Radiation diagnostics of cerebral cavernous malformations
- Authors: Girya E.N.1, Sinitsyn V.E.2, Tokarev A.S.1,3
-
Affiliations:
- Sklifosovsky Research Institute for Emergency Medicine
- Lomonosov Moscow State University
- Moscow Health Department
- Issue: Vol 2, No 1 (2021)
- Pages: 39-48
- Section: Systematic reviews
- Submitted: 12.02.2021
- Accepted: 25.03.2021
- Published: 30.04.2021
- URL: https://jdigitaldiagnostics.com/DD/article/view/60300
- DOI: https://doi.org/10.17816/DD60300
- ID: 60300
Cite item
Abstract
Cerebral cavernous malformations are a fairly common vascular pathology at the moment, with the number of detected cases increasing dramatically in recent years. This is because modern neuroimaging methods such as computed tomography (CT) and magnetic resonance imaging (MRI) have been introduced into clinical practice and are widely available. Prior to the advent of CT and MRI technologies, it was extremely difficult to diagnose this pathology, and the diagnosis was usually made intraoperatively or based on autopsy data. Further, the literature review is devoted to the radiological diagnosis of cerebral cavernous malformations (CM). The role of neuroimaging methods in the diagnosis of cavernous malformations, as well as the use of MRI for CM visualization, was analyzed. The advantages of MRI over other neuroimaging methods for this pathology have been demonstrated. Pulse sequences of MRI and signaling characteristics of various foci were characterized, depending on the morphological substrate. The significance of the susceptibility-weighted imaging sequence was also evaluated for the detection of multifocal lesions in cases of familial CM. The study of the main pulse sequences of MRI for visualization of CM will improve the protocol algorithm for the timely diagnosis of this pathology and the selection of therapeutic approach.
Full Text
BACKGROUND
Cavernous malformations (CMs) are vascular lesions of the brain and spinal cord; they have a low blood flow and consist of caverns with an endothelial lining [1–4]. They are also known as cavernous angiomas, cavernous hemangiomas, hidden vascular malformations, or cavernomas. They are found commonly in the supra- and infratentorial regions of the brain but less often in the spinal cord [5–8]. Such formations are the second-most common vascular malformations in the central nervous system after the development of venous anomalies [9–11]. The exact frequency and prevalence of CMs are unknown because the symptoms of these lesions do not manifest clinically in most cases; their diagnosis also requires neuroimaging techniques, which are usually used when they are clinically indicated. Despite the benign course of this disease, CMs can cause epileptic seizures and serious neurological deficits.
DEVELOPMENT OF NEUROVISUALIZATION METHODS FOR DIAGNOSING CAVERNOUS MALFORMATIONS
Conventional radiography of the skull was first used to diagnose CMs in 1969 [12]. In skull radiographs, granular or gross macroscopic calcifications can be detected in about 7%–40% of cases. However, this method is insensitive and nonspecific in relation to CM detection.
Modern neuroimaging methods play a decisive role in the diagnosis, monitoring, and evaluation of the results of CM treatment. Before the advent of computed tomography (CT) and magnetic resonance imaging (MRI) tomography, detecting CM was difficult, so pathology was diagnosed during surgery. X-ray analysis and radionuclide scanning of the skull are also insensitive and nonspecific methods of CM detection.
With the development of CT, the sensitivity of diagnosis has significantly increased, thereby contributing to the first successful assessment of the incidence of CM [13]. Early studies reported that CMs can be fully detected via CT, with 100% detection [14, 15]. However, the resolution levels of scanners were limited to detecting small and relatively large foci [16].
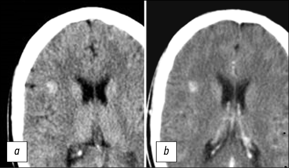
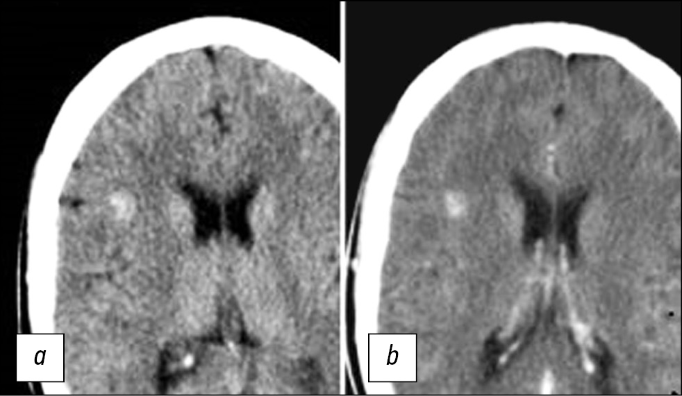
As the only method for detecting CM, CT can be applied to diagnose foci only in 30%–50% of cases. CT images usually show hyperdensive lesions and less often mixed hyper- and isodensive lesions (Fig. 1) [17]. CT can also detect signs of lesion calcification.
Fig. 1. CT sections of the brain in the axial view performed before (a) and after contrast agent administration (b). The images show a hyperdensive focus in the right frontal lobe, without clear contours, and without contrast uptake.
With the introduction of a contrast agent, the definition of CM contours has improved, and sensitivity in detecting isodensive foci has increased. Some researchers [18] suggested the following signs of CM based on CT results: round shape, clearly defined edge, uneven density, absence of surrounding edema, and mass effect (in the absence of intracerebral hemorrhage). However, CT results in the diagnosis of CM are nonspecific. Thus, the differentiation of CM and partially calcified avascular gliomas is a significant problem.
Since the introduction of CT, the frequency of CM detection has increased significantly; as a result, a fundamental question on the appropriate therapeutic approach for the obtained lesion has been raised.
Cerebral angiography for detecting CMs remains difficult. Nevertheless, with this method, the presence of small feeding vessels, a decrease in the blood circulation rate, and the presence of thrombi in the vascular spaces of CMs can be detected. A. Jonutis et al. [19] presented the first case of CM detection as an angiographic anomaly
Early reports on the use of this method described the signs of the presence of avascular mass lesions with the displacement of adjacent vessels but without pathological vasculature [20, 21]. The most common angiographic sign of CM is the presence of displaced avascular areas. Despite the progress of angiographic methods in recent decades, CMs cannot be detected in about 20%–85% of cases. Therefore, the effectiveness of this approach is limited.
With the introduction of MRI into clinical practice, the frequency of detection of this pathology has increased significantly. It requires an in-depth understanding of various aspects of the natural course of CM to develop ideas on the optimal tactics and timing of the treatment of such lesions.
As a sensitive method for detecting CM, MRI is less specific in the diagnosis of vascular malformations of the central nervous system. In such cases, angiography can be applied to exclude other lesions, particularly arteriovenous and venous malformations.
USE OF MAGNETIC RESONANCE IMAGING FOR THE VISUALIZATION OF CAVERNOUS MALFORMATION
In 1987, D. Rigamonti et al. [16] demonstrated that MRI at a magnetic field level of 1.5 T is the most sensitive and specific method for detecting CM. Since then, this method has been used for the diagnosis of CM. T2-weighted (T2–WI) imaging is 100% sensitive to CM, whereas T1-weighted images (T1–WI) are significantly less sensitive.
Hemosiderin deposits in and around the CM are considered a typical sign of repeated subclinical hemorrhages or erythrocyte lysis; they provide magnetic susceptibility to this pathological lesion, especially at a high-magnetic-field strength. The heterogeneity of the magnetic field in the presence of hemosiderin also contributes to the differentiation of blood flow and the effects of hemosiderin in CMs (Fig. 2) [16, 17].
Fig. 2. MR images of the brain in the axial view in the T1–WI (a, c), T2–WI (b), and T2*GRE (d) modes demonstrate a more detailed visualization of the CM structure (the same case as in Fig. 1). The images show a focal lesion of a characteristic cellular structure with a hypointensive peripheral signal on T2–WI. The T2*GRE sequence emphasizes the florid effect of hemosiderin.
MRI findings are consistent with histologically confirmed CM findings with an acceptable reliability. MRI has been considered the preferred diagnostic method in terms of identifying and characterizing CMs.
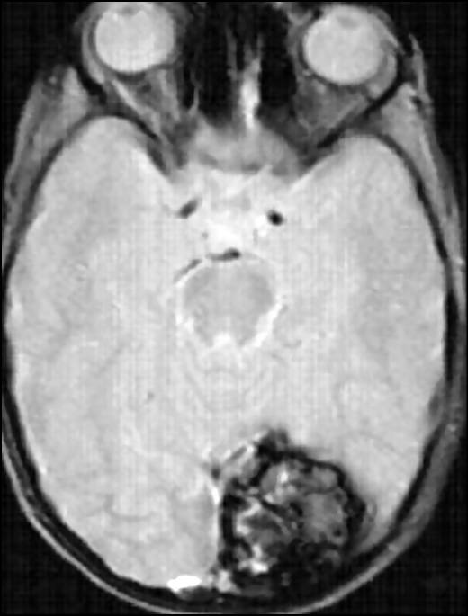
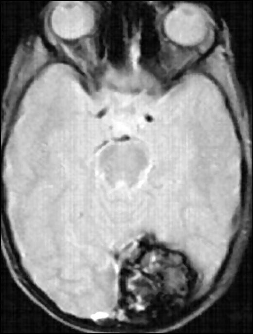
The combination of a reduced signal rim with a reticular nucleus of mixed hyper- and hypointensity on T2–WI with a high probability is a diagnostic sign of CM. For smaller CM lesions, a point area of hypointensity is assessed on T2–WI. Vasogenic edema accompanies lesions in perifocal regions, which are indicated by an increased signal intensity on T2–WI, and the mass effect usually does not appear even with a sufficiently large lesion if no relatively recent bleeding has occurred (Fig. 3) [17, 22].
Fig. 3. T2*GRE image in the axial view shows a large cavernous angioma in the left occipital lobe. Despite the significant size of the lesion, no perifocal edema and mass effect on the surrounding structures are found.
In CMs, a sign of a hyperintensive signal around the lesion is described on T1 images. T. J. Yun et al. [23] considered that this signal variant is associated with the release of erythrocytes and plasma into the perivascular space during edema formation. A hyperintensive signal around lesions on T1–WI is more common in CMs associated with recent clinically significant hemorrhage; in such cases, this sign is highly specific and prognostically significant for CM diagnosis.
Contrast-enhanced MRI in CM diagnosis may be useful in terms of identifying other lesions, such as neoplasms, arteriovenous malformations, or concomitant venous anomalies [21]. D. Rigamonti et al.[16] established a relationship between venous anomalies and in 1988. Subsequently, the association of these lesions is registered in almost 1/3 of cases of CMs [21]. However, this symptom is detected exclusively in sporadic but not familial forms of pathology [24].
J. Zabramski et al. [25] proposed a classification system that provides four different categories of CMs based on the correlation of MRI results by using the spin echo (SE) and gradient echo (GRE) sequences with histopathological examination data.
According to this classification, the following types are described:
- Type I foci are characterized by a hyperintensive nucleus on T1-weighted images and a hypo- or hyperintensive nucleus on T2-weighted images depending on the intracellular or extracellular stage of methemoglobin. CMs are characterized and complicated by acute and subacute hemorrhages.
- Type II lesions are characterized by manifestations currently considered the pathognomonic MRI signs of CM and have a reticular nucleus with a mixed signal intensity on T2–WI with the surrounding hypointensive ring, which is believed to be correlated with areas of ongoing thrombosis and the presence of hemorrhages of various ages.
- Type III foci are characterized by the pronounced hypointensity on T2-weighted images and an increase in the value of hypointensity when GRE sequences are used, with iso- or hypointensity observed in T1-weighted images. They reflect the signs of chronic hemorrhage with residual hemosiderin in and around the lesions.
- Type IV lesions are less characterized, and their origin is not entirely clear. They are poorly visualized using conventional SE sequences. These lesions appear as small punctate hypointensive lesions when GRE sequences are used. They are thought to reflect small hemosiderin deposits in either small CMs or possibly capillary telangiectasias.
The clinical relevance of MR classification of these lesions remains controversial, although J. Zabramski et al. [25] indicated that the clinical severity of CM manifestations may be associated with their reflection on MRI. In patients with signs of type I or II CM, this disease is almost always accompanied with an exacerbating condition. In the presence of type III or IV foci, symptoms appear only in 1/3 of patients. The exacerbation of CM symptoms is more often associated with type I foci.
In 1999, M. Essig et al. [26] proposed an MRI technique involving three-dimensional GRE known as susceptibility-weighted imaging (SWI). This type of sequence can be used to detect CMs based on the effects of the blood oxygen-dependent phase between venous blood and the surrounding cerebral parenchyma. With these characteristics, small venous vessels with a low blood flow velocity can be detected at submillimeter resolution. Thus, CM, capillary telangiectasias, and venous anomalies can be differentiated without the need for contrast enhancement.
B. Lee et al. [27] identified additional lesions in 2 out of 10 cases, which are not obvious on T2*GRE images, by using SWI.
Subsequent studies have also demonstrated that the sensitivity of SWI in detecting multifocal familial CM is higher than that of T2*GRE [28–30].
The superiority of SWI to T2*GRE imaging in detecting sporadic CM is less obvious. N.M. de Champfleur et al. [31] reported no differences in sensitivity when they used these sequences for the diagnosis of CM. H.T. Bulut et al. [30] proposed to include type V foci in the classification of J. Zabramski et al. [25] to characterize lesions detectable on SWI images but not on T2*GRE.
The advantage of SWI is generally found in the detection of CM and telangiectasias in the absence of signs of overt hemorrhage [32]. However, the size of foci is often overestimated because of a significant susceptibility artifact in the presence of paramagnetic hemosiderin in chronic stasis or previous bleeding in SWI image analysis [31].
Thus, correlation with conventional SE sequences can be used to delineate anatomical details in the resulting images more accurately. K. Pinker et al. [33] demonstrated the possibility of using high-resolution SWI at 3 T to identify the intrafocal tubular structures of CMs, which correspond to vascular canals in hyaline collagen revealed during postmortem examination.
SWI sequences can be used to determine the dynamics of CMs and assess whether they are increasing in number and size or the detected new lesions are subsequently bleeding from previously unrecognized small CMs.
In general, T2*GRE sequences can be utilized to reveal the “blooming” effect of hemosiderin and increase the sensitivity of CM detection. SWI sequences, especially with a magnetic field level of 3 T, can be used to identify multifocal lesions in the case of familial CMs that cannot be identified with T2*GRE images (Fig. 4) [27]. With such approaches, the diagnostic capabilities of MRI significantly increase.
Fig. 4. MR images of the brain in the axial view in the T2*GRE (A) and SWI (B) modes. SWI images can reveal additional CM lesions not visible in the T2*GRE.
CM with hemorrhagic microangiopathy or cerebral microbleeds, especially in the presence of age-related changes in the brain, can be differentially diagnosed by increasing the sensitivity of methods. In some cases, such as metastases of malignant tumors, differential diagnosis is also feasible. MRI can be applied to perform functional imaging of the primary sensorimotor, speech, and visual areas of the cortex and assess the state of brain structures through diffusion tensor imaging technologies; in turn, these technologies improve the planning of surgical interventions [34].
New MRI options have been proposed for quantitative susceptibility mapping and dynamic contrast-enhanced quantitative perfusion, which have been developed to measure iron deposition and vascular permeability in CM. The latter indicators are considered potential biomarkers of a disease activity.
CONCLUSION
CMs are cerebral vascular neoplasms whose development mechanism is based on vascular proliferation, dysmorphism, and hemorrhagic angiopathy. This disease is characterized by iron deposits in the structure of the cavernoma and perifocal substance of the brain. It often leads to manifestations of epileptogenesis in lesions. However, improving the methods of the diagnosis and treatment of this disease is a multidisciplinary problem.
The analysis of literature data shows that MRI is the preferred method for diagnosing CM because of its high sensitivity and specificity. The validity of MRI is insufficient to assess the results of modern CM treatment methods, such as stereotaxic radiosurgical treatment and proton therapy. However, studies have yet to provide the diagnostic characteristics of the MRI protocols used in the treatment of CMs. A generally accepted algorithm for the use of MRI protocols has yet to be developed to evaluate the results at various times after the stereotactic radiosurgical treatment of CM.
An in-depth study on this issue and its introduction into practice of optimal MRI protocols will help identify the radiological features of irradiated CMs, which can positively influence the choice of therapeutic approaches for patients with cerebral CM.
ADDITIONAL INFORMATION
Funding source. This study was not supported by any external sources of funding.
Competing interests. The authors declare that they have no competing interests.
Author contribution. E.N. Girya searched for publications on the topic, analyzed the literature, and wrote the text; A.S. Tokarev determined the main focus of the review, assessed the literature review, and processed the results obtained; V.E. Sinitsyn evaluated the literature review, processed the obtained results, and systematized and conducted the final editing of the review. All the authors made a substantial contribution to the conception of the work, acquisition, analysis, data interpretation, draft preparation and revision, final approval of the version to be published, and agreement to be accountable for all aspects of the work.
About the authors
Elena N. Girya
Sklifosovsky Research Institute for Emergency Medicine
Author for correspondence.
Email: mishka_77@list.ru
ORCID iD: 0000-0001-5875-1489
SPIN-code: 4793-7748
Radiologist of Radiosurgery Department
Russian Federation, Moscow, Bol'shaya Sukharevskaya ploshcad', 3, 129010Valentin E. Sinitsyn
Lomonosov Moscow State University
Email: vsini@mail.ru
ORCID iD: 0000-0002-5649-2193
SPIN-code: 8449-6590
MD, PhD, DSc, Professor, Head of the Department of Radiation Diagnostics
Russian Federation, Moscow, Lomonosovsky prospect, 27, bldg. 10, 119192
Alexey S. Tokarev
Sklifosovsky Research Institute for Emergency Medicine; Moscow Health Department
Email: alex_am_00@mail.ru
ORCID iD: 0000-0002-8415-5602
SPIN-code: 1608-0630
MD, Cand. Sci. (Med.), Deputy Head of Moscow Health Department, Neurosurgeon of Radiosurgery Department
Russian Federation, Moscow; Moscow, Oruzheyny lane, 43, 127006References
- Mukha AM, Dashyan VG, Krylov VV. Cavernous malformations of the brain. Nevrologicheskii zhurnal. 2013;18(5):46–51. (In Russ).
- Popov VE, Livshits MI, Bashlachev MG, Nalivkin AE. Cavernous malformations in children: a literature review. Almanach klinicheskoj mediciny. 2018;46(2):146–159. (In Russ).
- Caton MT, Shenoy VS. Cerebral Cavernous Malformations. In: StatPearls [Internet]. Treasure Island(FL): StatPearls Publishing; 2020. Available from: https://www.ncbi.nlm.nih.gov/books/NBK538144
- Flemming KD, Brown RD. Epidemiology and natural history of intracranial vascular malformations. In: H.R. Winn, ed. Youmans and Winn neurological surgery, 7th ed. Amsterdam: Elsevier; 2017. Р. 3446–3463е7.
- Gotko AV, Kivelev JV, Sleep AS. Cavernous malformations of the brain and spinal cord. Ukrainskij nejroxirurgicheskij zhurnal. 2013;(3):10–15. (In Russ).
- Rodich A, Smeyanovich A, Sidorovich R, et al. Modern approaches to the surgical treatment of cavernous angiomas of the brain. Nauka i innovacii. 2018;10(188):70–73. (In Russ).
- Gross BA, Du R. Natural history of cerebral arteriovenous malformations: a meta-analysis. J. Neurosurg. 2013;118(2):437–443. doi: 10.3171/2012.10.JNS121280
- Kearns KN, Chen CJ, Tvrdik P, et al. Outcomes of Surgery for Brainstem Cavernous Malformations: A Systematic Review. Stroke. 2019;50(10):2964–2966. doi: 10.1161/STROKEAHA.119.026120
- Sazonov IA, Belousova OB. Cavernous malformation, which caused the development of extensive acute subdural hematoma. Case study and literature review. Voprosy nejrokhirurgii imeni N.N. Burdenko. 2019;3(3):73–76. (In Russ).
- Mouchtouris N, Chalouhi N, Chitale A, et al. Management of cerebral cavernous malformations: from diagnosis to treatment. Scientific World Journal. 2015;2015:808314. doi: 10.1155/2015/808314
- Negoto T, Terachi S, Baba Y, et al. Symptomatic brainstem cavernoma of elderly patients: timing and strategy of surgical treatment. Two case reports and review of the literature. World Neurosurg. 2018;111:227–234. doi: 10.1016/j.wneu.2017.12.111
- Runnels JB, Gifford DB, Forsberg PL, et al. Dense calcification in a large cavernous angioma. Case report. J Neurosurg. 1969;30(3):293–298. doi: 10.3171/jns.1969.30.3part1.0293
- Batra S, Lin D, Recinos PF, et al. Cavernous malformations: natural history, diagnosis and treatment. Nat Rev Neurol. 2009;5(12):659–670. doi: 10.1038/nrneurol.2009.177
- Vaquero J, Leunda G, Martinez R, et al. Cavernomas of the brain. Neurosurgery. 1983;12:208–210. doi: 10.1227/00006123-198302000-00013
- Tagle P, Huete I, Mendez J, et al. Intracranial cavernous angioma: presentation and management. J Neurosurg. 1986;64:720–723. doi: 10.3171/jns.1986.64.5.0720
- Rigamonti D, Drayer BP, Johnson PC, et al. The MRI appearance of cavernous malformations (angiomas). J Neurosurg. 1987;67(4):518–524. doi: 10.3171/jns.1987.67.4.0518
- Cortés V, Concepción A, Ballenilla M, et al. Cerebral cavernous malformations: Spectrum of neuroradiological findings. Radiologia. 2012;54(5):401–409. doi: 10.1016/j.rx.2011.09.016
- Pozzati E, Padovani R, Morrone B, et al. Cerebral cavernous angiomas in children. J Neurosurg. 1980;5(3):826–832. doi: o10.3171/jns.1980.53.6.0826
- Jonutis AJ, Sondheimer FK, Klein HZ, et al. Intracerebral cavernous hemangioma with angiographically demonstrated pathologic vasculature. Neuroradiology. 1971;3(3):57–63. doi: 10.1007/BF00339895
- Kamrin RB, Buchsbaum HW. Large vascular malformations of the brain not visualized by serial angiography. Arch Neurol. 1965;13(4):413–420. doi: 10.1001/archneur.1965.00470040079013
- Jain KK, Robertson E. Recurrence of an excised cavernous hemangioma in the opposite cerebral hemisphere. Case report. J Neurosurg. 1970;33(4):453–456. doi: 10.3171/jns.1970.33.4.0453
- Batra S, Lin D, Recinos PF, et al. Cavernous malformations: natural history, diagnosis and treatment. Nat Rev Neurol. 2009;5(12):659–670. doi: 10.1038/nrneurol.2009.177.
- Yun TJ, Na DG, Kwon BJ, et al. A T1 hyperintense perilesional signal aids in the differentiation of a cavernous angioma from other hemorrhagic masses. AJNR Am J Neuroradiol. 2008;29(3):494–500. doi: 10.3174/ajnr.A0847
- Petersen TA, Morrison LA, Schrader RM, et al. Familial versus sporadic cavernous malformations: differences in developmental venous anomaly association and lesion phenotype. AJNR Am J Neuroradiol. 2019;31(2):377–382. doi: 10.3174/ajnr.A1822
- Zabramski JM, Wascher TM, Spetzler RF, et al. The natural history of familial cavernous malformations: results of an ongoing study. J Neurosurg. 1994;80(3):422–432. doi: 10.3171/jns.1994.80.3.0422
- Essig M, Reichenbach JR, Schad LR, et al. High-resolution MR venography of cerebral arteriovenous malformations. Magn Reson Imaging. 1999;17(3):1417–1425. doi: 10.1007/s001170050989
- Lee BC, Vo KD, Kido DK, et al. MR high-resolution blood oxygenation level-dependent venography of occult (low-flow) vascular lesions. AJNR Am. J. Neuroradiol. 1999;20(7):1239–1242.
- Cooper AD, Campeau NG, Meissner I. Susceptibility-weighted imaging in familial cerebral cavernous malformations. Neurology. 2008;71(5):382. doi: 10.1212/01.wnl.0000319659.86629.c8
- De Souza JM, Domingues RC, Cruz J, et al. Susceptibility-weighted imaging for the evaluation of patients with familial cerebral cavernous malformations: a comparison with t2-weighted fast spin-echo and gradient-echo sequences. AJNR Am J Neuroradiol. 2008;29(1):154–158. doi: 10.3174/ajnr.A0748
- Bulut HT, Sarica MA, Baykan AH. The value of susceptibility weighted magnetic resonance imaging in evaluation of patients with familial cerebral cavernous angioma. Int J Clin Exp Med. 2014;7(12):5296–5302.
- De Champfleur NM, Langlois C, Ankenbrandt WJ, et al. Magnetic resonance imaging evaluation of cerebral cavernous malformations with susceptibility-weighted imaging. Neurosurgery. 2011;68(3):641–648. doi: 10.1227/NEU.0b013e31820773cf
- Campbell PG, Jabbour P, Yadla S, Awad IA. Emerging clinical imaging techniques for cerebral cavernous malformations: a systematic review. Neurosurg Focus. 2010;29(3):E6. doi: 10.3171/2010.5.FOCUS10120
- Pinker K, Stavrou I, Szomolanyi P, et al. Improved preoperative evaluation of cerebral cavernomas by high-field, high-resolution susceptibility-weighted magnetic resonance imaging at 3 Tesla: comparison with standard (1.5 T) magnetic resonance imaging and correlation with histopathological findings – preliminary results. Invest Radiol. 2007;42(6):346–351. doi: 10.1097/01.rli.0000262744.85397.fc
- Flores BC, Whittemore AR, Samson DS, Barnett SL. The utility of preoperative diffusion tensor imaging in the surgical management of brainstem cavernous malformations. J Neurosurg. 2015;122(3):653–662. doi: 10.3171/2014.11.JNS13680
Supplementary files











