Pulmonary artery pseudoaneurysm in a young man with pulmonary hypertension on computed tomography angiography
- Authors: Dautov T.B.1, Kaliyev B.B.1, Tukinov R.Y.1, Almenova D.S.1, Kozhakhmetova Z.Z.2, Zholshybek N.Z.3, Bastarbekova L.A.4, Ignatyev V.S.4
 - 
							Affiliations: 
							
- National Scientific Center for Maternal and Child Health of the Corporate Fund “University Medical Center”
 - Astana Medical University
 - Nazarbayev University School of Medicine
 - National Research Cardiac Surgery Center
 
 - Issue: Vol 5, No 3 (2024)
 - Pages: 623-631
 - Section: Case reports
 - Submitted: 23.01.2024
 - Accepted: 04.07.2024
 - Published: 04.12.2024
 - URL: https://jdigitaldiagnostics.com/DD/article/view/625688
 - DOI: https://doi.org/10.17816/DD625688
 - ID: 625688
 
Cite item
Full Text
Abstract
Pulmonary artery aneurysms and pseudoaneurysms are uncommon anomalies; however, their associated morbidity underscores the importance of recognizing them. Herein, we present a clinical case involving a 15-year-old male patient who presented at our clinic with complaints of hemoptysis. Upon diagnosis, a left lung aneurysm was found. Subsequent computed tomography angiography and intervention on the pulmonary arteries confirmed the presence of pulmonary artery aneurysms, elucidating that the hemoptysis was caused by the rupture of the aneurysm. The intervention on the pulmonary artery further confirmed the diagnosis. Early detection and management of pulmonary artery aneurysms are crucial, particularly in young patients, as timely intervention can prevent severe complications and improve patient outcomes. Raising awareness of these vascular abnormalities and promptly addressing them through appropriate diagnostic measures and interventions can help healthcare providers effectively mitigate the potential risks associated with pulmonary artery aneurysms, thereby enhancing patient care and prognosis.
Full Text
АКТУАЛЬНОСТЬ
Аневризмы и псевдоаневризмы лёгочных артерий — редкие нарушения в спектре заболеваний лёгочной артерии. Их низкая распространённость затрудняет своевременную диагностику и лечение [1]. В многочисленных клинических случаях описано редкое состояние, известное как псевдоаневризма лёгочной артерии (ПАЛА) [2–6]. Описанный клинический случай дополняет существующий массив знаний и позволяет лучше понимать течение этого редкого заболевания.
Истинная аневризма представляет собой очаговое расширение артерии с вовлечением всех трёх слоев сосудистой стенки. Псевдоаневризма не затрагивает все три слоя и, следовательно, риск её разрыва выше. Таким образом, ПАЛА рассматривается как потенциально жизнеугрожающее заболевание, характеризующееся очаговым мешковидным выпячиванием сосудов [7]. Аневризма лёгочной артерии (АЛА) и ПАЛА имеют неспецифические клинические проявления и схожи со многими другими заболеваниями. Сообщалось о таких симптомах, как кровохарканье, одышка, боль в груди и синкопальные состояния [8, 9]. АЛА чаще всего связаны с врождёнными аномалиями, а ПАЛА имеет приобретённый характер [10].
Компьютерная томографическая ангиография (КТА) считается основным методом визуализации для выявления данных патологий и последующего наблюдения. КТА позволяет оценить наличие, размер, расположение и тип аневризмы [11]. Катетерная ангиография позволяет определить степень поражения сосудов и оценить давление в правых отделах сердца [12].
ОПИСАНИЕ СЛУЧАЯ
Пациент 15 лет поступил в клинику с жалобами на кровохарканье и сухой кашель в течение 11 недель. При осмотре отмечена бледность кожных покровов. Сатурация (SpO2) в состоянии покоя составляла 94% при комнатной температуре, а уровень гемоглобина — 98 г/л. На электрокардиограмме отмечался нормальный синусовый ритм. Результаты эхокардиограммы указывали на дефект межпредсердной перегородки, дилатацию правых отделов сердца и пролапс митрального клапана Ι степени. Систолическое давление в лёгочной артерии составляло 32 мм рт. ст.
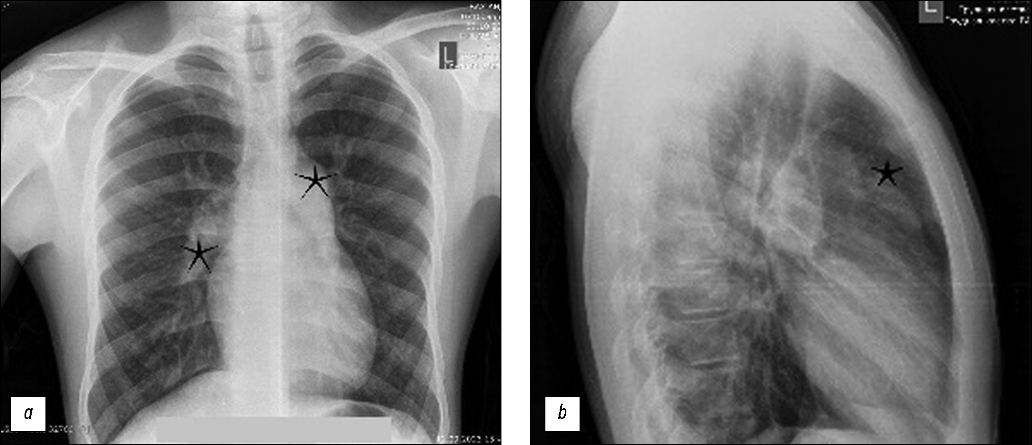
На рентгенограммах органов грудной клетки выявлено расширение центральных лёгочных артерий и правого желудочка, что свидетельствует о лёгочной гипертензии (рис. 1). На фибробронхоскопии выявили тромб в просвете VΙ сегментарного бронха и кровотечение алого цвета. Поскольку у пациента были повторные эпизоды кровотечения, наблюдалось снижение уровня гемоглобина.
Рис. 1. Рентгенограммы органов грудной клетки, демонстрирующие расширение центральных лёгочных артерий и правого желудочка, что свидетельствует о лёгочной гипертензии: a — заднепередняя проекция, на снимке отмечается расширение лёгочных артерий (обозначено чёрными звёздочками); b — боковая проекция, на снимке отмечается увеличение правого желудочка (обозначено чёрной звёздочкой).
Результаты КТА указывали на массивное поражение и участки инфильтрации в VΙ сегменте левого лёгкого (рис. 2). Контрастное усиление узла совпадало с кровяным депо, что подтверждает сосудистое происхождение нарушения. Кроме того, были расширены правые отделы сердца и лёгочная артерия.
Рис. 2. Наблюдение в режиме лёгочного окна и мягких тканей поражение в VΙ сегменте левого лёгкого округло-овальной формы, размером 1,6×1,4×1,2 см, плотностью до 27 единиц Хаунсфилда на фоне инфильтративных изменений, свидетельствующее о внутрипаренхиматозном кровоизлиянии: a — снимок во фронтальной плоскости, b — снимок в аксиальной плоскости; c — снимок в сагиттальной плоскости; d — аневризма сегментарной ветви лёгочной артерии, показанная с помощью 3D-реконструкции.
Вмешательство на лёгочной артерии подтвердило это нарушение (рис. 3, а). Аневризму эмболизировали с помощью спирали MReye размером 0,035 дюйма × 3 мм × 4 мм. Результаты контрольной ангиографии подтвердили успешность процедуры (рис. 3, b), осложнений не наблюдалось.
Рис. 3. Ангиография: a — ангиографический снимок в переднезадней проекции, в терминальной ветви VΙ сегмента обнаружено аневризматическое расширение размером 4,0×5,0 мм (обозначено белой стрелкой); b — контрольная ангиография в переднезадней проекции, эмболизационную спираль ввели через установленный катетер (обозначена белой стрелкой).
ОБСУЖДЕНИЕ
ПАЛА — относительно редкое сосудистое нарушение, характеризующееся локальным разрывом лёгочной артерии и затруднением диагностики из-за разнообразия клинических проявлений: от отсутствия симптомов до тяжёлых, жизнеугрожающих эпизодов массивного кровохарканья [13]. Данный случай, когда не проводилось лечения жизнеугрожающего кровохарканья, подчёркивает критическую важность своевременной диагностики в подобных ситуациях.
Хотя обычная рентгенография органов грудной клетки позволяет выявить некоторые характерные признаки, такие как круглые, чётко очерченные узлы или увеличение воротных сосудов, указывающие на ПАЛА, традиционный золотой стандарт диагностики — лёгочную ангиографию — заменила КТА сосудов лёгких благодаря её неинвазивности и превосходным визуализационным возможностям. КТА эффективнее в выявлении ПАЛА, особенно расположенных на периферии или скрытых другими структурами, такими как лоскуты сосудистой ткани, тромбы или слабый кровоток внутри псевдоаневризмы [14].
ПАЛА могут быть врождёнными или приобретёнными. Врождённые ПАЛА могут быть вызваны такими факторами, как дефекты стенок сосудов, стеноз клапанов или дефекты межпредсердной перегородки [1], в то время как приобретённые ПАЛА часто связаны с травмами, инфекциями, васкулитами или новообразованиями [15]. Распространённость ПАЛА среди пациентов, проходящих бронхо- и лёгочную ангиографию, составляет от 5 до 11% [16, 17], и приобретённые ПАЛА иногда развиваются как вторичные осложнения лёгочной артериальной гипертензии [13]. Высокое давление в лёгочной артерии часто приводит к расширению лёгочных сосудов и правых камер сердца [18].
Поскольку лёгочная артерия не имеет адвентициальной оболочки, ПАЛА более подвержены разрыву, чем истинные артериальные аневризмы [3]. В данном случае кровохарканье, вызванное разрывом, послужило основным симптомом, который помог отличить ПАЛА от других сосудистых нарушений. В данной публикации представлен редкий случай ПАЛА с сопутствующей лёгочной гипертензией. Учитывая возраст пациента, стабильность состояния и наличие кровохарканья, была заподозрена потенциальная взаимосвязь между ПАЛА и лёгочной гипертензией или врождённым дефектом. КТА лёгочной артерии сыграла ключевую роль в определении дальнейшей тактики лечения, включая важную процедуру эмболизации.
ЗАКЛЮЧЕНИЕ
Быстрая и точная диагностика ПАЛА зависит от того, насколько хорошо врачи и радиологи умеют распознавать уникальные визуализационные характеристики этого нарушения и в соответствующих случаях не исключают её потенциальное присутствие. Учитывая редкость ПАЛА и их разнообразные клинические проявления, включая вероятность бессимптомных случаев, медицинским работникам следует принимать активные меры для выявления этого сосудистого нарушения. За счёт освоения последних достижений в области визуализационных технологий и постоянного совершенства диагностических навыков врачи и радиологи могут быстрее выявлять ПАЛА и оперативно начинать соответствующие тактики лечения, тем самым оптимизируя состояние пациентов и сводя к минимуму риск сопутствующих осложнений.
ДОПОЛНИТЕЛЬНАЯ ИНФОРМАЦИЯ
Источник финансирования. Авторы заявляют об отсутствии внешнего финансирования при проведении работы.
Конфликт интересов. Авторы декларируют отсутствие явных и потенциальных конфликтов интересов, связанных с публикацией настоящей статьи.
Вклад авторов. Все авторы подтверждают соответствие своего авторства международным критериям ICMJE (все авторы внесли существенный вклад в разработку концепции, проведение работы и подготовку статьи, прочли и одобрили финальную версию перед публикацией).
Наибольший вклад распределён следующим образом: Т.Б. Даутов ― концепция работы, утверждение окончательного варианта рукописи; Б.Б. Калиев, Ж.Ж. Кожахметова, Л.А. Бастарбекова ― редактирование рукописи; Н.Ж. Жолшыбек ― перевод рукописи на английский язык, редактирование английского варианта рукописи, участие в дискуссионной части; Д.С. Альменова, В.И. Игнатьев ― сбор и анализ литературных источников, подготовка рукописи.
Информированное согласие на публикацию. Авторы получили письменное согласие законных представителей пациента на публикацию медицинских данных и фотографий в журнале Digital Diagnostics.
ADDITIONAL INFORMATION
Funding source. This article was not supported by any external sources of funding.
Competing interests. The authors declare that they have no competing interests.
Authors’ contribution. All authors made a substantial contribution to the conception of the work, acquisition, analysis, interpretation of data for the work, drafting and revising the work, final approval of the version to be published and agree to be accountable for all aspects of the work. T.B. Dautov ― contribution to the study concept, approved the final version of the work; B.B. Kaliyev, Zh.Zh. Kozhakhmetova, L.A. Bastarbekova ― revising and editing the manuscript; N.Zh. Zholshybek ― translation of the manuscript into English, editing, contribution to the discussion part; D.S. Almenova, V.I. Ignatyev ― data sources collection and analysis, preparation of the manuscript.
Consent for publication. Written consent was obtained from the patient’s legal representatives for publication of relevant medical information and all of accompanying images within the manuscript in Digital Diagnostics Journal.
About the authors
Tairkhan B. Dautov
National Scientific Center for Maternal and Child Health of the Corporate Fund “University Medical Center”
														Email: tairkhan.dautov@mail.ru
				                	ORCID iD: 0000-0002-5267-0108
				                	SPIN-code: 8632-6605
																		                								
MD, Dr. Sci. (Medicine), Assistant Professor
Kazakhstan, AstanaBauyrzhan B. Kaliyev
National Scientific Center for Maternal and Child Health of the Corporate Fund “University Medical Center”
							Author for correspondence.
							Email: baur233113@mail.ru
				                	ORCID iD: 0000-0003-4825-749X
				                	SPIN-code: 7315-9129
																		                												                	Kazakhstan, 							Astana						
Ruslan Y. Tukinov
National Scientific Center for Maternal and Child Health of the Corporate Fund “University Medical Center”
														Email: ruslantukinov@gmail.com
				                	ORCID iD: 0009-0007-5927-3686
				                																			                												                	Kazakhstan, 							Astana						
Dinara S. Almenova
National Scientific Center for Maternal and Child Health of the Corporate Fund “University Medical Center”
														Email: dinara.saktapbergenovna@gmail.com
				                	ORCID iD: 0009-0001-4035-3498
				                																			                												                	Kazakhstan, 							Astana						
Zhanar Z. Kozhakhmetova
Astana Medical University
														Email: zhanar5@mail.ru
				                	ORCID iD: 0000-0002-7255-0955
				                																			                												                	Kazakhstan, 							Astana						
Nurmakhan Z. Zholshybek
Nazarbayev University School of Medicine
														Email: nurmakhan.zholshybek@nu.edu.kz
				                	ORCID iD: 0000-0003-2071-6949
				                																			                												                	Kazakhstan, 							Astana						
Lyazzat A. Bastarbekova
National Research Cardiac Surgery Center
														Email: lbastarbekova@mail.ru
				                	ORCID iD: 0000-0001-8246-4754
				                																			                												                	Kazakhstan, 							Astana						
Valeriy S. Ignatyev
National Research Cardiac Surgery Center
														Email: valerik_96-2009@mail.ru
				                	ORCID iD: 0009-0000-3607-2936
				                																			                												                	Kazakhstan, 							Astana						
References
- Nguyen ET, Silva CI, Seely JM, et al. Pulmonary artery aneurysms and pseudoaneurysms in adults: findings at CT and radiography. AJR. American journal of roentgenology. 2007;188(2):W126–W134. doi: 10.2214/AJR.05.1652
 - Nellaiyappan M, Omar HR, Justiz R, et al. Pulmonary artery pseudoaneurysm after Swan-Ganz catheterization: a case presentation and review of literature. European heart journal. Acute cardiovascular care. 2014;3(3):281–288. doi: 10.1177/2048872613520252
 - Koneru H, Biswas Roy S, Islam M, et al. Pulmonary Artery Pseudoaneurysm: A Rare Cause of Fatal Massive Hemoptysis. Case reports in pulmonology. 2018;2018:8251967. doi: 10.1155/2018/8251967
 - Theodoropoulos P, Ziganshin BA, Tranquilli M, Elefteriades JA. Pulmonary artery aneurysms: four case reports and literature review. The International journal of angiology. 2013;22(3):143–148. doi: 10.1055/s-0033-1347907
 - Abreu AR, Campos MA, Krieger BP. Pulmonary artery rupture induced by a pulmonary artery catheter: a case report and review of the literature. Journal of Intensive Care Medicine. 2004;19(5):291–296. doi: 10.1177/0885066604265255
 - Oguma T, Morise M, Harada K, et al. Pulmonary Artery Aneurysm/Pseudoaneurysm, a Delayed Complication of Lung Abscess: A Case Report. The Tokai journal of experimental and clinical medicine. 2015;40(3):86–89.
 - Senbaklavaci O, Kaneko Y, Bartunek A, et al. Rupture and dissection in pulmonary artery aneurysms: incidence, cause, and treatment-review and case report. The Journal of thoracic and cardiovascular surgery. 2001;121(5):1006–1008. doi: 10.1067/mtc.2001.112634
 - Seguchi M, Wada H, Sakakura K, et al. Idiopathic pulmonary artery aneurysm. Circulation. 2011;124(14):e369–e370. doi: 10.1161/CIRCULATIONAHA.111.029033
 - Chen Y, Gilman MD, Humphrey KL, et al. Pulmonary Artery Pseudoaneurysms: Clinical Features and CT Findings. AJR. American journal of roentgenology. 2017;208(1):84–91. doi: 10.2214/AJR.16.16312
 - Bartter T, Irwin RS, Nash G. Aneurysms of the pulmonary arteries. Chest. 1988;94(5):1065–1075. doi: 10.1378/chest.94.5.1065
 - Castañer E, Gallardo X, Rimola J, et al. Congenital and acquired pulmonary artery anomalies in the adult: radiologic overview. Radiographics. 2006;26(2):349–371. doi: 10.1148/rg.262055092
 - Garcia A, Byrne JG, Bueno R, Flores RM. Aneurysm of the main pulmonary artery. Annals of thoracic and cardiovascular surgery. 2008;14(6):399–401.
 - Guillaume B, Vendrell A, Stefanovic X, et al. Acquired pulmonary artery pseudoaneurysms: a pictorial review. The British journal of radiology. 2017;90(1073):20160783. doi: 10.1259/bjr.20160783
 - Shin TB, Yoon SK, Lee KN, et al. The role of pulmonary CT angiography and selective pulmonary angiography in endovascular management of pulmonary artery pseudoaneurysms associated with infectious lung diseases. Journal of vascular and interventional radiology. 2007;18(7):882–887. doi: 10.1016/j.jvir.2007.04.023
 - Lafita V, Borge MA, Demos TC. Pulmonary artery pseudoaneurysm: etiology, presentation, diagnosis, and treatment. Seminars in interventional radiology. 2007;24(1):119–123. doi: 10.1055/s-2007-971202
 - Remy J, Lemaitre L, Lafitte JJ, et al. Massive hemoptysis of pulmonary arterial origin: diagnosis and treatment. AJR. American journal of roentgenology. 1984;143(5):963–969. doi: 10.2214/ajr.143.5.963
 - Sbano H, Mitchell AW, Ind PW, Jackson JE. Peripheral pulmonary artery pseudoaneurysms and massive hemoptysis. AJR. American journal of roentgenology. 2005;184(4):1253–1259. doi: 10.2214/ajr.184.4.01841253
 - Torres-Rojas MB, Cueto-Robledo G, Roldan-Valadez E, et al. Association Between the Degree of Severity of Pulmonary Hypertension With the Presence of Pulmonary Artery Aneurysm: A Brief Updated Review for Clinicians. Current Problems in Cardiology. 2023;48(6):101645. doi: 10.1016/j.cpcardiol.2023.101645
 
Supplementary files
				
			
					
						
						
						
						
									
									









