Vol 1, No 1 (2020)
- Year: 2020
- Published: 30.12.2020
- Articles: 7
- URL: https://jdigitaldiagnostics.com/DD/issue/view/2773
- DOI: https://doi.org/10.17816/DD.11
Correspondence
Mobilizing the academic and practical potential of diagnostic radiology during the COVID-19 pandemic in Moscow
Abstract
At the beginning of the first wave of the COVID-19 pandemic, a network of outpatient CT centers (OCTC) for lung pathology diagnostics in patients with suspected viral pneumonia with the round-the-clock operation was formed in Moscow. The introduction of the “CT 0-4” scale allowed for effective routing. To prevent the spread of infection among patients and staff, OCTC zoning was introduced, dividing into “red,” “buffer,” and “green” zones. As part of the mobilization of the Radiology Service, the Moscow Reference Center was established, aimed at quality control, remote expert consultations, and organizational and methodological support. Several online courses and training webinars have been developed. Artificial Intelligence services were connected to recognize the signs of COVID-19 and assess the severity.
The developed strategy of the Moscow Radiology Service ensured readiness for the high burden on the city health care system and minimized losses among medical personnel. The experts significantly contributed to effective infection control through accessible, timely, and high-quality diagnostics and routing.



Systematic reviews
Diagnostic value of lung ultrasound in COVID-19: systematic review and meta-analysis
Abstract
BACKGROUND: Effective and safe tools assisting triage decisions for COVID-19 patients could optimize the pressure on the healthcare system. COVID-19 often has respiratory manifestations, and medical imaging techniques provide an opportunity to assess the disease’s severity.
AIMS: To estimate the sensitivity and specificity of lung ultrasound for different degrees of pulmonary involvement in COVID-19 patients by a systematic review of English articles using PubMed and Google Scholar databases. Search terms included lung ultrasound, chest ultrasound, thoracic ultrasound, ultrasonography, COVID-19, SARS-CoV-2, coronavirus, diagnosis, diagnostic value, specificity, and sensitivity. Only studies addressing lung ultrasound diagnostic accuracy for patients with suspected COVID-19 using thoracic computed tomography, reverse transcription polymerase chain reaction, or laboratory data as a reference standard were included. Independent extraction of articles was performed by two authors using predefined data fields with subsequent assessment of study quality indicators. The random-effect model was used to analyze and pool lung ultrasound sensitivity and specificity across the included studies. Sixteen studies met our inclusion criteria, but only three of them divided patients into distinct and defined groups depending on the disease severity. We used the remaining studies’ data to assess the secondary outcomes: the values of sensitivity and specificity of lung ultrasound for COVID-19 regardless of the patient’s clinical status. Heterogeneity for primary and secondary outcomes was observed that remained when pooling for different scenarios (screening, assessing severity) and cohorts of participants. Lung ultrasound had the highest accuracy for confirmed COVID-19 patients with severe disease (sensitivity 87.6% ± 12.3%, specificity 80.5% ± 7.1%), and the lowest accuracy for the patients with mild disease (sensitivity 72.8% ± 7.1%, specificity 74.3% ± 2.7%).
CONCLUSIONS: Lung ultrasound can be used in patients with confirmed COVID-19 to detect serious damage to the lung tissue. The diagnostic value of the method for assessing mild and moderate lung lesions is relatively low.



Original Study Articles
Chest computed tomography for outcome prediction in laboratory-confirmed COVID-19: A retrospective analysis of 38,051 cases
Abstract
BACKGROUND: In the current epidemiological situation, computed tomography (CT) of chest organs plays an important role in disease diagnosis. Clinical and CT data allow physicians to quickly establish the probability of the presence and prognosis of patients with coronavirus disease 2019 (COVID-19).
AIMS: This study aimed to predict outcomes in patients with laboratory-confirmed COVID-19 based on chest CT and a semi-quantitative visual pulmonary lesion grading system (CT 0–4).
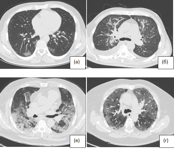
MATERIALS AND METHODS: A retrospective analysis of the Unified Medical Information and Analytical Service and Unified Radiological Information Service records from March 01, 2020 to July 30, 2020 was performed. The inclusion criteria were as follows: patients diagnosed with U07.1 (laboratory-verified coronavirus infection) from March 01, 2020 to July 30, 2020 and referred for a chest CT by a physician with suspected community-acquired pneumonia caused by COVID-19; the maximum period between laboratory verification and CT was not more than five days. The observation period for each patient was at least till 30 days from the date of CT. CT was performed in 48 medical organizations providing primary medical care to adults in Moscow. The exclusion criterion was a negative reverse transcription-polymerase chain reaction results by July 30, 2020. The CT 0–4 scale is recommended for use in the Russian Federation to estimate the volume of lung parenchyma lesions when COVID-19 is suspected.
RESULTS: The total sample volume was 38,051 patients. In this study, the risk of death was three times higher for CT-4 than for CT-0. In the Kaplan–Meier survival curve, the survival rate of patients in the CT-3 category was almost three times lower (hazard ratio = 2.94) than in the CT 0–2 categories; in addition, the higher the initial category of CT, the lower the risk of deterioration. The time for hospitalization decreased with the increase in the CT grade.
CONCLUSION: The visual CT 0–4 scale can be used to predict outcomes, such as hospitalizations and deaths, in patients suspected of COVID-19 who underwent chest CT in primary health care.



The frequency and character of community-acquired pneumonia comparison before and during the COVID-19 epidemic in the multi-specialty hospital
Abstract
BACKGROUND: The 2019 coronavirus disease outbreak (COVID-19) quickly swept the world in just a month. Polymerase chain reaction (PCR) is used in the diagnosis of this disease, but this test has limitations related to false negative results, as well as PCR is a time-consuming procedure. Under these conditions, chest computed tomography (CT) can become one of the main methods in the Clinician’s Arsenal used for early detection of COVID-19 in patients who first seek medical help.
AIMS: comparison of the frequency of community-acquired pneumonia and its characteristics according to CT data before and during the COVID-19 epidemic and study of the possibilities of their timely detection and differential diagnosis.
MATERIALS AND METHODS: A retrospective analysis of chest CT scans results was performed in Davydovsky hospital (Moscow) from April 1 to April 17, 2020. It included all patients diagnosed with viral pneumonia at the CT. All patients with suspected diagnosis of viral pneumonia underwent PCR testing. Retrospective analysis of chest CT data from patients admitted to the hospital with suspected pneumonia for the same period in 2019 was taken as a comparison group.
RESULTS: For the period from April 1 to April 17, 2020 according to chest CT, pneumonia was diagnosed in 140 cases, of which 65 (46.4%) were described as viral, compared with the same period in 2019 − 7 diagnoses of viral pneumonia (10.3%) were described a significant increase in cases of viral pneumonia (5.723; p <0.01). Results of PCR test in patients with viral pneumonia according to CT data was: positive in 34 (52.3%), negative in 22 (33.8%), 9 (13.9%) patients were not tested. When comparing the frequency of detection on CT of viral pneumonia patterns in patients for the same period of time in 2019 and 2020, no significant differences were found. The probability of COVID-19 due to results of chest CT was: average 13.8%, high − 75.4%. The severity of viral pneumonia according to CT data was: light 38.5%, medium 46.2%, severe 12.3%, extremely severe 3.1%.
CONCLUSIONS: Rapid CT diagnostics of COVID-19, even with false negative results of PCR tests, can help to isolate a patient with suspected COVID-19, start treatment on time and prevent the further spread of viral infection in a pandemic. Nevertheless, due to the non-specificity of the revealed picture, the possibilities of CT to identify lung lesions by specific viral agents are limited.



Datasets
MosMedData: data set of 1110 chest CT scans performed during the COVID-19 epidemic
Abstract
With the ongoing COVID-19 pandemic decreasing availability of polymerase chain reaction with reverse transcription and the snowballing growth of medical imaging, especially the number of chest computed tomography (CT) scans being performed, methods to augment and automate the image analysis, increasing productivity and minimizing human error are of particular importance. The creation of high-quality datasets is essential for the development and validation of artificial intelligence algorithms. Such technologies have sufficient accuracy in diagnosing COVID-19 in medical imaging. The presented large-scale dataset contains anonymized human CT scans with COVID-19 features as well as normal studies. Some studies were tagged by radiologists using binary pixel masks of regions of interest (e.g., characteristic areas of consolidation and ground-glass opacities). CT data were acquired between March 1, 2020, and April 25, 2020, and provided by municipal hospitals in Moscow, Russia. The presented dataset is licensed under Creative Commons Attribution-NonCommercial-NoDerivs 3.0 Unported (CC BY-NC-ND 3.0).



Case reports
Chest MRI of a pregnant woman with COVID-19 pneumonia
Abstract
This paper presents a clinical case of a 39-year-old pregnant woman with respiratory signs of the novel coronavirus Covid-19 infection. Chest MRI showed bilateral lesions in basal segments. The PCR test was positive. A lung condition was assessed without loss of significant diagnostic information. Besides that, the absence of exposure to ionizing radiation allowed to avoid a high loading dose on the patient and the fetus. This case reveals potential opportunities of MRI in the diagnosis of pulmonary pathology without exposure to ionizing radiation, especially in patient risk groups (children, pregnant women, etc.).



Biography
Professor Anatoly I. Shekhter (January 18, 1935 - November 26, 2020)
Abstract
On November 26, 2020, sad news befell us: at the age of 85, one of the most famous and respected Soviet and Russian radiologists, Professor Anatoly I. Shekhter, died after an illness.
For decades, Anatoly Ilyich carried knowledge, light and goodness to many generations of students and doctors. His name is widely known in our country and abroad. His whole life from birth was associated with medicine.


