Radiological evaluation of a calyceal diverticulum presenting with hematuria
- Authors: Masino F.1, Montatore M.1, Eusebi L.2, Gifuni R.1, Muscatella G.1, Balbino M.1, Sortino G.2, Pitoni L.2, Guglielmi G.1,3,4
-
Affiliations:
- Foggia University School of Medicine
- Carlo Urbani Hospital
- Dimiccoli Hospital
- IRCCS Casa Sollievo della Sofferenza Hospital
- Issue: Vol 5, No 3 (2024)
- Pages: 592-600
- Section: Reviews
- Submitted: 11.11.2023
- Accepted: 24.01.2024
- Published: 04.12.2024
- URL: https://jdigitaldiagnostics.com/DD/article/view/623209
- DOI: https://doi.org/10.17816/DD623209
- ID: 623209
Cite item
Full Text
Abstract
Calyceal diverticula, also known as pyelogenic cysts, are a relatively uncommon condition, which is usually asymptomatic and incidentally diagnosed during routine imaging. In some cases, they may lead to concerning symptoms such as hematuria and flank pain, mimicking a renal tumor. In this case report, the patient suffered from hematuria that was initially suspected as a renal malignancy but was ultimately attributed to a calyceal diverticulum. The presented case allows evaluating one of the rarest and underestimated causes of hematuria and describes the main imaging features of calyceal diverticula. In particular, ultrasonography, computed tomography urography, dual-energy computed tomography, and magnetic resonance urography were performed. Subsequently, this case report also serves an educational purpose.
Keywords
Full Text
АКТУАЛЬНОСТЬ
Дивертикул чашечки почки, также известный как пиелогенная киста, представляет собой кистовидное образование, которое развивается в почечной паренхиме и ретроградно сообщается с собирательной (чашечно-лоханочной) системой почки через узкий воронкообразный канал [1, 2]. Дивертикул чашечки относится к несекреторным доброкачественным изменениям. Его полость, заполненную жидкостью, выстилают переходные клетки, при этом сам дивертикул окружён мышечно-слизистым слоем [3, 4].
Дивертикулы чашечки почки — это редкое заболевание; его распространённость составляет от 0,21 до 0,6%, независимо от возраста и пола. Этиология этого заболевания остаётся спорной. Считается, что формирование дивертикула обусловлено различными факторами, такими как наличие эмбриональных остатков, травма и обструктивная уропатия. Наиболее широко признанной является гипотеза о врождённости рассматриваемого изменения, то есть его формирования вследствие неполного регресса третьего или четвёртого отделов зачатков мочеточника мезонефрального протока. Согласно гипотезе о вторичном патогенезе, при обструкции, инфекции и опухолях развивается воспалительный или механический стеноз сфинктера чашечки, что приводит к местному ретроградному току жидкости с повышением внутричашечного давления и пассивным расширением чашечки почки [3].
Наличие дивертикулов чашечки почки часто не сопровождается какими-либо симптомами, а диагноз устанавливается случайно во время визуализирующего исследования по другим причинам. Однако в некоторых случаях могут развиваться гематурия, боль, рецидивирующие инфекции мочевыводящих путей (ИМП) и нефролитиаз [1]. Более чем в половине случаев в дивертикулах образуются камни, что связано с узостью сообщающегося канала дивертикула, способствующей застою мочи и преципитации кристаллов [3].
Размер дивертикулов обычно варьирует в диапазоне от 0,5 до 7,5 см [1]. Дивертикулы чашечки обычно разделяют на два типа в зависимости от характера соединения канала: тип I является наиболее распространённым, как правило расположен в верхнем полюсе почки и сообщается с малой почечной чашечкой [1, 2]. Тип II обычно локализуется в средней части почки, чаще большого размера и сообщается с большой почечной чашечкой или почечной лоханкой [3, 4]. Наличие дивертикула типа II сопровождается симптомами, а дивертикула типа I — обычно нет [5].
ОПИСАНИЕ СЛУЧАЯ
Анамнез
Пациент, мужчина 65 лет, без значимых заболеваний в анамнезе обратился в отделение авторов с жалобами на гематурию. Какие-либо сопутствующие симптомы со стороны нижних мочевыводящих путей, такие как дизурия, императивные или частые позывы к мочеиспусканию, отсутствовали. Были собраны данные о текущих жалобах, характеристиках пациента, личный и семейный анамнез.
Диагностика
При физикальном обследовании пальпируемых образований в брюшной полости, боковой и подвздошной области живота обнаружено не было. Показатели жизненно важных функций пациента были в норме. Результаты стандартных лабораторных анализов, включая общий анализ крови и функции почек, были без отклонений от нормы, за исключением гематурии. При анализе мочи были выявлены эритроциты, однако лейкоциты, белок и нитриты в моче отсутствовали. Результаты посева мочи также были отрицательными. Дальнейшую оценку проводили визуализирующими методами.
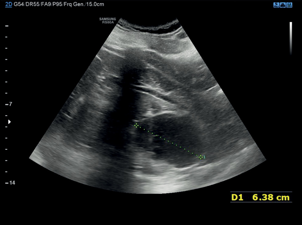
Было проведено ультразвуковое исследование (УЗИ) брюшной полости в качестве обследования первой ступени. В обеих почках визуализировались кисты. Кроме того, в средне-нижней части левой почки визуализировалось крупное образование диаметром около 6,4 см. Эхогенность неоднородная, но преимущественно гипоэхогенно, морфология дольчатая. В связи с опасениями по поводу возможной злокачественности выявленного образования было предложено провести компьютерную томографию (КТ) (рис. 1).
Рис. 1. При ультразвуковом исследовании выявлено неоднородное образование больших размеров, преимущественно анэхогенное, с округлыми чёткими границами, расположенное в средне-нижней части левой почки. Наибольший диаметр составил 6,38 см.
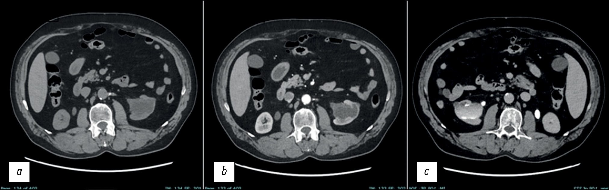
Далее провели КТ-урографию (КТУ). Было подтверждено наличие в средне-нижней части левой почки чётко очерченного дольчатого кистозного образования, сообщающегося с почечной чашечкой, которое характеризовалось пристеночным контрастным усилением в артериальной фазе и постепенно заполнялось контрастным веществом в отсроченной фазе. Камни и гидронефроз отсутствовали. Другие отклонения почек и мочевыводящих путей от нормы также отсутствовали. Обе почки были нормального размера, формы и расположения. Отсутствовали патологическая плотность жировой капсулы, окружающей обе почки, и признаки утолщения околопочечной фасции. На основании морфологических и томоденситометрических характеристик образования первым предполагаемым диагнозом был пиелогенный дивертикул, однако нельзя было исключить и злокачественные новообразования (рис. 2).
Рис. 2. Аксиальные срезы, результаты компьютерной томографической урографии: a — без контрастирования, при сканировании признаки литиаза в обеих почках отсутствовали, образование в левой почке было гиподенсным с томографической плотностью, соответствующей жидкости (в единицах Хаунсфилда); b — в артериальной фазе, при сканировании было отмечено незначительное увеличение плотности кистоподобной полости; c — в экскреторной фазе, при сканировании наблюдалось контрастное усиление стенок полости, с постепенным заполнением полости контрастным веществом.
По результатам двухэнергетической компьютерной томографии (ДЭКТ) с последующей реконструкцией изображений было подтверждено отсутствие гидронефроза и нефролитиаза, а также наличие образования, характеристики которого не соответствовали солидному образованию, что снижало вероятность злокачественности и связи выявленного образования с чашечно-лоханочной системой (рис. 3).
Рис. 3. Обработанные изображения, полученные методом двухэнергетической компьютерной томографии, корональная плоскость. На цветокодированных картах распределения йода (a, b) поглощение йода выделительной системой, включая дивертикул чашечки почки, представлено ярко-желтым цветом. На рисунке b сигнал от йода в области кист отсутствует.
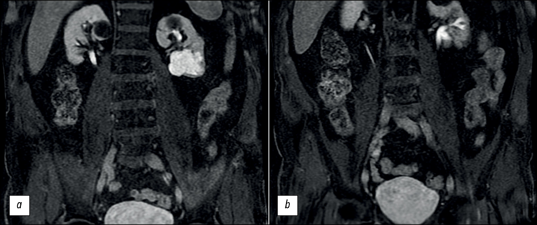
Чтобы более точно охарактеризовать образование и подтвердить гипотезу о наличии дивертикула чашечки почки, которая была выдвинута по результатам КТУ, была проведена магнитно-резонансная урография (МРУ). В средне-нижней части левой почки было обнаружено дольчатое образование, сообщающееся с чашечно-лоханочной системой через узкий канал. В частности, наличие сообщения было подтверждено в экскреторной фазе, когда кистовидная полость заполнилась контрастным веществом. Результаты исследования указывали на наличие дивертикула чашечно-лоханочной системы почки (рис. 4, рис. 5).
Рис. 4. Магнитно-резонансная урография, аксиальные срезы: a — на Т2-взвешенном изображении визуализируется гиперинтенсивное образование; b — на T1-взвешенном изображении в режиме жироподавления после введения контрастного вещества в отсроченной фазе визуализируются гиперинтенсивные образование и почечная лоханка; c — на синфазном изображении образование и выделительная система визуализируются с той же интенсивностью; d — на диффузионно-взвешенном изображении при высоком b-значении ограничение диффузии отсутствует.
Рис. 5. Магнитно-резонансная урография, коронарные срезы, T1-взвешенные изображения в режиме жироподавления в отсроченной фазе после введения контрастного вещества. Два образования, расположенные в верхнем полюсе обеих почек, представляют собой кисты. (На двух последующих изображениях визуализировалось заполнение дивертикула контрастным веществом, а его воронкообразный канал сообщался с чашечно-лоханочной системой почки).
ОБСУЖДЕНИЕ
Окончательный диагноз — дивертикул чашечки почки типа II ввиду локализации в средне-нижней части почки, наличия сообщения с большой чашечкой, больших размеров и присутствия сопутствующих симптомов у пациента. В частности, имелась гематурия, которая относится к тревожным симптомам, поскольку может указывать на развитие злокачественного новообразования почки. Дифференциальная диагностика гематурии включает ИМП, мочекаменную болезнь, опухоли почки и структурные аномалии этого органа, при этом она редко наблюдается при дивертикуле чашечки. В описываемом случае у пациента не имелось жалоб на недавнее снижение массы тела, лихорадку, озноб и ночную потливость, а также в семейном анамнезе отсутствовали значимые урологические заболевания или документально подтверждённые злокачественные новообразования. Учитывая клиническую картину и отрицательные результаты лабораторных исследований, наиболее вероятным диагнозом представлялась осложненная мочекаменная болезнь, а не ИМП, при этом не исключалось возможное наличие опухоли.
В зависимости от применяемого метода дивертикулы чашечки могут визуализироваться по-разному. Патогномоничный признак — ретроградное заполнение дивертикула ввиду наличия протока, сообщающегося с собирательной системой почки, в экскреторной фазе при КТУ и МРУ [6]. Однако этот признак не всегда легко распознать, поэтому, учитывая низкую распространённость подобных образований, возможен ошибочный диагноз. Дифференциальная диагностика обычно включает простую кисту почки и злокачественные новообразования, такие как кистозный почечно-клеточный рак, поскольку оба заболевания могут иметь сходные с дивертикулом чашечки признаки.
В описываемом случае первым исследованием стало УЗИ брюшной полости. Обычно чашечные кисты визуализируются как анэхогенные образования с чёткими контурами с некоторой неоднородной эхогенностью во внутренней части, что может указывать на наличие камней. Несмотря на доброкачественный характер, рентгенологические признаки иногда могут быть похожи на таковые при парапельвикальной кисте, которая обычно визуализируется как анэхогенная полость с гладкой стенкой и чёткими границами. Кроме того, иногда трудно с уверенностью провести различие между образованием и почечной лоханкой. В связи с возможностью установления ошибочного диагноза необходима дополнительная оценка, особенно при наличии таких симптомов, как гематурия [1].
Хорошая визуализация дивертикула чашечки и его воронкообразного канала достигается при ретроградной пиелографии. При исследовании выявляется усиливающееся заполнение образования контрастным веществом, начиная от чашечек, прилежащих к узкому каналу, и заканчивая самим дивертикулом. Хотя простая киста визуализируется как образование низкой плотности с чёткими краями, при наличии дивертикула чашечки его воронкообразный канал сообщается с собирательной системой почки. В описываемом случае ретроградную пиелографию не проводили. Ретроградная интубация относится к инвазивным процедурам и часто может приводить к развитию такого осложнения, как ретроградная инфекция [3].
На КТ-урографии дивертикулы чашечки визуализируются в виде тонкостенной полости, заполненной контрастным веществом, что происходит ввиду её сообщения с собирательной системой почки через канал; плотность полости во время отсроченного сканирования непрерывно увеличивается. Ещё одна характеристика дивертикулов чашечки — наличие камней внутри их полости. Это является распространённым сопутствующим изменением, которое в клинической практике встречается с частотой 9,5–50,0% и проявляется обструкцией выводного канала и обратным током мочи [1, 2]. Визуальные характеристики дивертикула чашечки при КТ могут быть сходными с таковыми характеристиками почечной кисты, которая имеет чёткие, тонкие и ровные границы, однородную внутреннюю структуру и низкую плотность, соответствующую жидкости, при этом контрастное усиление стенки кисты отсутствует. В некоторых случаях дивертикул чашечки может имитировать злокачественную опухоль ввиду своих рентгенологических характеристик, которые были выявлены в случае, описываемом в этой статье. Кистозный почечно-клеточный рак при КТ визуализируется как образование низкой плотности, похожее на кисту, но обычно мультилокулярное, с узлом в стенке или перегородке, имеющим неоднородное контрастное усиление [3]. В описываемом случае подозрение на опухоль было связано с морфологией образования (полилобарные края, большой размер и наличие контрастного усиления стенок в артериальной фазе). При этом контрастное вещество постепенно заполняло полость образования в экскреторной фазе. Таким образом, КТ не позволяет получить чёткий ответ, если отсутствует отсроченная фаза контрастного усиления [5].
ДЭКТ представляет собой специализированный метод визуализации, который позволяет получить ценную информацию о составе и характеристиках тканей. Он может помочь провести различие между мягкими тканями, жидкостью (мочой и кровью), кальцификатами и камнями. Изображения, полученные методом выделения специфического для каждого материала сигнала (декомпозиции материала), — это сформированные в результате обработки изображения, на которых представлены или удалены вещества с известными характеристиками сигнала, такие как йод, кальций и мочевая кислота. Такой подход можно использовать для выявления мочекаменной болезни или дивертикула чашечки, а также его узкого канала благодаря высокому поглощению йода, что наблюдалось в описываемом случае [6].
МР-урография позволяет лучше охарактеризовать рассматриваемые образования. При простой кисте визуализируются ровные края и чёткая граница с почечной паренхимой, а также присутствует однородный гиперинтенсивный сигнал в Т2-режиме. Кроме того, МРТ обладает высокой чувствительностью с точки зрения выявления внутренних перегородок, утолщения и узловых образований, которые обычно присутствуют при кистозном почечно-клеточном раке. Дивертикул чашечки легко идентифицируется с помощью МРТ ввиду наличия интенсивного сигнала как от полости, так и от воронкообразного канала в Т2-режиме [4, 7].
В заключение следует отметить, что описанный клинический случай является отличным примером того, насколько важно знать рентгенологические особенности дивертикула чашечки почки, наличие которого может сопровождаться гематурией, вследствие чего могут возникать подозрения на злокачественное новообразование этого органа. Для предотвращения ненужных хирургических вмешательств и назначения надлежащего лечения решающее значение имеют точная диагностика и дифференциация от опухолей почки.
ЗАКЛЮЧЕНИЕ
Несмотря на то, что наличие таких симптомов, как гематурия, может привести к установлению ошибочного диагноза, практикующие врачи должны знать о дивертикулах чашечки почки и уметь распознавать их визуальные характеристики.
ДОПОЛНИТЕЛЬНАЯ ИНФОРМАЦИЯ
Источник финансирования. Авторы заявляют об отсутствии внешнего финансирования при проведении работы.
Конфликт интересов. Авторы декларируют отсутствие явных и потенциальных конфликтов интересов, связанных с публикацией настоящей статьи.
Вклад авторов. Все авторы подтверждают соответствие своего авторства международным критериям ICMJE (все авторы внесли существенный вклад в разработку концепции, проведение исследования и подготовку статьи, прочли и одобрили финальную версию перед публикацией).
Наибольший вклад распределён следующим образом: L. Eusebi, F. Masino, G. Guglielmi — концепция и дизайн работы; G. Sortino, L. Pitoni — сбор данных; F. Masino, L. Eusebi, M. Montatore, G. Muscatella, R. Gifuni — написание и редактирование текста статьи.
Информированное согласие на публикацию. Авторы получили письменное согласие пациента на публикацию медицинских данных и фотографий в обезличенной форме в журнале Digital Diagnostics.
ADDITIONAL INFORMATION
Funding source. This article was not supported by any external sources of funding.
Competing interests. The authors declare that they have no competing interests.
Authors’ contribution. All authors made a substantial contribution to the conception of the work, acquisition, analysis, interpretation of data for the work, drafting and revising the work, final approval of the version to be published and agree to be accountable for all aspects of the work.
L. Eusebi, F. Masino, G. Guglielmi — work conception and design; G. Sortino, L. Pitoni — data collection; F. Masino, L. Eusebi, M. Montatore, G. Muscatella, R. Gifuni — manuscript writing and editing.
Consent for publication. Written consent was obtained from the patient for publication of relevant medical information and all of accompanying images within the manuscript in Digital Diagnostics Journal.
About the authors
Federica Masino
Foggia University School of Medicine
Email: federicamasino@gmail.com
ORCID iD: 0009-0004-4289-3289
MD
Italy, FoggiaManuela Montatore
Foggia University School of Medicine
Email: manuela.montatore@unifg.it
ORCID iD: 0009-0002-1526-5047
MD
Italy, FoggiaLaura Eusebi
Carlo Urbani Hospital
Email: lauraeu@virgilio.it
ORCID iD: 0000-0002-4172-5126
MD
Italy, JesiRossella Gifuni
Foggia University School of Medicine
Email: rossella.gifuni@gmial.com
ORCID iD: 0009-0009-9679-3861
MD
Italy, FoggiaGianmichele Muscatella
Foggia University School of Medicine
Email: muscatella94@gmail.com
ORCID iD: 0009-0004-3535-5802
MD
Italy, FoggiaMarina Balbino
Foggia University School of Medicine
Email: marinabalbino93@gmail.com
ORCID iD: 0009-0009-2808-5708
MD
Italy, FoggiaGiuseppe Sortino
Carlo Urbani Hospital
Email: giuseppesortino@live.it
MD
Italy, JesiLucia Pitoni
Carlo Urbani Hospital
Email: lucia.pitoni22@gmail.com
ORCID iD: 0000-0002-8419-090X
MD
Italy, JesiGiuseppe Guglielmi
Foggia University School of Medicine; Dimiccoli Hospital; IRCCS Casa Sollievo della Sofferenza Hospital
Author for correspondence.
Email: giuseppe.guglielmi@unifg.it
ORCID iD: 0000-0002-4325-8330
MD, Professor
Italy, Foggia; Barletta; San Giovanni RotondoReferences
- Zhao Y, Zhang R, Yun Y, et al. A case report of renal calyceal diverticulum with hypertension in children and review of literature. BMC pediatrics. 2022;22(1):35. doi: 10.1186/s12887-021-03081-5
- Zhang R, Shen W, Li X, et al. A Petal-like Calyceal Diverticulum. Urology. 2015;86(6):e31–e32. doi: 10.1016/j.urology.2015.09.003
- Zhang Z, Zhang Y, Wang X, et al. Challenges in the diagnosis of calyceal diverticulum: A report of two cases and review of the literature. Journal of X-ray science and technology. 2020;27(6):1155–1167. doi: 10.3233/XST-190549
- Waingankar N, Hayek S, Smith AD, Okeke Z. Calyceal diverticula: a comprehensive review. Reviews in urology. 2014;16(1):29–43.
- Kurkov AV, Pominalnaya VM, Nechay VV, et al. A Case Report of Calyceal Diverticulum: Differential Diagnosis for Organ-Preserving Operations. Frontiers in surgery. 2021;8:731796. doi: 10.3389/fsurg.2021.731796
- Montatore M, Muscatella G, Eusebi L, et al. Current Status on New Technique and Protocol in Urinary Stone Disease. Current Radiology Reports. 2023;11:161–176. doi: 10.1007/s40134-023-00420-5
- Eusebi L, Masino F, Gifuni R, et al. Role of Multiparametric-MRI in Bladder Cancer. Current Radiology Reports. 2023;11:69–80. doi: 10.1007/s40134-023-00412-5
Supplementary files












