Long-term broncocele anamnesis, triggered by typical carcinoid
- Authors: Prusakova K.V.1, Gavrilov P.V.1
-
Affiliations:
- Saint-Petersburg State Research Institute of Phthisiopulmonology
- Issue: Vol 2, No 2 (2021)
- Pages: 223-230
- Section: Case reports
- Submitted: 23.05.2021
- Accepted: 23.06.2021
- Published: 10.08.2021
- URL: https://jdigitaldiagnostics.com/DD/article/view/70922
- DOI: https://doi.org/10.17816/DD70922
- ID: 70922
Cite item
Abstract
The paper presents a case of a single bronchocele (bronchogenic retention cyst) caused by a typical carcinoid that was observed for a long time. During the initial complex examination, including computed tomography with intravenous contrast, fibrobronchoscopy, and immunological and bacteriological examinations of tuberculosis, there were no changes for the oncological and infectious nature. The changes were interpreted as the result of a postponed nonspecific inflammatory process. Most of them were monitored using chest X-ray and the changes were stable. After 15 years, a control chest X-ray revealed an increase in the size of the compaction in the lung and the appearance of a mass with calcification in the medial sections of the compaction zone. Additional examination, including computed tomography with biopsy, determined that the obstruction of the bronchus was caused by a neoplasm [according to histological examination (typical carcinoid)].
It should be noted that the initial detection of negative study results requires oncological alertness and periodic examinations in dynamics.
Keywords
Full Text
INTRODUCTION
Bronchocele (bronchogenic retention cyst, mucocele) is a relatively common finding in chest X-ray studies. The morphological substrate of bronchocele is local bronchiectasis in which airways are filled with mucous contents persistently secreted by the mucous membrane and with proximal obstruction of the airways [1]. In radiography and computed tomography, bronchocele is visualized as a tubular branched V- or Y-shaped structure associated with the bronchial tree (finger in glove sign) [2]. The contents have homogeneous structures, but dense inclusions (calcifications) are visualized in 30% of the cases [2, 3]. The contrast agent is not accumulated in computed tomography with intravenous contrast enhancement.
Bronchocele can have an oval or round shape, which depends on the size of the obturated bronchus, amount of contents in the lumen, and state of the surrounding pulmonary parenchyma.
Solitary local retention cysts are asymptomatic. Retention cysts have various causes, such as congenital diseases (bronchial atresia, lung sequestration, and cystic fibrosis), infectious pathologies (nonspecific inflammatory processes, tuberculosis, mycobacteriosis, and allergic bronchopulmonary aspergillosis), obstruction of the bronchus by the lesion (benign or malignant), foreign body, or cicatricial deformity of the bronchus. Differential diagnostics is complicated because bronchocele can have similar radiological semiotics regardless of causes [2].
Bronchocele should be differentiated with arteriovenous malformations in the lungs, such as endobronchial metastasis. In this case, computed tomography with intravenous contrast enhancement is the preferred diagnostic method [2].
In most cases, bronchocele is caused by benign changes in the lungs and does not require case follow-up; however, in a locally located bronchocele, obstructive genesis by the lesion or foreign body should be ruled out. For this purpose, supplementing radiation diagnostic methods with fibrobronchoscopy with biopsy is recommended [4, 5].
Currently, an optimal diagnostic algorithm for identifying the cause of bronchocele development has not been established. Moreover, there are no uniform recommendations for further follow-up of patients with newly diagnosed asymptomatic retention cysts or bronchocele.
CASE DESCRIPTION
A 56-year-old male patient visited the Department of Radiation Diagnostics for computed tomography of the chest cavity organs.
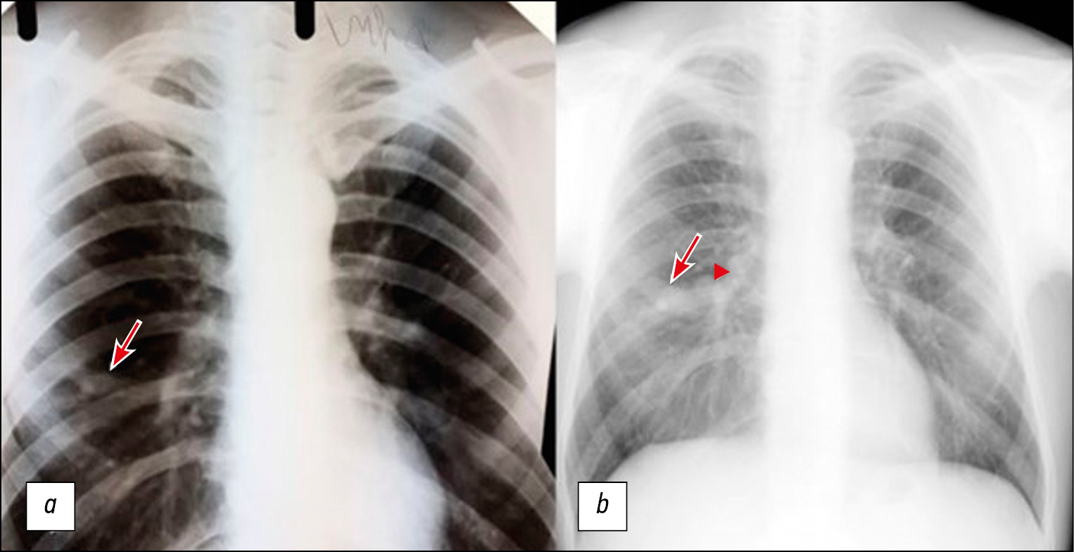
Fig. 1. Patient, 56 years old, chest x-ray: a - at the initial examination at the age of 41 in the middle section of the right lung, a seal area of a branched tubular structure is determined (arrow); b - 15 years later, there was an increase in the size of the bronchocele (arrow) and the appearance of a rounded formation in the medial regions bronchocele (arrowhead).
The history assessment revealed that he was examined for pneumonia 15 years ago. Despite the positive dynamics based on clinical studies, during the course of antibiotic therapy, radiological findings did not correspond to the typical course of regression of infiltrative lungs changes in pneumonia. X-ray imaging of the chest revealed an area of induration of a tubular branched structure in the middle section of the right lung (Fig. 1, a). Additional studies, including computed tomography of the chest with intravenous contrast enhancement, fibrobronchoscopy, and immunological and bacteriological studies, did not detect tuberculosis or an oncological process. Computed tomography data were presented as selective scans on a film carrier, which revealed a local, single branched structure with smooth, clear contours, located along the subsegmental bronchi of the middle lobe of the right lung (finger in glove sign), with homogeneous contents (Fig. 2), so the patient was diagnosed with bronchogenic retention cyst (bronchocele) on the middle lobe of the right lung. Subsequently, follow-up studies were performed annually by X-ray examination of the chest, and stable changes were observed.
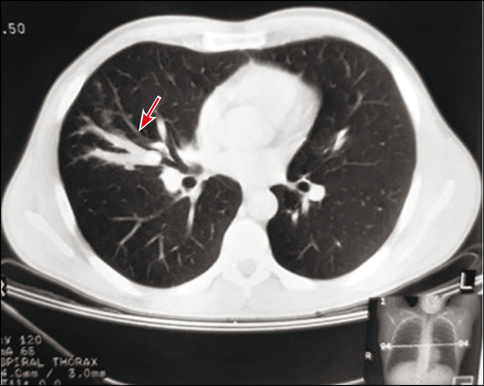
Fig. 2. The same patient. Selective computer scan tomography of the chest cavity organs: uniform V-shaped structure in the middle lobe of the right lung with clear contours (arrow).
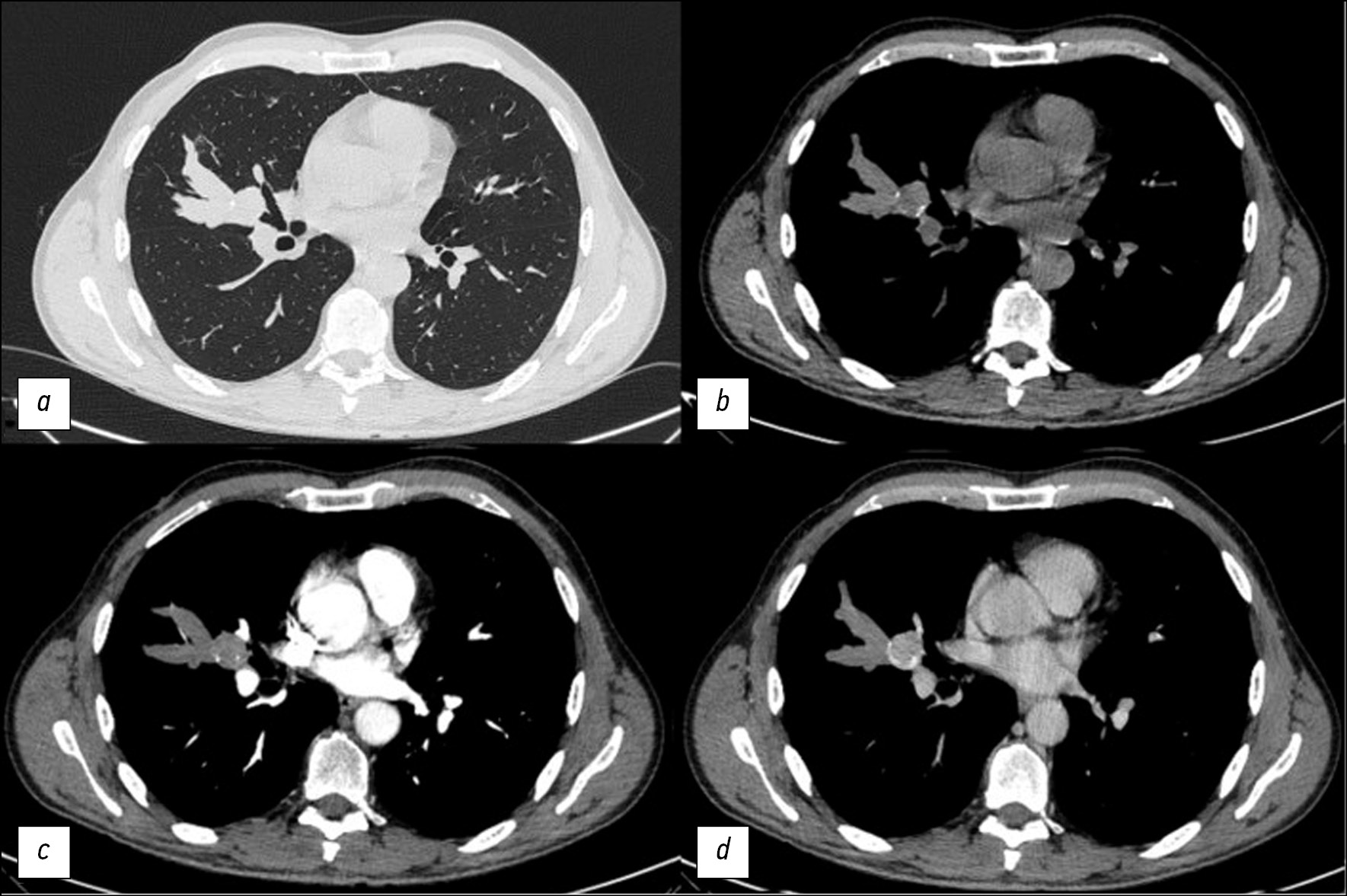
Prior to the present admission, the patient underwent a medical examination at his workplace with harmful working conditions. X-ray imaging of the chest revealed an increase in the size of the previously determined bronchocele (Fig. 1, b), as well as a new round lesion in the medial sections of the bronchocele with calcifications along the lesion contour (Fig. 1, b). To clarify the nature of the changes, the patient underwent contrast-enhanced computed tomography of the chest, which detected a single branched V-shaped structure with a clear contour in the middle lobe of the right lung, and homogeneous contents located along the subsegmental bronchi (finger in glove sign) were preserved. At the base of the bronchocele, a rounded lesion with a smooth, clear contour is noted, almost completely overlapping the bronchus B4 lumen, and single calcifications were found along the periphery with signs of contrast accumulation in the venous phase from +29 HU to +112 HU (Fig. 3).
Fig. 3. The same patient. Computed tomography of the chest cavity organs in the axial plane: a - pulmonary window, native phase (rounded formation at the base of the bronchocele); b - mediastinal window (single calcifications along the periphery education); c - mediastinal window, arterial phase; d - mediastinal window, venous phase (signs of accumulation contrast agent formation).
Changes were characteristic of bronchocele caused by neoplastic bronchus obstruction. Fibrobronchoscopy with biopsy was also performed. Bronchoscopy revealed a rounded lesion of the B4 ostium, which completely covered the bronchial lumen (Fig. 4). The lesion is inactive and woundable on contact, and the mucous membrane on the surface is hyperemic and edematous. The biopsy results revealed that the histological presentation of the lesion corresponded to a typical carcinoid. The immunohistochemical study revealed that tumor cells intensely expressed CD56, but not TTF1. The Ki67 proliferative activity index was 2%.
Fig. 4. The same patient. Fibrobronchoscopy: the formation of the B4 mouth on the right, completely covering the lumen of the bronchus.
The patient received surgical treatment by resection of the middle lobe of the right lung. On 1-year follow-up examination, no signs of carcinoid recurrence were observed by computed tomography of the chest.
DISCUSSION
The most common causes of multiple bronchocele formation are cystic fibrosis, allergic bronchopulmonary aspergillosis, and tuberculosis. Solitary local retention cysts are more often caused by the obstruction of the bronchus by a neoplasm (benign or malignant) [2, 6].
A typical carcinoid accounts for 1%–2% of lung neoplasms [7]. In 70% of the cases, the tumor is localized in the main bronchi, more often in the right lung, primarily in the middle lobe [8]. Typical carcinoid is commonly observed in people aged 40–50 years. With this form of lung neoplasm, studies have not established a reliable relationship between carcinogens and smoking [9, 10].
In most cases, bronchial carcinoid is asymptomatic and is detected as an accidental finding during a routine examination; however, in 2%–5% of the cases, bronchial carcinoids can produce neuroamines and peptide hormones, such as serotonin, adrenocorticotropic hormone, somatostatin, and bradykinin [11]. Clinical manifestations of carcinoid syndrome include periodic hot flashes or a sensation of blood rushing to the head, neck, and arms, bronchospasm, diarrhea, and mental disorders [11–13].
On X-ray imaging, a typical carcinoid is seen as a round or oval lesion with clear and even (sometimes lobular) contours. In up to 30% of the cases, eccentrically located or diffuse calcifications are observed [2, 3].
On computed tomography, a typical carcinoid is revealed as a rounded lesion with clear, even, or lobed contours. With intravenous contrast enhancement, there is an accumulation of a contrast agent, and in some cases, it is possible to trace the feeding artery entering the lesion from the bronchial arteries [6]. In relation to the bronchus, the carcinoid was located intrabronchially, extrabronchially, or mixed iceberg type, causing partial or total obstruction of the bronchial lumen [2, 3].
In the present case, although the cause of the bronchocele development was not established in the initial comprehensive examination, retrospective assessment of computed tomography data presented on a film carrier revealed the presence of a lesion at the base of the bronchocele (Fig. 2). With its extrabronchial location, changes during fibrobronchoscopy may not be detected.
The densitometric parameters of the lesion located at the base of the retention cyst may not be substantially different from the mucus, and small ones can be difficult to visualize. Central carcinoid may be suspected when signs of obstruction (atelectasis, “air traps,” or bronchocele) are detected.
Differentiation of a typical carcinoid should be performed with type II neuroendocrine lesions of the lungs (atypical carcinoid), bronchogenic cyst, and bronchocele.
The typical carcinoid is extremely slow growing. According to Raz et al. [14], the average doubling time of typical carcinoid tumors is 7 years; therefore, it is difficult to judge the dynamics based on the annual prophylactic radiography of the lungs, since it is difficult to detect visually a minor increase in tumor size. Thus, in the presence of a localized bronchocele of an unknown nature, despite the apparent lack of dynamics according to X-ray data, control studies by contrast-enhanced computed tomography of the chest cavity organs should be conducted at regular intervals to assess reliably the dynamics of changes and exclude bronchial obstruction by a neoplasm.
Computed tomography is a preferred diagnostic method; however, given the peculiarities of the location of typical carcinoids, many authors have recommended fibrobronchoscopy with transbronchial biopsy as complementary imaging methods [4, 5, 15].
Surgical resection is the gold standard for the treatment of typical carcinoids, as this pathology has a low sensitivity to chemotherapy and radiation therapy. In the case of complete endobronchial location of the carcinoid in the central regions, resection can be performed using the transbronchial approach [6, 8, 13].
CONCLUSION
Bronchocele is a benign finding in most cases, but in localized bronchocele, the oncological nature of bronchial obstruction should be ruled out. For this purpose, computed tomography of the chest cavity organs with intravenous contrast enhancement and fibrobronchoscopy with biopsy are recommended.
Some types of neoplasms, such as a typical carcinoid, are characterized by extremely slow growth. Even with negative results on the initial examination of a local bronchocele, these changes require oncological alertness and periodic examinations over time.
ADDITIONAL INFORMATION
Funding. This publication was not supported by any external sources of funding.
Conflicts of interest. The authors declare that they have no competing interests.
Authors’ contribution. K.V. Prusakova ― collecting material, writing an article; P.V. Gavrilov ― processing of the results obtained, final editing of the publication. All authors made a substantial contribution to the conception of the work, acquisition, analysis, interpretation of data for the work, drafting and revising the work, final approval of the version to be published and agree to be accountable for all aspects of the work.
Consent for publication. Written consent was obtained from the patient for publication of relevant medical information and all of accompanying images within the manuscript.
About the authors
Ksenia V. Prusakova
Saint-Petersburg State Research Institute of Phthisiopulmonology
Email: ksenya.rush@mail.ru
ORCID iD: 0000-0002-3934-6290
clinical resident specializing in radiology
Russian Federation, 2-4, Ligovskiy pr., Saint-Petersburg, 191036Pavel V. Gavrilov
Saint-Petersburg State Research Institute of Phthisiopulmonology
Author for correspondence.
Email: spbniifrentgen@mail.ru
ORCID iD: 0000-0003-3251-4084
MD, Cand. Sci. (Med.)
Russian Federation, 2-4, Ligovskiy pr., Saint-Petersburg, 191036References
- Hansell DM, Bankier AA, MacMahon H, et al. Fleischner Society: glossary of terms for thoracic imaging. Radiology. 2008;246(3):697–722. doi: 10.1148/radiol.2462070712
- Martinez S, Heyneman LE, McAdams HP, et al. Mucoid impactions: finger-in-glove sign and other CT and radiographic features. Radiographics. 2008;28(5):1369–1382. doi: 0.1148/rg.285075212
- Nguyen ET. The gloved finger sign. Radiology. 2003;227(2):453–454. doi: 10.1148/radiol.2272011548
- Farrell C, Goggins M, Casserly M. Unexpected diagnosis resulting from presentation with chronic obstructive pulmonary disease (COPD) exacerbation. International Journal of Case Reports and Images. 2019;43–47. doi: 10.36811/jcri.2019.110007
- Kulkarni GS, Gawande SC, Chaudhari DV, Bhoyar AP. Bronchial carcinoid: case report and review of literature. MVP J Med Sci. 2016;3(1):71–78. doi: 10.18311/mvpjms/2016/v3/i1/740
- Yadav V, Rathi V. Bronchial carcinoid with bronchocele masquerading as Scimitar syndrome on chest radiograph. Radiol Case Rep. 2021;16(3):710–713. doi: 10.1016/j.radcr.2021.01.013
- Jeung MY, Gasser B, Gangi A, et al. Bronchial carcinoid tumors of the thorax: spectrum of radiologic findings. Radiographics. 2002;22(2):351–365. doi: 10.1148/radiographics.22.2. g02mr01351
- Paladugu RR, Benfield JR, Pak HY, et al. Bronchopulmonary Kulchitzky cell carcinomas. A new classification scheme for typical and atypical carcinoids. Cancer. 1985;55(6):1303–1311. doi: 10.1002/1097-0142(19850315)55:6<1303:aid-cncr2820550625>3.0.co;2-a
- Grote TH, Macon WR, Davis B, et al. Atypical carcinoid of the lung. A distinct clinicopathologic entity. Chest. 1988;93(2):370–375. doi: 10.1378/chest.93.2.370. PMID: 2827965
- Harpole DH, Feldman JM, Buchanan S, et al. Bronchial carcinoid tumors: a retrospective analysis of 126 patients. Ann Thorac Surg. 1992;54(1):50–54; discussion 54-5. doi: 10.1016/0003-4975(92)91139-z
- Kuznetsov NS, Latkina NV, Dobreva EA. ACTH-ectopic syndrome: clinic, diagnosis, treatment. Endocrine surgery. 2012;6(1):24–36. (In Russ).
- Buryakina SA, Karmazanovsky GG, Volevodz NN, et al. CT-signs of neuroendocrine lung tumors and their relationship with ACTH-ectopic syndrome. REJR. 2018;8(4):56–72. (In Russ). doi: 10.21569/2222–7415-2018-8-4-56-72
- Trachtenberg AH, Kolbanov KI, Frank GA, et al. Features of diagnosis and treatment of lung carcinoid tumors. Atmosphere. Pulmonology and allergology. 2009;(1):2–6. (In Russ).
- Raz DJ, Nelson RA, Grannis FW, Kim JY. Natural history of typical pulmonary carcinoid tumors: a comparison of nonsurgical and surgical treatment. Chest. 2015;147(4):1111–1117. doi: 10.1378/chest.14-1960
- Kaifi JT, Kayser G, Ruf J, Passlick B. The diagnosis and treatment of bronchopulmonary carcinoid. Dtsch Arztebl Int. 2015;112(27-28):479–485. doi: 10.3238/arztebl.2015.0479.
Supplementary files











