Diagnostic errors in assessing magnetic resonance imaging semiotics of primary extracerebral tumors: a case series
- Authors: Surovcev E.N.1,2, Kapishnikov A.V.1
-
Affiliations:
- Samara State Medical University
- Dr. Sergey Berezin Medical Institute (MIBS)
- Issue: Vol 5, No 3 (2024)
- Pages: 642-655
- Section: Case reports
- Submitted: 28.01.2024
- Accepted: 15.03.2024
- Published: 04.12.2024
- URL: https://jdigitaldiagnostics.com/DD/article/view/626158
- DOI: https://doi.org/10.17816/DD626158
- ID: 626158
Cite item
Full Text
Abstract
Primary extracerebral tumors are represented by benign and malignant neoplasms of the meninges and cranial nerves. Their presurgical differential diagnosis is based on the analysis of magnetic resonance imaging semiotics. The critically significant aspects for classifying tumors of this group include the following: neoplasm structure, contrast enhancement type, delimiting from the brain tissue, and relationship with the meninges or cranial nerves. Differential diagnosis of extracerebral tumors based on visual analysis of magnetic resonance imaging data is generally not challenging because most tumors have typical magnetic resonance imaging semiotics. However, in cases with atypical magnetic resonance imaging signs, reliable differentiation of tumors can be challenging. Moreover, the greatest complexity is the differentiation of meningioma grades, distinction between solitary fibrous tumors and meningiomas, and identification of the tumor type when localized in the cerebellopontine angles. The case series presented the most typical features leading to errors in the differential diagnosis of primary extracerebral tumors. All the presented tumors were verified with postsurgical histological examination. The analysis of the case reports demonstrates that a review of the combined semiotic signs can lower the number of diagnostic errors.
Full Text
АКТУАЛЬНОСТЬ
Первичные внемозговые опухоли (ПВО) — гетерогенная группа, включающая доброкачественные и злокачественные новообразования мозговых оболочек (менингиомы и мезенхимальные опухоли) и черепных нервов (невриномы) [1].
Абсолютное большинство ПВО представлено опухолями менинготелиальных клеток арахноидальной оболочки — менингиомами, которые составляют более трети от всех внутричерепных опухолей взрослых [2, 3]. В зависимости от степени злокачественности выделяют доброкачественные (Grade 1, более 80% от всех менингиом), атипичные (Grade 2) и злокачественные (Grade 3) менингиомы [3]. Вторыми по частоте встречаемости среди ПВО (6–8% всех интрокраниальных опухолей) являются невриномы [3]. Невриномы в абсолютном большинстве случаев — это доброкачественные опухоли, происходящие из шванновских клеток [4]. Мезенхимальные (неменинготелиальные) опухоли крайне редко локализуются интракраниально, так, наиболее распространённая среди них солитарная фиброзная опухоль (СФО) составляет менее 1% (~0,4%) первичных опухолей центральной нервной системы (ЦНС) и 2–4% всех опухолей мозговых оболочек [3].
Необходимость дифференциальной диагностики различных ПВО на дооперационном этапе обусловлена не только разницей прогноза доброкачественных и злокачественных ПВО, но и необходимостью планирования хирургического вмешательства и объёма зоны облучения при стереотаксической лучевой терапии. Склонность менингиом инвазировать твёрдую мозговую оболочку обусловливает необходимость её иссечения при хирургическом вмешательстве и включения в зону облучения при стереотаксической лучевой терапии [5, 6], что не является необходимым при невриномах [4–6]. Риск кровотечения при хирургическом вмешательстве на гиперваскулярных менингиомах и СФО выше, чем при невриномах [5, 7].
Предоперационная дифференциальная диагностика ПВО основана на анализе данных магнитно-резонансной томографии (МРТ) с внутривенным контрастированием [4, 5, 8]. Признаки МРТ-семиотики, позволяющие разграничить различные типы ПВО, описаны в регулярных руководствах, однако наличие нетипичных проявлений может привести к затруднениям и ошибкам при интерпретации данных и, соответственно, к выбору неверного подхода к ведению пациента с ПВО [9–11].
ОПИСАНИЕ СЕРИИ КЛИНИЧЕСКИХ СЛУЧАЕВ
МРТ-исследование было выполнено на МР-томографах индукцией магнитного поля 1,5 Т с использованием 16-канальных приёмных катушек для головы. МР-исследования выполнялись по стандартной методике с внутривенным контрастированием. Протокол сканирования включал Т2-взвешенные изображения (ВИ), Т1-ВИ (до и после контрастирования), FLAIR и DWI. Для контрастирования применялись препараты гадотеровой и гадопентетовой кислот из расчёта 0,1 мл/кг.
Во всех представленных клинических случаях выявленные новообразования были верифицированы по результатам постоперационного гистологического исследования.
Ошибки при дифференциальной диагностике доброкачественных менингиом
Случай 1
Пациентка — женщина, 55 лет, с жалобами на головную боль.
Анамнез. Головная боль, по поводу которой пациентка наблюдается у невролога, беспокоит в течение нескольких лет. МРТ-исследование головного мозга выполнено впервые в жизни, поводом к его назначению стала низкая эффективность проводимой терапии.
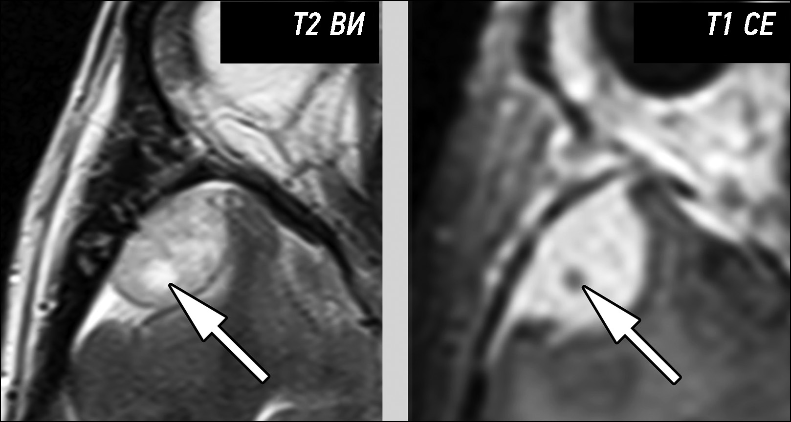
Инструментальная диагностика. При выполнении МРТ-исследования с внутривенным контрастированием (рис. 1) в передних отделах правой височной области выявлено внемозговое образование, размерами 1,9×1,4×2,0 см. Структура опухоли неоднородная за счёт участка с нечёткими контурами, имеющего гиперинтенсивный МР-сигнал на Т2-ВИ. На Т1-ВИ после внутривенного контрастирования (Т1-СЕ) отмечается выраженное, однородное повышение интенсивности МР-сигнала от выявленного образования с отсутствием контрастирования гиперинтенсивного на Т2-ВИ участка в его структуре. Выявленная зона была интерпретирована как участок некроза.
Рис. 1. Неоднородность структуры и гетерогенность контрастирования доброкачественной менингиомы. На магнитно-резонансной томографии признаки кисты (стрелка) схожи с проявлениями некроза.
Дифференциальная диагностика. Дифференциальный диагноз в данном случае следует проводить между доброкачественной и злокачественной менингиомами. Некроз характерен для злокачественных (Grade 2, 3) менингиом. В то же время у выявленного образования определяются признаки, типичные для доброкачественных менингиом (чёткое отграничение опухоли от вещества мозга, ровные контуры образования).
Наличие неоднородности структуры привело к ошибочному заключению о злокачественности выявленной менингиомы.
Лечение. Пациентке выполнена резекция опухоли, гистологическое заключение: менингиома (Grade 1), С70.0 9530/01.
Случай 2
Пациентка — женщина, 65 лет, с жалобами на снижение памяти без очаговой неврологической симптоматики.
Анамнез. Снижение памяти беспокоит в течение последних нескольких лет. Мать пациентки страдала деменцией. Для исключения болезни Альцгеймера была назначена МРТ. Ранее данное исследование проводилось более десяти лет назад.
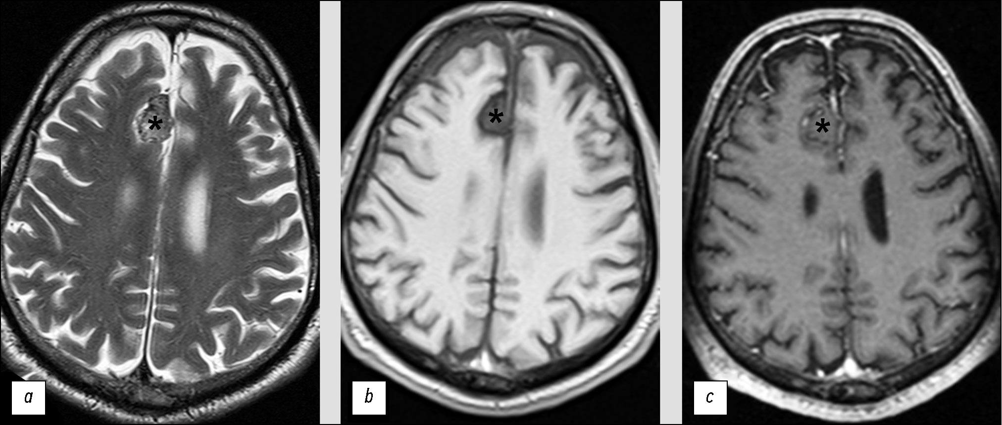
Инструментальная диагностика. По данным МРТ (рис. 2), в правой лобно-теменной области определяется внемозговое образование размерами 4,2×3,7×3,0 см. Структура опухоли неоднородная за счёт наличия зоны неоднородного гипоинтенсивного на Т2-ВИ МР-сигнала. Гипоинтенсивный на Т2-ВИ МР-сигнал может соответствовать как петрификации (типичной для менингиом Grade 1), так и отложению гемосидерина. Учитывая, что на Т1-ВИ в центральной части этой зоны определяется участок изо-/гиперинтенсивности, зона была интерпретирована как кровоизлияние, при петрификации МР-сигнал на Т1-ВИ был бы гипоинтенсивным.
Рис. 2. Неоднородность структуры доброкачественной менингиомы. Зона кровоизлияния (стрелка) придаёт структуре опухоли выраженную гетерогенность.
Дифференциальная диагностика. Кровоизлияние не характерно для доброкачественных (Grade 1) менингиом, но типично для солитарных фиброзных опухолей и злокачественных менингиом. Выявленное образование чётко отграничено от вещества мозга, признаков отёка по периферии нет, что типично для доброкачественных менингиом.
На основе этих фактов внемозговая опухоль была ошибочно классифицирована как атипичная менингиома.
Лечение. Пациентке выполнена резекция опухоли, гистологическое заключение: менингиома (Grade 1), С70.0 9530/01.
Случай 3
Пациент — мужчина, 47 лет, с жалобами на асимметрию правой половины лица при мимических движениях.
Анамнез. Асимметрия лица была выявлена неврологом при профилактическом осмотре, пациент на данный симптом внимания не обращал. Наличие очаговой неврологической симптоматики послужило основанием для назначения МРТ.
Инструментальная диагностика. На МРТ-изображениях (рис. 3) в правом мостомозжечковом углу определяется чётко отграниченное образование с ровными чёткими контурами, размерами 2,4×1,4×1,8 см. Структура опухоли однородная, но контрастирование невыраженное (преимущественно периферическое) и гетерогенное.
Рис. 3. Гетерогенность контрастирования доброкачественной менингиомы. В ряде случаев доброкачественные менингиомы невыраженно и неоднородно повышают свои сигнальные характеристики после контрастирования (стрелка).
Дифференциальная диагностика. Внемозговые опухоли мостомозжечковых углов необходимо дифференцировать между менингиомами различной степени злокачественности и невриномами.
Отсутствие чёткой взаимосвязи с черепными нервами стало основанием для исключения невриномы из дифференциального ряда.
Чёткость контуров и однородность структуры характерны для доброкачественных опухолей. В то же время неоднородность контрастирования типична для злокачественных менингиом. Характер контрастирования опухоли послужил основанием для ошибочной диагностики, выявленное образование было диагностировано как атипичная (Grade 2) менингиома.
Лечение. Пациенту выполнена резекция опухоли, гистологическое заключение: менингиома (Grade 1), С70.0 9530/01.
Случай 4
Пациентка — женщина, 61 год, с жалобами на головную боль, тошноту, снижение памяти.
Анамнез. Указанные жалобы появились около шести месяцев назад, их интенсивность медленно нарастала. Пациентка обратилась к неврологу, наличие общемозговой симптоматики (головная боль, тошнота) послужили основанием для выполнения МРТ.
Инструментальная диагностика. При выполнении МРТ-исследования с внутривенным контрастированием (рис. 4) в правой лобной области визуализируется внемозговая опухоль размерами до 4,5×2,0×3,8 см. Структура опухоли однородная, контрастирование гомогенное. По периферии образования определяется зона отёка вещества мозга, контуры образования участками неровные и нечёткие. Отмечается гиперостоз подлежащей кости.
Рис. 4. Отсутствие ликворной щели между доброкачественной менингиомой и веществом мозга, и наличие периферического отёка могут быть интерпретированы как инвазия опухоли: a — Т2-ВИ; b — Т1-CE.
Представлена доброкачественная менингиома (*). Ликворная щель прослеживается только в задних отделах (чёрные стрелки). В передних отделах граница между опухолью и веществом мозга не прослеживается, в данной области определяется периферический отёк (белые стрелки).
Дифференциальная диагностика. Отсутствие чёткого отграничения ткани опухоли от вещества мозга и наличие отёка по периферии послужило основанием ошибочно диагностировать атипичную менингиому. В то же время у данного образования определяются признаки, типичные для менингиом Grade 1: опухоль имеет однородную структуру, отмечается наличие гиперостоза подлежащей кости.
Лечение. Выполнена резекция опухоли, гистологическое заключение: менингиома (Grade 1), С70.0 9530/01.
Ошибка при диагностике злокачественной менингиомы
В ранее представленных примерах неоднородность структуры опухоли и нечёткость её отграничения от вещества мозга привели к ошибке в дифференциальной диагностике — доброкачественные менингиомы были классифицированы как злокачественные. В следующем клиническом примере будет представлена противоположная ситуация.
Случай 5
Пациентка — женщина, 52 года, с жалобами на утомляемость, головную боль.
Анамнез. Пациентка отмечала периодическое появление указанных симптомов с различной степенью выраженности, что послужило поводом обращения к неврологу, который рекомендовал выполнить МРТ головного мозга.
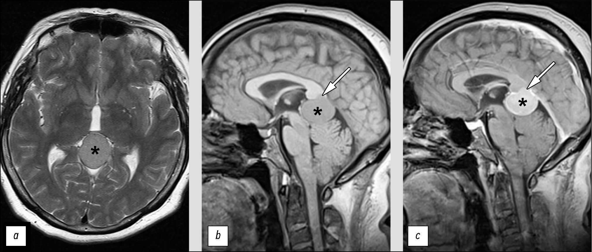
Инструментальная диагностика. На серии МРТ-изображений (рис. 5) в эпифизарной области визуализировано внемозговое образование однородной структуры и контрастирования, размерами 2,9×2,6×2,5 см. Опухоль деформирует пластинку четверохолмия, суживается просвет водопровода мозга без развития окклюзионной гидроцефалии.
Рис. 5. Нетипичные проявления злокачественной менингиомы на магнитно-резонансной томографии: a — Т2-ВИ; b — Т1-ВИ; c — Т1-CE. Представлена злокачественная менингиома (*), расположенная в эпифизарной области. Определяется инвазия опухоли в валик мозолистого тела (стрелка).
Граница между новообразованием и валиком мозолистого тела на небольшом протяжении не прослеживается, но отёка вещества мозга в данной области не определяется.
Дифференциальная диагностика. Однородная структура и гомогенное контрастирование послужили решающими факторами для ошибочного отнесения выявленного образования к доброкачественным менингиомам. Вероятно, из-за их наличия рентгенолог не обратил внимания на наличие небольшого участка инвазии опухоли в вещество мозга (валик мозолистого тела).
Лечение. Пациентке выполнена резекция опухоли, гистологическое заключение: атипичная (Grade 2) менингиома, С70.0 9539/32.
Ошибки при дифференциальной диагностике неврином и менингиом
Одним из признаков, позволяющим дифференцировать опухоль мостомозжечкового угла от невриномы и менингиомы, является наличие взаимосвязи образования с черепными нервами или мозговой оболочкой. Два следующих примера демонстрируют, что в ряде случаев однозначно установить эту взаимосвязь бывает затруднительно. Дополнительную сложность создаёт и тот факт, что любые образования данной локализации будут иметь схожие клинические проявления.
Случай 6
Пациентка — женщина, 41 год, с жалобами на одностороннее снижение слуха и тиннитус.
Анамнез. Заболевание началось несколько лет назад с появления периодического шума в ушах. Тугоухость медленно прогрессировала. После консультации невролога пациентке было рекомендовано выполнение МРТ с контрастированием.
Инструментальная диагностика. По данным МРТ (рис. 6, a), в левом мостомозжечковом углу определяется внемозговое образование размерами 2,8×2,6×2,1 см, неоднородной структуры с выраженным, но гетерогенным контрастированием. Признаков распространения опухоли во внутренний слуховой проход или вовлечения черепных нервов достоверно не определяется.
Рис. 6. Сложность определения взаимосвязи опухоли с черепным нервом или мозговой оболочкой: a — невринома с отсутствием визуальной взаимосвязи с черепными нервами (стрелкой показаны «интактные» VII и VIII нервы во внутреннем слуховом проходе); b — менингиома с признаками связи опухоли с черепными нервами (стрелка).
Дифференциальная диагностика. Данное образование при наличии типичных для неврином проявлений (структура и форма опухоли) из-за отсутствия чёткой взаимосвязи с черепными нервами, было ошибочно идентифицировано как менингиома.
Лечение. Пациентке выполнена резекция опухоли, гистологическое заключение: вестибулярная шваннома, С72.4 9560/01.
Случай 7
Пациентка — женщина, 43 года, с жалобами на одностороннюю потерю слуха и тиннитус, боли в левой половине лица.
Анамнез. Первым проявлением заболевания были периодические боли в лице. Пациентка лечилась самостоятельно, принимая нестероидные противовоспалительные препараты. Около года назад присоединились прочие симптомы: шум в левом ухе и одностороннее снижение слуха. Пациентка обратилась к неврологу, по рекомендации которого было выполнено МРТ с контрастированием.
Инструментальная диагностика. На сериях МРТ-изображений (рис. 6, b) в левом мостомозжечковом углу определяется внемозговое образование однородной структуры и гомогенным контрастированием, размерами до 3,4×2,5×3,0 см. Опухоль распространяется во внутренний слуховой проход. Левые седьмой и восьмой черепные нервы на фоне новообразования не определяются.
Дифференциальная диагностика. Наличие взаимосвязи опухоли с черепными нервами, по всей видимости, послужило решающим фактором для неверной классификации данного образования как невриномы. Нужно отметить, что выявленная опухоль имеет признаки, характерные для менингиом (однородная структура перед контрастированием и после, широкое прилежание к твёрдой мозговой оболочке).
Лечение. Пациентке выполнена резекция опухоли, гистологическое заключение: менингиома (Grade 1), С70.0 9530/01.
Ошибки при диагностике солитарных фиброзных опухолей
В двух следующих клинических примерах (рис. 7 и рис. 8) представлены МРТ-изображения пациентов с солитарными фиброзными опухолями. В обоих случаях опухоли на основании оценки МРТ были ошибочно определены как менингиомы. Вероятной причиной диагностических ошибок явилось сочетание двух факторов: редкость СФО и схожесть их МРТ-проявлений с менингиомами.
Рис. 7. Солитарная фиброзная опухоль, имеющая сходную МРТ-семиотику с доброкачественной менингиомой: a — Т2-ВИ; b — Т1-ВИ; c — Т1-CE.
В передних отделах межполушарной щели определяется внемозговое образование (*).
Рис. 8. Солитарная фиброзная опухоль, имеющая сходную семиотику магнитно-резонансной томографии со злокачественной менингиомой: a — Т2-ВИ; b —Т1-ВИ; c — Т1-CE.
Случай 8
Пациентка — женщина, 49 лет, жалоб не предъявляла.
Анамнез. МРТ-исследование выполнено по поводу черепно-мозговой травмы, полученной в результате дорожно-транспортного происшествия. Очаговой и общемозговой симптоматики, по результатам осмотра, не было выявлено.
Инструментальная диагностика. При выполнении МРТ данных за травматические изменения не выявлено, однако в передних отделах межполушарной щели определяется внемозговое образование, размерами 2,2×1,6×2,3 см (см. рис. 7). Опухоль широко прилежит к серпу большого мозга, чётко отграничена от вещества мозга, структура её достаточно однородная. После контрастирования отмечается невыраженное повышение МР-сигнала от ткани опухоли.
Дифференциальная диагностика. Выявленное образование было ошибочно классифицировано как типичная менингиома. Единственным признаком, позволяющим заподозрить иную опухоль, являлось невыраженное контрастирование, но данный симптом может наблюдаться и при менингиомах.
Лечение. Пациентке выполнена резекция опухоли, гистологическое заключение: гемангиоперицитома/солитарная фиброзная опухоль (Grade 1), С70.0 9150/01.
Случай 9
Пациент — мужчина, 51 год, с впервые возникшими эпилептическими приступами.
Анамнез. Ранее пациент неврологических симптомов не замечал, его периодически беспокоила головная боль, приступы которой усилились в последний месяц.
Инструментальная диагностика. При выполнении МРТ в левой лобной области было выявлено внемозговое образование, размерами до 6,0×4,0×6,3 см (см. рис. 8). Опухоль без чёткого отграничения от вещества мозга, с зоной отёка по периферии. Структура образования неоднородная, в том числе за счёт кровоизлияния. Контрастирование невыраженное и неоднородное.
Дифференциальная диагностика. На основании того, что образование имеет признаки, характерные для злокачественных менингиом, заключение рентгенолога было ошибочным. Выявленное образование отнесено к атипичным менингиомам.
Лечение. Пациенту выполнена резекция опухоли, гистологическое заключение: гемангиоперицитома/солитарная фиброзная опухоль (Grade 2), С70.0 9150/32.
ОБСУЖДЕНИЕ
Дифференциальная диагностика ПВО на основании анализа данных МРТ показывает высокую чувствительность для доброкачественных опухолей, при этом информативность для определения злокачественных вариантов ПВО существенно ниже [11, 12].
В табл. 1 (составлена на основе данных литературных источников [2, 4, 5, 7, 9, 10]) систематизированы типичные признаки МРТ-семиотики позволяющие дифференцировать обсуждаемые ПВО, а также нетипичные их проявления, которые могут привести к диагностической ошибке.
Таблица 1. МРТ-семиотика менингиом, неврином и солитарных фиброзных опухолей
Признаки | Grade 1 менингиомы | Grade 2 и Grade 3 менингиомы | СФО | Невриномы |
Локализация | • Супратенториально — 90%; • Инфратенториально — 8–10% | Grade 2: • Супратенториально — редко; • Инфратенториально — часто Grade 3 • Супратенториально — 60%; • Инфратенториально — 40% | • Супратенториально — часто; • Инфратенториально — редко | • VIII ЧН (ММУ) — 95%; • прочие ЧН — крайне редко |
Связь опухоли | С мозговой оболочкой | С мозговой оболочкой | С мозговой оболочкой | С ЧН |
Количество | • Единичные — часто; • Множественные — 1–9% | • Единичные | • Единичные | • Единичные — часто; • Множественные — редко |
Структура | Типично — Однородная | Типично — Однородная | Типично — Неоднородная | Типично — Неоднородная |
Некроз | Не типичен | Типичен | Возможен | Не типичен |
Внутриопухолевые кисты | Редко | Не типичны | Часто | В 15% случаев |
Кровоизлияния | Возможны | Возможны | Возможны | Часто — микрокровоизлияния |
Сосуды в структуре опухоли | В 80% случаев | Не типичны | Типичны | Никогда |
Петрификация | В 20–25% случаев | Не типична | Не типична | Не типична |
Контрастирование | Типично — выраженное, однородное | Типично — выраженное, неоднородное | Типично — выраженное, неоднородное | Типично — выраженное, неоднородное |
Контур | Типично — ровный, чёткий | Типично — неровный, нечёткий | Типично — неровный, нечёткий | Типично — неровный, чёткий |
Инвазия в вещество мозга | Никогда | Типично | Возможна | Никогда |
Перитуморальные кисты | Возможны | Возможны | Возможны | В 5% случаев |
Чёткое отграничение от вещества мозга | В 80% случаев | Не типично | Не типично | Типично |
Периферический отёк | В 60% случаев | Типичен | Типичен | Не типичен |
Изменение подлежащей кости | Возможен — гиперостоз; Никогда — остеолиз | Возможен — остеолиз; Никогда — гиперостоз | Возможен — остеолиз; Никогда — гиперостоз | Крайне редко |
«Дуральный» хвост | В 35–80% случаев | Типичен | В 50% случаев | Крайне редко |
Нетипичные проявления | Неоднородность структуры Кисты, кровоизлияния Невыраженное контрастирование | Однородность структуры Гомогенное контрастирование | Крайне редкие опухоли Практически не отличимы от менингиом | Однородная структура Отсутствие чёткой взаимосвязи с нервом Дуральный хвост |
Примечание. СФО — солитарная фиброзная опухоль; ММУ — мостомозжечковые углы; ЧН — черепные нервы.
Как следует из анализа таблицы, критическими моментами при дифференциальной диагностике ПВО являются следующие признаки МРТ-семиотики: структура опухоли, характер контрастирования, отграничение образования от мозговой ткани, взаимосвязь опухоли с мозговыми оболочками/черепными нервами. Представленные дифференциально-диагностические признаки (структура опухоли, характер контрастирования, наличие признаков инвазии) позволяют во многих случаях разграничить доброкачественные и малигнизированные варианты менингиом, но наличие нетипичных МРТ-проявлений может затруднить дифференциальную диагностику. Источником ошибок может явиться и неравномерность встречаемости различных типов ПВО. Преобладание менингиом (составляют примерно 80%) может отвлечь внимание от других типов ПВО, особенно учитывая, что клинические проявления определяются, в основном, не видом опухоли, а её расположением [1, 6].
Наибольшая сложность возникает при дифференциальной диагностике злокачественных и доброкачественных менингиом [2]. Она основана, прежде всего, на оценке структуры новообразования и характера его контрастирования, а также на наличии признаков инвазии опухоли в вещество мозга. Структура доброкачественных менингиом в типичных случаях однородная, контрастирование гомогенное, в то время как для злокачественных менингиом характерна гетерогенность структуры и неоднородное (иногда только капсулярное) контрастирование [2, 13, 14]. В то же время, согласно научным исследованиям, доброкачественные менингиомы в 8–23% случаев могут быть неоднородной структуры за счёт наличия кист (в 10–15% случаев), кровоизлияний и петрификации, может отмечаться слабое контрастирование [2, 15]. Злокачественные менингиомы, напротив, могут иметь однородную структуру и гомогенное контрастирование [13]. Анализ представленных клинических примеров показывает, что внемозговые образования однородной структуры с гомогенным контрастированием рентгенологи склонны относить к доброкачественным менингиомам (случай 5), в то время как неоднородность структуры приводит к альтернативным предположениям даже при наличии прочих типичных для доброкачественных менингиом проявлений (случаи 1–3).
Другим источником ошибок дифференциальной диагностики менингиом стала неверная оценка наличия инвазии опухоли, которая является однозначным признаком злокачественности [1]. В представленных клинических примерах продемонстрированы случаи как недооценки (случай 5), так и гипердиагностики (случай 4) данного симптома. Оценка проникновения опухоли в вещество мозга по данным МРТ затруднена. Непрерывная ликворная щель между веществом опухоли и мозгом, являющаяся достоверным признаком отсутствия инвазии, может не прослеживаться у 20% пациентов с доброкачественными менингиомами [2]. С другой стороны, при наличии признаков доброкачественности рентгенологом может быть недооценено наличие проникновения новообразования в прилежащие структуры, как это показано в одном из клинических примеров (случай 5).
При расположении ПВО на основании черепа, в областях прохождения черепных нервов, особенно в мостомозжечковых углах, необходимо в первую очередь проводить дифференциальную диагностику между невриномами и менингиомами [2]. Её основой является наличие взаимосвязи опухоли с черепным нервом или мозговой оболочкой. Представленные клинические примеры (случаи 6 и 7) показывают, что решающим для рентгенолога фактором для отнесения опухоли к невриномам является наличие взаимосвязи образования с черепным нервом, а при её отсутствии рассматриваются альтернативные варианты.
Дополнительной предпосылкой для диагностической ошибки являются значительные различия в частоте встречаемости отдельных типов ПВО. Так, редкость СФО среди внутричерепных опухолей (менее 1%), а также сходство их МРТ-семиотики с менингиомами приводит к тому, что данные опухоли редко правильно распознаются [16, 17]. На основе признаков МРТ сложно дифференцировать менингиомы и СФО, как это показано в двух клинических примерах (случаи 8 и 9). Оба новообразования гиперваскулярны, совпадают их типичные локализации [7, 18]. Солитарные фиброзные опухоли так же, как и злокачественные менингиомы, имеют неоднородную структуру, гетерогенное контрастирование. Для них характерен перифокальный отёк и остеолиз, в 50% случаев может наблюдаться симптом «дурального хвоста» [2, 19]. Предположить СФО следует при наличии в структуре новообразования множественных извитых участков потери сигнала, обусловленных наличием сосудов, однако данный признак встречается и при менингиомах, но сосуды в этом случае чаще имеют прямолинейный ход [2, 17, 20].
ЗАКЛЮЧЕНИЕ
Дифференциальная диагностика различных типов ПВО на основе визуального анализа данных МРТ в большинстве случаев при типичных признаках семиотики не представляет затруднений. При атипичных МРТ-проявлениях надёжное разграничение опухолей бывает затруднительно. Наибольшую сложность при этом представляет дифференциация менингиом различной степени злокачественности, разграничение солитарных фиброзных опухолей и менингиом и установление типа опухоли при её локализации в мостомозжечковых углах. При дифференциальной диагностике в этих сложных ситуациях необходимо рассматривать всю совокупность признаков МРТ-семиотики, что тоже не всегда способно привести к верному решению. Окончательное заключение о типе новообразования делается только на основании гистологического исследования, являющегося золотым стандартом дифференциальной диагностики опухолей.
ДОПОЛНИТЕЛЬНАЯ ИНФОРМАЦИЯ
Источник финансирования. Авторы заявляют об отсутствии внешнего финансирования при проведении работы.
Конфликт интересов. Авторы декларируют отсутствие явных и потенциальных конфликтов интересов, связанных с публикацией настоящей статьи.
Вклад авторов. Все авторы подтверждают соответствие своего авторства международным критериям ICMJE (все авторы внесли существенный вклад в разработку концепции, проведение работы и подготовку статьи, прочли и одобрили финальную версию перед публикацией). Наибольший вклад распределён следующим образом: А.В. Капишников — концепция работы, редактирование текста; Е.Н. Суровцев — концепция и дизайн работы, сбор и обработка материалов, анализ полученных данных, написание и редактирование текста.
Информированное согласие на публикацию. Авторы получили письменное согласие пациентов и их законных представителей на публикацию медицинских данных и фотографий в обезличенной форме в журнале Digital Diagnostics.
ADDITIONAL INFORMATION
Funding source. This article was not supported by any external sources of funding.
Competing interests. The authors declare that they have no competing interests.
Authors’ contribution. All authors made a substantial contribution to the conception of the work, acquisition, analysis, interpretation of data for the work, drafting and revising the work, final approval of the version to be published and agree to be accountable for all aspects of the work. А.V. Kapishnikov — the concept of the work, approval of the final version; E.N. Surovcev — concept and design of the work, collection and processing of materials, data analysis, writing and editing the text.
Consent for publication. Written consent was obtained from the patients and their legal representatives for publication of relevant medical information and all of accompanying images within the manuscript in Digital Diagnostics Journal.
About the authors
Evgeniy N. Surovcev
Samara State Medical University; Dr. Sergey Berezin Medical Institute (MIBS)
Author for correspondence.
Email: evgeniisurovcev@mail.ru
ORCID iD: 0000-0002-8236-833X
SPIN-code: 5252-5661
Scopus Author ID: 57224906215
MD
Russian Federation, Samara; TogliattiAleksandr V. Kapishnikov
Samara State Medical University
Email: a.v.kapishnikov@samsmu.ru
ORCID iD: 0000-0002-6858-372X
SPIN-code: 6213-7455
Scopus Author ID: 6507900025
MD, Dr. Sci. (Medicine), Professor
Russian Federation, SamaraReferences
- Louis DN, Perry A, Wesseling P, et al. The 2021 WHO Classification of Tumors of the Central Nervous System: a summary. Neuro-Oncology. 2021;23(8):1231–1251. doi: 10.1093/neuonc/noab106
- Osborn AG, Salzman KL, Jhaveri MD. Diagnostic Imaging. Brain. Moscow: Izdatel’stvo Panfilova; 2018.
- Ostrom QT, Price M, Neff C, et al. CBTRUS Statistical Report: Primary Brain and Other Central Nervous System Tumors Diagnosed in the United States in 2015–2019. Neuro-oncology. 2022;5(24 suppl. 5):v1–v95. doi: 10.1093/neuonc/noac202
- Goldbrunner R, Weller M, Regis J, et al. EANO guideline on the diagnosis and treatment of vestibular schwannoma. Neuro-Oncology. 2020;22(1):31–45. doi: 10.1093/neuonc/noz153
- Goldbrunner R, Stavrinou P, Jenkinson MD, et al. EANO guideline on the diagnosis and management of meningiomas. Neuro-Oncology. 2021;23(11):1821–1834. doi: 10.1093/neuonc/noab150
- Roos DE, Patel SG, Potter AE, Zacest AC. When is an acoustic neuroma not an acoustic neuroma? Pitfalls for radiosurgeons. Journal of medical imaging and radiation oncology. 2015;59(4):474–479. doi: 10.1111/1754-9485.12328
- Cohen-Inbar O. Nervous System Hemangiopericytoma. The Canadian journal of neurological sciences. 2020;47(1):18–29. doi: 10.1017/cjn.2019.311
- Shin DW, Kim JH, Chong S, et al. Intracranial solitary fibrous tumor/hemangiopericytoma: tumor reclassification and assessment of treatment outcome via the 2016 WHO classification. Journal of Neuro-oncology. 2021;154(2):171–178. doi: 10.1007/s11060-021-03733-7
- Saigal G, Pisani L, Allakhverdieva E, et al. Utility of Microhemorrhage as a Diagnostic Tool in Distinguishing Vestibular Schwannomas from other Cerebellopontine Angle (CPA) Tumors. Indian Journal of Otolaryngology and Head and Neck Surgery. 2021;73(3):321–326. doi: 10.1007/s12070-021-02372-8
- Fountain DM, Young AMH, Santarius T. Malignant meningiomas. Handbook of Clinical Neurology. 2020;170:245–250. doi: 10.1016/B978-0-12-822198-3.00044-6
- Kabashi S, Ugurel MS, Dedushi K, Mucaj S. The Role of Magnetic Resonance Imaging (MRI) in Diagnostics of Acoustic Schwannoma. Acta Informatica Medica. 2020;28(4):287–291. doi: 10.5455/aim.2020.28.287-291
- Yan PF, Yan L, Zhang Z, et al. Accuracy of conventional MRI for preoperative diagnosis of intracranial tumors: A retrospective cohort study of 762 cases. International Journal of Surgery. 2016;36(Pt A):109–117. doi: 10.1016/j.ijsu.2016.10.023
- Ranabhat K, Bishokarma S, Agrawal P, et al. Role of MR Morphology and Diffusion-Weighted Imaging in the Evaluation of Meningiomas: Radio-Pathologic Correlation. JNMA. 2019;57(215):37–44. doi: 10.31729/jnma.3968
- Adeli A, Hess K, Mawrin C, et al. Prediction of brain invasion in patients with meningiomas using preoperative magnetic resonance imaging. Oncotarget. 2018;9(89):35974–35982. doi: 10.18632/oncotarget.26313
- Lin BJ, Chou KN, Kao HW, et al. Correlation between magnetic resonance imaging grading and pathological grading in meningioma. Journal of Neurosurgery. 2014;121(5):1201–1208. doi: 10.3171/2014.7.JNS132359
- Verma PK, Nangarwal B, Verma J, et al. A clinico-pathological and neuro-radiological study of angiomatous meningioma: Aggressive look with benign behaviour. Journal of Clinical Neuroscience. 2021;83:43–48. doi: 10.1016/j.jocn.2020.11.032
- El-Abtah ME, Murayi R, Lee J, et al. Radiological Differentiation Between Intracranial Meningioma and Solitary Fibrous Tumor/ Hemangiopericytoma: A Systematic Literature Review. World Neurosurgery. 2023;170:68–83. doi: 10.1016/j.wneu.2022.11.062
- Ohba S, Murayama K, Nishiyama Y, et al. Clinical and Radiographic Features for Differentiating Solitary Fibrous Tumor/ Hemangiopericytoma From Meningioma. World Neurosurgery. 2019;130:e383–e392. doi: 10.1016/j.wneu.2019.06.094
- Meng Y, Chaohu W, Yi L, et al. Preoperative radiologic characters to predict hemangiopericytoma from angiomatous meningioma. Clinical Neurology and Neurosurgery. 2015;138:78–82. doi: 10.1016/j.clineuro.2015.08.005
- Wang C, Xu Y, Xiao X, et al. Role of intratumoral flow void signs in the differential diagnosis of intracranial solitary fibrous tumors and meningiomas. Journal of neuroradiology. 2016;43(5):325–330. doi: 10.1016/j.neurad.2016.06.003
Supplementary files















