Potential use of cardiac magnetic resonance imaging in differential diagnosis of cardiomyopathies due to light-chain amyloidosis and transthyretin amyloidosis
- Authors: Magomedova Z.M.1,2, Nikiforova T.V.3, Shchekochikhin D.Y.1,2, Pershina E.S.1,2, Kovalev K.V.1, Abdulmazhidova K.S.2, Rassechkina D.S.2, Grachev A.E.4, Rekhtina I.G.4, Sarkisyan S.D.2, Volovchenko A.N.2, Sinitsyn V.E.5, Andreev D.A.2
-
Affiliations:
- Pirogov Municipal Clinical Hospital № 1
- Sechenov First Moscow State Medical University
- S.S. Yudin City Clinical Hospital
- National Medical Research Center of Hematology
- Lomonosov Moscow State University
- Issue: Vol 5, No 4 (2024)
- Pages: 668-681
- Section: Original Study Articles
- Submitted: 08.09.2024
- Accepted: 24.10.2024
- Published: 12.11.2024
- URL: https://jdigitaldiagnostics.com/DD/article/view/635007
- DOI: https://doi.org/10.17816/DD635007
- ID: 635007
Cite item
Abstract
BACKGROUND: Cardiac amyloidosis is a serious progressive disease with a high mortality rate. The differential diagnosis of cardiomyopathies due to amyloid light-chain (AL) amyloidosis and transthyretin (ATTR) amyloidosis is important for selecting the optimal treatment strategy.
AIM: The aim of this study was to evaluate the capabilities of cardiac magnetic resonance imaging in the differential diagnosis of cardiomyopathies due to AL and ATTR amyloidosis.
MATERIALS AND METHODS: A retrospective analysis of the medical records of 25 patients with a confirmed diagnosis of amyloid cardiomyopathy was performed. Patients were divided into two groups according to the type of amyloidosis, with group 1 including patients with cardiomyopathy due to AL amyloidosis and group 2 including patients with cardiomyopathy due to ATTR amyloidosis. All patients underwent contrast-enhanced cardiac magnetic resonance imaging. Volumetric and linear cardiac parameters, ventricular function, and late gadolinium enhancement patterns were assessed. Standard statistical methods were used, and differences were considered significant at p <0.05.
RESULTS: Group 2 showed a more significant thickening of the myocardial walls compared to group 1 (interventricular septum: 18 [17; 18] vs. 14.5 mm [12.8; 16.0], p <0.01, posterior wall of the left ventricle: 14 [13; 17] vs. 10.5 mm [10; 12.3], p <0.01). The indexed mass of the left ventricle myocardium was 110 [92; 125] in group 2 and 85 mm [69.3; 91.8] in group 1 (p <0.01). In group 2, late gadolinium enhancement with a transmural left ventricle pattern was more frequently observed in the basal and mid-lower-lateral segments, whereas in group 1, a subendocardial pattern of late gadolinium enhancement was more frequent in the mid-anterior and lower-lateral segments (p <0.05). In addition, frequency of simultaneous contrast enhancement in the subendocardial layers of the interventricular septum on the left ventricle and right ventricle sides was higher in group 2 (100% of cases vs. 50%, p <0.01). Late gadolinium enhancement of the right ventricle was also more common in group 2 (100 vs. 58%, p <0.05), especially in the interventricular septum and inferior wall area (p <0.05). Semi-quantitative assessment of LGE using the Query Amyloid Late Enhancement (QALE) showed greater contrast enhancement in group 2: 13 [12; 14] vs. 10.5 [1.75; 12], p <0.01), and a score greater than 13 differentiated between cardiomyopathy due to AL amyloidosis and ATTR amyloidosis with a sensitivity of 69% and a specificity of 83%.
CONCLUSIONS: Cardiac MRI identifies typical features of cardiomyopathies due to AL amyloidosis and ATTR amyloidosis for their differential diagnosis. Further research is needed to confirm diagnostic accuracy of the patterns identified.
Full Text
Background
Cardiac amyloidosis is a serious, progressive disease that causes heart failure and death. It is defined by the extracellular deposition of a specific protein–polysaccharide complex (amyloid) in the myocardium. The most common types of cardiac amyloidosis are amyloid light-chain (AL) amyloidosis and transthyretin (ATTR) amyloidosis, which are caused by immunoglobulin light chain amyloid and transthyretin deposition, respectively. The differential diagnosis of cardiomyopathies due to AL and ATTR amyloidosis is crucial for selecting the optimal treatment strategy [1–3].
Amyloidosis is a rare condition. However, recent findings indicate that amyloid cardiomyopathy is underestimated as a cause of common cardiac disorders. Due to advancements in cardiac imaging and improved diagnosis and treatment strategies, the options for diagnosing and managing cardiac amyloidosis have expanded [4, 5]. Algorithms proposed by the American College of Cardiology [6, 7] and the European Society of Cardiology [8] are currently used for diagnosing this condition.
Cardiac amyloidosis is diagnosed by assessing clonal dyscrasia using an immunochemical analysis of serum and 24-h urine samples. The analysis involved serum and urine protein electrophoresis with immunofixation, as well as a serum-free light chain assay to rule out AL amyloidosis. If the test is positive, a right ventricular (RV) endomyocardial biopsy can be performed to confirm the diagnosis and distinguish between AL and ATTR amyloidosis. In the absence of clonal dyscrasia, ATTR amyloidosis is confirmed using scintigraphy with technetium radiopharmaceuticals (99mTc-PYP, 99mTc pyrophosphate; 99mTc-DPD, 99mTc-3,3-diphosphono-1,2-propanodicarboxylic acid; 99mTc-HMDP, 99mTc-hydroxyl-methylenediphosphonate), with an uptake rate of 2–3; a biopsy is not required. TTR genotyping is also possible, particularly for detecting hereditary disease forms, even without family history or signs of polyneuropathy. However, endomyocardial biopsy is the gold standard in cases with inconclusive test results. This method has high specificity and sensitivity for detecting amyloid deposits by Congo red staining [6, 8, 9].
Time-delayed contrast-enhanced magnetic resonance imaging (MRI) is highly effective in diagnosing cardiac amyloidosis and detects contrast uptake patterns in the myocardium characteristic of amyloid deposits and allows the assessment of cardiac functional disorders [10–12]. Moreover, cardiac MRI allows for the differential diagnosis between AL and ATTR amyloidosis-induced cardiomyopathy, considering the pattern of delayed contrast uptake, signs of severe concentric ventricular hypertrophy, and increased myocardial mass [13].
Aim
To assess the potential of cardiac MRI in the differential diagnosis of cardiomyopathy due to AL or ATTR amyloidosis.
Methods
Study design
We conducted a cross-sectional, observational, single-arm, single-center study to review the medical records of patients with confirmed cardiomyopathy due to AL or ATTR amyloidosis.
Eligibility criteria
We used contrast-enhanced cardiac MRI findings obtained between January 1, 2021, and May 31, 2024.
Inclusion criteria:
- confirmed cardiomyopathy due to AL or ATTR amyloidosis in accordance with the American College of Cardiology guidelines [14, 15], European Society of Cardiology guidelines [8], and Russian guidelines for the diagnosis and treatment of systemic amyloidosis [9];
- available contrast-enhanced cardiac MRI findings; and
- signed informed consent (the study only included data from patients who signed an informed consent form for the use of their data for research purposes, approved by the City Clinical Hospital No. 1 named after N.I. Pirogov).
Study setting
A contrast-enhanced cardiac MRI was performed in the MRI and CT department of the City Clinical Hospital No. 1 named after N.I. Pirogov. We included the medical records of outpatients and inpatients. Amyloid cardiomyopathy could be the principal diagnosis or a complication of another condition.
Study duration
We reviewed the medical records between June 1, 2024, and July 31, 2024.
Intervention
The analysis of medical records included clinical examination, blood test, electrocardiography (ECG), echocardiography, and cardiac MRI findings.
A cardiac MRI was performed using the Vantage ExelArt TOSHIBA 1.5T and Philips Ingenia 1.5-T Evolution scanners, according to the optimized protocols for diagnosing cardiac amyloidosis. We used a specific sequence of scanning protocols to assess the heart morphology, ventricular function, and signs of amyloid deposits:
- A series of scans (localizers) in three planes for examination planning.
- A cine-MRI in the steady-state free precession mode in two-, three-, and four-chamber views and a series of short-axis scans from the base to the apex of the left ventricle (LV).
- Fat-suppressed T2-weighted imaging.
- Black blood T2-weighted imaging.
- TI-scout (look-locker) imaging 8–10 min after contrast injection to determine the optimal myocardial inversion time (TI) or the phase-sensitive inversion recovery sequence.
- Post-contrast T1-weighted imaging to assess delayed contrast uptake in the myocardium (late gadolinium enhancement, LGE) 10–15 min after contrast injection.
All examinations were ECG-gated, with breath holding, where necessary. The slice thickness and interslice gap were 6–8 and 2 mm, respectively. The total examination time was ~45–60 min.
Main study outcome
The main study outcome was changes in cardiac MRI in patients with cardiomyopathy due to amyloidosis. We assessed the following parameters: LV volumetric and linear measures; LV and RV LGE patterns.
Additional study outcomes
The additional study outcome was a semiquantitative LGE assessment using the Query Amyloid Late Enhancement (QALE) score.
Subgroup analysis
The study included two groups based on the amyloidosis type:
- Group 1: patients with cardiomyopathy due to AL amyloidosis;
- Group 2: patients with cardiomyopathy due to ATTR amyloidosis.
Outcomes registration
Images were processed and analyzed using the specialist cvi42 software (Circle Cardiovascular Imaging Inc., Canada). Two qualified radiologists experienced in cardiac imaging independently assessed the cardiac MRI findings. The interobserver variability was additionally assessed. Changes in LV volumetric and linear measures were recorded. Contrast uptake patterns in the myocardium depending on the type of amyloidosis were identified. We used the QALE score developed by Dungu et al. [13] for a semi-quantitative LGE assessment. The analysis involves three LV levels: basal, middle, and apical. The maximum score for each level is four points, depending on the contrast uptake pattern. If the RV is involved, the maximum score for each level increases to six points. Thus, the total QALE score ranged from 0 (no LGE) to 18 (global transmural LV LGE plus RV involvement).
Ethical review
The Local Ethics Committee of I.M. Sechenov First Moscow State Medical University approved this study (Minutes No. 15–24 of June 6, 2024).
Statistical analysis
Sample size calculation: The sample size was not calculated in advance due to the rarity (orphan) of the disease. Considering the limited number of patients with this condition, all eligible patients were included.
Statistical analysis methods: The qualitative parameters were compared using the χ2 or Fisher’s exact test. The quantitative parameters were compared using the nonparametric Mann–Whitney test. The results were presented as Me [Q25; Q75], where Me is the median and Q25 and Q75 are the 25th and 75th percentiles, respectively. Differences were considered significant at p < 0.05.
Results
Participants
The study included 25 patients with confirmed cardiac amyloidosis, with 12 and 13 patients in Groups 1 and 2, respectively. The mean age was 71.7 ± 12 years; 46% of the patients were male.
Table 1 shows the patient characteristics, including demographics and clinical data.
Table 1. Comparison of patient characteristics | |||
Characteristics | Group 1, n = 12 | Group 2, n = 13 | p-value |
Demographics | |||
Age, years | 64.5 [59.3; 71.8] | 79 [74; 84] | <0.01 |
Males, n (%) | 5 (42) | 11 (85) | 0.07 |
Clinical findings | |||
Chronic heart failure, NYHA class II, n (%) | 7 (58) | 6 (46) | 0.83 |
Chronic heart failure, NYHA class III, n (%) | 5 (42) | 7 (54) | 0.83 |
Hypertension, n (%) | 4 (33) | 4 (31) | 1.0 |
Coronary artery disease, n (%) | 2 (17) | 5 (38) | 0.44 |
Polyneuropathy, n (%) | 2 (15) | 3 (23) | 1.0 |
Spinal stenosis, n (%) | 0 (0) | 1 (8) | 1.0 |
Carpal tunnel syndrome, n (%) | 0 (0) | 1 (8) | 1.0 |
Anamnestic findings | |||
Pacemaker implantation, n (%) | 2 (15) | 1 (8) | 0.94 |
History of revascularization, n (%) | 1 (8) | 3 (23) | 0.65 |
History of myocardial infarction, n (%) | 2 (17) | 3 (23) | 1.00 |
Electrocardiography | |||
Low QRS voltage on ECG, n (%) | 5 (42) | 5 (38) | 1.00 |
Pseudo-infarction changes, n (%) | 6 (50) | 2 (15) | 0.15 |
Complete right bundle branch block, n (%) | 1 (8) | 2 (15) | 1.00 |
Grade 1 atrioventricular block, n (%) | 1 (8) | 4 (31) | 0.37 |
Atrial fibrillation, n (%) | 6 (50) | 7 (54) | 1.00 |
Laboratory findings | |||
NT-proBNP > 300 pg/mL, n (%) | 12 (100) | 13 (100) | 0.07 |
Troponin I > 0.023 ng/mL, n (%) | 5 (42) | 7 (54) | 0.83 |
Proteinuria > 1.0 g/day, n (%) | 11 (92) | 1 (8) | <0.01 |
Echocardiography | |||
Left ventricular ejection fraction, % | 57 [48; 63] | 54 [54; 58] | 0.51 |
Interventricular septum, mm | 15 [14; 17] | 17 [16; 19] | 0.01 |
Left ventricular posterior wall, mm | 13 [12; 15] | 16 [14; 17] | 0.09 |
Note. Low voltage on ECG was defined as all QRS amplitudes < 5 mm (standard leads) or < 10 mm (precordial leads). NYHA, New York Heart Association classification; NT-proBNP, N-terminal prohormone of brain natriuretic peptide. | |||
Primary results
MRI: cardiac volumetric and linear measures
Group 2 had more pronounced myocardial wall thickening than Group 1 (interventricular septum, LV involvement, 18 mm [17; 18] vs. 14.5 mm [12.8; 16], p < 0.01; LV posterior wall 14 mm [13; 17] vs. 10.5 mm [10.0; 12.3], p < 0.01) (Fig. 1). No significant differences were found in LV ejection fraction parameters: 53% [42; 66] vs. 56.5% [51.5; 66.3], p > 0.05). However, the LV mass index was higher in Group 2 (110 mm/m2 [92; 125] vs. 85.0 mm/m2 [69.3; 91.8], p < 0.01). Pleural effusion was detected in 67% and 46% of patients in Groups 1 and 2, respectively, but the difference was not significant (p = 0.530).
Fig. 1. Box plot of the linear measures of cardiac magnetic resonance imaging in Groups 1 and 2. AL, light-chain amyloidosis (Group 1); ATTR, transthyretin amyloidosis (Group 2); IVS, interventricular septum; LVPW, left ventricular posterior wall.
MRI: delayed contrast uptake in the myocardium
LGE was detected in all patients in Group 2 and 11 (85%) patients in Group 1 (Table 2). RV LGE was detected in all patients in Group 2 and 58% of patients in Group 1 (p < 0.05). Group 2 had a significantly higher rate of contrast uptake in the interventricular septum and RV inferior wall (62% vs. 8%, p < 0.05) (Fig. 2). A simultaneous subendocardial LGE in the LV and RV in the interventricular septum was found Group 2, resulting in the double-line sign (100% vs. 50%, p < 0.01) (Fig. 3). Atrial LGE was observed in 69% and 50% of patients in Groups 2 and 1, respectively (p > 0.05).
Table 2. Comparison of late gadolinium enhancement cases depending on the segment on MRI. | ||||||||
Group 1, n = 12 | Group 2, n = 13 | |||||||
0 | 1 | 2 | 3 | 0 | 1 | 2 | 3 | |
Basal level | ||||||||
Segment 1 (anterior), n | 4 | 2 | 6 | 0 | 3 | 0 | 8 | 2 |
Segment 2 (anteroseptal), n | 7 | 1 | 3 | 1 | 4 | 3 | 5 | 1 |
Segment 3 (inferoseptal), n | 6 | 2 | 4 | 0 | 4 | 3 | 5 | 1 |
Segment 4 (inferior), n | 2 | 2 | 5 | 3 | 1 | 2 | 7 | 3 |
Segment 5 (inferolateral), n | 2 | 1 | 5 | 4* | 0 | 1 | 1 | 11* |
Segment 6 (anterolateral), n | 3 | 2 | 5 | 2 | 1 | 2 | 5 | 5 |
Middle level | ||||||||
Segment 7 (anterior), n | 5 | 1 | 6 | 0 | 4 | 3 | 5 | 1 |
Segment 8 (anteroseptal), n | 5 | 3 | 4 | 0 | 6 | 1 | 5 | 1 |
Segment 9 (inferoseptal), n | 6 | 1 | 5 | 0 | 5 | 2 | 5 | 1 |
Segment 10 (inferior), n | 3 | 1 | 7 | 1 | 6 | 1 | 4 | 2 |
Segment 11 (inferolateral), n* | 3 | 0 | 9* | 0* | 3 | 1 | 1* | 8* |
Segment 12 (anterolateral), n* | 4 | 0 | 8* | 0 | 5 | 4 | 2* | 2 |
Apical level | ||||||||
Segment 13 (anterior), n | 6 | 0 | 6 | 0 | 7 | 0 | 5 | 1 |
Segment 14 (septal), n | 6 | 0 | 6 | 0 | 5 | 1 | 5 | 2 |
Segment 15 (inferior), n | 6 | 0 | 6 | 0 | 9 | 1 | 3 | 0 |
Segment 16 (lateral), n | 6 | 0 | 6 | 0 | 8 | 1 | 4 | 0 |
Total*, n | 9 | 5 | 10 | 4* | 12 | 9 | 12 | 12* |
Combination of the segments | ||||||||
Basal level of the interventricular septum (segments 2 and 3), n | 6 | 1 | 3 | 0 | 4 | 3 | 5 | 1 |
Middle level of the interventricular septum (segments 8 and 9), n | 5 | 1 | 4 | 0 | 5 | 1 | 5 | 1 |
Interventricular septum (segments 2, 3, 8, 9, and 14), n | 4 | 0 | 2 | 0 | 2 | 1 | 2 | 0 |
Basal level, lateral wall (segments 5 and 6), n | 2 | 1 | 3 | 2 | 0 | 1 | 1 | 5 |
Middle level, lateral wall (segments 11 and 12), n | 3 | 0 | 8* | 1 | 3 | 1 | 1* | 1 |
Lateral wall (segments 5, 6, 11, 12, and 16), n | 2 | 0 | 3 | 0 | 1 | 0 | 0 | 0 |
Circular distribution with a subendocardial pattern | ||||||||
Basal level, n | 2 | 0 | ||||||
Middle level, n | 3 | 1 | ||||||
Apical level, n | 6 | 2 | ||||||
Circular distribution with any contrast uptake pattern | ||||||||
Basal level, n | 4 | 7 | ||||||
Middle level, n | 6 | 5 | ||||||
Apical level, n | 5 | 4 | ||||||
Note. 0, no late gadolinium enhancement areas; 1, intramyocardial late gadolinium enhancement pattern; 2, subendocardial late gadolinium enhancement pattern; 3, transmural late gadolinium enhancement pattern; *, significant intergroup difference (cases of late gadolinium enhancement with the same pattern in the groups). | ||||||||
Fig. 2. Distribution of late gadolinium enhancement cases in the right ventricle in the groups. RV, right ventricle; AL, light-chain amyloidosis (Group 1); ATTR, transthyretin amyloidosis (Group 2); LGE, late gadolinium enhancement.
Fig. 3. Time-delayed contrast-enhanced cardiac magnetic resonance imaging scans in transthyretin amyloidosis. Subendocardial contrast uptake in the interventricular septum (right and left ventricular involvement) (red dashed lines).
The analysis of contrast uptake distribution by cardiac segments revealed transmural LGE in Group 2 at the basal and middle levels (inferolateral segments, Fig. 4) (p < 0.05). Group 1 showed subendocardial LGE at the middle level (antero- and inferolateral segments, Fig. 5) (p < 0.05). The other segments showed no specific contrast uptake patterns (p > 0.05) (Table 3). The circular contrast uptake rates were not significantly different.
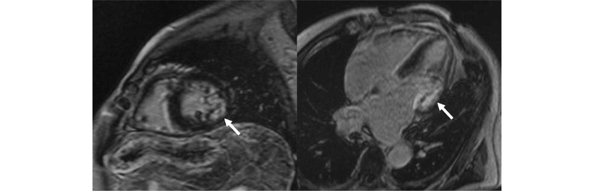
Fig. 4. Time-delayed contrast-enhanced cardiac magnetic resonance imaging scans in transthyretin amyloidosis. Transmural contrast uptake at the basal and middle levels (inferolateral segments), subendocardial contrast uptake at the basal level (anterior, anterolateral, and inferior segments) of the left ventricular myocardium (white arrows), and subendocardial contrast uptake in the interventricular septum (right ventricular involvement) (yellow arrow).
Fig. 5. Time-delayed contrast-enhanced cardiac magnetic resonance imaging scans in light-chain amyloidosis. Subendocardial contrast uptake at the basal and middle levels (inferolateral segments) of the left ventricular myocardium (white arrows).
Table 3. Comparative analysis of late gadolinium enhancement cases in various cardiac structures in the groups. | |||
Characteristics | Group 1, n = 12 | Group 2, n = 13 | p-value |
Late gadolinium enhancement in the right ventricle, n (%) | 7 (58) | 13 (100) | <0.05 |
Late gadolinium enhancement in the right ventricular inferior wall, n (%) | 1 (8) | 8 (62) | <0.05 |
Late gadolinium enhancement in the interventricular septum (right ventricular involvement), n (%) | 6 (50) | 13 (100) | <0.05 |
Late gadolinium enhancement in the right ventricular wall, n (%) | 6 (50) | 9 (69) | >0.05 |
Late gadolinium enhancement in the atria, n (%) | 6 (50) | 9 (69) | >0.05 |
Late gadolinium enhancement in the interventricular septum (right and left ventricular involvement), n (%) | 6 (50) | 13 (100) | <0.05 |
Secondary results
Semi-quantitative LGE assessment of cardiac amyloidosis
We performed a semiquantitative LGE assessment using the QALE score during the analysis of postcontrast T1-weighted images of the ventricles. Group 2 had larger LGE areas than Group 1: 13 points [12; 14] vs. 10.5 points [1.75; 12], p < 0.01 (Fig. 6). We performed a receiver operating characteristic (ROC) analysis to determine a predictive model for the QALE score in patients with cardiomyopathy, depending on the amyloidosis type. The analysis confirmed the QALE score’s usefulness in determining the amyloidosis type: the area under the ROC curve (AUC) was 0.83 (sensitivity 69%, specificity 83%, QALE threshold ≥ 13 points).
Fig. 6. Box plot of the Query Amyloid Late Enhancement (QALE) score in Groups 1 and 2. AL, light-chain amyloidosis (Group 1); ATTR, transthyretin amyloidosis (Group 2).
Fig. 7. ROC curve for the Query Amyloid Late Enhancement (QALE) score. Solid line: QALE score, area under the curve (AUC) 0.83 (95٪ confidence interval: 0.64–0.97); sensitivity 69٪; specificity 83٪.
Discussion
Summary of primary results
This retrospective study revealed that cardiac MRI plays a significant role in the differential diagnosis of AL amyloidosis- and ATTR amyloidosis-induced cardiomyopathy. This conclusion is clinically significant because these two conditions require fundamentally different therapeutic approaches [16].
Discussion of primary results
Distinctive signs of amyloid cardiomyopathy include more pronounced myocardial wall thickening (interventricular septum, LV involvement, and LV posterior wall) and an increased LV mass index in ATTR amyloidosis compared with AL amyloidosis, which was consistent with previous findings, indicating that ATTR amyloidosis is associated with more severe myocardial hypertrophy. Based on Dungu et al. [13], AL amyloidosis was characterized by a minimal increase in the LV mass index compared with ATTR amyloidosis. They reported a significant LV wall thickening in ATTR amyloidosis compared with AL amyloidosis: 18 ± 2 vs. 14 ± 3 mm. Kriste et al. reported similar findings: the myocardial mass in ATTR amyloidosis compared with AL amyloidosis was 164 ± 57 vs. 159 ± 61 mg. The maximum LV wall thickness in ATTR amyloidosis was significantly higher than that in AL amyloidosis. These changes are due to an increased amyloid load in ATTR amyloidosis [14, 15].
LGE patterns in these types of cardiac amyloidosis differ, which can be useful in the differential diagnosis. AL amyloidosis is more commonly associated with a global subendocardial contrast uptake, whereas ATTR amyloidosis is characterized by a transmural or focal contrast uptake [13, 17]. Despite these differences, the differential diagnosis between AL amyloidosis- and ATTR amyloidosis-induced cardiomyopathy based on cardiac MRI findings can be challenging due to similar visual patterns. Semiquantitative LGE assessment and additional imaging techniques (scintigraphy with 99mTc-DPD) have been proposed to improve the diagnostic accuracy [18].
The analysis of LGE characteristics revealed specific patterns for each amyloidosis type, which can be used for the differential diagnosis. The most valuable findings are as follows:
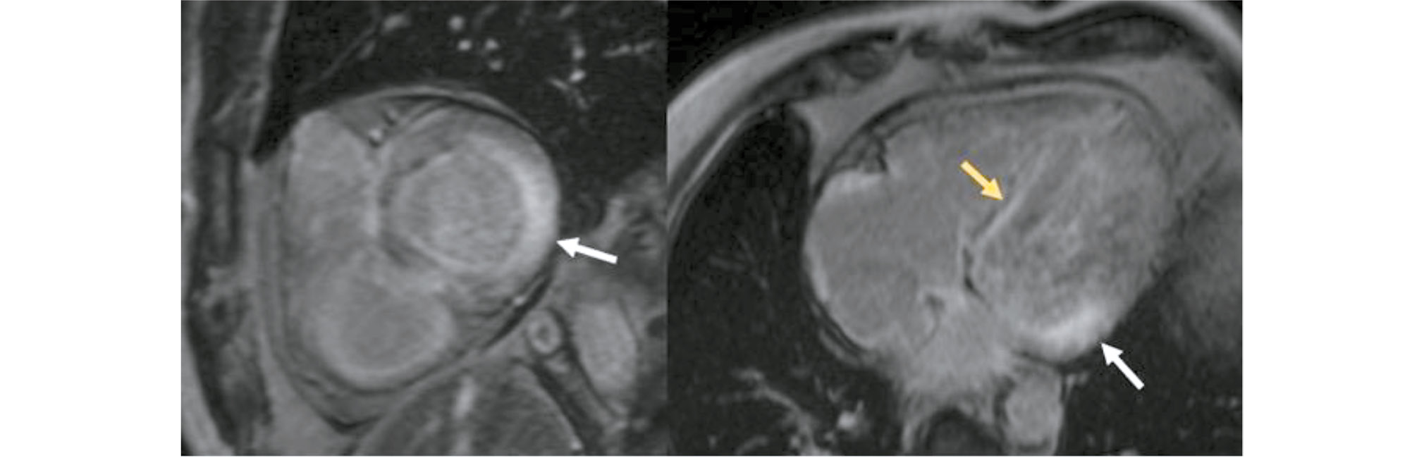
- ATTR amyloidosis: more commonly associated with a pronounced transmural LGE at the basal and middle levels, in the inferolateral segments of the LV, with RV involvement, particularly in the interventricular septum (LV involvement) and the RV inferior wall (Fig. 8, a).
- AL amyloidosis: more commonly associated with a subendocardial LGE, mostly at the middle levels, in the antero- and inferolateral segments (Fig. 8, b).
Fig. 8. Time-delayed contrast-enhanced cardiac magnetic resonance imaging scans in transthyretin amyloidosis. a, transmural contrast uptake at the basal level (lateral segments) and intramural contrast uptake at the basal level (inferior segment) of the left ventricular myocardium (white arrows), QALE score: 15 points. b, circular subendocardial contrast uptake at the middle level (all segments) of the left ventricular myocardium (yellow arrows), QALE score: 10 points.
These findings are consistent with those of previous studies [13, 17, 19], which also found specific LGE patterns in AL and ATTR amyloidosis, including a more pronounced contrast uptake in ATTR amyloidosis (p < 0.001) [17].
Based on the available data, ATTR amyloidosis can be distinguished from AL amyloidosis with a sensitivity and specificity of 82% and 76%, respectively, based on the QALE score of ≥ 13 points [13]. We found that ATTR amyloidosis was similarly characterized by a more pronounced LGE compared with AL amyloidosis.
The significant amyloid buildup in the myocardium in ATTR amyloidosis is most likely due to a longer disease duration than in AL amyloidosis. In AL amyloidosis, myocardial damage is caused by both amyloid buildup and the direct toxic effect of the immunoglobulin light chains, resulting in lower amyloid levels in the myocardium.
Our study revealed that patients with AL amyloidosis have a higher risk of pleural effusion than patients with ATTR amyloidosis. This is a significant finding because it can be associated with more severe systemic involvement in AL amyloidosis, as confirmed by Binder et al. [20].
The double-line sign in the interventricular septum in ATTR amyloidosis is an interesting phenomenon, indicating simultaneous subendocardial LGE in the LV and RV (See Fig. 3). This sign was observed in all patients with ATTR amyloidosis, possibly making it an important diagnostic marker. However, available publications do not describe this contrast uptake pattern, necessitating further studies.
Notably, no significant intergroup differences were observed in the LV ejection fraction and volumetric measures. In this context, myocardial deformation assessment will likely be more useful for assessing the functional aspects of the heart in amyloidosis [21].
Study limitations
This study has the following limitations:
- the sample size was relatively small.
- the study did not assess the effect of concomitant cardiovascular diseases and interventions.
However, we found no significant differences when comparing the clinical and anamnestic signs in the groups (See Table 1). Notably, a significant age difference of 11 years was observed between the groups (p < 0.01), which likely affected the result interpretation. However, despite the observed differences, many characteristics of cardiac MRI findings in amyloid cardiomyopathy are nonspecific and can be seen in both amyloidosis types, highlighting the importance of a comprehensive diagnosis, including clinical, laboratory, and imaging examinations.
Conclusion
The study findings show that contrast-enhanced cardiac MRI is a highly effective tool for the differential diagnosis of AL amyloidosis- and ATTR amyloidosis-induced cardiomyopathy. Using typical contrast uptake patterns and additional imaging techniques can significantly improve the diagnostic accuracy. Further studies and new diagnostic criteria and tools are required to improve the diagnosis and treatment of this complex condition.
Additional information
Funding source. This study was not supported by any external sources of funding.
Competing interest. The authors declare that they have no competing interest.
Authors’ contribution. All authors made a substantial contribution to the conception of the work, acquisition, analysis, interpretation of data for the work, drafting and revising the work, final approval of the version to be published and agree to be accountable for all aspects of the work. Z.M. Magomedova — collection and analysis of patient’s data, literature review, statistical analysis, preparation, writing and editing of the article; T.V. Nikiforova, Kh.S. Abdulmazhidova, S.D. Sarkisyan — collection and analysis of patient’s data; D.Yu. Shchekochikhin, V.Е. Sinitsyn, D.А. Andreev — editing the text of the article; E.S. Pershina — literature review, collection and analysis of patient’s data; K.V. Kovalev — collection and analysis of patient’s data; A.E. Grachev, I.G. Rekhtina, А.N. Volovchenko — literature review, collection and analysis of patient’s data.
About the authors
Zainab M. Magomedova
Pirogov Municipal Clinical Hospital № 1; Sechenov First Moscow State Medical University
Author for correspondence.
Email: magomedova.zainab.97@mail.ru
ORCID iD: 0000-0001-6753-1525
SPIN-code: 5271-4915
MD, radiologist of the Department of Magnetic Resonance and Computed Tomography of the Clinical Hospital No. 1 named after N.I. Pirogov; postgraduate student of the Cardiology Department, Functional and Ultrasound Diagnostics at I.M. Sechenov Moscow State Medical University (Sechenov University).
Russian Federation, Moscow; MoscowTatyana V. Nikiforova
S.S. Yudin City Clinical Hospital
Email: attrcmp@gmail.com
ORCID iD: 0000-0003-3072-8951
SPIN-code: 4997-0330
MD, cardiologist
Russian Federation, MoscowDmitry Y. Shchekochikhin
Pirogov Municipal Clinical Hospital № 1; Sechenov First Moscow State Medical University
Email: agishm@list.ru
ORCID iD: 0000-0002-8209-2791
SPIN-code: 3753-6915
MD, Cand. Sci. (Medicine), Assistant Professor
Russian Federation, Moscow; MoscowEkaterina S. Pershina
Pirogov Municipal Clinical Hospital № 1; Sechenov First Moscow State Medical University
Email: pershina86@mail.ru
ORCID iD: 0000-0002-3952-6865
SPIN-code: 7311-9276
MD, Cand. Sci. (Medicine), Deputy Chief Physician for or Strategic Development and Head, Associate Professor of the Department of Cardiology, Functional and Ultrasound Diagnostics), Senior Researcher at the Institute of Personalized Cardiology
Russian Federation, Moscow; MoscowKonstantin V. Kovalev
Pirogov Municipal Clinical Hospital № 1
Email: radix606@yandex.ru
ORCID iD: 0009-0004-4841-041X
MD, radiologist of the Department of Magnetic Resonance and Computed Tomography
Russian Federation, MoscowKhadizhat S. Abdulmazhidova
Sechenov First Moscow State Medical University
Email: abdulmazhidova.kh@mail.ru
ORCID iD: 0009-0008-5064-7802
student
Russian Federation, MoscowDaria S. Rassechkina
Sechenov First Moscow State Medical University
Email: rassechkina@yandex.ru
ORCID iD: 0009-0007-8825-8485
MD, resident of the Department of Cardiology, Functional and Ultrasound Diagnostics
Russian Federation, MoscowAlexander E. Grachev
National Medical Research Center of Hematology
Email: gra4al@yandex.ru
ORCID iD: 0000-0001-7221-9392
SPIN-code: 4281-3923
MD, Cand. Sci. (Medicine), Hematologist
Russian Federation, MoscowIrina G. Rekhtina
National Medical Research Center of Hematology
Email: rekhtina.i@blood.ru
ORCID iD: 0000-0002-7944-6202
SPIN-code: 4920-7144
MD, Dr. Sci. (Medicine), Head of the Department of Hematology and Chemotherapy of Plasma Cell Dyscrasias, Hematologist
Russian Federation, MoscowSusanna D. Sarkisyan
Sechenov First Moscow State Medical University
Email: sysanna.sarkisyan.2001@mail.ru
ORCID iD: 0000-0002-6454-1370
student
Russian Federation, MoscowAlexey N. Volovchenko
Sechenov First Moscow State Medical University
Email: dr.volovchenko@mail.ru
ORCID iD: 0000-0002-0923-735X
SPIN-code: 4120-8740
MD, Cand. Sci. (Medicine), Head of the Cardiology Department at the Cardiology Clinic, Assistant Professor at the Department of Cardiology, Functional and Ultrasound Diagnostics
Russian Federation, MoscowValentin E. Sinitsyn
Lomonosov Moscow State University
Email: vsini@mail.ru
ORCID iD: 0000-0002-5649-2193
SPIN-code: 8449-6590
MD, Dr. Sci. (Medicine), Professor, Head of the Department of Radiology and Therapy, Head of the Department of Radiology at the Faculty of Fundamental Medicine and the Interdisciplinary Scientific and Educational School
Russian Federation, MoscowDenis A. Andreev
Sechenov First Moscow State Medical University
Email: dennan@mail.ru
ORCID iD: 0000-0002-0276-7374
SPIN-code: 8790-8834
MD, Dr. Sci. (Medicine), Head of the Department of Cardiology, Functional and Ultrasound Diagnostics
Russian Federation, MoscowReferences
- Wechalekar AD, Gillmore JD, Hawkins PN. Systemic amyloidosis. Lancet. 2016;387(10038):2641–2654. doi: 10.1016/S0140-6736(15)01274-X
- Rapezzi C, Lorenzini M, Longhi S, et al. Cardiac amyloidosis: the great pretender. Heart Fail Rev. 2015;20(2):117–124. doi: 10.1007/s10741-015-9480-0
- Myasnikov RP, Andreyenko EYu, Kushunina DV, et al. Cardiac amyloidosis: modern aspects of diagnosis and treatment (clinical observation). Clinical and experimental surgery. 2014;(4):72–82. EDN: TRLZYN
- Maurer MS, Elliott P, Comenzo R, et al. Addressing common questions encountered in the diagnosis and management of cardiac amyloidosis. Circulation. 2017;135(14):1357–1377. doi: 10.1161/CIRCULATIONAHA.116.024438
- Ruberg FL, Grogan M, Hanna M, et al. Transthyretin amyloid cardiomyopathy: JACC state of the art review. J Am Coll Cardiol. 2019;73(22):2872–2891. doi: 10.1016/j.jacc.2019.04.003
- Kittleson MM, Maurer MS, Ambardekar AV, et al.; American Heart Association Heart Failure and Transplantation Committee of the Council on Clinical Cardiology. Cardiac amyloidosis: evolving diagnosis and management: a scientific statement from the American Heart Association. Circulation. 2020;142(1):e7–e22. doi: 10.1161/CIR.0000000000000792
- Maurer MS, Bokhari S, Damy T, et al. Expert consensus recommendations for the suspicion and diagnosis of transthyretin cardiac amyloidosis. Circ Heart Fail. 2019;12(9):e006075. doi: 10.1161/CIRCHEARTFAILURE.119.006075
- Garcia Pavia P, Rapezzi C, Adler Y, et al. Diagnosis and treatment of cardiac amyloidosis: a position statement of the ESC Working Group on Myocardial and Pericardial Diseases. Eur Heart J. 2021;42(16):1554–1568. doi: 10.1093/eurheartj/ehab072
- Lysenko LV, Rameev VV, Moiseev SV, et al. Clinical guidelines for diagnosis and treatment of systemic amyloidosis. Clinical pharmacology and therapy. 2020;29(1):13–24. EDN UCEZAB doi: 10.32756/ 0869-5490-2020-1-13-24
- Syed IS, Glockner JF, Feng D, et al. Role of cardiac magnetic resonance imaging in the detection of cardiac amyloidosis. JACC Cardiovasc Imaging. 2010;3(2):155–164. doi: 10.1016/j.jcmg.2009.09.023
- Butorova EA, Stukalova OV. Role of cardiac MRI in the diagnosis of cardiac amyloidosis. Clinical cases. Clinical review for general practice. 2021;(2):16–20. EDN MUWTXO doi: 10.47407/kr2021.2.2.00037
- Dorbala S, Ando Y, Bokhari S, et al. ASNC/AHA/ASE/EANM/HFSA/ISA/SCMR/SNMMI expert consensus recommendations for multimodality imaging in cardiac amyloidosis: Part 1 of 2-evidence base and standardized methods of imaging. J Nucl Cardiol. 2019;26(6):2065–2123. doi: 10.1007/s12350-019-01760-6
- Dungu JN, Valencia O, Pinney JH, et al. CMR-based differentiation of AL and ATTR cardiac amyloidosis. JACC Cardiovasc Imaging. 2014;7(2):133–142. doi: 10.1016/j.jcmg.2013.08.015
- Itzhaki Ben Zadok O, Vaturi M, Vaxman I, et al. Differences in the characteristics and contemporary cardiac outcomes of patients with light chain versus transthyretin cardiac amyloidosis. PLoS One. 2021;16(8):e0255487. doi: 10.1371/journal.pone.0255487
- Quarta CC, Solomon SD, Uraizee I, et al. Left ventricular structure and function in transthyretin related versus light chain cardiac amyloidosis. Circulation. 2014;129(18):1840–1849. doi: 10.1161/CIRCULATIONAHA.113.006242
- Stern LK, Patel J. Cardiac Amyloidosis Treatment. Methodist Debakey Cardiovasc J. 2022;18(2):59–72. doi: 10.14797/mdcvj.1050
- Kristen AV., aus dem Siepen F, Scherer K, et al. Comparison of different types of cardiac amyloidosis by cardiac magnetic resonance imaging. Amyloid. 2015;22(2):132–141. doi: 10.3109/13506129.2015.1020153
- Gillmore JD, Maurer MS, Falk RH, et al. Nonbiopsy diagnosis of cardiac transthyretin amyloidosis. Circulation. 2016;133(24):2404–2412. doi: 10.1161/CIRCULATIONAHA.116.021612
- Martinez Naharro A, Treibel TA, Abdel Gadir A, et al. Magnetic resonance in transthyretin cardiac amyloidosis. J Am Coll Cardiol. 2017;70(4):466–477. doi: 10.1016/j.jacc.2017.05.053
- Binder C, Duca F, Binder T, et al. Prognostic implications of pericardial and pleural effusion in patients with cardiac amyloidosis. Clinical Research in Cardiology. 2021;110(4):532–543. doi: 10.1007/s00392-020-01698-7
- Reddy A, Singh V, Karthikeyan B, et al. Biventricular strain imaging with cardiac MRI in genotyped and histology validated amyloid cardiomyopathy. Cardiogenetics. 2021;11(3):98–110. doi: 10.3390/cardiogenetics11030011
Supplementary files















