The frequency and character of community-acquired pneumonia comparison before and during the COVID-19 epidemic in the multi-specialty hospital
- Authors: Yaremenko S.A.1,2, Rucheva N.A.1, Zhuravlev K.N.1, Sinitsyn V.E.2
-
Affiliations:
- State Moscow Clinical Hospital I.V.Davydovskiy
- Lomonosov Moscow State University
- Issue: Vol 1, No 1 (2020)
- Pages: 37-47
- Section: Original Study Articles
- Submitted: 13.10.2020
- Accepted: 03.11.2020
- Published: 30.12.2020
- URL: https://jdigitaldiagnostics.com/DD/article/view/46833
- DOI: https://doi.org/10.17816/DD46833
- ID: 46833
Cite item
Abstract
BACKGROUND: The 2019 coronavirus disease outbreak (COVID-19) quickly swept the world in just a month. Polymerase chain reaction (PCR) is used in the diagnosis of this disease, but this test has limitations related to false negative results, as well as PCR is a time-consuming procedure. Under these conditions, chest computed tomography (CT) can become one of the main methods in the Clinician’s Arsenal used for early detection of COVID-19 in patients who first seek medical help.
AIMS: comparison of the frequency of community-acquired pneumonia and its characteristics according to CT data before and during the COVID-19 epidemic and study of the possibilities of their timely detection and differential diagnosis.
MATERIALS AND METHODS: A retrospective analysis of chest CT scans results was performed in Davydovsky hospital (Moscow) from April 1 to April 17, 2020. It included all patients diagnosed with viral pneumonia at the CT. All patients with suspected diagnosis of viral pneumonia underwent PCR testing. Retrospective analysis of chest CT data from patients admitted to the hospital with suspected pneumonia for the same period in 2019 was taken as a comparison group.
RESULTS: For the period from April 1 to April 17, 2020 according to chest CT, pneumonia was diagnosed in 140 cases, of which 65 (46.4%) were described as viral, compared with the same period in 2019 − 7 diagnoses of viral pneumonia (10.3%) were described a significant increase in cases of viral pneumonia (5.723; p <0.01). Results of PCR test in patients with viral pneumonia according to CT data was: positive in 34 (52.3%), negative in 22 (33.8%), 9 (13.9%) patients were not tested. When comparing the frequency of detection on CT of viral pneumonia patterns in patients for the same period of time in 2019 and 2020, no significant differences were found. The probability of COVID-19 due to results of chest CT was: average 13.8%, high − 75.4%. The severity of viral pneumonia according to CT data was: light 38.5%, medium 46.2%, severe 12.3%, extremely severe 3.1%.
CONCLUSIONS: Rapid CT diagnostics of COVID-19, even with false negative results of PCR tests, can help to isolate a patient with suspected COVID-19, start treatment on time and prevent the further spread of viral infection in a pandemic. Nevertheless, due to the non-specificity of the revealed picture, the possibilities of CT to identify lung lesions by specific viral agents are limited.
Keywords
Full Text
BACKGROUND
In December 2019, a pneumonia outbreak caused by a new coronavirus occurred in China, which quickly spread worldwide [1].
Coronaviruses belong to the family of viruses that cause the common cold, as well as more serious respiratory diseases such as the severe acute respiratory syndrome (SARS) and Middle East respiratory syndrome (MERS), which have a mortality rate of approximately 10% and 37%, respectively [2, 3]. Both diseases (SARS and MERS) have been found to be zoogenous infections. The new coronavirus, designated by the International Committee on the Taxonomy of Viruses as severe acute respiratory syndrome-related coronavirus 2 (SARS-CoV-2), caused the coronavirus disease (COronaVIrus Disease 2019, COVID-19) [4]. COVID-19 spread rapidly throughout China and then to other countries worldwide. Presently, COVID-19 has been declared a pandemic. This disease has also seriously affected the Russian Federation. It is known that most (up to 80%) infected patients may not have any obvious history of infection or clinical manifestations of the disease [5]. The rate of the disease spread confirms the high contagiousness of the new coronavirus, which is transmitted from person to person by aerosol (airborne and air-dust) and non-percutaneous routes [6].
The similarities of the clinical manifestations of SARS-CoV-2 infection with previous infections caused by beta-coronaviruses have been noted [7]. The laboratory diagnosis of COVID-19 using the polymerase chain reaction (PCR) method is effective in identifying infected individuals and preventing the spread of the epidemic. However, it became obvious that patients had to wait for a long time (1−4 days) before getting the results of the PCR tests. In addition, it was established that PCR can give false negative results in a significant number of patients (up to 30%−40%), which negatively affects the epidemiological situation. A number of studies have shown that the sensitivity of chest computed tomography (CT) under conditions of the COVID-19 epidemic (in identifying patterns of lung tissue damage typical for this disease) can reach 80%–97% [8]. An accurate diagnosis of a viral pneumonia based on a chest CT scan enables to timely identify and quarantine infected patients, choose the approach for their treatment, and assess the dynamics of the disease. Due to the wide spread of the disease under the conditions of the epidemic and its frequent asymptomatic course, such patients may be admitted to multidisciplinary medical institutions (hospitals) with suspected community-acquired pneumonia. The timely isolation of such patients and their referral to specialized institutions depend on the early and accurate diagnosis of the COVID-19.
This study aimed to compare the incidence of community-acquired pneumonia and their characteristics according to CT data in a multi-specialty hospital in Moscow before and during the COVID-19 epidemic and to study the possibilities of their timely detection and differential diagnosis.
MATERIALS AND METHODS
Study design
A retrospective analysis of the chest CT scan results of patients from the I.V. Davydovsky Municipal Clinical Hospital of the Department of Health of Moscow was performed over the period from April 1 to April 17, 2020 (during the COVID-19 epidemic in Moscow).
Inclusion criteria
The study included all patients admitted to the hospital admission department with suspected community-acquired pneumonia. The reasons for hospitalization were fever >38.5°C, low-productive dry cough, chest pain, tachypnea, asthenia, headache, and diarrhea.
Description of the medical intervention
On the day 1 of hospitalization, all patients underwent testing by PCR and chest CT. The studies were performed using a Philips Inguenity computer tomograph (Netherlands) without the intravenous administration of a contrast agent, with the use of standard clinical protocols (slice thickness, 1 mm; tube current, 120 kV; product of current and time (mAs) was set automatically).
All CT images were evaluated in accordance with the international guidelines for the formation of standardized lung CT findings under conditions of the COVID-19 epidemic [9]. The criteria used to diagnose pneumonia of bacterial origin in the patients were the absence of areas of ground-glass opacity, presence of consolidation areas, and unilateral or bilateral lesions with or without hydrothorax. The criteria for diagnosing viral pneumonia on chest CT included characteristic radiographic patterns such as areas of ground-glass opacity of the lung tissue, mainly of peripheral localization; reticular crazy paving changes; and the presence or absence of consolidation areas. When describing lung changes, the probability of COVID-19 pneumonia (high, average, low) and the severity of changes in the lung parenchyma were calculated on a 4-point scale in accordance with the latest recommendations for the differential diagnosis of changes in thoracic organs of viral etiology [10].
We also analyzed the PCR results of patients with viral pneumonia diagnosed by CT in 2020.
Regarding the comparison group, we retrospectively analyzed the chest CT data of patients admitted to the hospital with suspected pneumonia for the same time period in 2019 in order to assess the dynamics of the total number of viral pneumonias and to identify morphological differences in pneumonias of viral etiology during CT studies performed a year ago. CT data of patients with viral pneumonia for 2020 and 2019 were compared according to the incidence of patterns such as ground-glass opacity symptoms, crazy paving symptoms, consolidation, and the nature of the lesion (unilateral or bilateral).
Within the group of patients with a history of viral pneumonia during the 2020 pandemic, we evaluated secondary radiological phenomena such as hydrothorax (fluid in the pleural cavities), hydropericardium (fluid in the pericardial cavity), pulmonary hypertension (dilatation of the pulmonary artery trunk by more than 30 mm), and lymphadenopathy (increase in the size of the lymph node by more than 10 mm along the short axis, quantitative).
Statistical analysis
For statistical analysis, we used the SPSS Statistics 23.0 software package (USA). Quantitative data are presented as mean values with standard deviation. Comparative analysis of groups was performed using Fisher’s test and Chi-square test for contingency tables.
RESULTS
Study participants
From April 1 to April 17, 2020, 476 Chest CT examinations of the thoracic organs were performed at the I.V. Davydovsky Municipal Clinical Hospital. Pneumonia was diagnosed in 140 cases, including 65 (46.4%) cases that were classified as viral pneumonia and 75 (53.6%) cases as bacterial pneumonia, according to the CT results. During the same period in 2019, 309 chest CT examinations of the thoracic organs were performed, and pneumonia was detected in 68 patients; seven (10.3%) of these cases were classified as viral and 61 (89.7%) cases as bacterial.
Thus, there was an apparent increase in the number of viral pneumonia cases registered in April 2020 compared to the same period in 2019 (Fisher’s exact test value 5.723; p < 0.01), which indicates a significant increase in the number of viral pneumonia cases due to pneumonia caused by COVID-19 in April 2020
Main results of the study
Analysis of CT results under conditions of the COVID-19 pandemic.
Most of the patients (95.4%) who were diagnosed with viral pneumonia according to CT were urgently isolated and transferred to specialized institutions that were repurposed for the treatment of patients with COVID-19. The only exceptions were patients (3.1%) who could not be transferred to specialized institutions for a number of reasons (concomitant pathology, severe condition, etc.).
Thirty-four (52.3%) of the 65 patients diagnosed with viral pneumonia by CT examination had a positive PCR test result for COVID-19, 22 (33.8%) patients had a negative result; and the CT examination was not performed in 9 (13.9%) patients for reasons beyond our control (refusal, visit to a medical institution at the place of residence) (Fig. 1).
Fig. 1. PCR testing results of patients with viral pneumonia diagnosed by computed tomography.
Note. PCR ― polymerase chain reaction.
The diagnosis of viral pneumonia by CT was done on average 2−3 days earlier than by PCR testing. Thus, CT has a high accuracy in diagnosing COVID-19 and can be used as a method for diagnosing COVID-19 in the general hospital.
CT patterns of lung changes in pneumonia associated and not associated with COVID-19
The CT scan of the thoracic organs showed a typical feature of viral pneumonia that is characteristic of the disease, namely extensive bilateral zones or foci of ground-glass opacities with a predominantly peripheral location and the presence or absence of consolidation zones, in all the 65 patients with COVID-19.
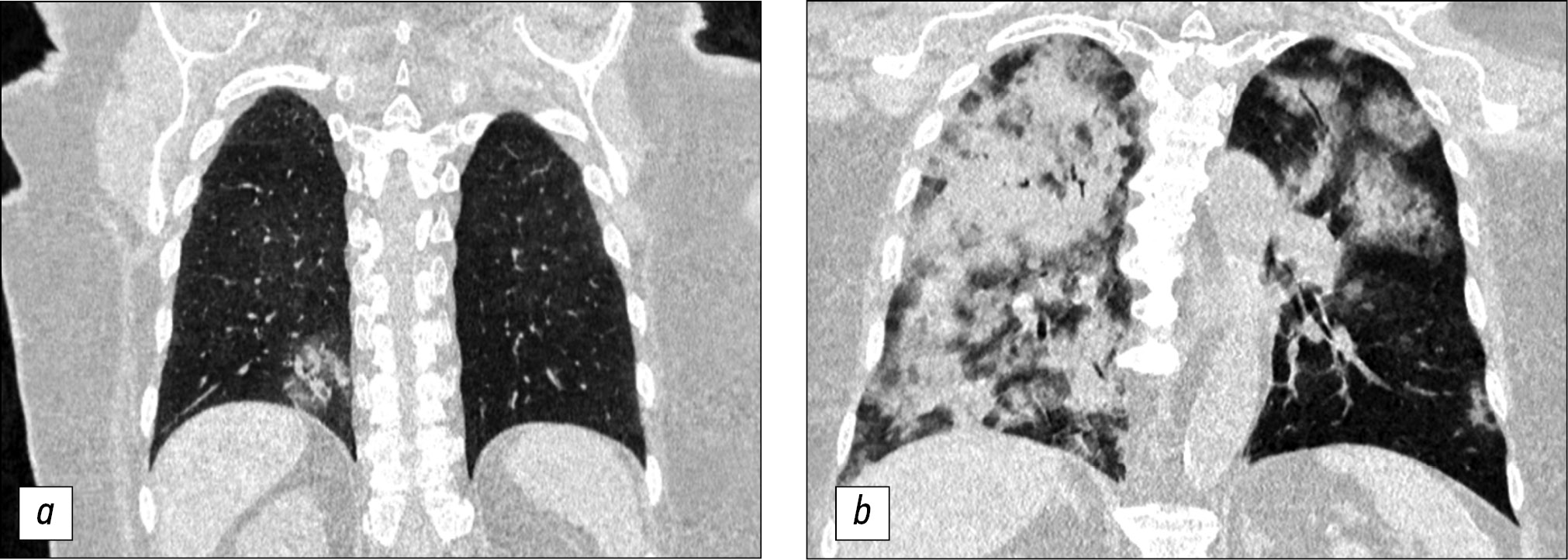
With the development of severe infectious diseases, SARS abnormalities of the lung parenchyma eventually spread to the central region and upper lobes of both sides [11, 12]. In our study, the progression of COVID-19 on CT images (13.8%) confirmed these findings (Fig. 2).
Fig. 1. PCR testing results of patients with viral pneumonia diagnosed by computed tomography.
In the group of patients with COVID-19, the disease was predominantly peripheral (subpleural) and was noted in the middle and lower lung fields on the initial CT scan of the thoracic organs. Further studies revealed that pulmonary consolidation and fusion of infiltrates extended into the upper lobes of the organ as the disease progressed and affected them, as all five lobes of both lungs were affected in some patients, while “white” lungs were seen on CT. In our study group, an increase in the number of cases of ground-glass opacity and consolidation density indicated the progression of the disease, while the emergence of fibrosis and the resolution of the areas of ground-glass opacity or consolidation indicated improvement. However, the deformation of the bronchus due to fibrosis can lead to irreversible changes and affect the patient’s respiratory function. These data suggest that lung lesions in COVID-19 may be present before the patients become symptomatic, and that CT should be performed promptly, even if the disease is asymptomatic.
Some patients had labored respiration on CT; therefore, obtaining perfect images during the final inhalation can be problematic. Thus, when reading CT images, radiologists should pay special attention to differentiate between areas of ground-glass opacity of the lung tissue and changes in the parenchyma caused by respiratory artifacts.
CT in the differential diagnosis of viral pneumonia
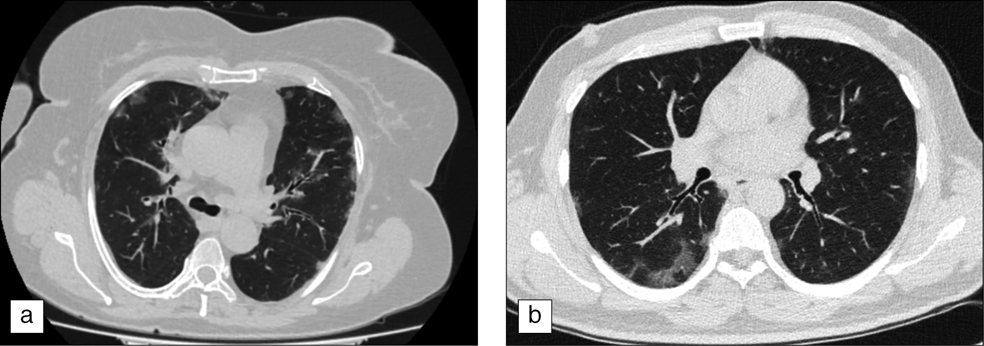
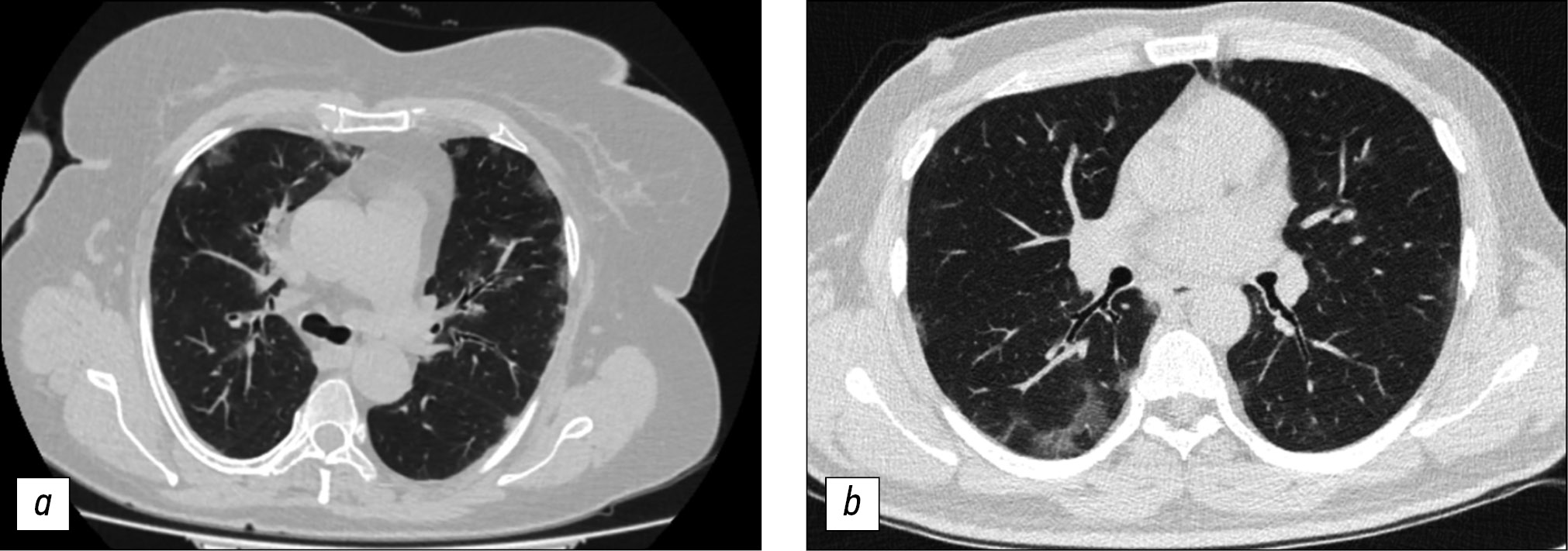
CT patterns of viral pneumonia are associated with the pathogenesis of viral infections. Most viral pneumonias have a similar pathogenesis [13]. Consequently, viral pneumonia caused by various viruses shows a similar presentation on chest CT images, which was revealed when we compared the CT images of chest organs of patients with viral pneumonias before the COVID-19 pandemic (April 2019) and during the pandemic (April 2020) (Fig. 3).
Fig. 3. Computed tomography of the chest organs; comparison of viral pneumonia images before and during the COVID-19 pandemic: a ― multiple subpleural sites of ground-glass opacity of the lung tissue (April 2019); b ― a similar presentation of an atypical pneumonia of viral origin (April 2020).
When comparing the CT detection frequency of viral pneumonia patterns in patients over the same period of time in 2019 and 2020, it was revealed that features such as the ground-glass opacity was registered in 100% of patients in both samples, crazy paving reticular changes were noted in 40% of patients in the 2020 sample and in 42% of patients in the 2019 sample, consolidation was registered in 27% and 14% of patients, and bilateral lung damage was detected in 86.4% and 71.4% of cases in the 2020 and 2019 samples, respectively.
We also showed that all the aspects of viral pneumonia detected by primary CT examination in patients with COVID-19 (mainly peripheral ground-glass opacities of the lung tissue, vasodilatation, thickening of the interlobular and intralobular interstitium, and air bronchogram symptoms) are similar to the CT aspects in acute respiratory viral infections. In this case, all of the listed radiological characteristics of viral lung damage can be attributed to damage to the alveoli and interstitium of the organ, or its edema.
Mechanisms of lung damage in COVID-19-associated pneumonia
According to international studies, patients with severe pneumonia associated with COVID-19 may exhibit signs of systemic hyperinflammation, denoted by the general term macrophage-activation syndrome (MAS) or cytokine storm, also known as secondary hemophagocytic lymphohistiocytosis (sHLH) [14].
It is assumed that severe diffuse alveolar and interstitial inflammation also spreads to the nearby vasculature of the lungs, causing a MAS-like intrapulmonary inflammatory response that can lead to severe local vascular dysfunction, including microthrombosis and hemorrhage as manifestations of pulmonary intravascular coagulopathy.
Increased C-reactive protein levels and hyperferritinemia are the main indicators in the diagnosis of MAS/sHLH and are registered in many severe cases of COVID-19-associated pneumonia [15]. Other markers of MAS/sHLH include coagulopathy and liver dysfunctions that can also be detected in a subgroup of patients with pneumonia induced by COVID-19, suggesting a cytokine storm in patients with a combination of these parameters [16].
The assumptions about the possible presence of MAS/sHLH in patients with COVID-19-associated pneumonia are partially supported by our cases. Therefore, in several patients with severe COVID-19 pneumonia enrolled in this study, bronchoscopy revealed increased single pass petechiae in the presence of a hyperemic mucosa, which may partially indicate both active inflammation (in most patients, C-reactive protein levels are increased) and coagulopathy in presence of impaired liver functions.
The pathogenic mechanisms of lung damage in COVID-19 require a more detailed study and the comparison of CT images of patients with COVID-19 with the results of bronchoscopy, coagulogram, and blood biochemical parameters, which would explain the mechanism of formation of ground-glass opacity sites of the lung tissue, as well as rapid changes of the thoracic organs based on CT results.
Probability and severity of COVID-19
The probability of COVID-19 according to the chest organs CT presentation of viral pneumonia (65 cases) was estimated as average for 13.8% of cases and high for 86.2% of cases (Fig. 4).
Fig. 4. Distribution of patients with a high and an average probability of COVID-19 according to the CT of the thoracic organs and depending on the disease severity.
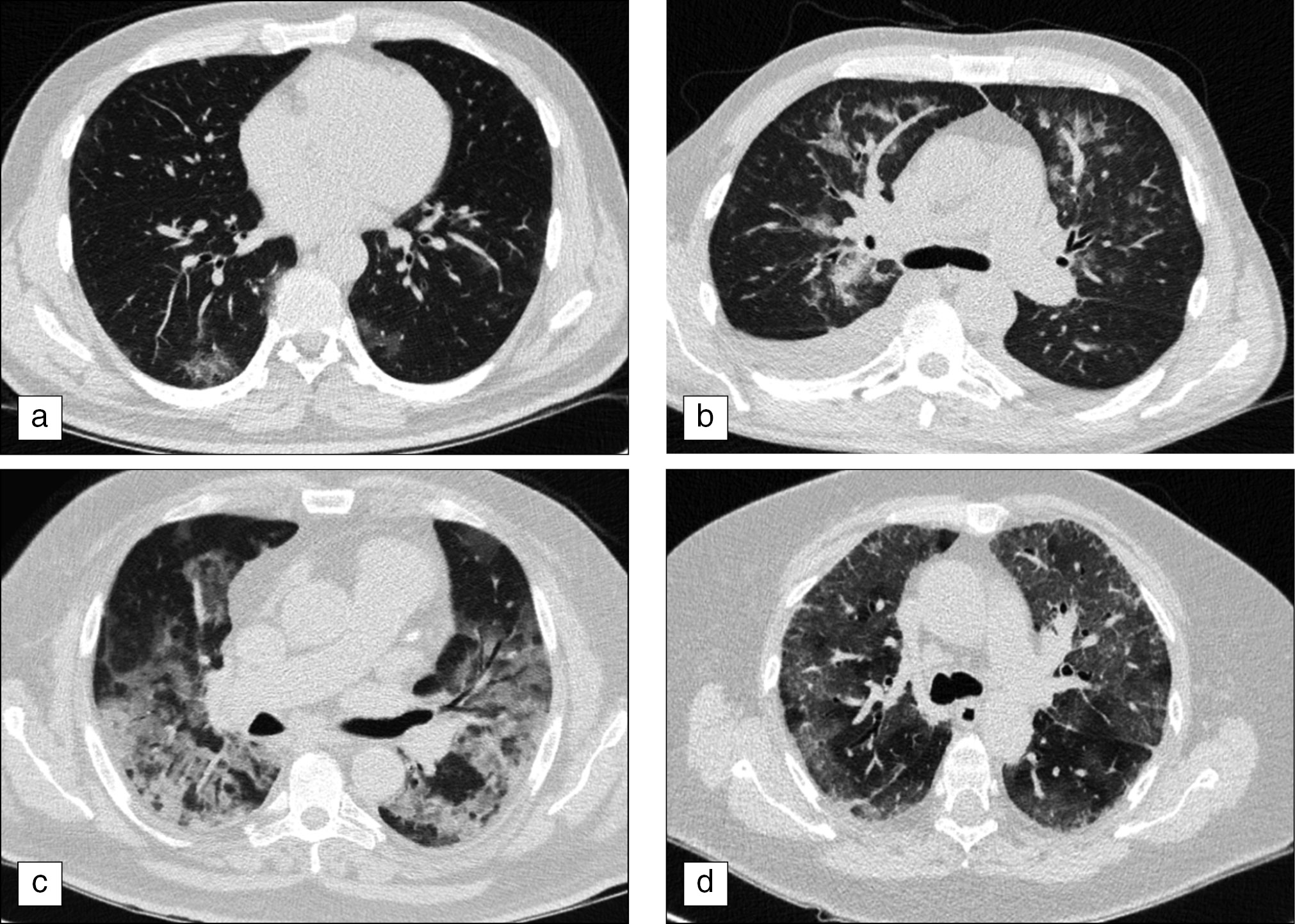
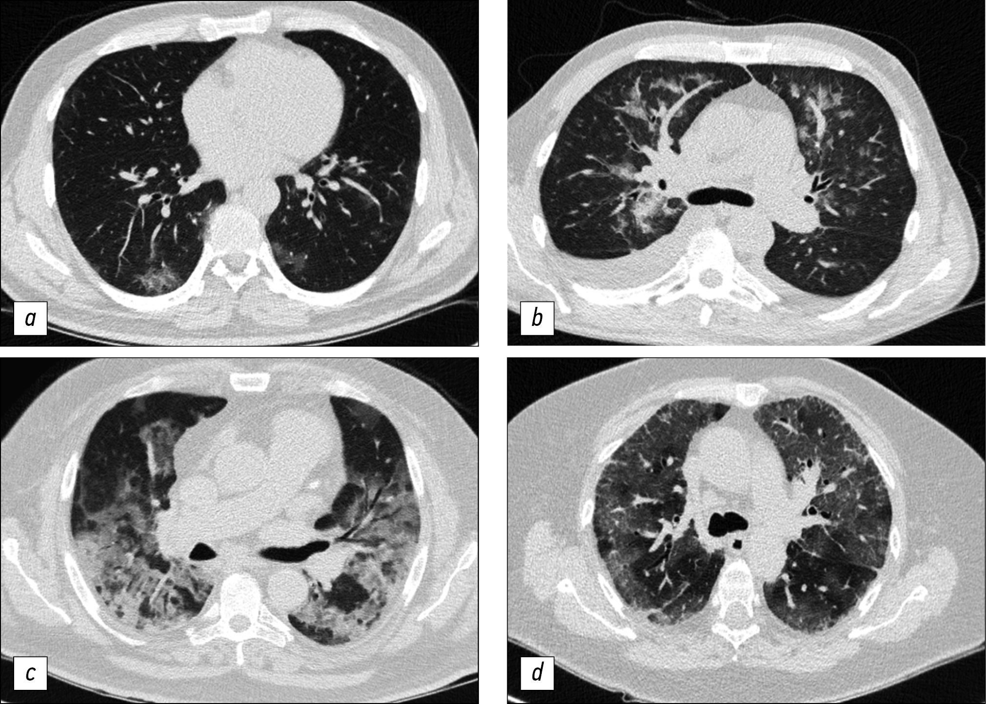
The severity of viral pneumonia according to the CT of the thoracic organs was mild in 38.5% of cases (Fig. 5, a), moderate in 46.2% (Fig. 5, b), severe in 12.3% (Fig. 5, c), and extremely severe in 3.1% of cases (Fig. 5, d).
Fig. 5. Viral pneumonia severity according to the computed tomography of the thoracic organs: a ― mild changes (CT-1), involvement of the lung parenchyma by ≤25%; b ― moderate changes (CT-2), involvement of the lung parenchyma by 25%–50%; c ― severe changes (CT-3), involvement of the lung parenchyma by 50%–75%; d ― extremely severe and critical changes (CT-4), involvement of the lung parenchyma by ≥75%.
Concomitant morphological phenomena have been noted, such as:
- lymphadenopathy in 7.7% of cases, including only quantitative in 24.6% of cases, absent in 66.2% of cases;
- unilateral hydrothorax in 7.7%, bilateral in 13.8%, and absent in 78.5% of cases;
- hydropericardium in 4.6% of cases and absent in 95.4% of cases;
- pulmonary hypertension in 21.5% and absent in 78.5% of cases.
The dynamics of viral pneumonia was not traced in 86.2% of cases, and was negative in 13.8% of cases.
Viral pneumonia resulted in improvement (discharge) in 1.5%, transfer to a COVID-19 hospital in 95.4%, and a lethal outcome in 3.1% of cases.
It should be noted that, statistically significantly, in more severe cases of viral pneumonia, radiological phenomena such as hydrothorax (bilateral or unilateral) and pulmonary hypertension (Kruskal–Wallis test, where p = 0.031 and p = 0.026, respectively) were found on CT of the thoracic organs. In the pairwise comparison of the groups with viral pneumonia of varying severity and these phenomena using Fisher’s test, a statistically more frequent occurrence of pulmonary hypertension was determined in the moderate (11 out of 30) compared to the mild (0 out of 25) X-ray presentations of pneumonia (p < 0.01), and hydrothorax was more often detected in the moderate (8 out of 30) and severe (4 out of 8) cases by CT (p < 0.01).
Finally, the severity of viral pneumonia has a statistically significant effect on the course of the disease, as negative changes are more common in cases of severe (4 out of 8) pneumonia compared to moderate (2 out of 30; Fisher’s test, p < 0.01) and mild (3 out of 25; Fisher’s test, p < 0.05) cases.
CONCLUSION
The number of viral pneumonias detected in April 2020 was significantly higher than that which was detected in the same period in 2019, due to the emergence of a new viral agent (COVID-19).
In one-third of patients with a characteristic CT presentation of viral pneumonia, PCR tests showed negative results, which indicates possible false negative test results and the need for a CT scan of the thoracic organs in combination with PCR testing.
The results of CT under conditions of the COVID-19 pandemic in 2020 coincided partially with the results of CT of other viral pneumonias diagnosed in April 2019. In 65 cases of viral pneumonia, it was possible to demonstrate that a more severe CT presentation upon admission determines a greater probability of developing the disease by an unfavorable scenario (negative dynamics), for example, in the group of patients with severe lung damage, two lethal outcomes were recorded. In addition, CT scans revealed radiological phenomena such as hydrothorax (bilateral or unilateral) and pulmonary hypertension significantly more often in severe cases of viral pneumonia. However, the ability of CT to identify lung damage due to specific viral agents is limited, since the X-ray CT presentation of lung damage in COVID-19 overlaps with the results of the CT of the thoracic organs in patients infected with other respiratory viruses.
Our study showed that CT, combined with clinical and anamnestic data, and PCR testing, can be useful as a standard method for diagnosing COVID-19, especially in a general hospital. CT diagnosis of COVID-19, characterized by the relative speed of the examination and the interpretation of the results obtained, even with the false negative results of the PCR tests, enables to timely quarantine patients with suspected COVID-19, prescribe treatment, and prevent the further spread of the viral infection during the pandemic, which helps to optimize patient management.
ADDITIONAL INFO
Funding. The study had no sponsorship.
Conflict of interest. All authors declare no conflict of interest regarding to this publication.
Authors contribution. S.A. Yaremenko — manuscript writing, analysis and expert evaluation of results; N.A. Rucheva — expert assessment of results; K.N. Zhuravlev — search for publications, review part editing; V.E. Sinitsyn — systematization and final editing of the article. All authors made a significant contribution to the study and preparation of the article, read and approved the final version before publication.
About the authors
Stepan A. Yaremenko
State Moscow Clinical Hospital I.V.Davydovskiy; Lomonosov Moscow State University
Author for correspondence.
Email: yaremenkosa@yandex.ru
ORCID iD: 0000-0002-7709-977X
MD, PhD student
Russian Federation, MoscowNatalia A. Rucheva
State Moscow Clinical Hospital I.V.Davydovskiy
Email: rna1969@yandex.ru
ORCID iD: 0000-0002-8063-4462
MD, PhD
Russian Federation, MoscowKirill N. Zhuravlev
State Moscow Clinical Hospital I.V.Davydovskiy
Email: kir232@mail.ru
ORCID iD: 0000-0003-1733-267X
MD
Russian Federation, MoscowValentin E. Sinitsyn
Lomonosov Moscow State University
Email: vsini@mail.ru
ORCID iD: 0000-0002-5649-2193
MD, PhD, Professor
Russian Federation, MoscowReferences
- Zhu N, Zhang D, Wang W, et al. A novel coronavirus from patients with pneumonia in China, 2019. N Engl J Med. 2020;382(8):727–733. doi: 10.1056/NEJMoa2001017
- Xie X, Zhong Z, Zhao W, et al. Chest CT for Typical 2019-nCoV Pneumonia: Relationship to Negative RT-PCR Testing. Radiology. 2020;296(2):E41−E4. doi: 10.1148/radiol.2020200343
- World Health Organization. Summary of probable SARS cases with onset of illness from 1 November 2002 to 31 July 2003 (based on data as of December 31, 2003). Available from: https://www.who.int/publications/m/item/summary-of-probable-sars-cases-with-onset-of-illness-from-1-november-2002-to-31-july-2003
- World Health Organization. Naming the coronavirus disease (COVID-2019) and the virus that causes it. Available from: https://www.who.int/emergencies/diseases/novel-coronavirus-2019/technical-guidance/naming-the-coronavirus-disease-(covid-2019)-and-the-virus-that-causes-it
- She J, Jiang J, Ye L, et al. 2019 novel coronavirus of pneumonia in Wuhan, China: emerging attack and management strategies. Clin Transl Med. 2020;9(1):19. doi: 10.1186/s40169-020-00271-z
- Xu X, Chen P, Wang J, et al. Evolution of the novel coronavirus from the ongoing Wuhan outbreak and modeling of its spike protein for risk of human transmission. Sci China Life Sci. 2020;63(3):457–460. doi: 10.1007/s11427-020-1637-5
- Huang C, Wang Y, Li X, et al. Clinical features of patients infected with 2019 novel coronavirus in Wuhan, China. Lancet. 2020;395(10223):497–506. doi: 10.1016/S0140-6736(20)30183-5
- Fang Y, Zhang H, Xie J, et al. Sensitivity of Chest CT for COVID-19: Comparison to RT-PCR. Radiology. 2020; 296(2):E115−E117. doi: 10.1148/radiol.2020200432
- Chung M, Bernheim A, Mei X, et al. CT Imaging of the 2019 Novel Coronavirus (2019-nCoV) Pneumonia. Radiology. 2020. doi: 10.1148/radiol.2020200230
- BSTI. COVID-19 BSTI reporting templates and Codes. Available from: https://www.bsti.org.uk/covid-19-resources/covid-19-bsti-reporting-templates/
- Paul NS, Roberts H, Butany J, et al. Radiologic pattern of disease in patients with severe acute respiratory syndrome: The Toronto experience. Radiographics. 2004;24:553–563. doi: 10.1148/rg.242035193
- Das KM, Lee EY, Langer RD, Larsson SG. Middle East respiratory syndrome coronavirus: What does a radiologist need to know? AJR Am J Roentgenol. 2016;206(6):1193−1201. doi: 10.2214/AJR.15.15363
- Koo HJ, Lim S, Choe J, et al Radiographic and CT features of viral pneumonia. Radiographics. 2018;38(3):719−739. doi: 10.1148/rg.2018170048
- McGonagle D, Sharif K, O’Regan A, Bridgewood C. Interleukin-6 use in COVID-19 pneumonia related macrophage activation syndrome. Autoimmun Rev. 2020;102537. doi: 10.1016/j.autrev.2020.102537
- Colafrancesco S, Priori R, Alessandri C, et al. sCD163 in AOSD : a biomarker for macrophage activation related to hyperferritinemia. Immunol Res. 2014;60(2-3):177−183. doi: 10.1007/s12026-014-8563-7
- Wu C, Chen X, Cai Y, et al. Risk factors associated with acute respiratory distress syndrome and death in patients with coronavirus disease 2019 pneumonia in Wuhan, China. JAMA Intern Med. 2020;180(7):934−943. doi: 10.1001/jamainternmed.2020.0994
Supplementary files











