A young patient complaining of left scrotal pain diagnosed with testicular ischemia: a potentially fatal consequence of epididymitis
- Authors: Montatore M.1, Balbino M.1, Fascia G.1, Tupputi R.2, Masino F.1, Muscatella G.1, Gifuni R.1, Guglielmi G.1,2,3
-
Affiliations:
- Foggia University School of Medicine
- Dimiccoli Hospital
- IRCCS Casa Sollievo della Sofferenza Hospital
- Issue: Vol 5, No 3 (2024)
- Pages: 613-622
- Section: Case reports
- Submitted: 14.11.2023
- Accepted: 30.05.2024
- Published: 04.12.2024
- URL: https://jdigitaldiagnostics.com/DD/article/view/623315
- DOI: https://doi.org/10.17816/DD623315
- ID: 623315
Cite item
Full Text
Abstract
Rare complications of acute epididymitis include ischemia and infarction of the testicles. Both clinically and radiologically, it is challenging to distinguish testicular torsion. In this article we have tried to expand the library of digital images of radiological diagnostic methods used for fast and accurate differential diagnostics. This case emphasizes the significance of a comprehensive radiological assessment and how a multidisciplinary approach is necessary to guarantee an accurate diagnosis. A 24-year-old man experienced severe left testicular pain and came to the hospital 2 weeks later. At the radiology department, he reported that he had for some time painful ejaculations, pain during intercourse (dyspareunia), scrotal redness/swelling, genital inflammation, chills, swollen inguinal lymph nodes, dysuria, and scrotal pain. All diagnostic procedures were performed, first ultrasonography and then magnetic resonance imaging, as required by the urologist. The imaging studies revealed left testicular ischemia, and based on the referred clinical history, a chronic orchid-epididymitis was suspected. Thus, the condition was resolved, not with a left orchidectomy but with medical therapy because the ischemia area was not too large. The patient also had a left varicocele. Images acquired with different magnetic resonance imaging sequences were carefully examined. A rare instance of epididymal orchitis is described as a potentially dangerous complication of epididymitis and must be considered if sudden, severe scrotal pain is experienced to avoid severe consequences. This case can help with optimal patient management and prevent unnecessary interventions.
Full Text
АКТУАЛЬНОСТЬ
Случаи развития сосудистых осложнений орхоэпидидимита с болью в мошонке слева, как представлено в настоящей статье, встречаются относительно редко [1]. При этом необходимо правильно и быстро диагностировать данные осложнения, которые по симптоматике могут быть схожи с перекрутом яичка или другими сосудистыми осложнениями и требовать проведения ненужных инвазивных вмешательств или лечения.
ОПИСАНИЕ СЛУЧАЯ
Анамнез
Пациент мужского пола в возрасте 24 лет обратился в больницу с жалобами на сильную боль в мошонке слева, продолжающуюся в течение 2 недель. Температура тела 37,8 °C. В рамках комплексного обследования были выполнены анализы крови, проведён физикальный осмотр. По результатам предварительного обследования в отделении неотложной помощи точный диагноз поставить не удалось, в связи с чем пациенту было назначено обследование с применением методов лучевой диагностики.
Диагностика
Было выполнено ультразвуковое исследование (УЗИ) мошонки. По его результатам выявлено нормальное расположение и структура правого яичка (диаметр 40 мм, общий объём 22 мл) при наличии отёчности, повышении температуры и уменьшении размеров левого яичка (диаметр 38 мм, общий объём 18 мл) [2, 3]. Кроме того, установлены неравномерная эхогенность и отёчность придатка левого яичка. По результатам УЗИ наличие гипоэхогенной области вытянутой овальной формы с неровными краями (длиной около 18,2 мм) указывало на неоднородность структуры левого яичка (рис. 1).
Рис. 1. При ультразвуковом исследовании отмечена неоднородность эхоструктуры и отёчность левого яичка, в тканях которого наблюдалась повышенная васкуляризация (a) за исключением протяжённой области овальной формы длиной около 18,2 мм (c). Данная область характеризовалась отсутствием допплеровского сигнала (b), что дало основания подозревать инфаркт. Ультразвуковое исследование на ранней стадии заболевания не позволяет выявить каких-либо нарушений. По мере течения заболевания (как в данном случае) область ишемии становится гипоэхогенной: на изображениях яичка в поперечной и продольной проекции визуализируется гипоэхогенный очаг поражения клиновидной овальной формы, пересекающий яичко поперёк, с вершиной в области средостения яичка.
Несмотря на повышенную васкуляризацию яичка, цветовая допплерография (ЦДГ) данной области показала отсутствие кровотока в очаге поражения, в связи с чем возникли подозрения на инфаркт яичка. Кроме того, были выявлены признаки левостороннего варикоцеле II степени (рис. 2).
Рис. 2. По результатам цветовой допплерографии отмечено нарушение перфузии: отсутствие кровотока в очаге поражения и гиперваскуляризация по его периферии. Ипсилатеральный придаток яичка с отёчностью и неоднородной структурой отличается по эхогенности от контралатерального (a). Такую картину следует принимать во внимание при дифференциальной диагностике с небольшими опухолями, в которых зачастую отсутствует перфузия, однако морфология данных опухолей отличается от клиновидной. По результатам цветовой допплерографии перфузия в удлинённой овальной области ишемии отсутствовала. Нижние изображения представляют результаты эхокардиографии с цветовой допплерографией во время пробы Вальсальвы (b) и в исходном состоянии (c). Проведенное исследование дало одинаковые результаты.
Из-за подозрений на инфаркт для более тщательного исследования тканей яичек потребовалось исследование ещё одним методом визуализации. Для этого была выполнена магнитно-резонансная томография (МРТ) с контрастированием. УЗИ и МРТ являются наиболее приемлемыми методами исследования яичек. УЗИ, как правило, является методом диагностики первого выбора. Яички относятся к поверхностным структурам, для визуализации которых применяется небольшой линейный датчик. Данный метод обладает множеством преимуществ, среди которых широкая доступность, экономичность и небольшая длительность процедуры.
В очень редких случаях, когда УЗИ не позволяет получить необходимой информации о природе клинической симптоматики и протяжённости зоны инфаркта, как в данном случае, проводят трёхмерную визуализацию области мошонки методом МРТ, обладающей более высоким пространственным разрешением [4, 5].
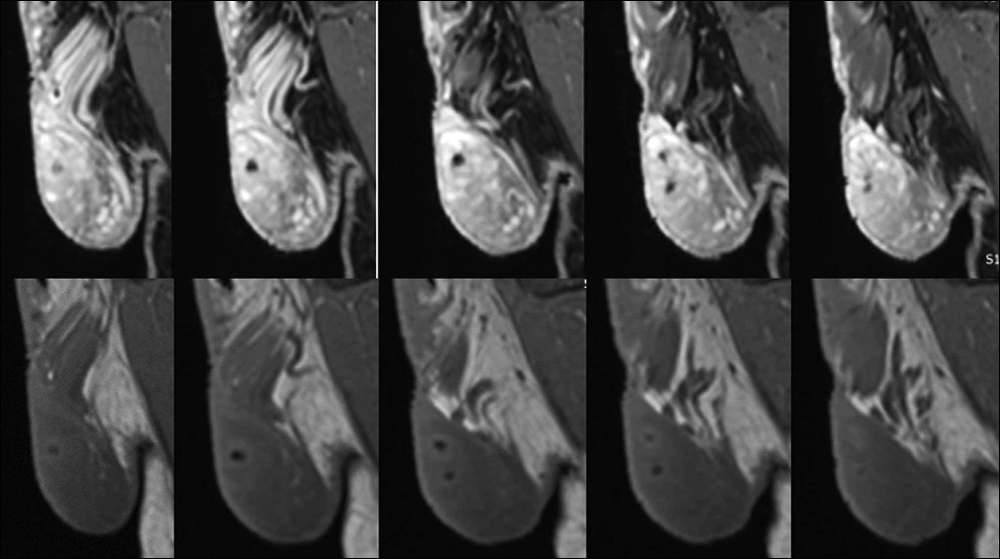
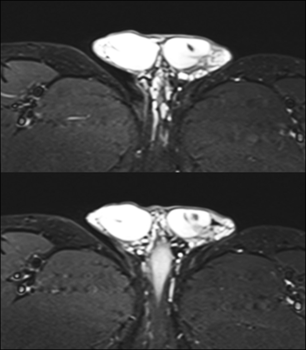
В рассматриваемом случае МРТ подтвердила нормальное расположение и морфологическую структуру правого яичка. При этом левое яичко и его придаток отличались меньшими размерами по сравнению с правым. В его структуре в области верхнего полюса был обнаружен неоднородный участок, состоящий из нескольких линейных очагов сосудистых нарушений (рис. 3–5) [6].
Рис. 3. В области верхнего полюса левого яичка (T2-взвешенное изображение) обнаружен очаг неоднородной структуры, состоящий из ряда линейных полостей, свидетельствующих о наличии ишемии.
Рис. 4. Область ишемии левого яичка на аксиальном срезе (T2-взвешенное изображение).
Рис. 5. Область гипоинтенсивного сигнала на аксиальном срезе левого яичка на разных уровнях (в режиме с последовательностью инверсии-восстановления [Short Tau Inversion Recovery, STIR]).
В данной области отмечено усиление контрастности патологического очага, характеризующееся септальным паттерном, особенно в периферической области уровня верхнего полюса. Отёчность была вызвана увеличением придатка яичка, обусловленным левосторонним варикоцеле при наличии тонкого слоя гидроцеле (рис. 6–8).
Рис. 6. Наблюдается усиление контрастности патологического очага в исследуемой области, особенно в верхнем полюсе. В Т1-режиме область даёт изоинтенсивный сигнал по сравнению с остальными тканями яичка. Выделены гиперинтенсивные участки кровоизлияний. После введения контрастного вещества (например, гадолиния) в исследуемой области выявлено отсутствие сосудов с характерным ореолом насыщенности по периферии патологического очага.
Рис. 7. Две группы изображений ишемизированной области левого яичка на разных уровнях. Верхние и нижние изображения получены в режимах STIR и T2 соответственно.
Рис. 8. Левостороннее варикоцеле при наличии тонкого слоя гидроцеле.
Дифференциальная диагностика
УЗИ применяется в качестве диагностического метода первой линии. Однако данный метод не позволяет выполнить дифференциальную диагностику перекрута яичка, перекрута придатка яичка, абсцесса яичка, гематомы мошонки, гидроцеле, паховой грыжи и опухоли, которые также могут вызывать острую боль в мошонке, тошноту и рвоту [7, 8].
При перекруте яичка кровоснабжение тканей нарушается, однако при эпидидимите или орхите наблюдается усиление кровотока. В таком случае следует провести эхоЦДГ и визуализацию второй линии, например, методом МРТ, которая позволяет выполнить оценку мягких тканей, сосудов и других структур в трёх измерениях. В целях диагностики также проводят сцинтиграфию, однако данный метод считается менее эффективным и требует больше времени.
Вмешательства
В данном случае, как выяснилось, клинические симптомы не были вызваны поражением левого яичка, поэтому хирургическое лечение не потребовалось. По результатам анализа мочи или посева мочи на микрофлору (обнаружена Escherichia coli) была назначена антибиотикотерапия. Кроме того, может быть рекомендован период покоя. В число рекомендаций также входят симптоматическая терапия анальгетиками, противовоспалительными средствами и ношение бандажа, поддерживающего мошонку. В некоторых редких случаях требуется проведение хирургической операции для иссечения инфицированных тканей, особенно при хроническом характере заболевания. В рассматриваемом случае такой необходимости не было.
Наблюдение и результаты лечения
Основная стратегия ведения пациента включает тщательное наблюдение, назначение антибиотикотерапии и плановые обследования, что позволяет своевременно выявить любые возможные изменения. УЗИ, проведённое приблизительно через 1 месяц после завершения медикаментозной терапии, показало, что инфаркт левого яичка не разрешился. При этом наблюдалось уменьшение размеров яичка, васкуляризация тканей. Пациент отметил отсутствие болезненных ощущений.
ОБСУЖДЕНИЕ
Воспаление яичка или его придатка (органа, служащего для накопления и продвижения сперматозоидов) носит название орхоэпидидимита [1–3]. Орхоэпидидимит у взрослых пациентов, как правило, возникает на фоне инфекций, в большинстве случаев — инфекций, передающихся половым путём, или инфекций мочевыводящих путей [9].
Зачастую антибиотикотерапия позволяет полностью устранить инфекцию и способствует полному выздоровлению пациента. В редких случаях орхоэпидидимит сопровождается осложнениями.
Орхоэпидидимит возникает при проникновении в семявыносящий проток, соединяющий придаток яичка с мочеиспускательным каналом, патогенных микроорганизмов, например, Escherichia coli, которые вызывают инфекции мочевыводящих путей. Заболевание может возникнуть в любом возрасте, хотя наиболее часто встречается у мужчин в возрасте 20–35 лет [10]. В числе наиболее распространённых причин частичной обструкции мочеиспускательного канала у пациентов более старшего возраста фигурируют стриктуры мочеиспускательного канала и увеличение предстательной железы. По моче-испускательному каналу моча выходит из мочевого пузыря. При этом частичная непроходимость мочевыводящих путей зачастую становится причиной развития инфекций мочевыводящих путей.
Наиболее распространённой причиной орхоэпидидимита у мужчин молодого возраста являются инфекции, передающиеся половым путём. Вместе с тем заболевание может возникнуть у любого мужчины, ведущего половую жизнь. В большинстве случаев к развитию заболевания приводят инфекции, вызываемые гонококками и бактериями рода Chlamydia. При этом у мужчин может возникать уретрит — воспалительный процесс в мочеиспускательном канале. В других случаях инфекция может распространяться через семявыносящий проток в зависимости от расположения яичек и придатков.
Симптомы, как правило, возникают в течение суток: наблюдается увеличение, покраснение и болезненная чувствительность мошонки, появляются отек и сильная боль в области яичек и придатков. Иногда боль, отмечаемая при пальпации, может возникать без выраженного покраснения или отёчности. Стандартная практика включает взятие образцов крови и мочи для проведения анализа.
Осложнения при орхоэпидидимите встречаются редко. В большинстве случаев заболевание полностью разрешается без осложнений. Среди возможных осложнений патологического процесса отмечают хроническое воспаление с периодическими обострениями. В редких случаях возникает выраженное поражение тканей яичка, что требует хирургического иссечения некротизированных тканей (при развитии гангрены). Результаты УЗИ с ЦДГ и в ряде случаев МРТ яичек и окружающих мягких тканей имеют решающее значение при постановке диагноза [4–6].
Приоритетным методом исследования считается УЗИ яичек, в частности, в сочетании с допплерографией. Это достаточно эффективный, широко доступный и недорогой метод, который в большинстве случаев позволяет поставить правильный диагноз. УЗИ является предпочтительным методом визуализации при оценке заболеваний мошонки [1].
В зависимости от степени тяжести заболевания область ишемии зачастую представляет собой аваскулярную область с различной эхогенностью. Обнаруженный очаг поражения схож с опухолью яичка, кровоизлиянием в яичко или абсцессом. УЗИ не всегда позволяет дифференцировать данные поражения. В связи с этим для более точной диагностики проводится МРТ. По этой причине МРТ мошонки стала вторым методом дифференциальной диагностики, особенно в случаях сегментарного повреждения или других сложных случаях. Например, на Т2-взвешенных изображениях солидные опухоли яичек характеризуются более низкой интенсивностью сигнала, чем здоровая ткань яичек [11].
В рассматриваемом случае область ишемии овальной формы в левом яичке давала гипоинтенсивный сигнал, наблюдалось усиление контрастности патологического очага в исследуемой области, особенно в верхнем полюсе [5].
В Т1-режиме область давала изоинтенсивный сигнал по сравнению с тканями яичка. Были выделены гиперинтенсивные участки кровоизлияний. После введения контрастного вещества в исследуемой области выявлено отсутствие сосудов с выраженным ореолом насыщенности по периферии патологического очага.
ЗАКЛЮЧЕНИЕ
Ишемия яичек представляет собой критическое состояние, требующее немедленной диагностики. В некоторых случаях заболевание, особенно при хроническом характере, отличается острым тяжёлым течением. Если причиной ишемии является перекрут яичка, требуется восстановление кровоснабжения. В рассматриваемом случае диагностика ишемии левого яичка была выполнена с помощью методов УЗИ и МРТ с контрастированием. УЗИ представляет собой метод диагностики первого выбора, а МРТ проводят только при необходимости дифференциальной диагностики определённых заболеваний. Хирургическое вмешательство не потребовалось. Пациент получил антибиотикотерапию и регулярно проходил контрольные визуализационные исследования.
Дополнительная информация
Источник финансирования. Авторы заявляют об отсутствии внешнего финансирования при проведении работы.
Конфликт интересов. Авторы декларируют отсутствие явных и потенциальных конфликтов интересов, связанных с публикацией настоящей статьи.
Вклад авторов. Все авторы подтверждают соответствие своего авторства международным критериям ICMJE (все авторы внесли существенный вклад в разработку концепции, проведение исследования и подготовку статьи, прочли и одобрили финальную версию перед публикацией).
Наибольший вклад распределён следующим образом: M. Montatore, G. Fascia, M. Balbino, F. Masino — сбор данных; G. Guglielmi, R. Tupputi — анализ и интерпретация данных; M. Montatore, G. Muscatella, F. Masino, G. Guglielmi — написание и редактирование текста статьи.
Информированное согласие на публикацию. Авторы получили письменное согласие пациента на публикацию медицинских данных и фотографий в обезличенной форме в журнале Digital Diagnostics.
ADDITIONAL INFORMATION
Funding source. This article was not supported by any external sources of funding.
Competing interests. The authors declare that they have no competing interests.
Authors’ contribution. All authors made a substantial contribution to the conception of the work, acquisition, analysis, interpretation of data for the work, drafting and revising the work, final approval of the version to be published and agree to be accountable for all aspects of the work.
M. Montatore, G. Fascia, M. Balbino, F. Masino — data collection; G. Guglielmi, R. Tupputi — analysis and interpretation of data; M. Montatore, G. Muscatella, F. Masino, G. Guglielmi — writing and editing the manuscript.
Consent for publication. Written consent was obtained from the patient for publication of relevant medical information and all of accompanying images within the manuscript in Digital Diagnostics Journal.
About the authors
Manuela Montatore
Foggia University School of Medicine
Email: manuela.montatore@unifg.it
ORCID iD: 0009-0002-1526-5047
MD
Italy, FoggiaMarina Balbino
Foggia University School of Medicine
Email: marinabalbino93@gmail.com
ORCID iD: 0009-0009-2808-5708
MD
Italy, FoggiaGiacomo Fascia
Foggia University School of Medicine
Email: giacomo.fascia@unifg.it
ORCID iD: 0000-0001-5244-5093
MD
Italy, FoggiaRuggiero Tupputi
Dimiccoli Hospital
Email: rutudott@gmail.com
ORCID iD: 0009-0006-0329-6320
MD
Italy, BarlettaFederica Masino
Foggia University School of Medicine
Email: federicamasino@gmail.com
ORCID iD: 0009-0004-4289-3289
MD
Italy, FoggiaGianmichele Muscatella
Foggia University School of Medicine
Email: muscatella94@gmail.com
ORCID iD: 0009-0004-3535-5802
MD
Italy, FoggiaRossella Gifuni
Foggia University School of Medicine
Email: rossella.gifuni@unifg.it
ORCID iD: 0009-0009-9679-3861
MD
Italy, FoggiaGiuseppe Guglielmi
Foggia University School of Medicine; Dimiccoli Hospital; IRCCS Casa Sollievo della Sofferenza Hospital
Author for correspondence.
Email: giuseppe.guglielmi@unifg.it
ORCID iD: 0000-0002-4325-8330
MD, Professor
Italy, Foggia; Barletta; San Giovanni RotondoReferences
- Ibrahimi A, Ziani I, Bellouki O, et al. Epididymo-testicular ischemia without torsion. Urology case reports. 2020;33:101324. doi: 10.1016/j.eucr.2020.101324
- Alharbi B, Rajih E, Adeoye A, et al. Testicular ischemia secondary to epididymo-orchitis: A case report. Urology case reports. 2019;27:100893. doi: 10.1016/j.eucr.2019.100893
- Wang Z, Qiu M, Gao X, Zhang L. Testicular ischemia secondary to acute epididymitis: A case report. Medicine (Baltimore). 2023;102(20):e33843. doi: 10.1097/MD.0000000000033843
- Rhudd A, Moghul M, Reid G. Epididymo-orchitis causing testicular infarction: a serious complication of a common disorder. Journal of surgical case reports. 2017;2017(10):rjx207. doi: 10.1093/jscr/rjx207
- Kodama K, Yotsuyanagi S, Fuse H, et al. Magnetic resonance imaging to diagnose segmental testicular infarction. The Journal of urology. 2000;163(3):910–911.
- Sue SR, Pelucio M, Gibbs M. Testicular infarction in a patient with epididymitis. Academic emergency medicine. 1998;5(11):1128–1130. doi: 10.1111/j.1553-2712.1998.tb02679.x
- Karaguzel E, Kadihasanoglo M, Kutlu O. Mechanisms of testicular torsion and potential protective agents. Nature reviews. Urology. 2014;11(7):391–399. doi: 10.1038/nrurol.2014.135
- Nickel JC. Inflammatory and Pain Conditions of the Male Genitourinary Tract: Prostatitis and Related Pain Conditions, Orchitis, and Epididymitis. In: Wein AJ, Kavoussi LR, Partin AW, Peters CA. Campbell-Walsh Urology, 11th ed. Philadelphia: Elsevier; 2016. P. 329–332.
- Pilatz A, Fijak M, Wagenlehner F, Schuppe HC. Orchitis. Der Urologe. Ausg. A. 2019;58(6):697–710. doi: 10.1007/s00120-019-0951-0
- Krieger JN. Epididymitis, orchitis, and related conditions. Sexually transmitted diseases. 1984;11(3):173–181. doi: 10.1097/00007435-198407000-00012
- Kreydin EI, Barrisford GW, Feldman AS, Preston MA. Testicular cancer: what the radiologist needs to know. AJR. American journal of roentgenology. 2013;200(6):1215–1225. doi: 10.2214/AJR.12.10319
Supplementary files















