaths. The etiology of the “rice bodies” is still not fully understood. They are suggested as the result of microinfarcts of the synovial membrane in patients with rheumatoid arthritis or other inflammatory joint diseases. Clinically, the “rice bodies” symptom may cause pain, but not in every case. Among radiological diagnostic methods, magnetic resonance imaging is the leading method for the detection of rice bodies. This article presents a clinical case of “rice bodies” symptoms diagnosed by magnetic resonance imaging in a patient with a long history of rheumatoid arthritis who presented with a painless enlargement in the left shoulder. Computed tomography and magnetic resonance imaging of the left shoulder could detect “rice bodies” as a manifestation of an underlying disease and determine further treatment techniques.
Full Text
BACKGROUND
Rheumatoid arthritis (RA) is a chronic systemic autoimmune disorder characterized by articular and extraarticular involvement. RA is more common in women. Generally, RA onset occurs at the age of 35–60 years, except for juvenile RA [1–3].
In the adult general population, the incidence of RA ranges from 0.5% to 2%, which is quite high. The World Health Organization reported that 18 million people had RA in 2019 [4]. In Russia, the official number of registered patients with RA was 301,200 as of 2017; however, the results of a Russian epidemiology study suggested that RA affected approximately 0.6% of the general population [2].
RA is diagnosed based on clinical and laboratory results, including radiological examinations. According to the criteria issued by the American College of Rheumatology and the European League against Rheumatism in 2010 (2010 ACR-EULAR), a patient’s score ≥6 (out of 10 possible) is indicative of RA (Table 1) [2, 5].
Table 1. 2010 American College of Rheumatology and European League against Rheumatism criteria for the diagnosis of rheumatoid arthritis [2, 5].
Clinical signs of joint involvement (swelling and/or tenderness in physical examination) (a score of 0–5) | |
1 large joint involved | 0 |
2–10 large joints involved | 1 |
1–3 small joints involved | 2 |
4–10 small joints involved | 3 |
>10 joints involved, including at least one small joint | 5 |
Laboratory results for RF and ACPA (a score of 0–3; positive by at least one method) | |
RF neg.; ACPA neg. | 0 |
RF weak + / ACPA weak + (>ULN to ≤3 × ULN) | 2 |
RF high + / ACPA high + (>3 × ULN) | 3 |
Laboratory results for acute-phase reactants (a score of 0–1; positive by at least one method) | |
Normal ESR and CRP levels | 0 |
Increased ESR/increased CRP | 1 |
Duration of arthritis (a score of 0–1) | |
<6 months | 0 |
≥6 months | 1 |
Notes: +, positive; ACPA, anticyclic citrullinated peptide antibodies; CRP, C-reactive protein; ESR, erythrocyte sedimentation rate; neg., negative; RF, rheumatoid factor; ULN, upper limit of normal.
The following clinical signs are the most common for RA:
- Arthralgia
- Morning stiffness of the affected joints (>30 min)
- Fever
- Rheumatoid nodules under the skin
- Fatigue
- Weight loss
Usually, small joints are involved first (proximal interphalangeal and metacarpophalangeal) symmetrically. Later, as the disease progresses, larger joints are involved. RA may have pulmonary, renal, cardiovascular, and cutaneous manifestations [1–3].
X-ray methods are widely used for RA diagnosis and follow-up. They allow the identification and evaluation of articular and extraarticular RA signs (e.g., respiratory involvement, heart damage, splenomegaly in the Felty syndrome).
Currently, magnetic resonance imaging (MRI) is often used to evaluate articular involvement in RA. This method offers high-resolution imaging of soft tissues, allowing the detection of early signs of RA (e.g., synovitis, bone erosion, and cartilage lesions) [6].
In some RA cases, small rice-shaped structures, so-called “rice bodies,” may be visualized in the synovial fluid and synovial bursae. Rice bodies are multiple small rounded inclusions of similar shape resembling rice (hence, their name). When examined histologically, they have an amorphous core surrounded by fibrin or collagen. The exact etiology of rice bodies remains unknown. It was suggested to be cause by the detachment of small particles of synovium because of local microinfarctions, and their surface is later covered by fibrin. Rice bodies are possibly associated with inflammatory joint diseases. They are common in RA but may also appear in tuberculous arthritis, chronic bursitis and synovitis, and other diseases. Rice body formation may be asymptomatic or manifest clinically with pain [3, 9]. The most efficient method of rice body visualization is MRI [9, 10].
CASE REPORT
The patient was a 59-year-old woman who had a chronic RA. In September 2022, she presented to a clinic with nontender swelling of the left shoulder joint and underwent MRI.
History of the disease
2015: The patient was diagnosed with RA, with involvement of the left knee and foot joint arthritis. The patient scored 7 ACR-EULAR points out of 10 (scores >6 are required for a definite diagnosis).
2017: The patient was diagnosed with Hashimoto thyroiditis.
2021: The patient presented to a rheumatologist with significant handwriting difficulties. MRI interpretations of both shoulder joints dated February 2021 (scans were performed in another clinic) were as follows:
- A significant amount of effusion was visualized in the subdeltoid and subacromial bursa, which was more pronounced on the right side.
- Joint synovia were thickened, and a small amount of effusion was observed in the joint cavity.
- The signal intensity of the cartilage surfaces decreased.
Laboratory results
On September 16, 2022, blood tests were performed to evaluate the ongoing therapy (methotrexate 17.5 mg; folic acid):
- Thyroid-stimulating hormone, normal (4.08 μIU/mL; N: 0.27–4.2 μIU/mL)
- Rheumatoid factor, increased (107.9 IU/mL; N: 0–14 IU/mL)
- C-reactive protein, increased (11.84 mg/L; N: 0–5 mg/L)
- Erythrocyte sedimentation rate, increased (36 mm/h; N: <30 mm/h)
Investigations
On September 17, 2022, CT of both shoulder joints was performed because of further swelling of the left shoulder joint, based on the patient’s complaints. MAGNETOM Vida (Siemens Healthineers, Germany) was used at a field magnitude of 3 Tesla for a standard-protocol MRI scan (T1- and T2-weighted images with/without fat suppression; transverse, frontal, sagittal, and oblique slices) with a surface radiofrequency coil for the shoulder joint.
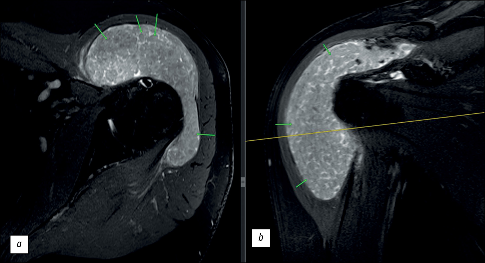
Under the deltoid, inside the subacromial bursa and subdeltoid bursa enlarged to the size of 7.7 × 2.5 × 5 cm, T2-weighted imaging (WI) showed multiple similarly shaped oval structures measuring 2–3 mm to 8–10 mm in diameter with an intermediate signal intensity, separated by areas of increased signal intensity (in T2-WI). In T1-WI, these structures demonstrated homogeneous intermediate signal intensity (Figs. 1 and 2). Agglomerations of small inclusions resembled space-occupying masses in the joint cavity.
Fig. 1. Magnetic resonance imaging of the left shoulder joint: a, b — T2-weighted images, coronal sections; c — T1-weighted image, sagittal section; d — T1-weighted image, transverse section.
Fig. 2. Magnetic resonance imaging of the left shoulder joint, T2-weighted images with signal suppression from fat: a - transverse section; b — frontal section. Small structures within the bursae are indicated by arrows.
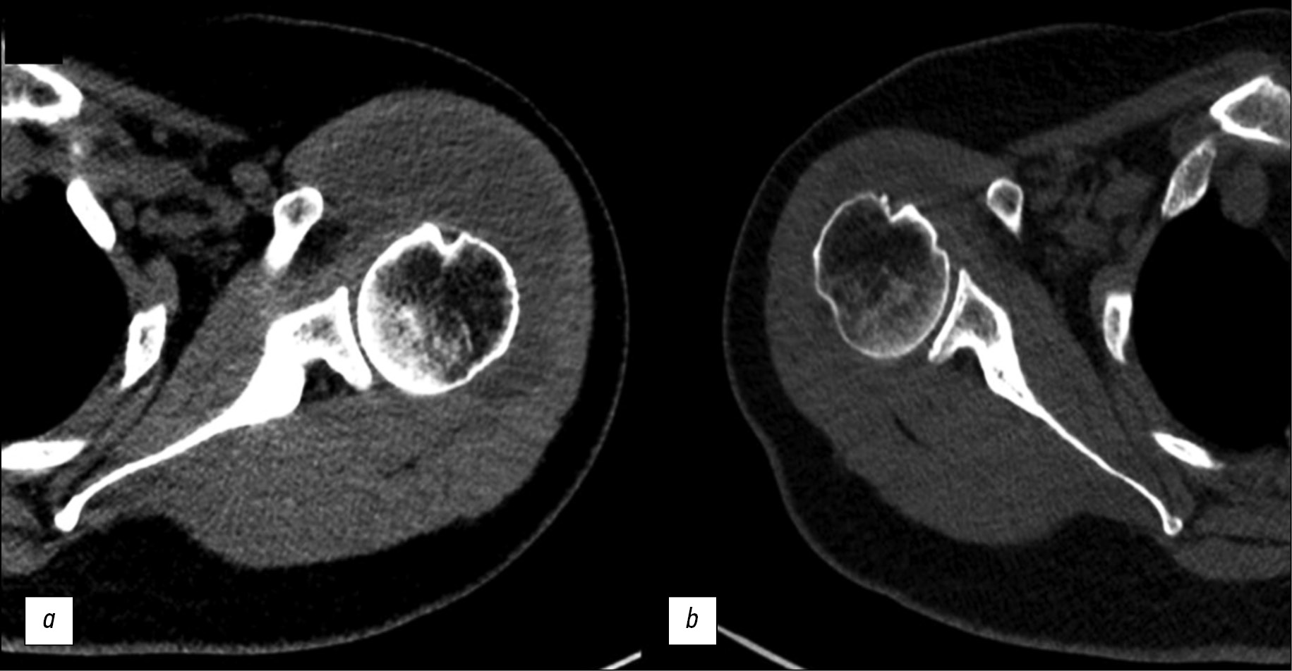
Noncontrasted CT images of the shoulder joints obtained with Somatom Drive (Siemеns Healthineers, Germany) with a 0.625-mm slice thickness showed large lens-shaped hypodense structures on both sides in the subacromial and subdeltoid bursae (Fig. 3):
- On the left side: 7.5 × 4 × 9 cm; the mass is bigger than the MR evaluation (7.7 × 2.5 × 5 mm)
- On the right side: 4 × 1.4 × 4 cm
Fig. 3. Computed tomography of the shoulder joints, axial sections: a - left shoulder joint; b — right shoulder joint.
Their structure appeared homogeneous in the CT images, without calcification or solid inclusions; the structure density was ~35 HU. Reactive lymphadenopathy associated with the underlying disease was observed in the axillary areas.
DISCUSSION
Rice body formation in the joints is a rare phenomenon associated with inflammatory joint diseases. It is most frequently observed in patients with RA. Rice bodies may be a sign of RA or precede disease onset in rare cases [11]. Rice bodies may be asymptomatic or manifest as joint swelling (as in the case described) and pain.
In MRI, rice bodies are visualized as multiple small, similarly shaped, rounded structures. In T1-WI, they are isointense or hypointense; in T2-WI, they are hypointense. The T2-WI pattern in the described case consisted of densely agglomerated inclusions, which were hyperintense compared with the muscle tissue, which is typical in RA. As demonstrated in the case presented, MRI is superior to CT in identifying rice bodies.
Rice bodies are not only seen in RA but also in other diseases, such as synovial chondromatosis and pigmented villonodular synovitis (PVNS), and chronic bursitis, including tuberculous etiology. MRI significantly facilitates the differential diagnosis of the listed disorders. In synovial chondromatosis, the cartilage is isointense or hyperintense in T1-WI, whereas rice bodies are hypointense in T2-WI compared with hyperintense fluid. Moreover, synovial chondromatosis is more commonly seen in men and affects a single joint. In patients with PVNS, the signal of the thickened synovia is inhomogeneously reduced in T1-WI and T2-WI because of hemosiderin accumulation [8].
Since fibrin causes irritation, rice bodies, once formed, may also cause synovial inflammation. Surgery is considered to improve a patient’s clinical condition [12, 13], particularly in severe pain syndrome. In the case presented herein, further management techniques involved surgical treatment.
CONCLUSION
We report a rare case of intraarticular rice bodies in a patient with chronic RA. A brief literature review on the subject was provided, and the MR and CT signals of this phenomenon were described. Although rice bodies are rare, knowledge of their potential presence in joint capsules of patients with RA and differentiation from similar signs of other disorders is necessary.
ADDITIONAL INFORMATION
Funding source. This article was not supported by any external sources of funding.
Competing interests. The authors declare that they have no competing interests.
Authors’ contribution. All authors made a substantial contribution to the conception of the work, acquisition, analysis, interpretation of data for the work, drafting and revising the work, final approval of the version to be published and agree to be accountable for all aspects of the work. S.F. Ageeva — writing the text; D.A. Filatova — writing and reviewing the text; E.A. Mershina — concept development, approval of the final text; V.E. Sinitsyn — concept development, approval of the final text.
Consent for publication. Written consent was obtained from the patient for publication of relevant medical information and all of accompanying images within the manuscript in Digital Diagnostics Journal.
About the authors
Sofia F. Ageeva
Lomonosov Moscow State University
Author for correspondence.
Email: son.ageeva13@gmail.com
ORCID iD: 0000-0003-4726-0806
SPIN-code: 9695-3717
Russian Federation, Moscow
Daria A. Filatova
Lomonosov Moscow State University
Email: dariafilatova.msu@mail.ru
ORCID iD: 0000-0002-0894-1994
SPIN-code: 2665-5973
Russian Federation, Moscow
Elena A. Mershina
Lomonosov Moscow State University
Email: elena_mershina@mail.ru
ORCID iD: 0000-0002-1266-4926
SPIN-code: 6897-9641
MD, Cand. Sci. (Med.), Аssistant professor
Russian Federation, MoscowValentin E. Sinitsyn
Lomonosov Moscow State University
Email: vsini@mail.ru
ORCID iD: 0000-0002-5649-2193
SPIN-code: 8449-6590
MD, Dr. Sci. (Med.), Professor
Russian Federation, MoscowReferences
- Nasonov EL, Karateev DE, Balabanova RM. Rheumatoid arthritis. In: Nasonov EL, Nasonova VA, editors. Rheumatology. National manual. Moscow : GEOTAR-Media. 2008. P. 290–331 (In Russ)
- Rheumatoid arthritis. Clinical Guidelines. ID 250. Approved by the Scientific and Practical Council of the Ministry of Health of the Russian Federation. 2021. Available from: https://cr.minzdrav.gov.ru/schema/250 (In Russ)
- Bullock J, Rizvi SA, Saleh AM, et al. Rheumatoid Arthritis: A Brief Overview of the Treatment. Medical Principles and Practice. 2018;27(6):501–507. doi: 10.1159/000493390
- who.int [Internet]. World Health Organization [cited 6 September 2023]. Available from: https://www.who.int
- Kay J, Upchurch KS. ACR/EULAR 2010 rheumatoid arthritis classification criteria. Rheumatology. 2012;51 Suppl. 6:vi5–vi9. doi: 10.1093/rheumatology/kes279
- Narvaez JA, Narváez J, De Lama E, et al. MR Imaging of Early Rheumatoid Arthritis. RadioGraphics. 2010;30(1):143–163. doi: 10.1148/rg.301095089
- Edison MN, Caram A, Flores M, et al. Rice Body Formation Within a Peri-Articular Shoulder Mass. Cureus. 2016;8(8):e718. doi: 10.7759/cureus.718
- Forse CL, Mucha BL, Santos MLZ., et al. Rice body formation without rheumatic disease or tuberculosis infection: a case report and literature review. Clinical Rheumatology. 2012;31(12):1753–1756. doi: 10.1007/s10067-012-2063-8
- Narváez JA, Narváez J, Roca Y, et al. MR imaging assessment of clinical problems in rheumatoid arthritis. European Radiology. 2002;12(7):1819–1828. doi: 10.1007/s00330-001-1207-z
- Griffith JF, Peh WCG, Evans NS, et al. Multiple rice body formation in chronic subacromial/subdeltoid bursitis: MR appearances. Clinical Radiology. 1996;51(7):511–514. doi: 10.1016/s0009-9260(96)80193-0
- Kataria RK, Chaiamnuay S, Jacobson LD, et al. Subacromial bursitis with rice bodies as the presenting manifestation of rheumatoid arthritis. The Journal of rheumatology. 2003;30(6):1354–1355.
- Popert AJ, Scott DL, Wainwright AC, et al. Frequency of occurrence, mode of development, and significance or rice bodies in rheumatoid joints. Annals of the Rheumatic Diseases. 1982;41(2):109–117. doi: 10.1136/ard.41.2.109
- Reid HS, McNally E, Carr A. Soft tissue mass around the shoulder. Annals of the Rheumatic Diseases. 1998;57(1):6–8. doi: 10.1136/ard.57.1.6
Supplementary files










