Magnetic resonance imaging in the evaluation of pectus excavatum
- Authors: Muzafarova G.S.1, Vishnyakova M.V.1, Abramenko A.S.1, Kuzmichev V.A.1, Gatsutsyn V.V.1
-
Affiliations:
- Moscow Regional Research and Clinical Institute
- Issue: Vol 5, No 2 (2024)
- Pages: 167-177
- Section: Original Study Articles
- Submitted: 07.08.2023
- Accepted: 22.03.2024
- Published: 20.09.2024
- URL: https://jdigitaldiagnostics.com/DD/article/view/568087
- DOI: https://doi.org/10.17816/DD568087
- ID: 568087
Cite item
Abstract
BACKGROUND: Magnetic resonance imaging is more often used to confirm the presence of pectus excavatum and assess compression changes in the heart at this level.
AIM: To evaluate pectus excavatum preoperatively according to magnetic resonance imaging findings.
MATERIALS AND METHODS: A retrospective evaluation of chest magnetic resonance imaging data of 38 patients (male, n=30; female, n=8) was performed. The average age was 19.9 years (±9 years).Cardiac magnetic resonance imaging was performed on a 1.5-T General Electric Optima MR450w GEM scanner with 2D-FIESTA-C pulse sequences, as well as functional assessment of the left and right ventricles. Parameters for surgical treatment of pectus excavatum were as follows: the Haller index, correction index, and sternum rotation angle. Statistical analysis of the relationship between the Haller index, correction index, and sternum rotation angle and ejection fraction of the right ventricle was conducted. A p-value <0.05 was considered significant.
RESULTS: Moderate and severe pectus excavatum were found in 92% of the cases. No significant Pearson correlation was obtained between the Haller index and right ventricular ejection fraction (inspiratory and expiratory ejection fraction, p=0.777 and 0.798, respectively). The mean right ventricular ejection fraction was 46%. A correlation was noted between the Haller index and the correction index (p <0.05). The rotation angle of the sternum, which required modification of surgical intervention, was detected in 44.7% of patients.
CONCLUSION: Magnetic resonance imaging is an informative diagnostic method for pectus excavatum pectus excavatum without radiation exposure and enables detailed preoperative assessment. A correlation was noted between the Haller index and the correction index (p <0.05). Magnetic resonance imaging revealed a decrease in the ejection fraction of the right ventricle.
Full Text
BACKGROUND
Pectus excavatum (PE) is a prevalent developmental chest wall deformity affecting 1:300–1:1,000 newborns, with clinical manifestations most commonly observed at 10–12 years of age and during puberty [1, 2].
The sternum and anterior ribs “sink” into the thorax in PE, resulting in a depression of varying depth and shape. The chest wall deformity is believed to be the result of aberrant rib cartilage development, which causes progressive displacement of the sternum due to their excessive growth. The attachment of ribs 6 and 7 to the sternum is where the most substantial alterations are observed. Pectus carinatum, a protrusion chest deformity also known as “keel chest,” is diagnosed when the sternum is displaced forward. “PE,” or “funnel chest” deformity, is diagnosed when the sternum is displaced inward [2].
In addition to cosmetic defects, PE is linked to displacement of mediastinal organs and structures and compression of lung tissue, which can impact heart and lung function and reduce physical activity [3–6].
Due to its accessibility and speed, computed tomography (CT) is widely employed to evaluate the degree of deformity and the position of the mediastinal organs in relation to the deformed chest wall [3].
Magnetic resonance imaging (MRI) is also used to verify the presence of a deformity and evaluate possible compression of the heart [3]. MRI does not involve radiation exposure and offers comparable diagnostic information regarding the sternum and ribs to CT. Nevertheless, there are only a limited number of sources that provide comprehensive information regarding the informative value of MRI in evaluating the parameters required for surgical planning [4].
Given the significance of establishing the appropriate indications for the surgical treatment of PE, the severity of this malformation is assessed using several parameters, including the Haller index, the correction index, and the sternal rotation angle.
The Haller index is determined using axial scanning. This index is calculated by dividing the transverse diameter of the chest wall (the maximum distance between the inner surfaces of the ribs) by the anteroposterior diameter of the chest (the distance between the posterior aspect of the sternum and the anterior aspect of the vertebra) [7]. In PE, the anteroposterior diameter decreases because of the depression of the sternocostal complex, which causes the Haller index to increase [8]. The Haller index is classified as follows:
- Normal: <2.0
- Mild PE: 2.0–3.2
- Moderate PE: 3.2–3.5
- Severe PE: >3.5
Surgical treatment of PE is indicated when the Haller index exceeds 3.25.
The correction index is defined as the ratio of the expected increase in thoracic deformity of the corrected sternum (as reflected by the formula calculating the difference between the maximum size and the available minimum size) to the maximum anterior and posterior internal chest size, expressed as a percentage. The correction index has been used to guide the treatment of PE patients only recently [9].
The sternal rotation angle is a critical parameter in PE patients, as understanding the severity and direction of the angle is required for appropriate subsequent surgical planning [10].
STUDY AIM
To construct a targeted evaluation of PE parameters using MRI.
MATERIALS AND METHODS
Study Design
This single-center retrospective study evaluated heart and chest findings in 38 patients.
Eligibility Criteria
Inclusion criteria:
- Examination for PE
- Available heart and chest MRI scans
- Signed informed consent form
Exclusion criteria:
- Electronic pacemaker, metal elements inside body
- Claustrophobia
- Inadequate patient behavior
Description of Medical Intervention
Heart MRI was performed as part of the preoperative evaluation employing a General Electric Optima MR450w GEM 1.5 T scanner (GE Healthcare, USA) with 2D-FIESTA-C pulse sequences. A functional evaluation of the left and right ventricular myocardium was incorporated into the electrocardiographic synchronization protocol. The functional examination used standard sequences to acquire cine images of the heart (balanced gradient echo) in standard cardiac axes (long 2- and 4-chamber, short 2-chamber axes). The right ventricular ejection fraction was determined in a semiautomatic mode (with manual adjustment of the values obtained) during inspiration and expiration.
Haller index, correction index, and sternal rotation angle were also evaluated as parameters necessary for the further surgical management of patients with PE during the cardiac function assessment.
Ethical Review
The heart MRI was conducted as part of the preoperative evaluation in response to the request of clinicians. Therefore, no ethical review was performed during the retrospective evaluation of the studies conducted.
Statistical Analysis
The sample size required for the study was not precalculated. The mean values and standard deviations of the measured parameters were calculated for the statistical analysis of the data obtained. The Shapiro–Wilk test was used to determine the normality of distribution of the quantitative parameters. Pearson correlation coefficient and Spearman’s rank correlation coefficient were used to evaluate the correlation between the quantitative characteristics. The P-value, along with the 95% confidence interval limits and correlation coefficients, were reported. A two-sided significance level was estimated. A P-value of <0.05 was considered to be statistically significant. The GraphPad Prism 9 (GraphPad Software, USA) was employed for the analysis.
RESULTS
Study Subjects
This retrospective study analyzed the heart and chest MRI data of 38 patients (30 males, 8 females). The mean age was 19.9 years (±9 years).
Haller Index
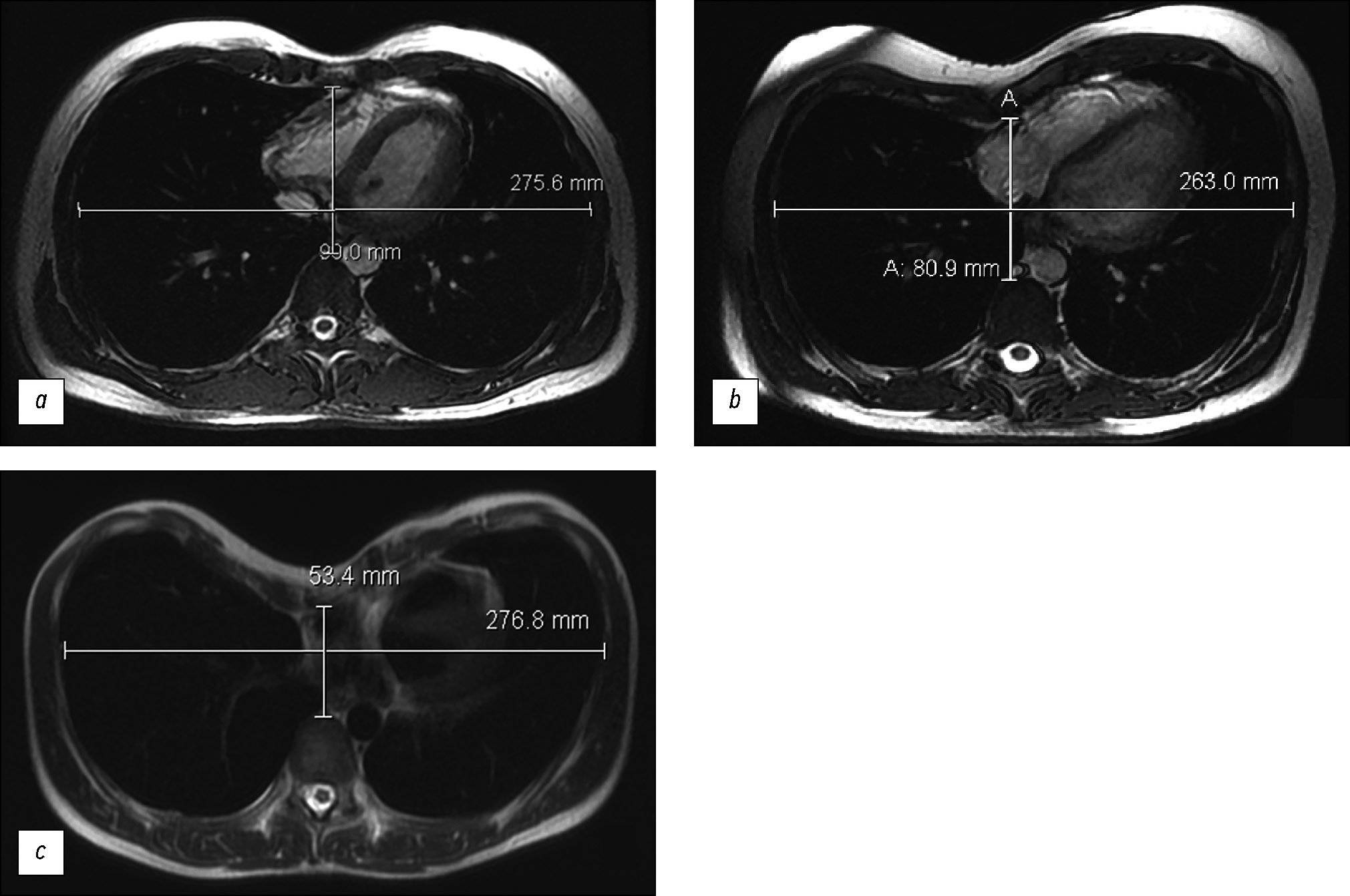
Patients were divided into three subgroups based on the Haller index (Fig. 1, Table 1). Mild PE patients did not require further surgery. The surgery was performed for patients with moderate to severe chest wall deformities.
Fig. 1. Chest magnetic resonance imaging at the level of maximum deformity; (a) the Haller index of 3.1; (b) the Haller index of 3.3; (c) the Haller index of 5.2.
Table 1. Patient distribution based on the Haller index
Pectus excavatum | |||
Mild | Moderate | Severe | |
Number of patients | 3 | 6 | 29 |
The mean Haller index | 2.8 | 3.3 | 5.1 |
The standard deviation for the Haller index | 0.4 | 0.1 | 1.8 |
When assessing the correlation between the Haller index and the right ventricular ejection fraction, no statistically significant Pearson correlation was observed (P = 0.777 for inspiratory ejection fraction and P = 0.798 for expiratory ejection fraction) (Fig. 2, Table 2). The mean right ventricular ejection fraction was 46%.
Fig. 2. Correlation data for the study parameters. RVEF, right ventricular ejection fraction.
Table 2. Correlation between variables (the Haller index, sternal rotation angle) and the right ventricle ejection fraction on inspiration and expiration
Variable | Correction index | Right ventricular ejection fraction | |
Inspiration | Expiration | ||
Sternal rotation angle | R=0.19 p = 0.255 | R=0.18 p = 0.306 | R=0 p = 0.99 |
Haller index | R=0.7 p < 0.001 | R=–0.05 p = 0.777 | R=–0.04 p = 0.798 |
There was no statistically significant association between the Haller index and the sternal rotation angle (P = 0.9489).
Correction Index
The mean correction index in this study was 31.5 (±11) (Fig. 3). The correction index increased in tandem with the Haller index (the degree of chest wall deformity), as indicated by the statistical analysis P < 0.05 (Fig. 4). For instance, the mean correction index was 13, 24, and 35 in patients with mild, moderate, and severe PE, respectively.
Fig. 3. Chest magnetic resonance imaging at the level of maximum deformity; (a) the correction index of 7%; (b) the correction index of 32%.
Fig. 4. Correlation data for the Haller index and the correction index (P < 0.05).
No statistically significant association was detected between the sternal rotation angle and the correction index (P = 0.35) as well as between the correction index and the right ventricular ejection fraction (P = 0.1).
Sternal Rotation Angle
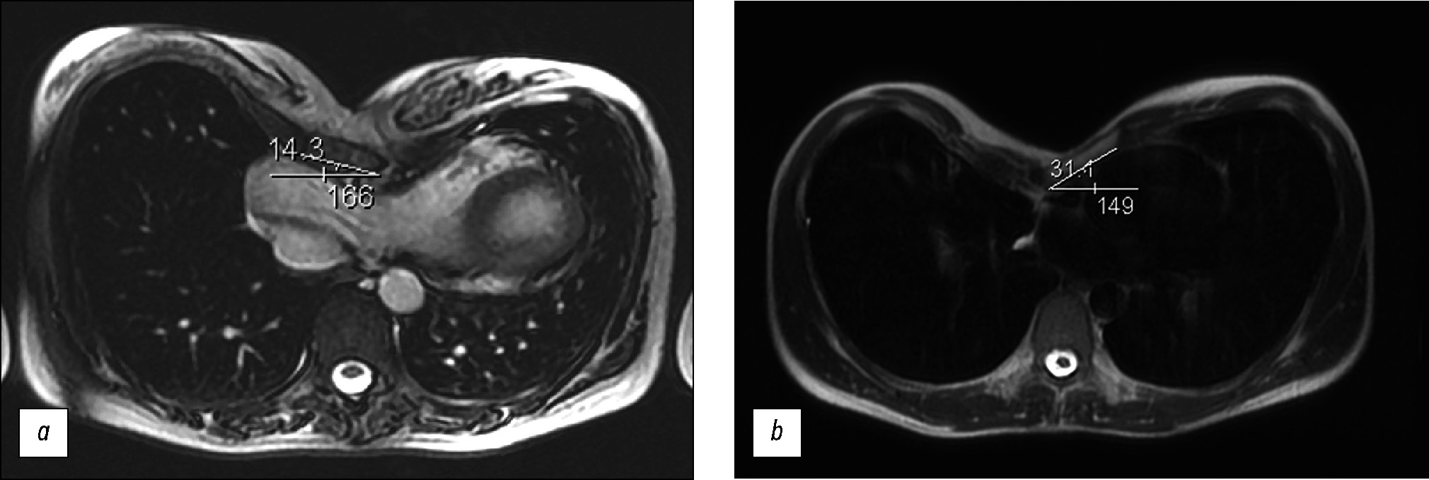
The sternal rotation angle is a crucial factor in planning the treatment strategy (Fig. 5).
Fig. 5. Chest magnetic resonance imaging at the level of maximum deformity; (a) the sternal angle rotation of 14.3°; (b) the sternal angle rotation of 31.1°.
An angle of ≥150° was considered significant for surgery and was reported in 44.7% of the total number of patients (Table 3). This position of the sternum required a unique oblique positioning of the sternal plate. The plate was positioned “toward” the acute sternal angle in preparation for subsequent rotation. Consequently, the sternal plate was transferred from the upper intercostal space on the right to the lower intercostal space on the left by traversing the apex of the deformity with sternal rotation when the acute angle expanded to the right (Fig. 6a). This occurred in 86% of all sternal rotation cases. In the case of the acute angle expanded to the left (14% of all cases), the sternal plate was accessed from the lower intercostal space on the right, through the apex of the deformity to the higher intercostal space on the left (Fig. 6b).
Table 3. Patient distribution based on the sternal rotation angle
Sternal rotation angle <15° | |
Number of patients | 21 |
The mean angle | 10° |
Sternal rotation angle >15° | |
Number of patients | 17 |
The mean angle | 26° |
Fig. 6. Frontal chest X-ray following pectus excavatum treatment. Plates positioned if the angle opens: (a) right; (b) left.
DISCUSSION
Conventionally, CT has been widely employed for diagnosing PE and evaluating diverse parameters due to its accessibility [11]. Radiation exposure is a clear limitation of chest CT; consequently, scanning protocols have been altered in recent years to mitigate this concern [12].
MRI is less frequently used to diagnose PE and is more time-consuming. However, it has the advantage of not exposing the patient to radiation and enables evaluation of compressive changes in the heart.
Several different indices are described in the literature to evaluate PE. The Haller index is one of the most used indices to identify patients requiring surgical treatment of the deformity. The threshold value for surgery is 3.25. However, some studies have recently demonstrated potential problems associated with the exclusive use of the Haller index for surgical planning. For example, the Haller index does not correlate with age, other parameters of surgical treatment, or potential postoperative complications [13]. Furthermore, a separate study of the Haller index revealed that 48% of the Haller index numerical values for PE patients and controls overlapped [9].
Such data indicates the need to standardize data and devise additional preoperative and postoperative indices [9, 13, 14]. The correction index is one of these parameters; surgery is indicated when it is >28%, provided it correlates with the Haller index [15]. The correction index can also be utilized to compare postoperative outcomes.
In our study, the Haller index, the correction index, and the sternal rotation angle are consistent with the clinical status of the patients and the previous studies on the preoperative evaluation of chest wall deformities using CT and MRI [16, 17].
The mean right ventricular ejection fraction in patients with PE was decreased to 46% in our study. Such findings align with research data reporting the diminished right ventricular ejection fraction in patients with chest wall deformities [18–20]. However, statistical analysis did not reveal a correlation between the numerical values of the Haller index and ejection fraction. This may be attributed to the uneven distribution of patients based on the severity of their deformity and requires further study.
Study Limitations
Our study is limited by its retrospective nature, a relatively small patient sample size, an imbalanced distribution of patients by progression of changes, and the absence of a comparison with chest CT as the gold standard.
CONCLUSION
Our study revealed that MRI is a highly informative diagnostic tool for PE that does not expose patients to radiation and provides a comprehensive preoperative assessment of abnormalities.
The Haller index and the correction index were found to be correlated (P < 0.05).
Our study demonstrated the decreased right ventricular ejection fractions in PE patients. Nevertheless, no correlation was detected between this parameter and the Haller index, and this may be attributed to the study limitations.
ADDITIONAL INFORMATION
Funding source. This study was not supported by any external sources of funding.
Competing interests. The authors declare that they have no competing interests.
Authors’ contribution. All authors made a substantial contribution to the conception of the work, acquisition, analysis, interpretation of data for the work, drafting and revising the work, final approval of the version to be published and agree to be accountable for all aspects of the work. M.V. Vishnyakova — study concept and design, text editing; G.S. Muzafarova — writing text, collecting and processing materials; A.S. Abramenko — collection and processing of materials; V.A. Kuzmichev, V.V Gatsutsyn — research concept, text editing.
About the authors
Gulishe S. Muzafarova
Moscow Regional Research and Clinical Institute
Email: gms0495@mail.ru
ORCID iD: 0000-0003-0940-3247
SPIN-code: 2950-5431
Russian Federation, Moscow
Marina V. Vishnyakova
Moscow Regional Research and Clinical Institute
Author for correspondence.
Email: cherridra@mail.ru
ORCID iD: 0000-0003-3838-636X
SPIN-code: 1137-2991
MD, Dr. Sci. (Medicine)
Russian Federation, MoscowAlexander S. Abramenko
Moscow Regional Research and Clinical Institute
Email: a.s.abramenko@gmail.com
ORCID iD: 0000-0002-6286-2162
SPIN-code: 9743-3001
Russian Federation, Moscow
Vladimir A. Kuzmichev
Moscow Regional Research and Clinical Institute
Email: vakuzmichev@gmail.ru
ORCID iD: 0000-0001-6493-8012
SPIN-code: 8345-5298
MD, Cand. Sci. (Medicine), Professor
Russian Federation, MoscowVladimir V. Gatsutsyn
Moscow Regional Research and Clinical Institute
Email: vg86@list.ru
ORCID iD: 0000-0002-2364-5325
SPIN-code: 1431-4417
Russian Federation, Moscow
References
- Pechetov AA, Esakov JuS, Gubajdullina GF, Makov MA, Hlan’ TN. Differetial approach for chest wall reconstruction for pectus excavatum for adult. N.I. Pirogov Journal of Surgery. 2017;(7):24–29. doi: 10.17116/hirurgia2017724-29
- Fokin АА, Steuerwald NM, Ahrens WA, Allen KE. Anatomical, histologic, and genetic characteristics of congenital chest wall deformities. Seminars in Thoracic and Cardiovascular Surgery. 2009;21(1):44–57. doi: 10.1053/j.semtcvs.2009.03.001
- Scalise PN, Demehri FR. The management of pectus excavatum in pediatric patients: a narrative review. Transl Pediatr. 2023;12(2):208–220. doi: 10.21037/tp-22-361
- Trò R, Martini S, Stagnaro N, et al. A new tool for assessing Pectus Excavatum by a semi-automatic image processing pipeline calculating the classical severity indexes and a new marker: the Volumetric Correction Index. BMC Med Imaging. 2022. doi: 10.1186/s12880-022-00754-0
- Andreyev PS, Skvortsov AP, Tsoy IV, et al. Treatment of funnel breast in children and adolescents. Practical medicine. 2021;19(4):138–141. doi: 10.32000/2072-1757-2021-4-138-141
- Andreev PS, Skvortsov AР, Khabibyanov RYa, Maleev MV. Our experience in surgical treatment of penetral chest deformation. Annali d’Italia. 2023;(41):53–57. doi: 10.5281/zenodo.7774296
- Haller JA Jr, Kramer SS, Lietman SA, et al. Use of CT scans in selection of patients for pectus excavatum surgery: a preliminary report. J Pediatr Surg. 1987;22(10):904–906. doi: 10.1016/s0022-3468(87)80585-7
- Sidden CR, Katz ME, Swoveland BC, Nuss D. Radiologic considerations in patients undergoing the Nuss procedure for correction of pectus excavatum. Pediatric Radiology. 2001;31(6):429–434. doi: 10.1007/s002470100455
- St. Peter SD, Juang D, Garey CL, et al. A novel measure for pectus excavatum: the correction index. Journal of Pediatric Surgery. 2011;46(12):2270–2273. doi: 10.1016/j.jpedsurg.2011.09.009
- Tauchi R, Suzuki Y, Tsuji T, et al. Clinical Characteristics and Thoracic factors in patients with Idiopathic and Syndromic Scoliosis Associated with Pectus Excavatum. Spine Surg Relat Res. 2018;2(1):37–41. doi: 10.22603/ssrr.2017-0027
- Shamsiev AM, Shamsiev ZhA, Turaev JuA, Mutalibov AI, Burgutov MZh. The role of functional studies of the cardiorespiratory system with funnel chest deformity. Journal Problems of Biology and Medicine. 2017;1(93):9–14.
- Peng R, Mardakhaev E, Shmukler A, Levsky JM, Haramati LB. Meeting ACR Dose Guidelines for CT Lung Cancer Screening in an Overweight and Obese Population. Acad Radiol. 2021;28(3):381–386. doi: 10.1016/j.acra.2020.02.009
- Mortellaro VE, Iqbal CW, Fike FB, et al. The predictive value of Haller index in patients undergoing pectus bar repair for pectus excavatum. J Surg Res. 2011;170(1):104–106. doi: 10.1016/j.jss.2011.02.014
- Karakılıç A, Karaçam V, Ersöz H, et al. Determination of severity of deformity with rib length to costal cartilage length ratio in thorax deformities. Turk Gogus Kalp Damar Cerrahisi Derg. 2018;26(2):279–285. doi: 10.5606/tgkdc.dergisi.2018.15009
- Poston PM, Patel SS, Rajput M, et al. The correction index: setting the standard for recommending operative repair of pectus excavatum. Ann Thorac Surg. 2014;97(4):1176–1180. doi: 10.1016/j.athoracsur.2013.12.050
- Marcovici PA, LoSasso BE, Kruk P, Dwek JR. MRI for the evaluation of pectus excavatum. Pediatric Radiology. 2011;41:757–758. doi: 10.1007/s00247-011-2031-5
- Lollert A, Funk J, Tietze N, et al. Morphologic assessment of thoracic deformities for the preoperative evaluation of pectus excavatum by magnetic resonance imaging. European Radiology. 2015;25:785–791. doi: 10.1007/s00330-014-3450-0
- Dore M, Triana JP, Bret M, et al. Advantages of Cardiac Magnetic Resonance Imaging for Severe Pectus Excavatum Assessment in Children. Eur J Pediatr Surg. 2018;28(1):34–38. doi: 10.1055/s-0037-1604427
- Saleh RS, Finn JP, Fenchel M, et al. Cardiovascular magnetic resonance in patients with pectus excavatum compared with normal controls. J Cardiovasc Magn Reson. 2010;12(1). doi: 10.1186/1532-429X-12-73
- Stagnaro N, Trocchio G, Torre M, et al. Cardiovascular MRI assessment of pectus excavatum in pediatric patients and postoperative simulation using vacuum bell. J Pediatr Surg. 2021;56(9):1600–1605. doi: 10.1016/j.jpedsurg.2020.11.017
Supplementary files













