Idiopathic enterocolic intussusception: imaging findings in an abdominal emergency
- Authors: Balzano R.1, Lattanzio F.1, Fascia G.2, Montatore M.2, Balbino M.2, Masino F.2, Mannatrizio D.2, Guglielmi G.1,2,3
-
Affiliations:
- Monsignor Raffaele Dimiccoli
- Foggia University
- Casa Sollievo della Sofferenza Hospital
- Issue: Vol 5, No 2 (2024)
- Pages: 354-360
- Section: Case reports
- Submitted: 15.11.2023
- Accepted: 19.12.2023
- Published: 20.09.2024
- URL: https://jdigitaldiagnostics.com/DD/article/view/623376
- DOI: https://doi.org/10.17816/DD623376
- ID: 623376
Cite item
Abstract
Adult intussusceptions are a rare cause of abdominal obstruction and are usually associated with a neoplastic disease; idiopathic forms are extremely rare. We report a case of enterocolic intussusception in a young woman who experienced symptoms of abdominal obstruction. Imaging findings were reported. On histological examination, no underlying diseases were found. The patient presented at the hospital for computed tomography because of persistent abdominal pain. Computed tomography revealed an enterocolic invagination involving the ileocecal valve and cecum and widespread edematous thickening of the colonic parietal walls.
Idiopathic enterocolic intussusception is an uncommon abdominal urgency in adults. Symptoms can be vague and persistent, delaying an accurate diagnosis. Imaging is crucial in these circumstances to make a diagnosis. Some computed tomography findings, such as a target-like bulk, may be suggestive.
Keywords
Full Text
INTRODUCTION
Adult intussusception is an uncommon abdominal emergency [1]. Intussusception consists of the invagination of a bowel segment (intussusceptum) and its mesentery into the lumen of a distal portion (intussuscipiens) because of the abnormal mobility of the peristalsis [1, 2]. It can involve any part of the intestine; however, it usually occurs at the coupling between a mobile loop and a fixed retroperitoneal segment [1, 3]. Among adults, intussusceptions are frequently associated with an organic lesion common in children, whereas they are less frequently encountered in adults; symptoms tend to be nonspecific, making the diagnosis more challenging [4, 5].
DESCRIPTION OF THE CASE
Medical History
A 37-year-old woman was admitted to the emergency room complaining of 4-day abdominal pain that had increased in the last few hours. She reported no fever but noticed changes in her bowel habits, alternating diarrhea, and constipation.
Diagnostic Assessment and Differential Diagnosis
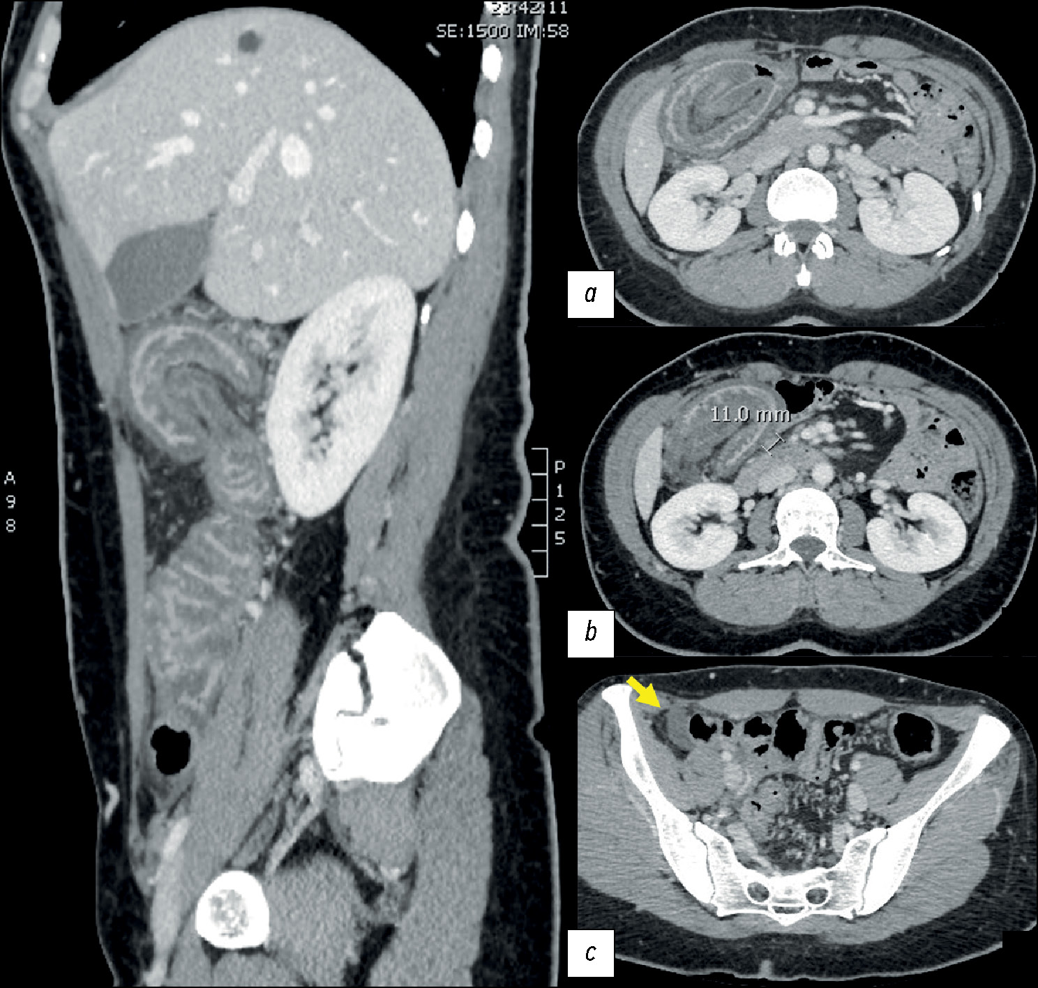
To exclude any possible causes of intestinal obstruction, computed tomography (CT) was performed before and after the administration of intravenous iodinated contrast medium. CT revealed an enterocolic invagination involving the ileocecal valve and the cecum with diffuse edematous thickening of the colonic parietal walls. Edematous strains in the adjacent peritoneal fat, satellite lymphadenopathy levels, and a small amount of fluid collection in the right iliac fossa were also present (Fig. 1).
Fig. 1. Abdominal computed tomography, portal phase. Sagittal multiplanar reconstruction: (a) enterocolic invagination with the involvement of the mesenteric fat and vascular structures. Thick edematous walls, stranding of the surrounding fatty tissue (b), and satellite nodes (11 mm in c).
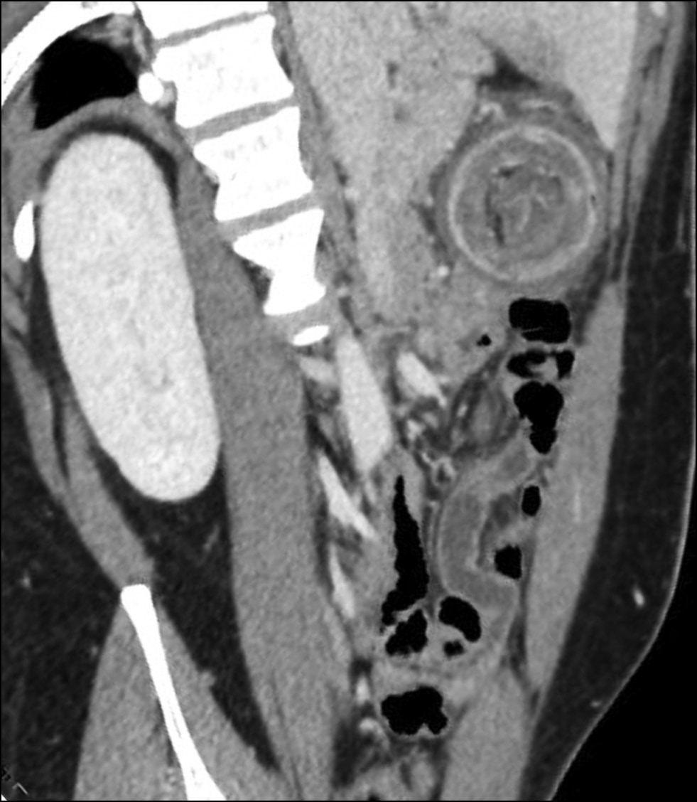
Multiplanar reconstruction (MPR) revealed the “target” appearance of the intestinal walls (Fig. 2).
Fig. 2. Oblique sagittal multiplanar reconstruction, orthogonal to the intussusception, shows the “target sign” due to the alternating of edematous walls and mesenteric fat.
Interventions
Owing to the rapid progression of the clinical signs, surgical treatment was suggested, and a laparoscopic right colectomy was performed. Oral intake was initiated with fluids on the second postoperative day and solid food on the third postoperative day.
Follow-up and Outcomes
The patient was discharged on the sixth postoperative day. No complications were observed. Histology revealed inflammatory changes in the intestinal walls with reactive satellite nodes; no other diseases were associated with intussusception.
DISCUSSION
Adult intussusception is an uncommon cause of intestinal blockage. In contrast to pediatric patients in whom intussusception is primary and benign, adult intussusception, particularly of the colon, has a high probability of neoplasia; therefore, operative management is often necessary.
In some patients, conservative treatment by reduction is also recommended provided that the bowel appears viable. In the remaining cases, reduction should not be attempted if signs of inflammation or ischemia of the bowel wall are present.
In this case, we performed a laparoscopic right colectomy.
Oral intake was initiated with fluid on the second postoperative day and solid food on the third postoperative day. The patient was discharged on the sixth postoperative day. No complications were observed. According to the location, intussusception can be classified as enterocolic, when limited to the small bowel; colonocolonic, if it involves the colon; and enterocolonic, which can be ileocecal and ileocolic [1, 2]. The obstruction of venous blood flow can lead to edema and ischemia of the involved intestinal loop, and necrosis may eventually develop [6].
Intussusceptions are more common in children; they are mostly idiopathic and classically present with a triad of cramping abdominal pain, currant jelly-like faces, and a palpable sausage-like abdominal mass [6, 7].
Conversely, adult intussusceptions are very rare, accounting for approximately 5% of all cases [5, 8]; they may manifest with long-standing nonspecific abdominal symptoms (such as nausea, vomiting, bowel habit changes, abdominal distension, and gastrointestinal bleeding), which make the diagnosis more challenging [4, 6]. In children, intussusceptions are mostly idiopathic [6].
In adults, intussusceptions are generally associated with both benign and malignant diseases in most cases; however, idiopathic forms are less common and generally involve the small bowel, contrary to our case. Imaging is fundamental for diagnosis, particularly in the most problematic cases [9]. Abdominal CT is considered the modality of choice because it can evaluate the intussusception site, its extension, and the bowel segment involved [10]. In addition, it can demonstrate the presence of a leading point and is important to exclude possible complications, such as bowel wall ischemia and perforation. The invagination the intussusceptum into the intussuscipiens appears on CT as a “target” because of the alternating of intestinal walls and mesentery fat when observed on a plane perpendicular to the main axis of the involved segment [1].
In contrast to pediatric intussusception, which is primary and benign, adult intussusception (particularly of the colon) is associated with neoplastic disorders [6]. Therefore, a surgical approach is often necessary.
In some patients, conservative treatment by reduction is also recommended after the bowel appears viable. In the remaining cases, reduction should not be attempted if signs of inflammation or ischemia of the bowel walls are present.
CONCLUSION
Idiopathic enterocolic intussusception is a rare abdominal urgency in adults. Symptoms can be nonspecific and long-standing, which may delay the correct diagnosis. In these cases, imaging plays a central role in the diagnosis. Some CT findings, such as a mass with a target appearance, can be suggestive. Laparoscopic surgery is comparable to open surgery in the setting of right colectomy. The obvious advantages of laparoscopic surgery are the lower surgical site infection rates, shorter nasogastric tube duration, less postoperative pain, and better esthetic results. The safety and efficacy of laparoscopic right colectomy in an emergency with bowel occlusion is possible in the hands of expert surgeons.
ADDITIONAL INFORMATION
Funding source. This study was not supported by any external sources of funding.
Competing interests. The authors declare that they have no competing interests.
Authors’ contribution. All authors made a substantial contribution to the conception of the work, acquisition, analysis, interpretation of data for the work, drafting and revising the work, final approval of the version to be published and agree to be accountable for all aspects of the work.
Consent for publication. Written consent was obtained from the patient for publication of relevant medical information and all of accompanying images within the manuscript in Digital Diagnostics Journal.
About the authors
Rosario Francesco Balzano
Monsignor Raffaele Dimiccoli
Email: ro.balzano@gmail.com
ORCID iD: 0000-0001-5630-6760
MD
Italy, BarlettaFrancesco Lattanzio
Monsignor Raffaele Dimiccoli
Email: fralattanzio@hotmail.com
MD
Italy, BarlettaGiacomo Fascia
Foggia University
Email: giacomo.fascia@unifg.it
ORCID iD: 0000-0001-5244-5093
MD
Italy, FoggiaManuela Montatore
Foggia University
Email: manuela.montatore@unifg.it
ORCID iD: 0009-0002-1526-5047
MD
Italy, FoggiaMarina Balbino
Foggia University
Email: marina.balbino@unifg.it
ORCID iD: 0009-0009-2808-5708
MD
Italy, FoggiaFederica Masino
Foggia University
Email: federica.masino@unifg.it
ORCID iD: 0009-0004-4289-3289
MD
Italy, FoggiaDomenico Mannatrizio
Foggia University
Email: dr.mannatrizio@gmail.com
ORCID iD: 0000-0003-3365-7132
MD
Italy, FoggiaGiuseppe Guglielmi
Monsignor Raffaele Dimiccoli; Foggia University; Casa Sollievo della Sofferenza Hospital
Author for correspondence.
Email: giuseppe.guglielmi@unifg.it
ORCID iD: 0000-0002-4325-8330
MD, Professor
Italy, Barletta; Foggia; FoggiaReferences
- Valentini V, Buquicchio GL, Galluzzo M, et al. Intussusception in Adults: The Role of MDCT in the Identification of the Site and Cause of Obstruction. Gastroenterol Res Pract. 2016;2016:5623718. doi: 10.1155/2016/5623718
- Kim YH, Blake MA, Harisinghani MG, et al. Adult intestinal intussusception: CT appearances and identification of a causative lead point. Radiographics. 2006;26(3):733–744. doi: 10.1148/rg.263055100
- Gollub MJ. Colonic intussusception: clinical and radiographic features. AJR Am J Roentgenol. 2011;196(5):W580–W585. doi: 10.2214/AJR.10.5112
- Marinis A, Yiallourou A, Samanides L, et al. Intussusception of the bowel in adults: a review. World J Gastroenterol. 2009;15(4):407–411. doi: 10.3748/wjg.15.407
- Azar T, Berger DL. Adult intussusception. Ann Surg. 1997;226(2):134–138. doi: 10.1097/00000658-199708000-00003
- Aydin N, Roth A, Misra S. Surgical versus conservative management of adult intussusception: Case series and review. Int J Surg Case Rep. 2016;20:142–146. doi: 10.1016/j.ijscr.2016.01.019
- Waseem M, Rosenberg HK. Intussusception. Pediatr Emerg Care. 2008;24(11):793–800. doi: 10.1097/PEC.0b013e31818c2a3e
- Martín-Lorenzo JG, Torralba-Martinez A, Lirón-Ruiz R, et al. Intestinal invagination in adults: preoperative diagnosis and management. Int J Colorectal Dis. 2004;19(1):68–72. doi: 10.1007/s00384-003-0514-z
- Amoruso M, D’Abbicco D, Praino S, et al. Idiopathic adult colo-colonic intussusception: Case report and review of the literature. Int J Surg Case Rep. 2013;4(4):416–418. doi: 10.1016/j.ijscr.2013.01.010
- Dawes LC, Hunt R, Wong JK, et al. Multiplanar reconstruction in adult intussusception: case report and literature review. Australasian Radiology. 2004;48(1):74–76. doi: 10.1111/j.1440-1673.2004.01249.x
Supplementary files









