The role of computed tomography in the differential diagnosis of an intracardiac mass of the mitral valve: a case series
- Authors: Onoyko M.V.1, Mershina E.A.1, Arakelyants A.A.1,2, Sinitsyn V.E.1
-
Affiliations:
- Lomonosov Moscow State University
- Sechenov First Moscow State Medical University
- Issue: Vol 5, No 4 (2024)
- Pages: 893-901
- Section: Case reports
- Submitted: 03.04.2024
- Accepted: 30.05.2024
- Published: 12.11.2024
- URL: https://jdigitaldiagnostics.com/DD/article/view/629893
- DOI: https://doi.org/10.17816/DD629893
- ID: 629893
Cite item
Abstract
The differential diagnosis of an echocardiographically detected intracardiac mass in the mitral annulus can be challenging and usually requires a multimodal approach. This type of lesion is very often associated with subvalvular calcification of the mitral valve. The rare, caseous, variant is the most difficult to diagnose. This case series highlights the clinical significance of computed tomography in detecting and characterizing subvalvular mitral annular calcification when other modalities, particularly echocardiography, are inconclusive. The aim of this article was to raise awareness among specialists of the classic signs of caseous subvalvular calcification of the mitral annulus when visualized with different modalities. Special attention is also given to providing a differential diagnostic series that identifies features that differentiate subvalvular calcification of the mitral annulus from other conditions at this site. Healthcare professionals need to be aware of these mitral valve lesions in order to predict possible associated complications and plan a treatment strategy that may help avoid unnecessary surgical procedures in some cases.
Full Text
Introduction
Intracardiac masses are often incidentally identified during transthoracic echocardiography, which is a primary imaging modality in cardiology. Masses located near the mitral annulus may suggest caseous subvalvular calcification.
Subvalvular calcification of the mitral valve (SCMV) is relatively common, particularly in individuals over 50 years of age. It occurs twice as frequently in women compared to men [1, 2]. In SCMV, calcifications typically appear in the fibrous tissue of the posterior mitral leaflet, the area between its base and the left ventricular wall, and within the left ventricular myocardium. SCMV has been linked to conditions such as atherosclerosis, hypertension, coronary artery disease, heart failure, atrial fibrillation, and chronic kidney disease. Additionally, SCMV is associated with an increased risk of adverse cardiovascular events and mortality [3]. The diagnosis of SCMV is generally straightforward.
Caseous pseudoneoplastic SCMV is an uncommon variant marked by the transformation of dense calcified tissue into a paste-like consistency due to colliquative necrosis. Histologically, these lesions consist of amorphous material with infiltration by lymphocytes and macrophages, as well as cholesterol and calcium deposits [4, 5]. Deluca et al. reported that this variant is detected in approximately 0.64% of patients with SCMV and 0.068% of all echocardiographic examinations [6]. However, autopsy studies suggest a prevalence of up to 2.7%, indicating it is likely underdiagnosed due to limited clinician awareness or the inherent limitations of echocardiography [7]. Caseous SCMV can be mistaken for abscesses, tumors, or thrombotic lesions when assessed using transthoracic echocardiography or magnetic resonance imaging (MRI).
The following clinical cases illustrate the diagnostic utility of computed tomography (CT) in differentiating intracardiac masses in the mitral valve region that are incidentally detected on transthoracic echocardiography or MRI.
Cases description
Clinical case 1
A 60-year-old male patient with a history of long-standing hypertension, myocardial infarction, multiple coronary stent placements, and implantation of a bifocal cardioverter-defibrillator was admitted to the cardiology department in November 2023. He reported symptoms of fatigue, shortness of breath, swelling of the feet and lower legs, and chest pain triggered by minimal exertion (such as climbing two flights of stairs), which subsided with rest.
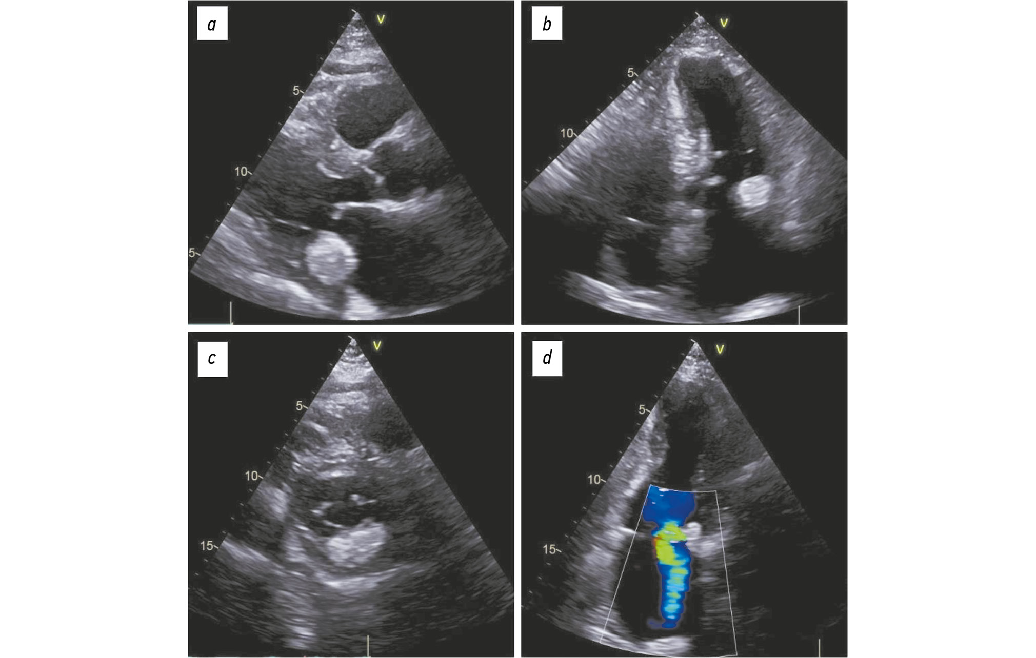
Transthoracic echocardiography revealed a left ventricular apical aneurysm, moderate hypertrophy of the remaining viable myocardium, dilation of all cardiac chambers, and moderately reduced global contractility. Atherosclerotic changes were observed in the aorta, aortic valve, and mitral valve. Additionally, grade II–III mitral and tricuspid regurgitation and grade I pulmonary hypertension were noted. A fixed, hyperechoic mass measuring 28 × 26 × 37 mm was identified near the posterior mitral leaflet. The mass lacked acoustic shadowing and showed no evidence of blood flow. It appeared to be adjacent to or arising from the posterior basal segment of the left ventricle, the posterior mitral leaflet, or the mitral annulus (Fig. 1). Retrospective evaluation of echocardiograms from May 2017 and October 2018 showed a large calcification at the site of the lesion.
Fig. 1. Transthoracic echocardiography, B-mode, clinical case 1: a–c, mass located near the posterior mitral leaflet; d, evidence of mitral regurgitation on Doppler ultrasonography; a, parasternal long-axis view; b, apical four-chamber view; c, parasternal short-axis view at the mitral valve level; d, apical two-chamber view.
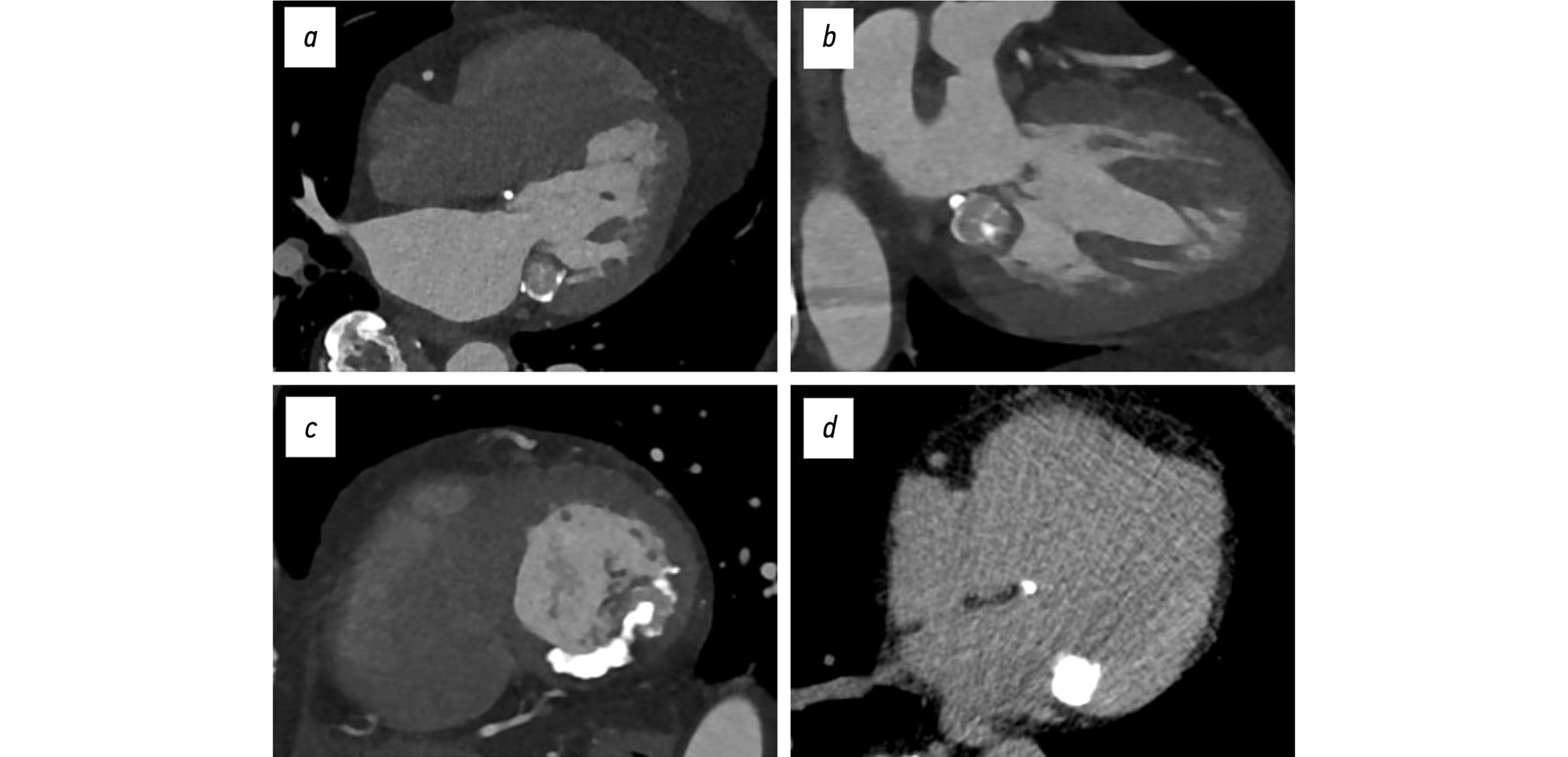
To further assess the nature of the lesion, electrocardiogram (ECG)-gated cardiac CT angiography was performed. It revealed an irregularly shaped lesion measuring 25 × 23 × 43 mm located at the base of the posterior mitral leaflet and within the left ventricular myocardium. The lesion exhibited peripheral calcifications with densities ranging from 1,335 to 1,350 HU and a central area of lower density (540–560 HU), with no contrast enhancement during either the arterial or venous phases. These findings were consistent with caseous subvalvular calcification beneath the posterior mitral leaflet (Fig. 2).
Fig. 2. ECG-gated cardiac computed tomography, clinical case 1: a–c, contrast-enhanced images, bone window; d, non-contrast image, soft tissue window; findings consistent with caseous subvalvular calcification beneath the posterior mitral leaflet: a, three-chamber view; b, four-chamber view; c, short-axis view at the mitral valve level; d, axial view.
CT also showed advanced coronary atherosclerosis, signs of scarring in the apical segments of the left ventricle, and left atrial enlargement. Medical therapy led to improvement the the patient’s coronary artery disease, and he was discharged with instructions for ongoing cardiology follow-up.
Clinical case 2
A 72-year-old female patient underwent routine transthoracic echocardiography, which revealed a fixed, hyperechoic mass located in the inferior wall of the left atrium, near the mitral valve. The lesion measured 21 × 15 mm and had a well-defined, smooth margins. A left atrial myxoma was initially suspected.
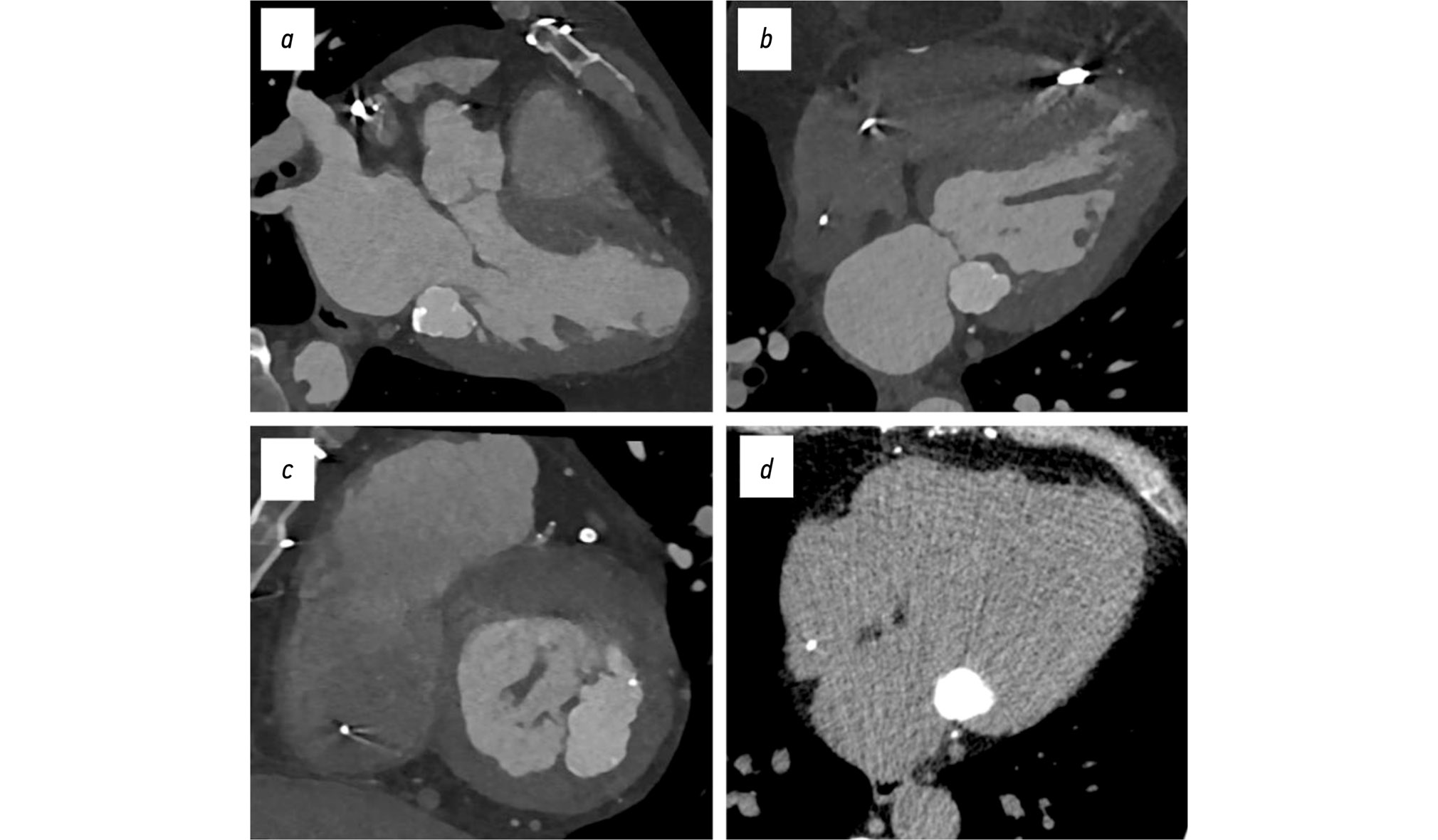
To further evaluate the lesion, ECG-gated cardiac CT angiography was performed. The scan identified a rounded calcified lesion measuring 35 × 12 mm at the level of the mitral annulus in the subvalvular region of the left ventricle. The lesion appeared heterogeneous, with calcified areas showing densities of 1,300–1,350 HU and a central region of lower density (330–340 HU), with no contrast enhancement observed during either the arterial or venous phases. These characteristics were consistent with caseous subvalvular calcification of the mitral annulus (Fig. 3).
Fig. 3. ECG-gated cardiac computed tomography, clinical case 2: a–c, contrast-enhanced images, bone window; d, noncontrast image, soft tissue window; findings consistent with caseous subvalvular calcification of the posterior mitral leaflet: a, four-chamber view; b, two-chamber long-axis view; c, short-axis view at the mitral valve level; d, axial view.
Additional imaging using the bone window demonstrated a heterogeneous calcified area near the base of the posterior mitral leaflet, also measuring approximately 35 × 12 mm, with a density reaching up to 1,680 HU.
Clinical case 3
A 66-year-old male underwent cardiac MRI to assess the extent of scarring in the inferior wall of the left ventricle following a myocardial infarction that had occurred 20 years earlier. The scan revealed a 10 × 12 mm mass near the posterior mitral leaflet, characterized by low MR signal intensity and peripheral contrast enhancement with delayed uptake. Subsequently, ECG-gated cardiac CT angiography was conducted. A comparison of the MRI and CT findings confirmed that the lesion was consistent with caseous SCMV (Fig. 4).
Fig. 4. Clinical case 3: a–c, cardiac magnetic resonance imaging; d, ECG-gated cardiac computed tomography; green arrows indicate a mass adjacent to the posterior mitral leaflet; red arrows show postinfarction transmural fibrotic changes in the inferior wall of the left ventricle at the middle and basal segments; a–b, steady-state free precession (SSFP) sequence, two-chamber long-axis view, without contrast; c, T1-weighted image with myocardium signal suppression and delayed contrast enhancement, two-chamber long-axis view; d, axial view, bone window.
Discussion
Echocardiography is the most widely used noninvasive method for assessing cardiac structure and function. It is typically effective in identifying echogenic subvalvular lesions of the mitral valve, including SCMV. The brightness mode (B-mode) is most effective for detecting SCMV on echocardiography. In this mode, SCMV appears as a hyperechoic lesion with a characteristic location, well-defined borders, and an acoustic shadow. However, when SCMV undergoes transformation into its caseous form, the ultrasound characteristics change notably. Caseous SCMV appears as a heterogeneous, ovoid lesion with a hypoechoic center, lacking both an acoustic shadow and Doppler-detectable blood flow [7]. Since caseous SCMV can resemble a mass lesion on echocardiography, distinguishing it from cardiac tumors, abscesses, or thrombotic formations is essential.
Cardiac CT is a fast and reliable imaging method for detecting SCMV and serves as a valuable adjunct in preoperative planning for mitral valve surgery. CT provides both qualitative and quantitative information about calcific lesions. It also enables calculation of the coronary artery calcium score, which is relevant because SCMV is often associated with coronary artery disease [8]. On noncontrast CT, SCMV typically appears as an ovoid, high-density lesion consistent with calcification. In the bone window setting, the internal heterogeneity of the lesion becomes more apparent, with either a dense homogeneous or heterogeneous central area and prominent peripheral calcifications [9]. The absence of contrast enhancement in SCMV lesions is a key feature aiding in differential diagnosis.
On MRI, SCMV usually presents as a hypointense mass on both T1- and T2-weighted images. However, these MRI characteristics are nonspecific and primarily suggest the possibility of mitral valve calcifications. In contrast, CT provides more definitive characterization, as it is not limited by this ambiguity.
The most typical MRI features of caseous SCMV include:
- An isointense or hyperintense signal in the central region with a hypointense peripheral signal on T1-weighted images
- A hypointense signal on short tau inversion recovery (STIR) sequences
- A signal that is either less intense or isointense compared to the myocardium on steady-state free precession (SSFP) sequences
- Delayed peripheral contrast enhancement within the fibrous capsule [9, 10].
The ultrasound, MRI, and CT findings in the clinical cases presented here are consistent with previously reported imaging characteristics of caseous subvalvular calcification in the posterior mitral leaflet region [9, 11–13].
Transthoracic echocardiography of the mitral valve is useful in considering a range of differential diagnoses for mass-like lesions, including tumors such as papillary fibroelastoma and mixoma, thrombotic formations, and abscesses. However, establishing a definitive diagnosis often requires additional imaging, particularly CT.
CT and/or MRI can help differentiate caseous SCMV from mixoma or papillary fibroelastoma by assessing features such as contrast enhancement (which is absent in SCMV), tumor mobility, presence of a pedicle, MR signal characteristics of tumor tissue, and tumor density on CT.
Since infective endocarditis is the most common cause of valvular abscesses, correlating imaging findings with clinical and laboratory data is critical. On CT, abscesses typically appear as encapsulated masses with contrast enhancement and a central hypodense necrotic area.
On contrast-enhanced CT, thrombotic masses typically appear as hypodense, avascular lesions. On MRI, the signal intensity of thrombi varies depending on their age. Organized thrombi with a high content of fibrous tissue may demonstrate mild peripheral contrast enhancement—a feature also seen in caseous SCMV. Since conventional calcifications, caseous SCMV, and thrombi may exhibit similar MRI characteristics, it is essential to interpret MRI findings alongside CT results.
Conclusion
Interpreting echocardiographic findings and performing differential diagnosis of intracardiac masses can be difficult, highlighting the importance of incorporating additional imaging modalities such as CT and MRI. Caseous SCMV is a rare and usually asymptomatic condition, contributing to its under recognition among clinicians. It is important to note that, although uncommon, SCMV can lead to complications such as stroke, arrhythmias, mitral regurgitation, or stenosis. SCMV is also associated with established cardiovascular risk factors. Accurate identification of an incidentally discovered intracardiac mass and selection of the most appropriate treatment approach require a comprehensive, multimodal diagnostic strategy.
Additional information
Funding source. This article was not supported by any external sources of funding.
Competing interests. The authors declare that they have no competing interests.
Authors’ contribution. All authors made a substantial contribution to the conception of the work, acquisition, analysis, interpretation of data for the work, drafting and revising the work, final approval of the version to be published and agree to be accountable for all aspects of the work. M.V. Onoyko — collection and processing of materials, writing the text of the manuscript; E.A. Mershina — concept of the article, editing the text of the manuscript, final version approval; A.A. Arakelyants — collection and processing of materials, editing the text of the manuscript; V.E. Sinitsyn — editing the text of the manuscript, final version approval.
Consent for publication. Written consent was obtained from the patients for publication of relevant medical information and all of accompanying images within the manuscript in Digital Diagnostics journal.
About the authors
Maria V. Onoyko
Lomonosov Moscow State University
Author for correspondence.
Email: onoykomary@gmail.com
ORCID iD: 0000-0002-7727-3360
SPIN-code: 6380-7495
MD
Russian Federation, MoscowElena A. Mershina
Lomonosov Moscow State University
Email: elena_mershina@mail.ru
ORCID iD: 0000-0002-1266-4926
SPIN-code: 6897-9641
MD, Cand. Sci. (Medicine), Assistant Professor
Russian Federation, MoscowAmalia A. Arakelyants
Lomonosov Moscow State University; Sechenov First Moscow State Medical University
Email: nxrrimma@mail.ru
ORCID iD: 0000-0002-1243-2471
SPIN-code: 4990-6008
MD, Cand. Sci. (Medicine)
Russian Federation, MoscowValentin E. Sinitsyn
Lomonosov Moscow State University
Email: vsini@mail.ru
ORCID iD: 0000-0002-5649-2193
SPIN-code: 8449-6590
MD, Dr. Sci. (Medicine), Professor
Russian Federation, MoscowReferences
- Savage DD, Garrison RJ, Castelli WP, et al. Prevalence of submitral (anular) calcium and its correlates in a general population based sample (the Framingham Study). Am J Cardiol. 1983;51(8):1375–1378. doi: 10.1016/0002-9149(83)90315-6
- Abramowitz Y, Jilaihawi H, Chakravarty T, et al. Mitral Annulus Calcification. J Am Coll Cardiol. 2015;66(17):1934–1941. doi: 10.1016/j.jacc.2015.08.872
- Kanjanauthai S, Nasir K, Katz R, et al. Relationships of mitral annular calcification to cardiovascular risk factors: the Multi Ethnic Study of Atherosclerosis (MESA). Atherosclerosis. 201;213(2):558–562. doi: 10.1016/j.atherosclerosis.2010.08.072
- Harpaz D, Auerbach I, Vered Z, et al. Caseous calcification of the mitral annulus: a neglected, unrecognized diagnosis. J Am Soc Echocardiogr. 2001;14(8):825–831. doi: 10.1067/mje.2001.111877
- Silbiger JJ. Anatomy, mechanics, and pathophysiology of the mitral annulus. Am Heart J. 2012;164(2):163–176. doi: 10.1016/j.ahj.2012.05.014
- Deluca G, Correale M, Ieva R, et al. The incidence and clinical course of caseous calcification of the mitral annulus: a prospective echocardiographic study. J Am Soc Echocardiogr. 2008;21(7):828–833. doi: 10.1016/j.echo.2007.12.004
- Akram M, Hasanin AM. Caseous mitral annular calcification: Is it a benign condition? J Saudi Hear Assoc. 2012;24(3):205–208. doi: 10.1016/j.jsha.2012.02.003
- Hamirani YS, Nasir K, Blumenthal RS, et al. Relation of mitral annular calcium and coronary calcium (from the Multi Ethnic Study of Atherosclerosis [MESA]). Am J Cardiol. 2011;107(9):1291–1294. doi: 10.1016/j.amjcard.2011.01.005
- Shriki J, Rongey C, Ghosh B, et al. Caseous mitral annular calcifications: Multimodality imaging characteristics. World J Radiol. 2010;2(4):143-147. doi: 10.4329/wjr.v2.i4.143
- Gravina M, Casavecchia G, Manuppelli V, et al. Mitral annular calcification: Can CMR be useful in identifying caseous necrosis? Interv Med Appl Sci. 2019;11(1):71-73. doi: 10.1556/1646.10.2018.47
- Mayr A, Müller S, Feuchtner G. The Spectrum of Caseous Mitral Annulus Calcifications. JACC Case Rep. 2021;3(1):104–108. doi: 10.1016/j.jaccas.2020.09.039
- Belkind MB, Butorova EA, Stukalova OV, et al. Caseous calcification of the mitral annulus. Eurasian heart journal. 2023;(4):90–93. doi: 10.38109/2225-1685-2023-4-90-93
- Saidova MA, Atabaeva LS, Stukalova OV. Caseous calcification of the mitral annulus. Russian Cardiology Bulletin. 2019;14(3):62–67. doi: 10.36396/MS.2019.14.03.010
Supplementary files











