Encapsulated necrotic pancreatitis
- Authors: Kitavina S.I.1, Petrovichev V.S.1, Ermakov A.N.2, Ermakov N.A.1, Nikitin I.G.1
-
Affiliations:
- Therapy and Rehabilitation Center
- Moscow State University of Medicine and Dentistry named after A.I. Evdokimov
- Issue: Vol 2, No 4 (2021)
- Pages: 471-480
- Section: Case reports
- Submitted: 08.06.2021
- Accepted: 14.01.2022
- Published: 30.12.2021
- URL: https://jdigitaldiagnostics.com/DD/article/view/71156
- DOI: https://doi.org/10.17816/DD71156
- ID: 71156
Cite item
Abstract
This study presents a rare clinical case of encapsulated necrotic pancreatitis, which was a complication of acute pancreatitis that arose against the background of alimentary disorders. The aspects of the semiotics of radiation diagnostic methods in the follow-up control of these pathologies were presented.
This case is notable for the manifestation of diseases upon hospital admission, as in the classical edematous form of acute pancreatitis, with a further increase in negative dynamics. This demonstrated the possible stepwise disease development, accompanied by a series of follow-up computed tomography between the clinical and morphological phases of acute pancreatitis and before the formation of pancreatic necrosis, which was complicated by sequestration of the pancreatic body with peripancreatic abscess formation. Afterward, the therapeutic paradigm was changed, and the place of the conservative approach was taken by active surgical tactics, followed by repeated manipulations and follow-up computed tomography and magnetic resonance until the improvement of the patient’s condition.
Full Text
INTRODUCTION
The most severe form of acute pancreatitis is necrotic pancreatitis, which has a mortality rate ranging from 30% to 100% [1–4]. Necrotic pancreatitis, also known as pancreatic necrosis, occurs in 15%–20% of cases of acute pancreatitis [5]. The global incidence of acute pancreatitis ranges from 4.9 to 73.4 cases per 100,000 populations, with 10%–13% of patients with abdominal surgical pathology in Russia [6].
The key importance of radiodiagnostic methods for detecting the disease and selecting the approach to managing patients with pancreatic necrosis has been described by major Russian scientists [7], as well as a number of international authors [8–11].
Currently, the role of radiation diagnostic methods in the management of acute pancreatitis, in particular computed tomography (CT), is expanding due to the possibility of more accurate volumetry of the pancreas [12], assessment of the condition, and measurement of the diameter of the splenic vein, which may be important in the formation of the prognosis of pancreatic necrosis course [13]. The first studies are being conducted to investigate the relationship between the loss of skeletal muscle density according to CT data and the deterioration of the prognosis of the course of necrotic pancreatitis [14].
The updated Atlanta guidelines on the course and management of acute pancreatitis (USA, 2012)1 include trends to reduce radiation exposure to the patient and reduce the economic burden by refusing excessive imaging (CT and MRI) with a primary reliance on clinical examination data, ultrasound (US), and biochemical markers of inflammation; exceptions include an unclear diagnosis or aggravation of the condition in acute pancreatitis during the first 48–72 hours [15, 16]. However, other sources indicate that more than half of patients with acute pancreatitis who are clinically suitable for curation without objective imaging methods do so on their own [17]. When using updated diagnostic criteria to make clinical decisions, physicians experience additional stress [18]. Over time, the Atlanta classification for acute pancreatitis has been revised and is now widely used in Europe [19].
CASE DESCRIPTION
On January 13, 2018, patient Kh., 40, was admitted to the intensive care unit in a critical condition with a clinical presentation of acute pancreatitis and multiple organ failure, as well as complaints of severe girdle pain in the upper abdomen, nausea, and vomiting upon admission.
Case history. The patient experienced an acute onset of the disease within a day of eating a large amount of fatty foods (hypersecretory mechanism of development); in the morning, he experienced stabbing pains in the upper abdomen, followed by nausea, vomiting, and pain radiation to the lumbar region. He was taken by an ambulance to the admission department of the National Medical Research Treatment and Rehabilitation Center of the Ministry of Health of Russia (Moscow).
Results of physical, laboratory, and instrumental examination
At the time of admission, the patient’s condition was classified as early phase IA.
A multispiral CT on January 14, 2018, revealed acute pancreatitis with no signs of destruction of the pancreatic parenchyma (Fig. 1).
Fig. 1. Computed tomography of abdominal organs with intravenous contrast: infiltration of peripancreatic adipose tissue and adipose tissue in the subhepatic space (arrows).
Within 2 days in the intensive care unit, the patient underwent infusion-corrective, antisecretory, antioxidant, hepatoprotective, and antispasmodic therapy; multimodal anesthesia was administered, as well as prevention of thromboembolic complications and decompression of the gastrointestinal tract.
On January 15, 2018, the patient with subjective improvement was transferred to the department. When a fever of up to 38°C appeared, antibiotics were added to the treatment. A dense painless infiltrate 12 × 10 cm in size was palpated in the paraumbilical region on the left by the clinician. Clinically, the situation was regarded as a manifestation of acute pancreatitis phase IB (the phase of formation of peripancreatic infiltrate and resorptive fever).
By January 22, 2018, after the patient’s condition had stabilized, his body temperature had returned to normal and data from laboratory and instrumental studies had been collected, there was an increase in signs of local inflammatory changes in the retroperitoneal space. The US results showed an increase in the volume of fluid in the abdominal cavity as well as imbibition of fatty tissue in the left half of the retroperitoneal space (pancreatic necrosis).
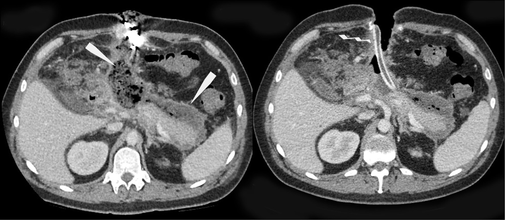
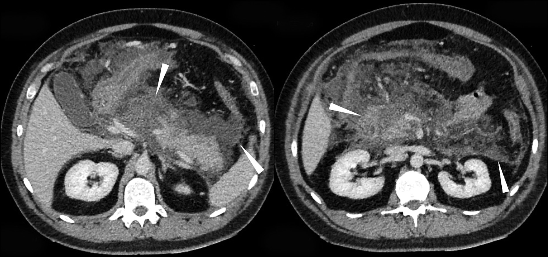
The study was supplemented with CT scans of the thoracic organs (TO CT) and the abdominal organs (AO CT), which revealed bilateral pleural effusion, with more on the left; consolidation in the lower lobe of the left lung; atelectasis in the basal sections of both lungs; and destructive pancreatitis with the pancreatic parenchyma contrasted fragmentarily, its head increased over time, increased fluid accumulations and the appearance of heaviness in the abdominal cavity and retroperitoneal space (Fig. 2). The changes allowed for an evaluation of the clinical and instrumental presentation at the phase IB end and the phase II beginning of the disease (aseptic sequestration).
Fig. 2. Computed tomography of abdominal organs with intravenous contrast: infiltration and fluid accumulations in the peripancreatic fatty tissue, along the course of the parotid fascia on the left, in the parenchyma of the head and body of the pancreas (arrows).
Given the absence of signs of pancreatic tissue infection in the patient and clinical improvement, it was decided to forego surgical intervention. By January 24, 2018, the general blood test showed a decrease in leukocytosis (from 21.8 to 16.9 × 109 g/l) and C-reactive protein (from 206 to 144 ml/l) concentrations. However, after a period of clinical improvement, on day 18 of admission (January 31, 2018), the patient’s condition deteriorated sharply, with the appearance of pain, hyperthermia up to 38°С with chills, equivocal peritoneal symptoms, and an increase in leukocytosis up to 31 × 109 g/l in the general blood test.
The control ultrasound of the abdominal cavity detected sequestration of the gland body and the accumulation of a large amount of fluid around it; fenestration of the omental sac with the abdominal cavity, where an undelimited liquid with fibrin inclusions (at least 1 liter in volume) is also found in all departments; and pronounced imbibition of the retroperitoneal fatty tissue of the paracolar zones. Thus, the ultrasound presentation corresponded to the progression of necrobiotic changes in the pancreas due to pancreatic necrosis, i.e., and the formation of a parapancreatic abscess.
On January 31, 2018, after a brief preoperative period, diagnostic laparoscopy, sanitation, and drainage of the abdominal cavity were performed urgently, followed by conversion to laparotomy with the formation of an omentobursostomy in order to facilitate access to the omental sac for necrosequestrectomy.
The intraoperative diagnosis was severe acute pancreatitis, pancreatic necrosis with retroperitoneal fluid accumulations, phase of septic sequestration, and widespread pancreatogenic serous-fibrinous (enzymatic) peritonitis.
On February 1, 2018, an ultrasound of the abdominal cavity revealed a fluid accumulation of 7 × 4.5 × 15 cm in the right half of the retroperitoneal space, closely adjacent to the posterior wall of the ascending colon. Due to the high risk of damage to the colon during open drainage, US-controlled drainage was used to prevent erosion of the intestinal wall and infection of the retroperitoneal space.
In the postoperative period, following the occurrence of cardiovascular and respiratory failure, the patient was extubated on day 2 (February 2, 2018). The comprehensive therapy had a positive effect, with a decrease in leukocytosis to 10 × 109 g/l in the general blood test in presence of a persistently high C-reactive protein level (241 mg/l). Then, during the week, the patient had daily dressings with revision and sanitation of the omentobursostomy. During the revision of the omentobursostomy, no additional leaks or free-lying sequesters were found.
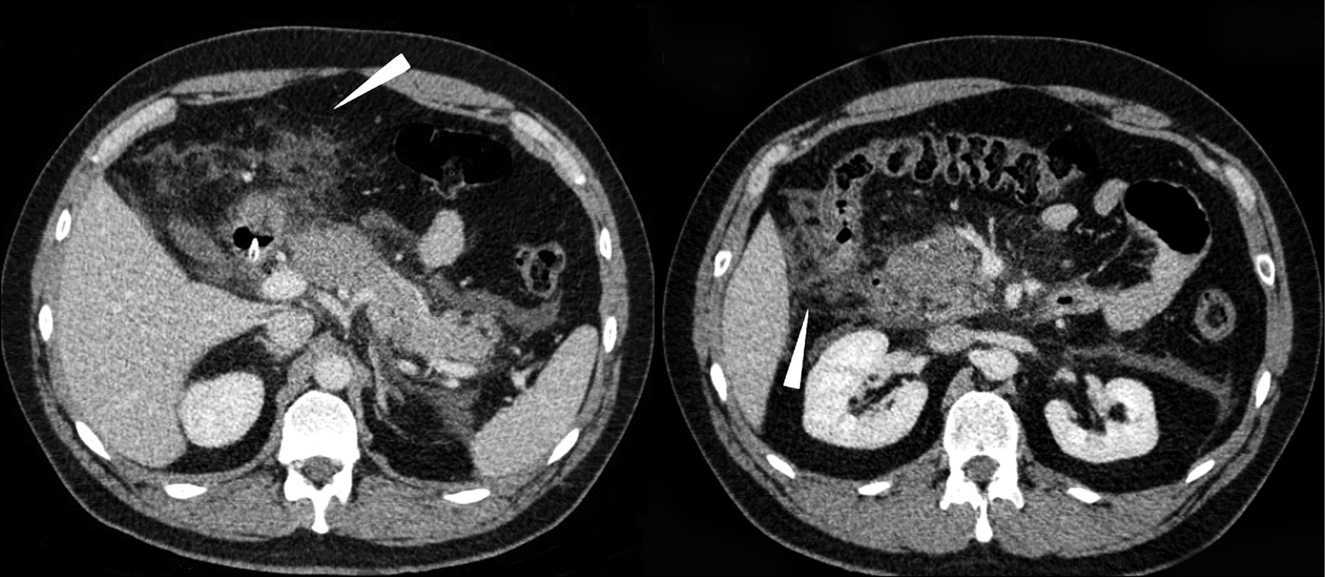
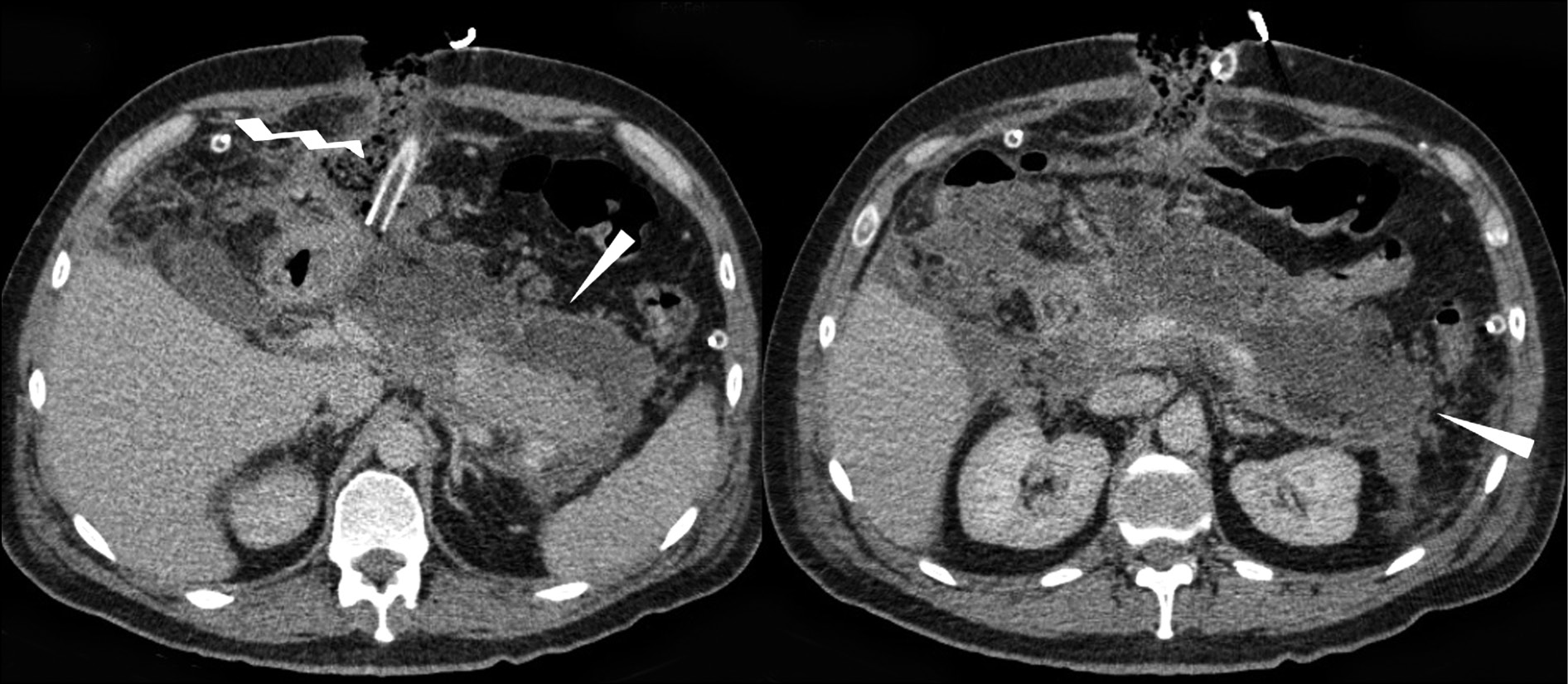
At the control AO CT scan (02/01; 02/02; 02/05/2018), the CT presentation showed no deterioration; the state of the pancreas and fluid accumulation along the gland contour in the area of the omental sac had changed; non-draining fluid accumulations in the retroperitoneal space were not detected (Fig. 3).
Fig. 3. Computed tomography of abdominal organs with intravenous contrast: infiltration and fluid accumulations in the peripancreatic adipose tissue, along the course of the amniotic fascia on the left, in the parenchyma of the head and body of the pancreas (arrows); drainage tube (zigzag arrow in the image on the left). In dynamics, the formation of a thin contrasting capsule along the course of the infiltration zone is noted.
After the condition stabilization, on tenth day after the surgery, the patient was transferred to the surgical department. After numerous necrosequestrectomy for 9 days, flow aspiration drainage of the omental sac cavity was established.
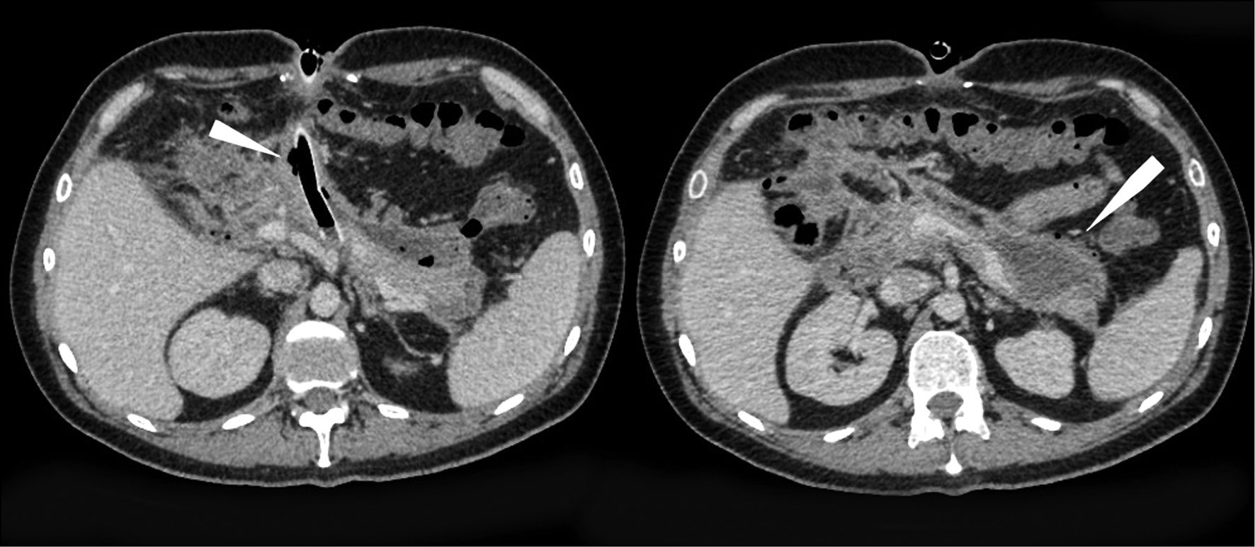
The control TO and AO CT (February 14; February 21, 2018) revealed a decrease in the left-sided hydrothorax and resolution of the area of consolidation in the lower lobe of the left lung, as well as a decrease in effusion in the peripancreatic tissue and infiltrative changes in the fatty tissue of the abdominal cavity (Fig. 4).
Fig. 4. Computed tomography of the abdominal cavity organs with intravenous contrast: enveloped infiltration and fluid accumulation in the peripancreatic adipose tissue, decreased in dynamics (image on the left, arrows), hemostatic sponge in the cavity of the enveloped contents; drainage tube (image on the right, zigzag arrow). Further formation of a thin contrasting capsule along the course of the infiltration zone is noted in the dynamics.
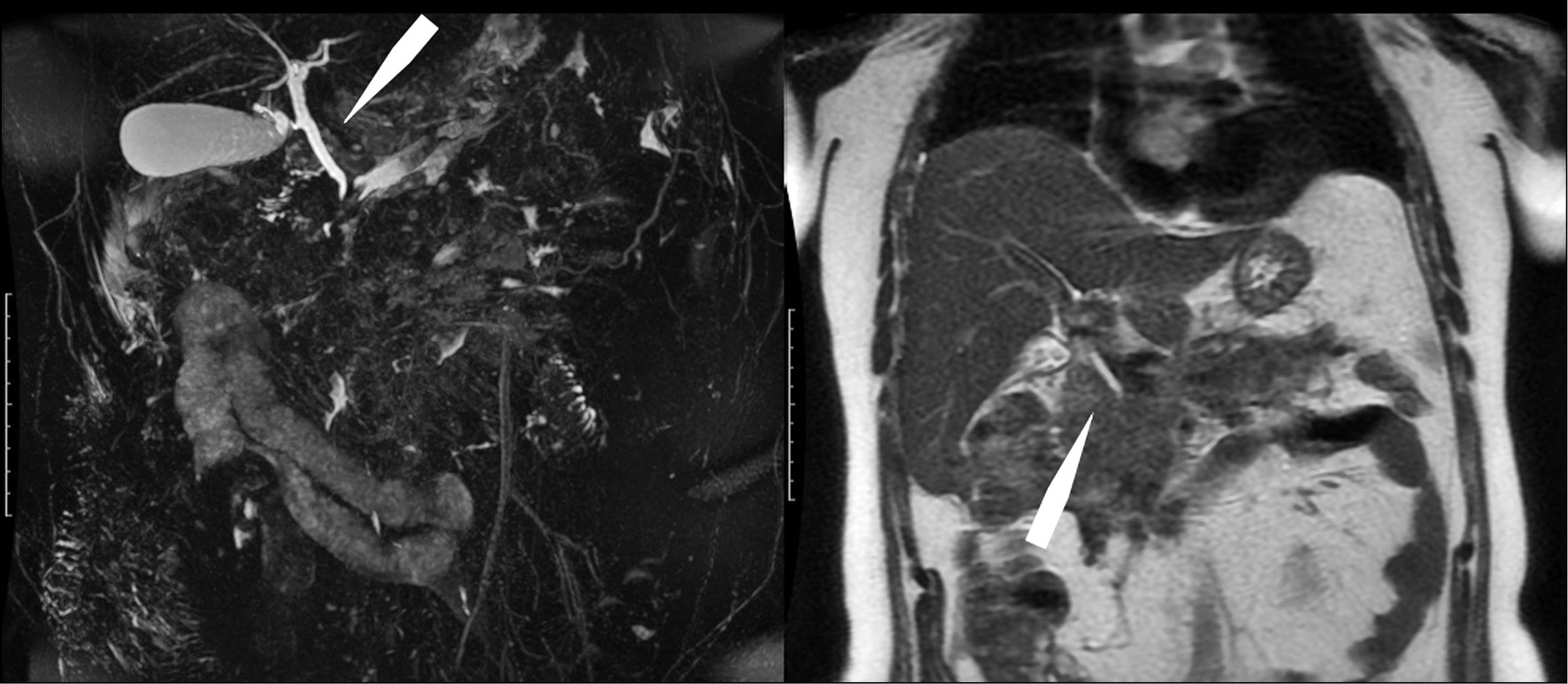
Clinically, the formation of an external pancreatic fistula was noted. On February 28, 2018, the patient underwent MR cholangiography, which revealed that the Wirsung’s duct at the level of the head and body of the pancreas was not visualized; that it had a tortuous course in the tail, with uneven contours and a diameter of 2 mm; and that no fistulous tracts were detected. Intra- and extrahepatic bile ducts were not dilated (Fig. 5).
Fig. 5. Magnetic resonance tomographic cholangiography (left) and T2-VI (coronal plane, right). The distal part of the choledochus is "lost" in the infiltrate, the proximal part of the choledochus and the intrahepatic bile ducts are not dilated (arrows).
Over the next month, conservative therapy and flow aspiration drainage of the omental sac were performed. The patient’s condition improved to the point of being satisfactory, the fever subsided, and an external pancreatic fistula was formed. In the outpatient setting, the patient was discharged under the supervision of a surgeon.
The control AO CT on March 23, 2018, detected a decrease in the size of the infiltrate anterior to the body and tail of the pancreas, as well as a decrease in the infiltrate along the ascending colon; the gland was reduced in size, with the sagittal size of 17 mm at the level of the tail and 6 mm at the level of the body, and it was not significantly differentiated at the level of the gland head (Fig. 6).
Fig. 6. Computed tomography of abdominal organs with intravenous contrast: drainage tube (image on the left, arrow); precipitated infiltration and fluid accumulation in peripancreatic adipose tissue, decreased in dynamics (image on the right, arrow).
Thus, timely diagnostics enabled the most appropriate treatment approach to be chosen in the demonstrated clinical case, which improved the prognosis of the disease, with the acute and subacute periods ending relatively well.
DISCUSSION
L. Sorrentino et al. [20] used a minimally invasive approach in the treatment of severe pancreatic necrosis, namely endoscopic transgastric necrosectomy. At the first stage, our treatment approaches are similar, namely, diagnostic laparoscopy and drainage of the abdominal cavity; however, at the second stage, we preferred to expand the surgical intervention with conversion to laparotomy and formation of an omentobursostomy to facilitate access to the omental sac for necrosequestrectomy.
A group of Japanese scientists describes successful treatment of a patient with necrotic pancreatitis using a combination of continuous drainage of the skin wound by negative pressure and endoscopic necrectomy [21]. Another clinical case [22] demonstrated the development of necrotic pancreatitis following an ampullary biopsy in Barrett’s esophagus, with subsequent treatment involving repeated drainage of the necrotic cavity under CT guidance.
In all the clinical cases presented, including ours, in addition to clinical and laboratory data, CT with intravenous contrasting was actively used for diagnostics, assessment of the course of the disease, and choice of treatment approach.
Thus, the best time to diagnose acute pancreatitis is 72 hours to 5 days after the onset of disease symptoms. During this period, edema and transient ischemia of the pancreas can be misdiagnosed as necrosis and resolved in subsequent studies, and local complications may develop without clinical correlations. In the patient, in the case presented, during the period of a stable severe clinical presentation, the transition of phase IA to phase IB of the disease development was recorded.
Clinical guidelines recommend using CT to rule out local complications when the clinical presentation changes and/or the patient’s condition deteriorate sharply. In the case presented, the patient’s CT was sensitive to changes in the clinical presentation and recorded a transition at the beginning to phase IIA of aseptic sequestration, followed by phase IIB of septic sequestration with the formation of a parapancreatic abscess.
CT is a necessary study when planning minimally invasive surgical interventions, which are currently preferred in the treatment of necrotic pancreatitis. This approach was used on our patient.
In pancreatic necrosis, MRI is the method of choice for assessing the condition of the common bile duct and the Wirsung’s duct, which was very important for our patient who developed an external pancreatic fistula during the treatment of necrotic pancreatitis.
CONCLUSION
To date, methods of radiation diagnostics combined with adequate therapeutic and surgical approaches can improve the prognosis of the course of necrotic pancreatitis.
ADDITIONAL INFORMATION
Funding source. This study was not supported by any external sources of funding.
Competing interests. The authors declare that they have no competing interests.
Authors’ contribution. S.I. Kitavina — preparation and writing of the text of the article; V.S. Petrovichev — text writing and article editing; A.N. Ermakov — literature review, collection and analysis of literary sources review of literature, edition illustrative material of the article; N.A. Ermakov — writing of the text of the article, preparation illustrative material of the article; I.G. Nikitin — article editing. All authors made a substantial contribution to the conception of the work, acquisition, analysis, interpretation of data for the work, drafting and revising the work, final approval of the version to be published and agree to be accountable for all aspects of the work.
Consent for publication. Written consent was obtained from the patient for publication of relevant medical information and all of accompanying images within the manuscript.
Acknowledgments. The authors express their gratitude to Irina I. Slutskaya for support in stylistic editing of the article text.
1 Atlanta classification of acute pancreatitis. Access mode: https://medach.pro/post/1830. Reference date: 10/15/2021
About the authors
Svetlana I. Kitavina
Therapy and Rehabilitation Center
Email: skitavina@yandex.ru
ORCID iD: 0000-0002-1280-1089
SPIN-code: 9741-1675
MD, Cand. Sci. (Med.)
Russian Federation, 3 Ivan’kovskoe shosse, 125367, MoscowVictor S. Petrovichev
Therapy and Rehabilitation Center
Email: petrovi4ev@gmail.com
ORCID iD: 0000-0002-8391-2771
SPIN-code: 7730-7420
MD, Cand. Sci. (Med.)
Russian Federation, 3 Ivan’kovskoe shosse, 125367, MoscowAleksandr N. Ermakov
Moscow State University of Medicine and Dentistry named after A.I. Evdokimov
Email: alx-ermakovv@yandex.ru
ORCID iD: 0000-0003-0675-8624
SPIN-code: 9257-9319
MD
Russian Federation, 3 Ivan’kovskoe shosse, 125367, MoscowNikolay A. Ermakov
Therapy and Rehabilitation Center
Email: n-ermakov@yandex.ru
ORCID iD: 0000-0002-1271-7960
SPIN-code: 5985-9032
MD, Cand. Sci. (Med.)
Russian Federation, 3 Ivan’kovskoe shosse, 125367, MoscowIgor G. Nikitin
Therapy and Rehabilitation Center
Author for correspondence.
Email: igor.nikitin.64@mail.ru
ORCID iD: 0000-0003-1699-0881
SPIN-code: 3595-1990
MD, Dr. Sci. (Med.), Professor
Russian Federation, 3 Ivan’kovskoe shosse, 125367, MoscowReferences
- Volkov V, Chesnokova N. Acute necrotizing pancreatitis: Actual questions of classification, diagnosis and treatment of local and widespread purulent-necrotic processes. Bulletin Chuvash University. 2014;(2):211–217. (In Russ).
- Bagnenko SF, Gol’tsov VR. Acute pancreatitis: current state of the problem and unresolved issues. Almanac A.V. Vishnevsky Ins Sur. 2008;3(3):104–112. (In Russ).
- Banks PA, Bollen TL, Dervenis C, et al. Classification of acute pancreatitis-2012: revision of the Atlanta classification and definitions by international consensus. Gut. 2013;62(1):102–111. doi: 10.1136/gutjnl-2012-302779
- Petrov MS, Shanbhag S, Chakraborty M, et al. Organ failure and infection of pancreatic necrosis as determinants of mortality in patients with acute pancreatitis. Gastroenterology. 2010;139(3):813–820. doi: 10.1053/j.gastro.2010.06.010
- Acute pancreatitis. Clinical recommendations of the Ministry of Health of the Russian Federation. Moscow, 2015. (In Russ). Available from: http://общество-хирургов.рф/upload/acute_pancreatitis_2016.doc. Accessed: 15.10.2021.
- Podoluzhny VI, Aminov IH, Rodionov IA. Acute pancreatitis. Kemerovo: POLIGRAF; 2017. 136 р. (In Russ).
- Bagnenko SF, Savello VE, Goltsov VR. Radiation diagnosis of pancreatic diseases: acute pancreatitis. In: Radiation diagnostics and therapy in gastroenterology: national guidelines. Ed. by G.G. Karmazanovsky Moscow: GEOTAR-Media; 2014. P. 349–365. (In Russ).
- Branco JC, Cardoso MF, Lourenço LC, et al. A rare cause of abdominal pain in a patient with acute necrotizing pancreatitis. GE Port J Gastroenterol. 2018;25(5):253–257. doi: 10.1159/000484939
- Zhang H, Chen G, Xiao L, et al. Ultrasonic/CT image fusion guidance facilitating percutaneous catheter drainage in treatment of acute pancreatitis complicated with infected walled-off necrosis. Pancreatology. 2018;18(6):635–641. doi: 10.1016/j.pan.2018.06.004
- Sahu B, Abbey P, Anand R, et al. Severity assessment of acute pancreatitis using CT severity index and modified CT severity index: Correlation with clinical outcomes and severity grading as per the Revised Atlanta Classification. Indian J Radiol Imaging. 2017;27(2):152. doi: 10.4103/ijri.IJRI_300_16
- Shahzad N, Khan MR, Inam Pal KM, et al. Role of early contrast enhanced CT scan in severity prediction of acute pancreatitis. J Pak Med Assoc. 2017;67(6):923–925.
- Avanesov M, Löser A, Smagarynska A, et al. Clinico-radiological comparison and short-term prognosis of single acute pancreatitis and recurrent acute pancreatitis including pancreatic volumetry. PLoS ONE. 2018;13(10):e0206062. doi: 10.1371/journal.pone.0206062
- Smeets XJ, Litjens G, da Costa DW, et al. The association between portal system vein diameters and outcomes in acute pancreatitis. Pancreatology. 2018;18(5):494–499. doi: 10.1016/j.pan.2018.05.007
- Van Grinsven J, van Vugt JLA, Gharbharan A, et al.; Dutch Pancreatitis Study Group. The association of computed tomography-assessed body composition with mortality in patients with necrotizing pancreatitis. J Gastrointest Surg. 2017;21(6):1000–1008. doi: 10.1007/s11605-016-3352-3
- Colvin SD, Smith EN, Morgan DE, et al. Acute pancreatitis: an update on the revised Atlanta classification. Abdom Radiol. 2020;45(5):1222–1231. doi: 10.1007/s00261-019-02214-w
- Baker ME, Nelson RC, Rosen MP, et al. Acr appropriateness Criteria acute pancreatitis. Ultrasound Quarterly. 2014;30(4):267–273. doi: 10.1097/RUQ.0000000000000099
- Shinagare AB, Ip IK, Raja AS, et al. Use of CT and MRI in emergency department patients with acute pancreatitis. Abdom Imaging. 2015;40(2):272–277. doi: 10.1007/s00261-014-0210-1
- Jin DX, McNabb-Baltar JY, Suleiman SL, et al. Early abdominal imaging remains over-utilized in acute pancreatitis. Dig Dis Sci. 2017;62(10):2894–2899. doi: 10.1007/s10620-017-4720-x
- Schreyer AG, Seidensticker M, Mayerle J, et al. Deutschsprachige terminologie der revidierten atlanta-klassifikation bei akuter pankreatitis: glossar basierend auf der aktuellen S3-Leitlinie zur akuten, chronischen und Autoimmunpankreatitis. Rofo. 2021;193(08):909–918. doi: 10.1055/a-1388-8316
- Sorrentino L, Chiara O, Mutignani M, et al. Combined totally mini-invasive approach in necrotizing pancreatitis: a case report and systematic literature review. World J Emerg Surg. 2017;12:16. doi: 10.1186/s13017-017-0126-5
- Namba Y, Matsugu Y, Furukawa M, et al. Step-up approach combined with negative pressure wound therapy for the treatment of severe necrotizing pancreatitis: a case report. Clin J Gastroenterol. 2020;13(6):1331–1337. doi: 10.1007/s12328-020-01190-9
- Skelton D, Barnes J, French J. A case of severe necrotising pancreatitis following ampullary biopsy. Ann R Coll Surg Engl. 2015;97(4):e61–e63. doi: 10.1308/003588415X14181254789646
Supplementary files













