Perforated Meckel’s diverticulum in a young male patient: a case report
- Authors: Tupputi U.1,2, Carpagnano F.A.1,2, Carpentiere R.2, Guglielmi G.1,2,3
-
Affiliations:
- Department of Clinical and Experimental Medicine, Foggia University School of Medicine
- Radiology Unit, Barletta University Campus UNIFG, “Dimiccoli” Hospital
- Radiology Unit, Hospital “Casa Sollievo Della Sofferenza”, San Giovanni Rotondo
- Issue: Vol 2, No 4 (2021)
- Pages: 465-470
- Section: Case reports
- Submitted: 06.09.2021
- Accepted: 15.11.2021
- Published: 30.12.2021
- URL: https://jdigitaldiagnostics.com/DD/article/view/79632
- DOI: https://doi.org/10.17816/DD79632
- ID: 79632
Cite item
Abstract
The case of a 26-year-old male patient with perforation of Meckel’s diverticulum, a rare complication of the most common congenital anomaly of the gastrointestinal tract, is reported in this article. This congenital condition can remain asymptomatic for a long time, and it can get complicated with diverticulitis, enteroliths, neoplasms, and rarely perforation, as in this case.
A preoperative radiological assessment is of fundamental importance for proper diagnostic and therapeutic management of the patient. In this article, we present the typical tomographic imaging features of this infrequent complication to assist radiologists in detecting it.
Full Text
DESCRIPTION OF THE CASE
Anamnesis. A 26-year-old male patient was admitted to our emergency department due to severe abdominal pain, fever, and vomiting, with vital signs in a normal range.
Diagnostic assessment. The physical examination demonstrated a distended abdomen with guarding and rigidity.
Blood analysis revealed neutrophilic leukocytosis, with a white blood cell count of 12,000/μl (normal values: 4.6–10.2 × 103/mL) and approximately 70% of neutrophils (normal values: 40%–75%).
Subsequently, further instrumental investigations were recommended: abdominal X-rays, chest X-rays (which were unremarkable) and finally a total body computed tomography (CT).
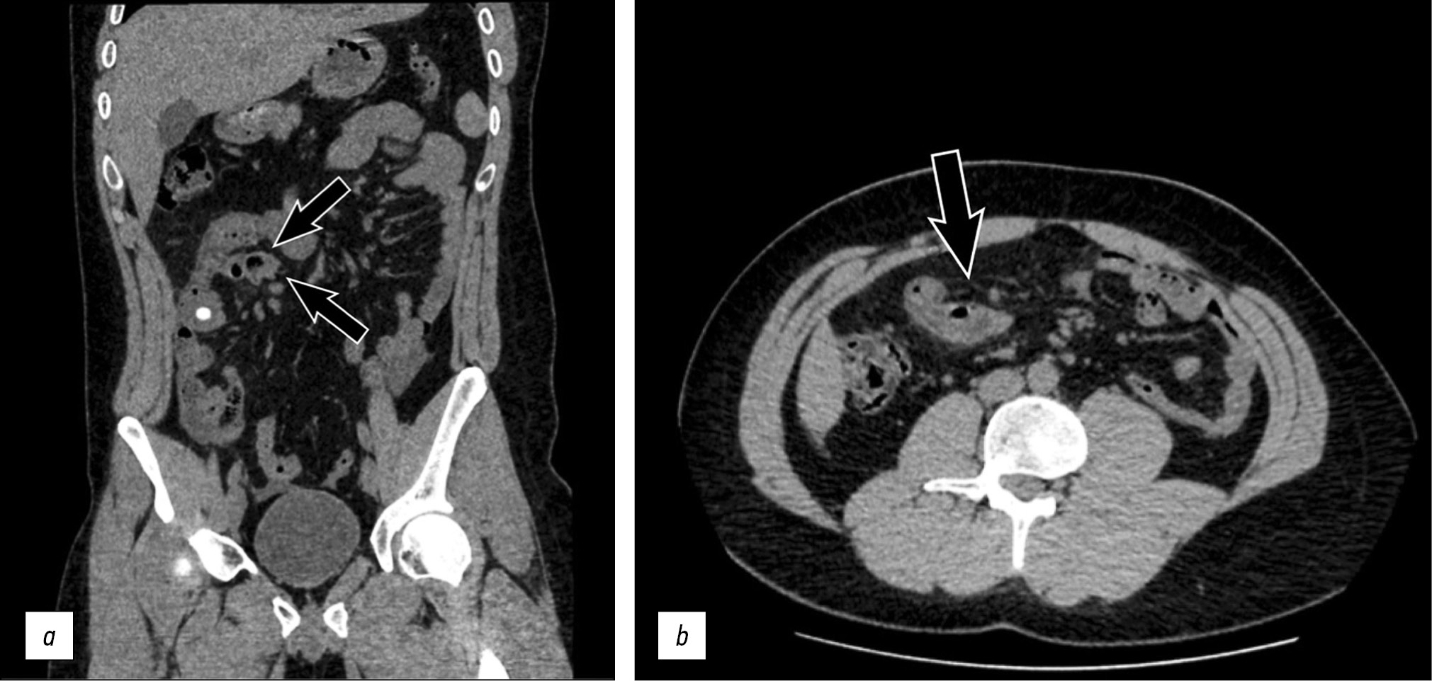
On pre-contrast CT evaluation, a blind-ended intestinal loop in the right quadrants of the abdomen was identified, which was associated with diffuse mesenteric edema and multiple contiguous lymphadenopathies (Fig. 1a, b); a post-contrast CT was performed a few hours later, which showed an intense contrast enhancement of the intestinal wall at the level of the blind-ended loop.
Fig. 1. This coronal (a) and axial (b) pre-contrast computed tomography images showing a blind-ended intestinal loop (arrows) in the right quadrants of the abdomen with associated mesenteric edema and multiple contiguous lymphadenopathies.
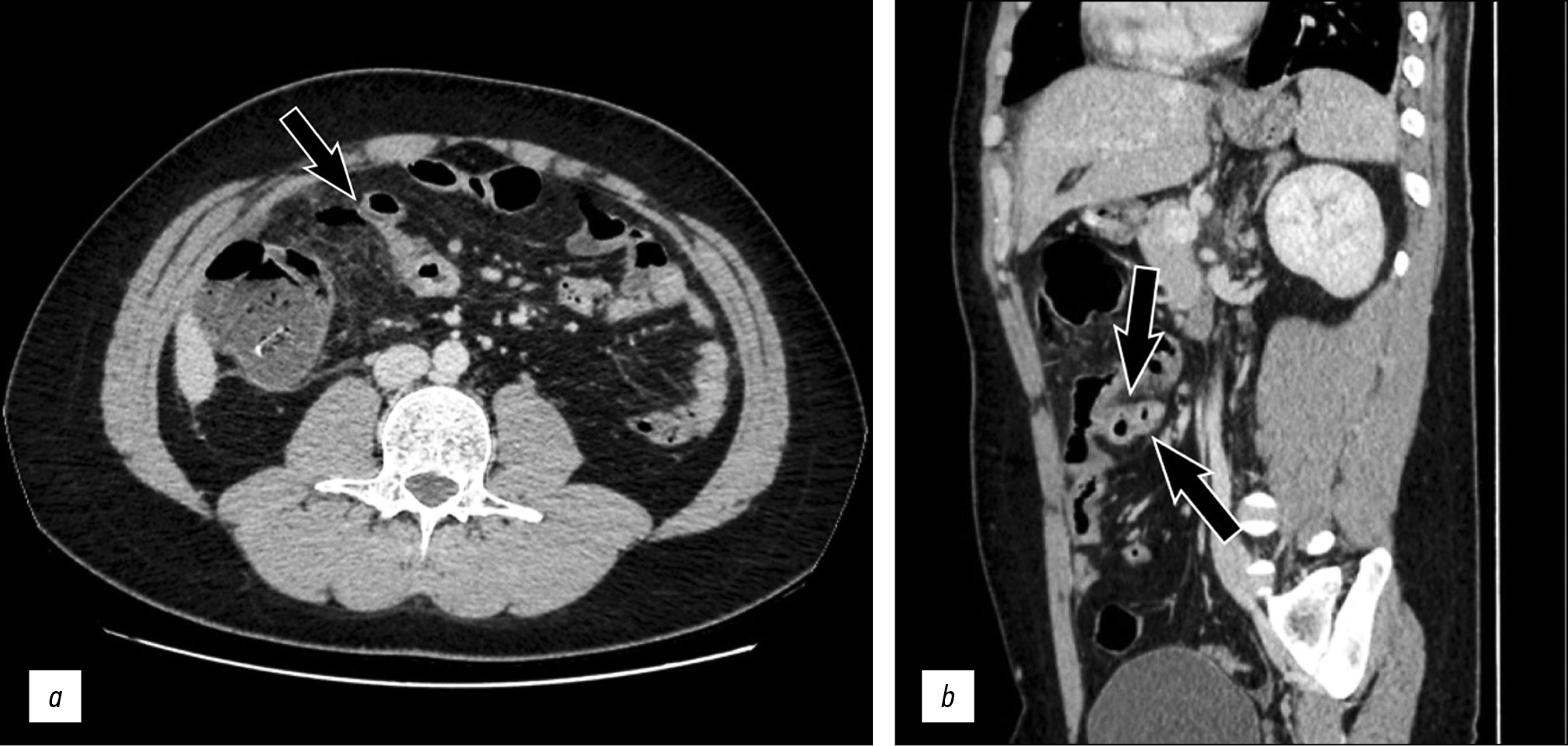
These findings were associated with the presence of certain adjacent gas nuclei with antideclive arrangement, diagnostics for perforation (Fig. 2a, b).
Fig. 2. Axial (a) and sagittal (b) post-contrast computed tomography images showing an intense contrast enhancement of the intestinal wall at the level of the same blind-ended loop (arrows) and some adjacent gaseous nuclei with antideclive arrangement, diagnostic for perforation.
The differential diagnosis. Such characteristics often simulate acute appendicitis, the main condition to be placed in differential diagnosis of Meckel’s diverticulum (MD) inflammation. The identification of a normal appendix strengthens the confidence of the diagnosis.
Interventions. No other examinations were performed and the patient was taken to the operating theater. During the surgery was made definitive diagnosis of Meckel’s diverticulitis and for this reason the patient was subjected to Meckel’s diverticulectomy and ileostomy surgery under general anesthesia.
Follow-up and outcomes. The patient recovered without any complication and was discharged after a couple of days of hospitalization.
DISCUSSION
MD is the most common congenital malformation of the gastrointestinal tract, affecting 2% of the population and carrying a 4.2%–6.4% risk of complications [1]. It was initially reported in 1809 by a German anatomist, Johann Meckel [2], and it is caused by improper closure and absorption of the omphalomesenteric duct [3], the original communication point between the yolk sac and the intestinal lumen in embryonic life, which generally closes around the ninth week of gestation. It frequently contains heterotopic mucosa, such as gastric and pancreatic mucosa, can cause peptic ulceration within the diverticulum or adjoining ileum as a result of their secretions, resulting in intestinal hemorrhage, cicatricial stenosis of the diverticular neck, inflammation, and even perforation.
The well-known “rule of 2s” in the description of this pathology refers to its 2% prevalence, 2-ft distance from ileocecal valve, 2-inch long, containing one or two types of heterotopic gastric or pancreatic tissue, and usually symptomatic by the age of 2 years [4].
The radiological diagnosis of MD can be difficult, especially if the diagnosis is not suspected at first due to the typical nonspecific symptoms of appendicitis, such as abdominal pain, vomiting, and nausea.
CT is now the method of choice, as well as the most accurate, in the evaluation of abdominal pathologies in emergency.
MD generally appears on CT as a blind-ended gas- or fluid-filled structure, which may also contain foreign bodies or enterolithis, generally about 60 cm away from the ileocecal valve. This imaging technique is also able to detect the main complications of this malformation, such as perforation, in this case.
While definitive surgery, including diverticulectomy, wedge, and segmental resection performed by open or laparoscopic approach, is used to treat symptomatic MD, the surgical management of MD accidentally remains controversial [5].
CONCLUSION
MD can present with a wide range of clinical manifestations and imaging features, from indolent benign findings to acute life-threatening conditions, such as its perforation, as in the case presented here [6]. This is the fundamental reason why it is necessary to know its salient anatomy, clinical, and imaging features in order to allow an early radiological diagnosis and a prompt intervention.
ADDITIONAL INFORMATION
Funding source. This article was not supported by any external sources of funding.
Competing interests. The authors declare that they have no competing interests.
Authors’ contribution. Tupputi Umberto and Carpagnano Francesca Anna have done the research work related to the topic and the manuscript writing; Carpentiere Rossella and Giuseppe Guglielmi have made the clinical decision of the case and have helped to draft the manuscript. All authors made a substantial contribution to the conception of the work, acquisition, analysis, interpretation of data for the work, drafting and revising the work, final approval of the version to be published and agree to be accountable for all aspects of the work.
Consent for publication. Written consent was obtained from the patient for publication of relevant medical information and all of accompanying images within the manuscript.
About the authors
Umberto Tupputi
Department of Clinical and Experimental Medicine, Foggia University School of Medicine; Radiology Unit, Barletta University Campus UNIFG, “Dimiccoli” Hospital
Email: umbertotupputi@yahoo.it
ORCID iD: 0000-0002-0384-5864
MD
Italy, Foggia; FoggiaFrancesca Anna Carpagnano
Department of Clinical and Experimental Medicine, Foggia University School of Medicine; Radiology Unit, Barletta University Campus UNIFG, “Dimiccoli” Hospital
Email: c.francesca1991@gmail.com
ORCID iD: 0000-0001-7681-2898
MD
Italy, Foggia; FoggiaRossella Carpentiere
Radiology Unit, Barletta University Campus UNIFG, “Dimiccoli” Hospital
Email: rossellacarpentiere@gmail.com
ORCID iD: 0000-0001-7821-5675
MD
Italy, Foggia; FoggiaGiuseppe Guglielmi
Department of Clinical and Experimental Medicine, Foggia University School of Medicine; Radiology Unit, Barletta University Campus UNIFG, “Dimiccoli” Hospital; Radiology Unit, Hospital “Casa Sollievo Della Sofferenza”, San Giovanni Rotondo
Author for correspondence.
Email: giuseppe.guglielmi@unifg.it
ORCID iD: 0000-0002-4325-8330
MD, Professor
Italy, Foggia; Foggia; FoggiaReferences
- Kotha VK, Khandelwal A, Saboo SS, et al. Radiologist’s perspective for the Meckel’s diverticulum and its complications. Br J Radiol. 2014;87(1037):20130743. doi: 10.1259/bjr.20130743
- Meckel JF. 1809 Uber die divertikel am darmkanal. Arch Physiol. 1809;9:421–453.
- Levy AD, Hobbs CM. From the archives of the AFIP. Meckel diverticulum: radiologic features with pathologic Correlation. Radiographics. 2004;24(2):565–587. doi: 10.1148/rg.242035187
- Clark JK, Paz DA, Ghahremani GG. Imaging of Meckel’s diverticulum in adults: pictorial essay. Clin Imaging. 2014;38(5):557–564. doi: 10.1016/j.clinimag.2014.04.020
- Blouhos K, Boulas KA, Tsalis K, et al. Meckel’s Diverticulum in Adults: Surgical Concerns. Front Surg. 2018;5:55. doi: 10.3389/fsurg.2018.00055
- Shimagaki T, Konishi K, Kawata K., et al. A case of perforation of Meckel’s diverticulum with enterolith. Surg Case Rep. 2020;6(1):161. doi: 10.1186/s40792-020-00926-6
Supplementary files









